Gedruckte Kompositrestaurationen verfärben sich schnell
Die additive Fertigung, umgangssprachlich als 3-D-Druck bekannt, zählt aktuell zu den vielversprechendsten und innovativsten Entwicklungen in der Zahntechnik. Besonders die Möglichkeit, auch Geometrien herzustellen, die nicht fräsbar sind, und dies auf eine materialschonendere Weise im Vergleich zu abtragenden Verfahren, macht diese Technik so interessant.
Während die additive Verarbeitung von Metall mittlerweile gut ausgereift ist und in der täglichen Praxis erfolgreich angewendet wird, befinden sich keramische Materialien in Bezug auf diese Technik noch in einem frühen Entwicklungsstadium. Kunststoffbasierte, photopolymerisierbare Materialien hingegen lassen sich bereits mit verschiedenen optischen Systemen kostengünstig verarbeiten. Sie werden für Implantatbohrschablonen, individuelle Abformlöffel oder dentale Modelle breitflächig eingesetzt. Ob sich jedoch auch definitiver Zahnersatz aus kunststoffbasierten Materialien erfolgreich additiv herstellen lässt, ist noch offen.
Die non-invasive Wiederherstellung verlorengegangener Zahnhartsubstanz stellt hohe Anforderungen an Materialien und Fertigungstechniken. Eine Lösung könnte die additive Fertigung von kompositbasierten, zahnfarbenen Teilrestaurationen sein. Diese Materialien erfordern keine Mindestschichtstärken, wenn sie adhäsiv mit der Zahnhartsubstanz verbunden werden. Gleichzeitig ist die Umsetzung komplexer Geometrien möglich. Die höhere Abrasionsstabilität der Komposite im Vergleich zu ungefüllten Kunststoffen verspricht zudem eine langfristig erfolgreiche Versorgung. Unklar blieb jedoch bislang, ob additiv gefertigte Komposite auch langfristig ihre ästhetischen Eigenschaften und ihre Farbstabilität bewahren.
Untersuchungsaufbau
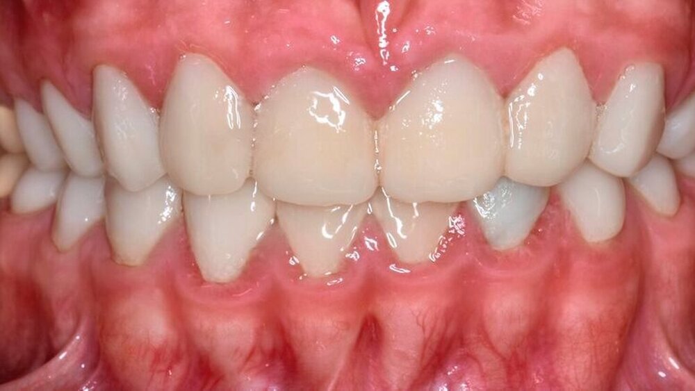
Per digitalem Workflow wurde bei Patientinnen und Patienten ohne Anzeichen einer CMD die Vertikaldimension durch gedruckte Kompositrestaurationen wiederhergestellt. Zu Beginn der Behandlung wurden ein Intraoralscan (Primescan, Dentsply Sirona, Bensheim) und eine elektronische Axiographie (Zebris for Ceramill, Amann Girrbach, Pforzheim) durchgeführt. Auf Grundlage dieser Daten wurden die Restaurationen mit einem Computer-Aided-Design(CAD)-Programm (Exocad Dental CAD Galway 3.0, Darmstadt) virtuell konstruiert und dann im additiven Fertigungsverfahren aus einem Kompositmaterial (Varseo Smile Crown Plus, Bego, Bremen) hergestellt. Das Postprocessing erfolgte gemäß Herstellerangaben. Anschließend wurden alle Restaurationen glasiert (Optiglaze, GC Europe, Leuven, Belgien).
Die Seitenzahnrestaurationen beschränkten sich in der Regel auf die Kauflächen (Onlays), während bei den Frontzähnen die Labialfläche non-invasiv in die Restauration integriert wurde. Alle Restaurationen wurden adhäsiv befestigt: Die Kompositrestaurationen wurden mit Aluminiumoxid (Korngröße 50 µm) gestrahlt und mit einem Universalprimer (Monobond Plus, Ivoclar, Schaan, Liechtenstein) vorbehandelt. Die Zahnoberflächen wurden bei vorhandenem Zahnschmelz mit 37-prozentiger Phosphorsäure geätzt.
Anschließend wurden die Zahnsubstrate mit einem selbstätzenden Universaladhäsiv (Scotchbond Universal, 3M, Landsberg am Lech) behandelt und die Restaurationen mit einem dualhärtenden Befestigungskomposit (Rely X Ultimate, 3M) verklebt. Die Farbmessung per Photospektrometer (Vita Easyshade V, Vita Zahnfabrik, Bad Säckingen) erfolgte Baseline, nach sechs, zwölf und 24 Monaten. Für reproduzierbare Messungen wurde für jeden Patienten eine Tiefziehfolie (Erkudur, Erkodent, Pfalzgrafenweiler) mit definierter Aussparung für die Messstelle angefertigt. Dies ermöglichte eine konsistente Platzierung des Photospektrometers bei jeder Untersuchung. Vor jeder Messung wurde das Gerät kalibriert, jede Messung wurde zweimal wiederholt. Zur Auswertung wurde der Mittelwert aus diesen drei Messungen herangezogen. Der Farbunterschied wurde durch den Wert ΔE erfasst und gemäß den USPHS-Kriterien von Alpha bis Delta eingeordnet (Tabelle).
Ergebnisse
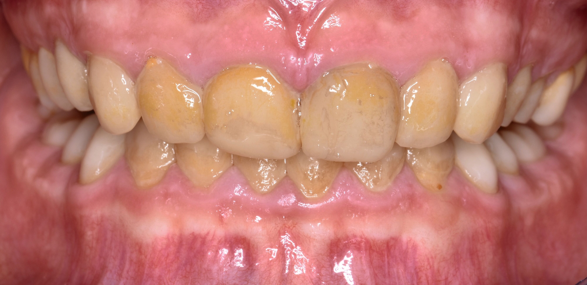
190 Restaurationen bei 29 Patienten wurden ausgewertet. Wegen der klinischen Relevanz wurde die Analyse in die Bereiche Frontzähne, Prämolaren und Molaren unterteilt. Nach sechs Monaten wurden 55 Prozent der Restaurationen mit den Kategorien Alpha oder Beta bewertet. Nach zwölf Monaten fiel dieser Anteil auf 34 Prozent, nach 24 Monaten auf 18 Prozent. Nach zwei Jahren wurden 67 Prozent der Prämolaren, 78 Prozent der Molaren und 92 Prozent der Frontzähne mit den Kategorien Charlie oder Delta eingestuft – und galten damit nicht mehr als erfolgreich. Die Molaren wiesen die geringste Farbstabilität auf, während die Prämolaren als am farbstabilsten bewertet wurden.
Diskussion
Die non-invasive Behandlung von Patienten mit reduzierter Vertikaldimension stellt hohe Anforderungen an alle beteiligten Personen sowie an die verwendeten Materialien. Gedruckte Komposite gelten als vielversprechende Option, da sie zahlreiche Vorteile bieten. In der beschriebenen Indikation erwies sich das eingesetzte Material jedoch als nicht erfolgreich, da sich ein Großteil der Restaurationen bereits nach einer vergleichsweise kurzen klinischen Tragedauer von 24 Monaten inakzeptabel verfärbte. Ernährungsgewohnheiten und Rauchen werden oft als Hauptursachen für die Verfärbung von Restaurationsmaterialien genannt.
Bisher gibt es zur Verfärbung von 3-D-gedruckten Kompositen vor allem In-vitro-Daten. Danach schneiden gedruckte Materialien im Vergleich zu subtraktiv bearbeiteten Kompositen schlechter ab. Ein großer Unterschied liegt im geringeren Anteil an Füllkörpern bei gedruckten Materialien, was die höhere Anfälligkeit für Verfärbungen teilweise erklären könnte. Hier wurden die Restaurationen mit einer Glasur versehen, die sich möglicherweise im Laufe der klinischen Nutzung abgerieben hat. Die dadurch entstandene raue Oberfläche könnte anfälliger für Verfärbungen durch externe Einflüsse gewesen sein. Allerdings wurden die Ernährungsgewohnheiten der Patienten nicht erfasst. Auch die Nachbearbeitung nach dem Druckvorgang und die abschließende Oberflächenbearbeitung hatten vermutlich Einfluss auf die Ergebnisse. Die Nachbehandlung ist bei der additiven Fertigung von kunststoffbasierten Materialien am kritischsten.
Eine zentrale Stärke der digitalen Fertigung liegt in der Standardisierung der Prozesse und damit in der industriellen Fertigungsqualität. Diese Standardisierung endet bei der additiven Fertigung jedoch mit der Entnahme des Werkstücks aus dem Drucker. Im Gegensatz dazu verändert die subtraktive Fertigung die Materialstruktur nicht, sondern bearbeitet nur die Oberfläche. Die Nachvergütung nach dem Druckvorgang beeinflusst hingegen deutlich mehr und stellt einen wichtigen Optimierungsfaktor dar.
Fazit für die Praxis
Für die klinische Praxis lassen sich folgende Schlussfolgerungen ableiten:
Gedruckte Kompositrestaurationen verfärben sich über eine klinische Tragedauer von 24 Monaten.
Nach 24 Monaten waren bis zu 90 Prozent der Restaurationen nicht mehr ästhetisch akzeptabel.
Das vorgestellte gedruckte Komposit zur non-invasiven Versorgung von Abrasionsgebissen ist ist für die dauerhafte Versorgung nur sehr eingeschränkt geeignet.
Doumit M, Beuer F, Böse MWH, Nicic R, Hey J, Prause E: The colour stability of 3D-printed, non-invasive restorations after 24 months in vivo - esthetically pleasing or not? J Dent. 2024 Nov;150:105391. doi: 10.1016/j.jdent.2024.105391.







