Individuelle Vollzirkon-Abutments für Keramik
Zur IDS hat CAMLOG mit CERALOG ein zweiteiliges, reversibel verschraubbares vollkeramisches Implantatsystem auf den Markt gebracht und bietet, wohl als erster Hersteller, ein individuelles vollkeramisches Abutment. Was sind die Hintergründe?Steiner:
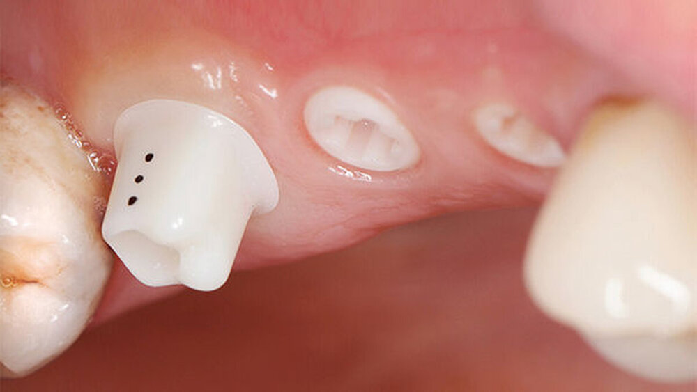
Mit dem CAD/CAM-gefertigten DEDICAM Vollzirkon‧abutment lassen sich auf den Patienten zugeschnittene Keramiklösungen realisieren. Um ein passgenaues individuelles Abutment aus Zirkon herstellen zu können, ist ein außergewöhnlich hohes Materialwissen notwendig. Fräsradien sind zu berücksichtigen und ausgeklügelte Sinterstrategien zu fahren. Als erster Hersteller individueller Zirkonabutments auf Zirkoniumdioxidimplantaten geht CAMLOG auch dabei sehr konsequent seinen erfolgreichen Weg weiter. Mit dem klinisch erprobten CERALOG System und unserer Implantatkompetenz bieten wir unseren Kunden innovative Versorgungsalternativen für die besonderen Anforderungen ihrer Patienten.
Eignet sich so ein individuelles Vollzirkonabutment für alle zweiteiligen Keramikimplantate?Steiner:
Die Implantat-Abutment-Innenkonfiguration muss auf das Material Zirkondioxid abgestimmt sein. Das zweiteilige CERALOG Implantatsystem besitzt eine speziell optimierte Hexalobe-Verbindung. Diese Verbindung bewirkt im Vergleich zu einer Sechskantverbindung eine deutliche Reduktion des Beanspruchungsniveaus. So haben wir uns ausschließlich auf CERALOG konzentriert und sind damit systemintern sicher, dass wir die Ergebnisse vorhersagen und reproduzieren können.
Das heißt?Steiner:
Die Kraft wird tangential in das Implantat eingeleitet, es entstehen keine Spannungsspitzen. Das Abutment der CERALOG Hexalobe-Implantate wird mit einer Titan- oder einer holistischen Goldschraube im Implantat verschraubt.
Eine reversibel verschraubbare Prothetiklösung haben nur die neuesten Generationen der zweiteiligen Keramikimplantate. Die erste Genera‧tion setzte auf einteilige Systeme oder verklebte Innenverbindungen. Wo sehen Sie die Vorteile?Steiner:
Die intraorale Verklebung hat so ihre Tücken und braucht etwas Übung. Durch die echte Zweiteiligkeit des CERALOG Implantats hat der Anwender ähnliche chirurgische und technische Abläufe, wie er sie von Titanimplantaten gewöhnt ist. Das hat den Vorteil, dass man die Konstruktion ein- und ausschrauben kann, um sich das prothetisch-ästhetische Ergebnis schrittweise zu erarbeiten und in der Folge einer langjährigen Tragedauer ggf. der dann aktuellen Patientensituation anzupassen. Schon nach der Insertion können die Implantatpositionen gescannt und die individuellen Abutments während der Einheilphase hergestellt werden. Bei der Eröffnung könnten diese schon eingesetzt und provisorisch versorgt werden.
Wie stellt sich dieser Prozess dar?Steiner:
In der Regel beauftragt der Zahnarzt das Dentallabor mit der prothetischen Versorgung. Eine konventionelle Abformung oder auch ein Intraoral‧scan dient als Arbeitsgrundlage. Das Dentallabor tritt mit uns in Kontakt, um sich für DEDICAM zu registrieren, wenn bis dahin noch keine Beziehung zu DEDICAM bestand. Beim Design der Zirkon‧dioxidabutments sind spezielle Parameter zu Material und Produkt zu berücksichtigen. Unsere Zahntechniker aus dem DEDICAM Team beraten im Vorfeld und prüfen anschließend das Design.
Falls der Kunde nicht selbst konstruiert, übernimmt das der DEDICAM Scan & Design Service und beauftragt nach Kundenabsprache die Fertigung. Einzelzahnversorgungen können auch im Filesplitting beauftragt werden, das heißt simultane Konstruktion und Produktion von Abutment und Krone bzw. Kronengerüst.
Wie wichtig ist in diesem Zusammenhang die Teamarbeit von Zahntechniker, Zahnarzt und eben jetzt CAMLOG?Steiner:
Das Teamgefüge zwischen Zahnarzt und Zahntechniker bleibt unangetastet. Der Zahnarzt prüft die Machbarkeit hinsichtlich der medizinischen Komponente, der Zahntechniker hinsichtlich der technischen, und das alles zum Wohle des Patienten. Der erhält eine ästhetische Vollzirkonlösung. Die Oberflächenstruktur sowie das Material des Abutments unterstützen die Weichgewebsadaptation.
DEDICAM pflegt bekanntlich eine Kooperation mit ConnectDental von Henry Schein Deutschland. Welche Vorteile ergeben sich daraus?Steiner:
Die Kooperation von DEDICAM und ConnectDental bietet die Möglichkeit der volldigitalen Workflowlösungen für Labore und Zahnärzte. Damit schaffen wir es, unsere Kunden untereinander und mit DEDICAM zu vernetzen. Wir gestalten Schnittstellen: DEDICAM ist für die CAD/CAM-Prothetik und Versorgungskonzepte verantwortlich und ConnectDental übernimmt die Bereitstellung und technische Integration der Infrastruktur.






