Risikofaktor Penicillinallergie?
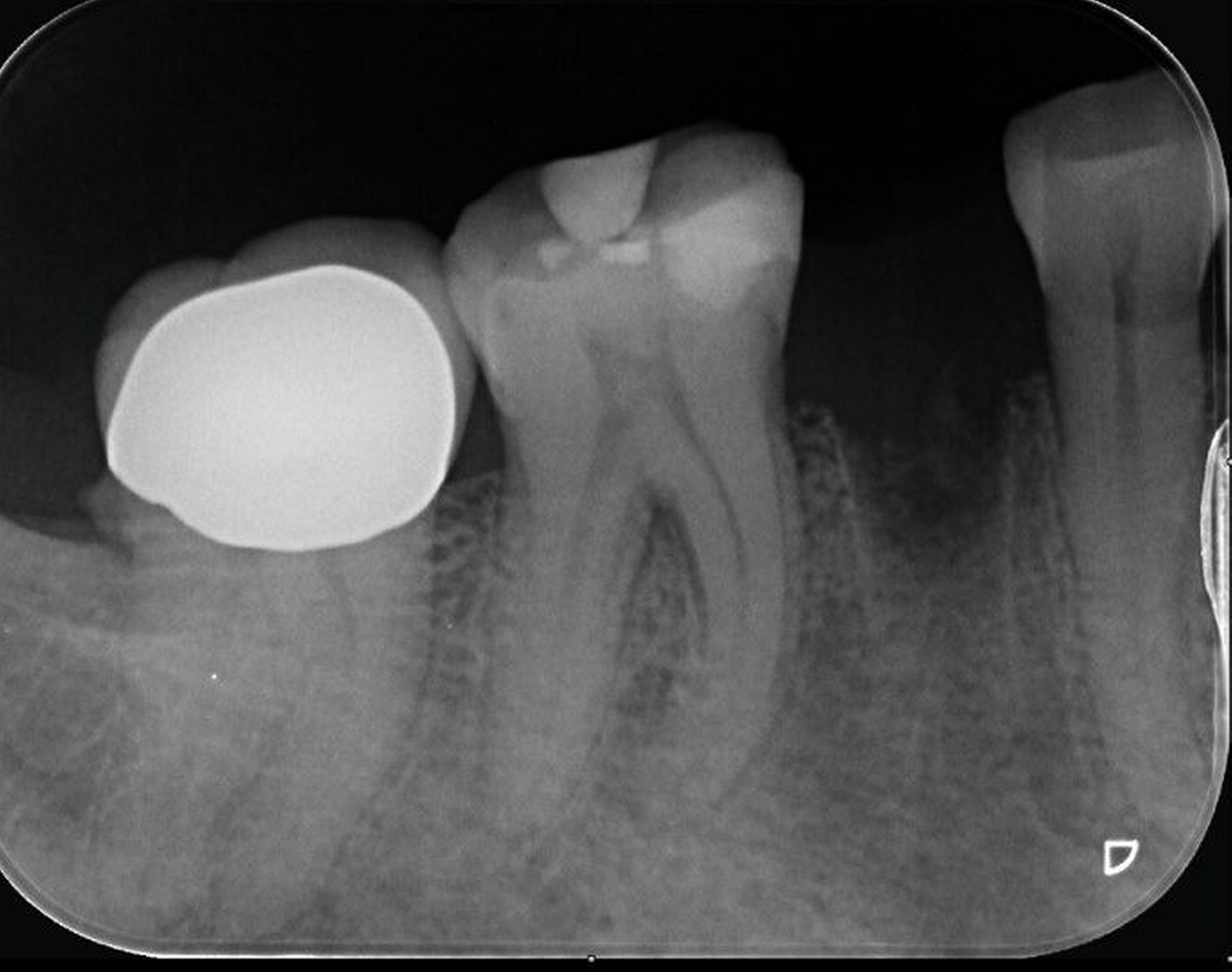
Im August 2024 stellte sich ein 50-jähriger Patient – überwiesen durch den Hauszahnarzt mit der Verdachtsdiagnose eines Sublingualabszesses – in der Notfallambulanz der Mund-, Kiefer- und Gesichtschirurgie der Universitätsmedizin Mainz vor. Anamnestisch berichtete er von erstmalig im Februar 2024 aufgetretenen Beschwerden im rechten Unterkiefer, weshalb der Zahn 45 mittels Wurzelkanalbehandlung therapiert worden sei (Abbildung 1). Die endodontische Therapie konnte laut Hauszahnarzt allerdings nie abgeschlossen werden, da der Kanal nicht vollständig trockengelegt werden konnte. Im Juli sei es dann zu einer Exazerbation der Beschwerden gekommen, einhergehend mit einer ausgeprägten Schwellung der Wange.
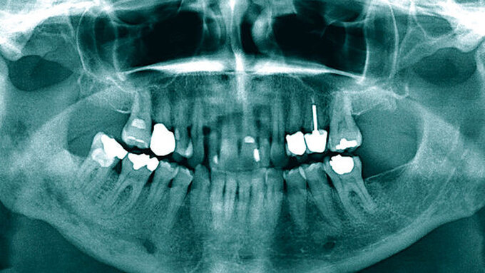
Nach antibiotischer Behandlung durch die orale Gabe von Clindamycin – aufgrund einer vermuteten Penicillinallergie – konnte vier Tage später der Zahn 45 extrahiert werden. Die Symptomatik persistierte jedoch und zeigte auch nach intraoraler Inzision und mehrfachem Streifenwechsel sowie Trepanation des Zahnes 46 keine Besserung (Abbildung 2). Die weitere Anamnese des Patienten war unauffällig.
Bei der Erstvorstellung in der Klinik für Mund-, Kiefer- und Gesichtschirurgie präsentierte sich das typische klinische Bild eines perimandibulären Abszesses. Noch am Aufnahmetag wurden daher die notfallmäßige Abszessinzision von extraoral sowie die Fokussanierung im Sinne der Extraktion des Zahnes 46 durchgeführt. Nach erneuter Bewertung der Penicillinallergie mittels PEN-FAST-Score wurde die Antibiose auf Amoxicillin/Clavulansäure umgestellt und bei regelrechtem stationärem Verlauf konnte der Patient in die ambulante Weiterbehandlung entlassen werden.
Zwei Wochen später stellte sich der Patient mit erneuten Beschwerden und einer Überweisung vom niedergelassenen Oralchirurgen zur Abklärung einer Osteomyelitis in der MKG-chirurgischen Notfallambulanz vor. Da die Schmerzen und die Schwellung kurz nach Beginn seines Mallorca-Urlaubs anamnestisch wieder aufgeflammt seien, habe ein dort tätiger Zahnarzt den Zahn 47 gezogen. Nach seiner Rückkehr nach Deutschland sei eine Re-Inzision von intraoral durchgeführt worden, jedoch ohne Verbesserung der Beschwerden.
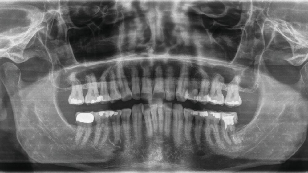
Radiologisch ließ sich eine ausgedehnte Knochendestruktion mit Sequesterbildung und Periostreaktion im vierten Quadranten nachweisen (Abbildung 3). Gemeinsam mit dem Patienten und insbesondere unter Berücksichtigung seiner extremen psychischen Belastung wurde anschließend die Entscheidung zur Dekortikation mit dem Versuch des Erhalts der Unterkieferkontinuität getroffen, wobei bei dem ausgeprägten klinischen Bild von ärztlicher Seite eine Kontinuitätsresektion unter Erhalt des Nervus alveolaris inferior in Kombination mit einer mikrovaskulären Rekonstruktion empfohlen wurde.
Die Operation konnte am Folgetag komplikationslos in Intubationsnarkose durchgeführt werden. Bei ausreichender Reststabilität des Unterkiefers wurde auf eine osteosynthetische Versorgung verzichtet (Abbildung 4). Die histopathologische Nachuntersuchung der intraoperativ gesammelten Knochenproben bestätigte die Verdachtsdiagnose einer sekundär chronischen Osteomyelitis. Es zeigten sich eine chronisch granulierende Entzündung der Schleimhaut sowie eine floride granulozytäre Infiltration der Markräume des erfassten kompakten Knochengewebes.
Aufgrund einer laborchemisch vorliegenden Hyperkalzämie einhergehend mit dem hochgradigen Verdacht eines primären Hyperparathyreoidismus erfolgten ergänzende Bestimmungen von 25-OH-Vitamin D3 im Serum und der Calcium-Ausscheidung im 24-h-Sammelurin sowie eine Schilddrüsensonografie und eine Nebenschilddrüsenszintigrafie.
Diese Verdachtsdiagnose wurde allerdings bei regelrechten Untersuchungsbefunden nicht bestätigt. Nach reizloser Abheilung der Wunden konnte der Patient in die ambulante Nachbehandlung entlassen werden. In den bisher durchgeführten Nachkontrollen über vier Monate zeigte sich ein beschwerdefreier Patient mit enoral stabilen und reizlosen Lokalverhältnissen. Dennoch ist bei Auftreten eines Rezidivs oder einer pathologischen Unterkieferfraktur eine Unterkieferkontinuitätsresektion mit mikrovaskulärer Rekonstruktion unumgänglich.
Diskussion
Die Osteomyelitis des Unterkiefers stellt ein komplexes und vielseitiges Entzündungsgeschehen des Knochens dar, bei der alle Strukturen einschließlich des Knochenmarks, der Kortikalis und des Periosts von der Entzündungsreaktion betroffen sind. Dabei kann die Erkrankung von nichtbakteriellen und chronisch-schubweisen Formen über bakterielle Infektionen, die einer Antibiotikatherapie zugänglich sind, bis hin zu ausgedehnten, eitrigen Knochennekrosen mit Sequesterbildung verlaufen [Al-Nawas und Kämmerer, 2009]. Der Begriff „Osteomyelitis“ leitet sich aus dem Griechischen ab: „osteon“ steht für Knochen und „muelinos“ für Mark, bezeichnet wird somit wortwörtlich eine Infektion des Knochenmarks.
In der medizinischen Literatur wird der Begriff „Osteomyelitis“ allerdings häufig synonym für eine umfassende Entzündung des gesamten Knochens verwendet [Baltensperger und Eyrich, 2009]. Die Zürich-Klassifikation nach Baltensperger et al. unterscheidet die akute (20 Prozent) von der sekundär chronischen (70 Prozent) sowie der selteneren primär chronischen (10 Prozent) Verlaufsform [Baltensperger et al., 2004; Baltensperger und Eyrich, 2009].
Die Entzündungsreaktion beginnt häufig in der Spongiosa des Kieferknochens und breitet sich über die Havers- und Volkmann-Kanäle auf das Periost sowie das umliegende Weichgewebe aus. Dieser Prozess geht mit der Bildung von intramedullären und subperiostalen Ödemen einher, die wiederum die Mikrozirkulation im Knochen weiter beeinträchtigen. Daraus resultieren eine Ischämie, Nekrosen und letztendlich die Sequesterbildung [Baltensperger und Eyrich, 2009].
Der häufigste Auslöser der Erkrankung ist eine dentogene Infektion, bei der mehrere Hauptfaktoren eine entscheidende Rolle spielen: die Anzahl und die Virulenz der Bakterien, der Zustand der lokalen und der systemischen Immunität des Patienten sowie die Gewebeperfusion. Störungen dieses Gleichgewichts können zur Begünstigung der Krankheitsmanifestation führen [Fenelon et al., 2023]. Deutlich seltener lassen sich zurückliegende Traumata oder radioaktive Strahlung als Auslöser identifizieren.
Die Ödem-bedingte Beeinträchtigung der lokalen Mikrozirkulation vermindert weiterhin die Immunantwort und begünstigt somit die Ausbreitung der Infektion. Dementsprechend ist der Unterkiefer häufiger von einer Osteomyelitis betroffen, da die Mandibula anatomisch bedingt eine schlechtere Durchblutung aufweist. Von einer schlechteren Sauerstoffversorgung profitieren insbesondere anaerobe Keime, die häufig in der vorhandenen Mischflora identifiziert werden können [Calhoun et al., 1988; Baltensperger et al., 2004; Dym und Zeidan, 2017].
In der Regel verläuft die Erkrankung in zwei Stadien: Eine bakterielle Invasion markiert den Beginn als akute Osteomyelitis, die sich innerhalb der ersten vier Wochen manifestiert. Anschließend geht die akute Osteomyelitis in die sekundär chronische Form über. Dabei kann es zur Sequester- und Fistelbildung sowie zur eitrigen Sekretion kommen. Abzugrenzen davon ist die primär chronische Osteomyelitis, die nicht eitrig verläuft. Die zugrundeliegende Ätiologie hierfür konnte bisher noch nicht erklärt werden [Baltensperger et al., 2004; Al-Nawas und Kämmerer, 2009].
Typischerweise präsentiert sich die sekundär chronische Osteomyelitis mit dumpfen Schmerzen und einer derben Schwellung, die auf die ausgeprägte periostale Knochenreaktion zurückzuführen ist. Diese charakteristische Periostreaktion lässt sich ebenfalls radiologisch nachweisen. Im DVT oder CT zeigen sich bildmorphologisch Knochendestruktionen neben Sequestern und Sklerosierungen sowie Periostschwielen. Ein weiteres diagnostisches Hilfsmittel ist die Magnetresonanztomografie, womit sich die Ausdehnung der Entzündung im Knochenmark gut darstellen lässt. Im T2-gewichteten Bild zeigt der von einer Osteomyelitis betroffene Knochen, bedingt durch das Markraumödem, eine Zunahme der Signalintensität, während im Gewebe eine durch die erhöhte Gefäßpermeabilität gesteigerte Kontrastmittelanreicherung zu sehen ist [Schuknecht et al., 1997; Schuknecht und Valavanis, 2003]. Die Ausbreitung der Entzündung findet entlang des neurovaskulären Bündels statt und die damit einhergehende Nerv-Irritation führt zur Hypästhesie im Versorgungsgebiet des Nervus alveolaris inferior, dem sogenannten Vincent-Symptom [Dym und Zeidan, 2017].
Therapeutisch stehen eine adäquate Antibiotikatherapie und chirurgische Eingriffe im Vordergrund. Das Hauptziel besteht in der vollständigen Entfernung des entzündlichen und nekrotischen Gewebes sowie in der Sanierung des Infektionsfokus [Haeffs et al., 2018]. Für die antibiotische Therapie hat sich Amoxicillin/Clavulansäure aufgrund der Knochenpermeabilität sowie der Abdeckung des Keimspektrums als sinnvoll erwiesen. In Abhängigkeit vom Lokalbefund und der Symptomatik kann auch die Langzeitgabe von Antibiotika erforderlich sein [Al-Nawas, 2013; Dym und Zeidan, 2017]. In vielen Fällen kann bei rechtzeitiger Einleitung einer adäquaten Therapie eine vollständige Restitutio ad integrum erreicht werden. Bei chronisch fortschreitenden Verläufen können jedoch langwierige Behandlungen mit nur eingeschränkter Prognose notwendig werden.
Im vorliegenden Fall wurde der Patient aufgrund einer Penicillinallergie initial – leitliniengerecht – mit Clindamycin behandelt. Im Hinblick auf die odontogene Infektion besteht allerdings eine höhere Resistenzrate der Keime gegenüber Clindamycin [Pigrau et al., 2009]. Daher erfolgte nach stationärer Aufnahme die Reevaluation und bei entsprechender Risikobewertung die Umstellung auf Amoxicillin/Clavulansäure.
Die Penicillinallergie stellt somit eine relevante Herausforderung in der Antibiotikatherapie dar, denn etwa zehn Prozent der Bevölkerung geben an, allergisch auf Penicillin zu reagieren. Bei mehr als 95 Prozent dieser Patienten mit vermeintlicher Penicillinallergie ist aber eine komplikationslose Anwendung von Penicillin möglich [Shenoy et al., 2019]. Nichtsdestotrotz führt der Verdacht einer Allergie häufig zum Einsatz alternativer Antibiotika, wobei eine möglicherweise geringere Wirksamkeit oder unerwünschte Nebenwirkungen in Kauf genommen werden. Zur besseren Risikoeinschätzung und zur Vermeidung unnötiger Alternativbehandlungen hat sich der PEN-FAST-Score als valider Bewertungsmaßstab etabliert [Trubiano et al., 2020].
Dabei werden die folgenden Faktoren evaluiert:
PEN: Patient berichtet über Penicillin-Allergie
F: in den letzten 5 Jahren (2 Punkte)
A: Anaphylaxie oder Angioödem ODER
S: schwere allergische Hautreaktion, zum Beispiel Stevens-Johnson-Syndrom (2 Punkte)
T: Therapie der allergischen Reaktion erforderlich (1 Punkt)
Erreicht werden können maximal fünf Punkte, wobei bei einer Punktzahl unter drei eine Penicillinallergie unwahrscheinlich ist. Der negative prädiktive Wert hierfür lag bei 96,3 Prozent. Zu beachten ist, dass der PEN-FAST Score nur bei erwachsenen Patienten angewendet werden sollte [Trubiano et al., 2020].
Fazit für die Praxis
Die Osteomyelitis des Unterkiefers wird nach Zürich-Klassifikation in eine akute, eine sekundär chronische und eine primär chronische Verlaufsform unterteilt, wobei die sekundär chronische Osteomyelitis mit Sequesterbildung und Periostreaktion die häufigste Verlaufsform darstellt.
Für die Diagnostik sind bildgebende Verfahren wie CT, DVT und MRT entscheidend, um die Ausdehnung der Entzündung, die Sequesterbildung und die periostale Reaktion darzustellen.
Die häufigste Ursache der Kieferosteomyelitis ist eine dentogene Infektion.
Bei einem großen Anteil der Patienten, die eine Penicillinallergie angeben, bestätigt sich diese nicht.
Mittels PEN-FAST-Score kann das Risiko einer echten Penicillinallergie abgeschätzt werden.
Durch die Anwendung dieses Scores kann eine validierte Einschätzung vorgenommen werden, ob tatsächlich eine Penicillinallergie vorliegt. Ob die Entwicklung einer Osteomyelitis beim oben beschriebenen Patienten durch eine frühzeitige Therapie mit einem Penicillin hätte verhindert werden können, bleibt unklar. Jedoch zeigt der Fall, dass eine irrtümlicherweise angenommene Penicillinallergie den Einsatz der optimalen Antibiotikatherapie verzögern und den Krankheitsverlauf negativ beeinflussen kann.
Literaturliste
Al-Nawas B: Antiinfektive Therapie der Osteomyelitis. Der MKG-Chirurg 6:88-91, 2013.
Al-Nawas B and PW Kämmerer: Osteomyelitis: Infections in the oral and maxillofacial area. Der MKG-Chirurg 2:221-232, 2009.
Baltensperger M, K Grätz, E Bruder, R Lebeda, M Makek and G Eyrich: Is primary chronic osteomyelitis a uniform disease? Proposal of a classification based on a retrospective analysis of patients treated in the past 30 years. J Craniomaxillofac Surg 32:43-50, 2004.
Baltensperger MM and GKH Eyrich (2009). Osteomyelitis of the Jaws, Springer-Verlag Berlin Heidelberg.
Calhoun KH, RD Shapiro, CM Stiernberg, JH Calhoun and JT Mader: Osteomyelitis of the mandible. Arch Otolaryngol Head Neck Surg 114:1157-1162, 1988.
Dym H and J Zeidan: Microbiology of Acute and Chronic Osteomyelitis and Antibiotic Treatment. Dental Clinics of North America 61:271-282, 2017.
Fenelon M, S Gernandt, R Aymon and P Scolozzi: Identifying Risk Factors Associated with Major Complications and Refractory Course in Patients with Osteomyelitis of the Jaw: A Retrospective Study. J Clin Med 12:2023.
Haeffs TH, CA Scott, TH Campbell, Y Chen and M August: Acute and Chronic Suppurative Osteomyelitis of the Jaws: A 10-Year Review and Assessment of Treatment Outcome. J Oral Maxillofac Surg 76:2551-2558, 2018.
Pigrau C, B Almirante, D Rodriguez, N Larrosa, S Bescos, G Raspall and A Pahissa: Osteomyelitis of the jaw: resistance to clindamycin in patients with prior antibiotics exposure. Eur J Clin Microbiol Infect Dis 28:317-323, 2009.
Schuknecht B and A Valavanis: Osteomyelitis of the mandible. Neuroimaging Clin N Am 13:605-618, 2003.
Schuknecht BF, FR Carls, A Valavanis and HF Sailer: Mandibular osteomyelitis: evaluation and staging in 18 patients, using magnetic resonance imaging, computed tomography and conventional radiographs. J Craniomaxillofac Surg 25:24-33, 1997.
Shenoy ES, E Macy, T Rowe and KG Blumenthal: Evaluation and Management of Penicillin Allergy: A Review. Jama 321:188-199, 2019.
Trubiano J, S Vogrin, K Chua, J Bourke, J Yun, A Douglas, C Stone, N Holmes and E Phillips: PEN-FAST: A validated penicillin allergy clinical decision rule – Implications for prescribing. International Journal of Infectious Diseases 101:89, 2020.










