Orbitale Komplikation bei odontogener Sinusitis
Im Januar 2023 stellte sich eine 44-jährige Patientin nachmittags notfallmäßig mit einer ausgedehnten Schwellung des linken Mittelgesichts einschließlich des linken Auges vor. Sie berichtete, dass ihr der Hauszahnarzt zwei Tage zuvor wegen Zahnschmerzen und Schwellung einen Zahn im linken Oberkiefer entfernt habe. Seit dem Eingriff fühle sie sich krank. Ihr Auge sei gerötet und in der vergangenen Nacht habe sie plötzlich Doppelbilder gesehen. Am Morgen sei eine Visusminderung am linken Auge hinzugekommen. Sie habe keine Allgemeinerkrankungen, sei nicht immunkompromittiert und nehme keine Dauermedikation ein.
Es bestand eine erhebliche Schwellung der linken Wangen- und Periorbitalregion, dazu eine Chemosis und eine Bindehautrötung. Der Augapfel war palpatorisch verhärtet, druckdolent und stand aus der Augenhöhle vor (Exophthalmus). Weiterhin lagen bei der grob orientierenden Untersuchung eine Visusminderung links und eine Motilitätseinschränkung beim Blick nach oben vor.
Doppelbilder wurden beim Blick geradeaus und nach oben wahrgenommen. Enoral zeigten sich eine frische Extraktionsalveole 25, eine Freiendsituation distal des Zahnes 24, ein verstrichenes Vestibulum im zweiten Quadranten sowie ein deutlicher Druckschmerz an der Kieferhöhlenvorderwand. Die Zähne 24, 23, 22, 21 waren perkussionsunempfindlich und reagierten sensibel auf Kälte (Abbildungen 1 bis 3).
Eine Einschränkung beim Sehen von Farben bestand nicht, wohl aber die subjektive Visusminderung und die Bewegungsstörung des Bulbus. Beides weist auf ein Chandler-Stadium mindestens III (subperiostaler Abszess meist ohne Visusminderung) oder gar IV (intraorbitaler Abszess oder diffuse Entzündungsausbreitung in der Orbita, Orbitaphlegmone) nach der Einteilung von Chandler [1970] hin.
Sowohl im Stadium III mit Visusminderung als auch im Stadium IV liegt eine dringliche Operationsindikation zur Drainage/Entfernung von Abszess beziehungsweise Retention, Druckentlastung und Schaffung freier Drainagewege der Nasennebenhöhlen vor [Weber, 2015; Craig et al., 2021; 2022].
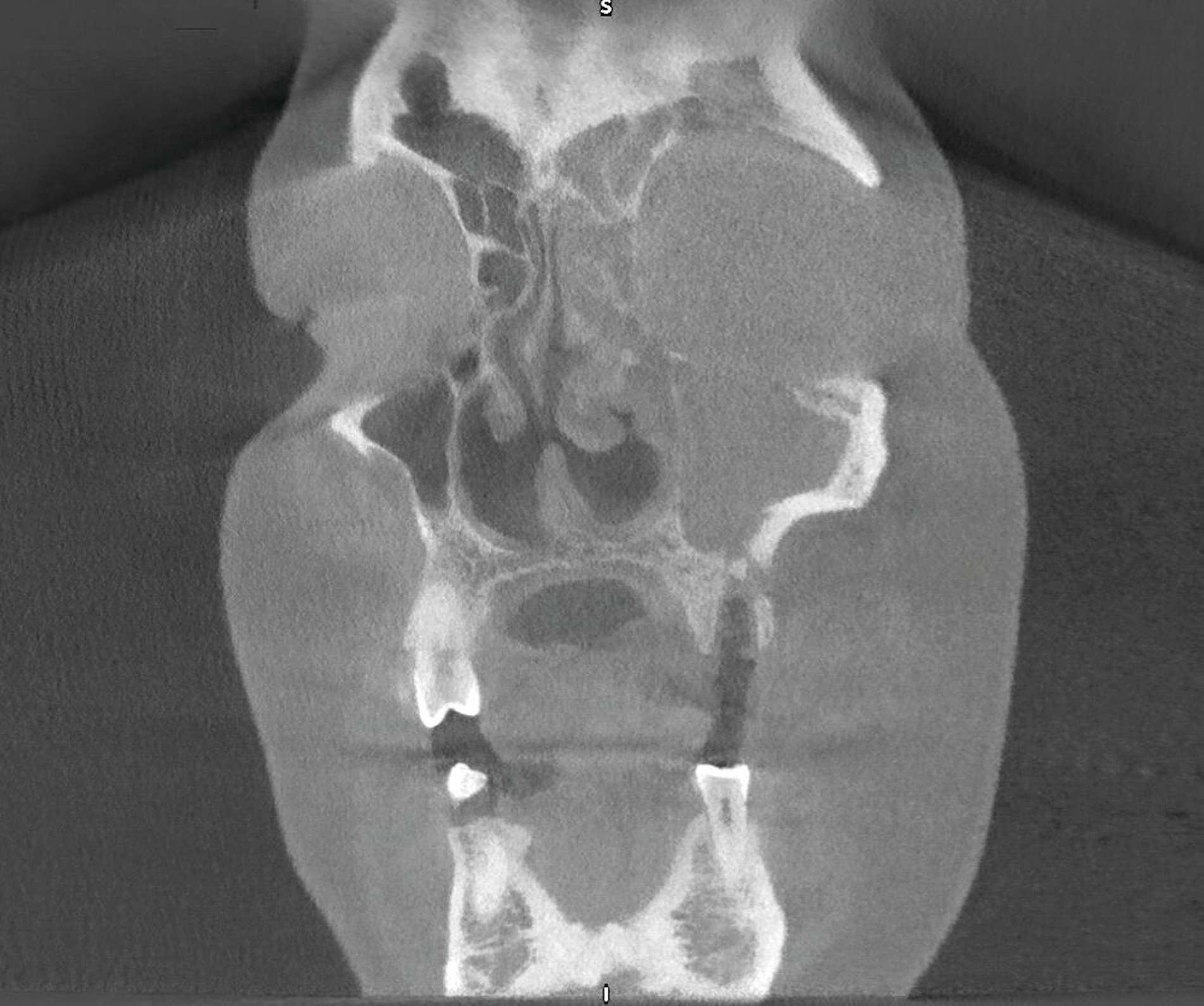
Aus diesem Grund wurde bereits nach der ersten klinischen Befundaufnahme ein Notfall-CT mit Kontrastmittel angemeldet, ein augenärztliches Konsil gestellt und der diensthabende HNO-Kollege konsiliarisch hinzugezogen. Zwischenzeitlich war ein DVT durchgeführt worden, das einen Wurzelrest 25 als offensichtliche Ursache der odontogenen Sinusitis maxillaris zeigte, die sich zudem auf Siebbein und Stirnhöhle ausgedehnt hatte (Abbildung 4).
Während der Anmeldungen und Konsilanforderungen wurde notfallmäßig in Lokalanästhesie der in situ verbliebene Wurzelrest 25 mittels Osteotomie entfernt und die Kieferhöhle über die Alveole eröffnet. Das Kieferhöhlenempyem wurde entlastet und ein Drainageröhrchen eingelegt. Es kam zu reichlich Abfluss übelriechenden Eiters (Abbildung 5) und zur merklichen Entlastung für die Patientin. Es wurden Abstriche für die mikrobiologische Untersuchung genommen und die Kieferhöhle wurde wiederholt mit NaCl gespült.
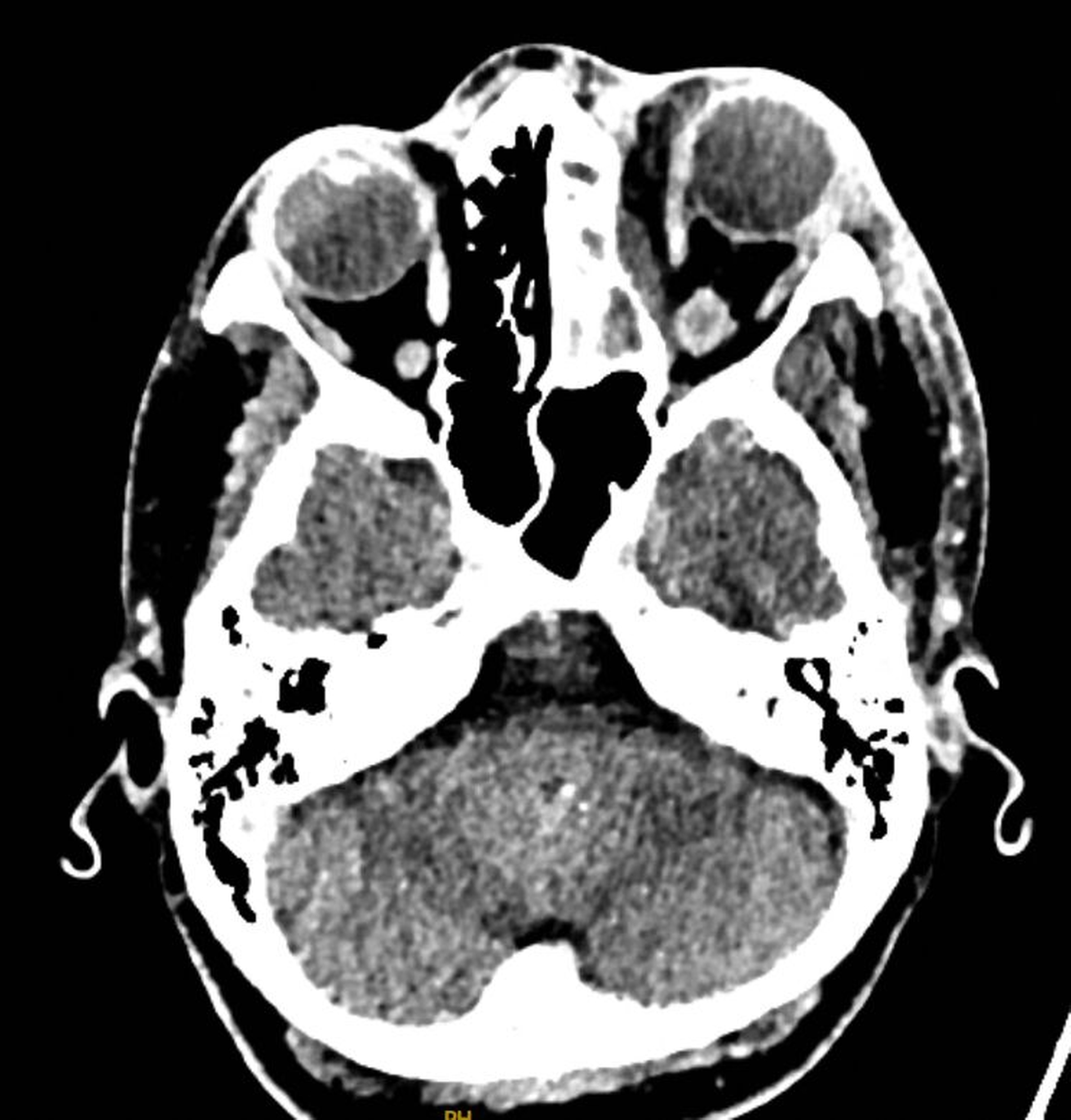
Im Unterschied zur DVT zeigte die Computertomografie mit Kontrastmittel einen medial lokalisierten subperiostalen Abszess in der linken Orbita mit umgebender entzündlicher Gewebereaktion, gedeutet als zumindest umschriebene Phlegmone (Abbildung 6). Die augenärztliche Untersuchung ergab einen Visus rechts von 1,0 und links von 0,63.
Anschließend wurde am selben Abend eine endonasale endoskopische Nasennebenhöhlenoperation links mit Uncinektomie, Kieferhöhlenfensterung Typ 3, anteriorer Ethmoidektomie und transethmoidaler Entlastung des Orbitaabszesses durchgeführt (Abbildung 7). Intraoperativ zeigte sich neben dem subperiostalen Abszess auch eine intraorbitale Abszesskomponente jenseits der Periorbita.
Bereits am ersten postoperativen Tag gab die Patientin eine Verbesserung des Visus am linken Auge an. Unter antiinfektiöser Therapie mit Ampicillin/Sulbactam 2.000/1.000 mg 1-1-1 und Metronidazol 500 mg 1-1-1 sowie unterstützenden abschwellenden Maßnahmen kam es zur Rückbildung der oben genannten Befunde. Im Verlauf wurde das enoral einliegende Drainagematerial entfernt und eine MAV-Deckung mittels Rehrmann-Lappen in Lokalanästhesie durchgeführt. Eine augenärztliche Verlaufsvorstellung zeigte vor Entlassung erfreulicherweise einen unauffälligen ophthamologischen Status mit kompletter Rückkehr der Sehkraft (Abbildung 8).
Die mikrobiologische Untersuchung des Eiters ergab das Vorliegen von Staphylococcus epidermidis (50.000/ml), Streptococcus intermedius (1.000.000/ml), Propionibacterien (50.000/ml) und Prevotellen (25.000/ml). Die antiinfektiöse Therapie wurde zunächst blind breit und dann antibiogrammgerecht durchgeführt.
Die histopathologische Untersuchung der Abszesskapsel ergab das Vorliegen einer hochgradig eitrigen Entzündung mit Übergreifen auf die Knochenlamellen.

Diskussion
Die odontogene Sinusitis entsteht in der Folge einer odontogenen Infektion oder einer zahnmedizinischen Behandlung. Sie ist von der meist beidseitigen rhinogenen Sinusitis abzugrenzen. Ihre Ursachen sind in absteigender Häufigkeit eine persistierende Mund-Antrum-Verbindung, eine apikale Parodontitis, ein Wurzelrest, eine Parodontitis, häufig mit Paro-Endo-Läsion, die Periimplantitis, gelegentlich auch odontogene Zysten, dislozierte Zähne oder Augmentationsmaterial nach Perforation der Schneider’schen Membran.
Odontogene Sinusitiden können bei einer Ausbreitung in Richtung Auge, Gehirn, Sinusvenen oder bei einer Durchwanderung knöcherner Strukturen lebensbedrohlich sein.
Die Häufigkeit einer odontogenen Sinusitis wird meist unterschätzt. Laut Melen et al. haben 40,6 Prozent der Patienten mit einer länger als drei Monate bestehenden Kieferhöhlensymptomatik eine odontogene Sinusitis [Melen et al., 1986; Turfe et al., 2019]. Ist eine Sinusitis maxillaris einseitig, so ist sie eher odontogen, besonders bei üblem Geruch.
Bei der einseitigen Sinusitis maxillaris sollte immer eine odontogene Ursache ausgeschlossen werden. Dabei ist neben der klinischen Untersuchung mit Perkussion und Vitalitätsproben aller Zähne der betroffenen Oberkieferseite eine radiologische Diagnostik notwendig. In der Regel reicht eine Panoramaschichtaufnahme aus. Gelegentlich ist eine Einzelzahndiagnostik mit Zahnfilmaufnahme notwendig. Selten ist eine DVT indiziert.
Aus HNO-Sicht und mit der Frage einer behandlungspflichtigen Sinusitis ist immer eine CT-/DVT-Diagnostik erforderlich beziehungsweise auch eine MRT, wenn es um orbitale oder endokranielle Komplikationen geht. Dies ist auch insofern wichtig, als dass die odontogene Sinusitis zu 88 Prozent das vordere Siebbein und bis zu 36 Prozent die Stirnhöhle involvieren kann [Turfe et al., 2019].
In einem aktuellen systematischen Review von 110 Fällen einer über die Nasennebenhöhlen hinausgehenden entzündlichen Komplikation waren 69 Prozent orbital, 19 Prozent endokraniell, acht Prozent orbital und endokraniell und vier Prozent ossär [Craig et al., 2022]. Dabei zeigte sich, dass in 16,1 Prozent der Fälle eine Zahnextraktion ohne MAV und in 3,2 Prozent der Fälle eine Zahnextraktion mit MAV in der Vorgeschichte der komplikationsbehafteten odontogenen Sinusitis eruierbar war. Hauptursache mit 62,9 Prozent der Fälle bleibt eine apikale Parodontitis. In 80 Prozent der Fälle ist der Fokuszahn ein Molar, in zwölf Prozent der Fälle ein Prämolar, in fünf Prozent der Fälle ein Schneidezahn und in drei Prozent der Fälle ein Eckzahn [Turfe et al., 2019].
Die orbitale Komplikation ist an der periorbitalen Schwellung und Rötung erkennbar. Die Ausbreitung der Infektion über die Kieferhöhle hinaus – und damit das Eintreten der Komplikation – ist eine Kombination aus der Aggressivität des Erregers, der Stärke beziehungsweise Schwäche der Immunabwehr und lokaler Drainage der Nasennebenhöhlen, die auch als Teil der lokalen Immunabwehr anzusehen ist.
Die Therapie besteht folgerichtig in der Antibiotikagabe, der Entfernung und Drainage von Abszess/Empyem sowie der Drainage der beteiligten Nasennebenhöhlen und der Beseitigung des auslösenden dentogenen Herdes. Im klinischen Ablauf ist die möglichst frühzeitige Gabe eines geeigneten Antibiotikums wichtig. Gleichzeitig muss über den klinischen Befund und die Bildgebung geklärt werden, ob eine kurzfristige operative Drainage eines (subperiostalen) Orbitaabszesses indiziert ist. Dies ist zum Beispiel bei einer Visusverschlechterung der Fall. Im Rahmen einer solchen Operation kann dann die Therapie der odontogenen Ursache interdisziplinär im gleichen Eingriff erfolgen.
Die Therapie des odontogenen Fokus kann ohne Nachteil für den Patienten auch zweizeitig erfolgen [Craig, 2024]. Zhao et al. führten bei 48 Patienten mit einer odontogenen Sinusitis eine alleinige endoskopische Nasennebenhöhlenoperation durch, ohne den Zahnherd zu sanieren. Immer wurde der natürliche Drainageweg zur Kieferhöhle erweitert, weitere Maßnahmen wurden dem Ausmaß der Entzündung angepasst. Im Verlauf von sechs Monaten kam es nur bei einem Patienten zu einem Rezidiv der Sinusitis, wonach der verursachende Zahn entfernt wurde [Zhao et al., 2023]. Wir empfehlen nicht, einen Zahnherd zu belassen. Diese Daten zeigen vielmehr, dass ein zweizeitiges Vorgehen ohne Zeitdruck möglich ist. Auch bei unserer Patientin muss von einem längeren Bestehen der Sinusitis ausgegangen werden.
Die Nasennebenhöhlenoperation erfolgt endoskopisch, außer in den wenigen Fällen, wenn der lateral liegende Befund von endonasal nicht zu erreichen ist [Weber, 2015]. Zu beachten ist, dass die korrekt durchgeführte endoskopische Nasennebenhöhlenoperation und gegebenenfalls die Drainage des Orbitaabszesses den natürlichen Drainageweg optimal freimacht. Zusätzliches Einlegen einer Drainage über den Mundvorhof ist nicht erforderlich. Eine Fensterung über den unteren Nasengang zur Drainage muss als obsolet bezeichnet werden [Weber, 2015].
Ziel ist, einen dauerhaften Schaden bis zur Erblindung zu verhindern. Bezüglich der Sehkraft im Verlauf einer orbitalen Komplikation konnten Craig et al. zeigen, dass 85,4 Prozent der Patienten eine Motilitätseinschränkung und 68,8 Prozent der Patienten eine Visusverminderung bei Vorstellung angeben. Nach einer Intervention zeigte sich eine Verbesserung der Motilitätseinschränkung in 86,1 Prozent der Fälle und eine Verbesserung der Visusminderung in 50 Prozent der Fälle [Youssef et al., 2008; Erickson et al., 2015].
Bei der Antibiotikatherapie ist zu beachten, dass das eingesetzte Antibiotikum ein breites Wirkspektrum im anaeroben Bereich abdecken sollte [Yassin-Kassab et al., 2021; Saibene et al., 2016]. In einer mikrobiologischen Untersuchung der Abszessinhalte zeigten sich in 88,5 Prozent der Fälle anaerobe Keime (Peptostreptococcus spp. 23,1 Prozent, Fusobacterium spp. 19,2 Prozent, Prevotella spp. 19,2 Prozent) und in 38,5 Prozent der Fälle aerobe Keime (a-hämolysierende Streptococcen 13,5 Prozent, mikroaerophile Streptococcen 9,6 Prozent, Streptococcus intermedius 5,8 Prozent).
Fazit für die Praxis
Odontogene Sinusitiden werden in der Häufigkeit unterschätzt.
Komplikative odontogene Sinusitiden können fulminante Verläufe zeigen.
Die interdisziplinäre Zusammenarbeit von MKG-Chirurgie, HNO-Heilkunde, Augenheilkunde und gegebenenfalls Neurochirurgie ist essenziell.
Eine zügige zielgerichtete Intervention ist anzustreben.
Ein zweizeitiges Vorgehen bezüglich der Fokussanierung ist ohne Zeitdruck möglich.
Eine interdisziplinäre Zusammenarbeit der Mund-Kiefer-Gesichtschirurgie mit der Hals-Nasen-Ohrenheilkunde, der Augenheilkunde und – im Bedarfsfall – der Neurochirurgie ist essenziell für ein gutes Outcome der Behandlung. Weiterhin sollten ohne große Verzögerungen sowohl die Ursache der odontogenen Sinusitis als auch die komplexe Anatomie der Nasennebenhöhlen sowie die Abszessformation bei einer Intervention adressiert werden. Endoskopische Verfahren sollten bei suffizientem Operationsergebnis genutzt werden.
Literaturliste
Chandler JR, Langenbrunner DJ, Stevens ER. The pathogenesis of orbital complications in acute sinusitis. Laryngoscope 1970; 80: 1414–1428.
Craig JR, Tataryn RW, Cha BY, et al. Diagnosing odontogenic sinusitis of endodontic origin: a multidisciplinary literature review. Am J Otolaryngol. 2021;42(3): 102925.
Craig JR. Odontogenic sinusitis: A state-of-the-art review. World J Otorhinolaryngol Head Neck Surg. 2022 Mar 22;8(1):8-15.
Craig JR, Cheema AJ, Dunn RT, Vemuri S, Peterson EL. Extrasinus Complications From Odontogenic Sinusitis: A Systematic Review. Otolaryngology–Head and Neck Surgery. 2022a;166(4): 623 - 632.
Craig JR, Saibene AM, Adappa ND, Douglas JE, Eide JG, Felisati G, Kohanski MA, Kshirsagar RS, Kwiecien C, Lee D, Makary CA, Palmer JN, Ray A, Wilson C, Kuan EC. Maxillary Antrostomy Versus Complete Sinus Surgery for Odontogenic Sinusitis With Frontal Sinus Extension. Laryngoscope. 2024 Aug 27. doi: 10.1002/lary.31731.
Erickson BP, Lee WW. Orbital cellulitis and subperiosteal abscess: a 5-year outcomes analysis. Orbit. 2015;34(3): 115 - 120.
Fokkens WJ, Lund VJ, Hopkins C, et al. European position paper on rhinosinusitis and nasal polyps 2020. Rhinology. 2020; 58(suppl 29):1 - 464.
Melen I, Lindahl L, Andreasson L, Chronic maxillary sinusitis. Definition, diagnosis and relation to dental infections and nasal polyposis. Acat Otolaryngol 1986, 101: 320 - 327.
Saibene AM, Vassena C, Pipolo C, et al. Odontogenic and rhino- genic chronic sinusitis: a modern microbiological comparison. Int Forum Allergy Rhinol. 2016;6(1): 41 - 45.
Troeltzsch M, Pache C, Troeltzsch M, Kaeppler G, Ehrenfeld M, Otto S, Probst F. Etiology and clinical characteristics of symptomatic unilateral maxillary sinusitis: A review of 174 cases. J Craniomaxillofac Surg. 2015 Oct;43(8): 1522-9. doi: 10.1016/j.jcms.2015.07.021. Epub 2015 Jul 29. PMID: 26319958.
Turfe Z, Ahmad A, Peterson EI, Craig JR. Odontogenic sinusitis is a common cause of unilateral sinus disease with maxillary sinus opacification. Int Forum Allergy Rhinol. 2019 Dec;9(12):1515-1520.
Turfe Z, Ahmad A, Peterson EI, Craig JR. Odontogenic sinusitis is a common cause of unilateral sinus disease with maxillary sinus opacification. Int Forum Allergy Rhinol. 2019;9(12): 1515 - 1520.
Weber RK. Aktueller Stand der endonasalen Nasennebenhöhlenchirurgie. Laryngo-Rhino-Otol 2015; 94: S64–S142.
Yassin-Kassab A, Bhargava P, Tibbetts RJ, et al. Comparison of bacterial maxillary sinus cultures between odontogenic sinusitis and chronic rhinosinusitis. Int Forum Allergy Rhinol. 2021; 11(1): 40 - 47.
Youssef OH, Stefanyszyn MA, Bilyk JR. Odontogenic orbital cellulitis. Ophthalmic Plast Reconstr Surg. 2008;24(1): 29 - 35.
Zhao X, Li Z, Liu J. The Necessity of Subsequent Dental Treatment for Odontogenic Sinusitis After Endoscopic Sinus. Surgery Ear, Nose & Throat Journal 1–7. 2023. doi: 10.11777/01455613231196105.
















