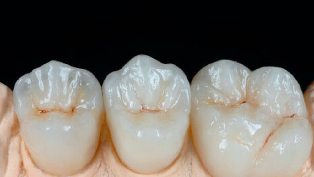
GC Initial LiSi: Ästhetik der nächsten Dimension
Mit der bekannten Initial-Linie verfügt GC über mehr als zwölf Jahre Erfahrung mit hochwertigen keramischen Werkstoffen. Neuestes Familienmitglied ist Initial LiSi – eine Keramik, die explizit für die Verblendung von Lithium-Disilikat entwickelt wurde. Das Ergebnis dieser Forschungs- und Entwicklungsarbeit ist eine außergewöhnliche Verblendkeramik mit begeisternder Ästhetik und kräftigen Farben. Mit seiner hohen Stabilität auch bei Mehrfachbränden garantiert LiSi vorhersagbar hochwertige Ergebnisse, wobei die Materialeigenschaften zudem einen abgestimmten Wärmeausdehnungskoeffizienten zu Folge haben und ein Brennen bei geringen Temperaturen erlauben.
Für Initial-Anwender ist eine kurze Eingewöhnung an das System garantiert, da sich Handling und Schichtungsaufbau größtmöglich an das bekannte Initial-Konzept anlehnen. Bei Bedarf können wie gewohnt auch die GC Initial Lustre-Pastes NF zur Individualisierung herangezogen werden. Ein weiteres Plus für die tägliche Laborarbeit: Das „Baukastenprinzip“ von Initial LiSi gibt dem Zahntechniker die Freiheit, sich sein Sortiment selbst zusammenzustellen. Ausgangspunkt hierbei ist stets ein Basis-Set, das der Anwender individuell nach seinen Wünschen und den Laboranforderungen erweitern kann. Kostspielige und überdimensionierte Komplett-Sets gehören damit der Vergangenheit an. So behält der Techniker maximale Kontrolle über seine Materialpalette.
Mit den drei vorgeschlagenen Schichtungs- beziehungsweise Verarbeitungsvarianten LiSi-One, -Classic und -Expert eröffnet das System dem Zahntechniker alle Optionen – von der kostengünstigen Verblendung bis hin zur hochästhetischen High-End-Variante. So sind den Patientenwünschen keine Grenzen mehr gesetzt. LiSi bietet somit Ästhetik in seiner reinsten Form und gibt Labor und Techniker die Freiheit, fallspezifisch und effizient zu agieren.
Weitere Informationen zur GC Initial LiSi-Verblendkeramik sowie zu allen weiteren Produkten des Initial-Systems finden Sie unter:http://www.gceurope.com _blank external-link-new-window






