Aplasie der oberen Zweier – wie hätten Sie entschieden?
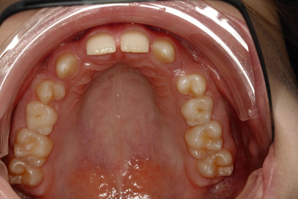
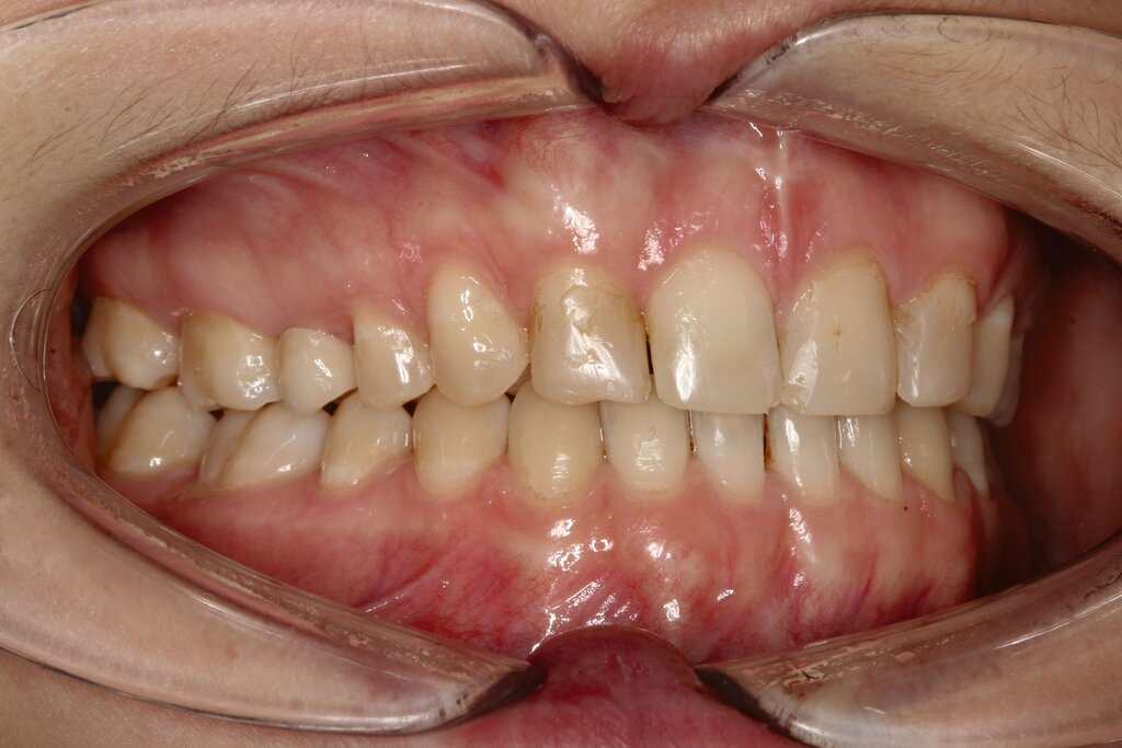
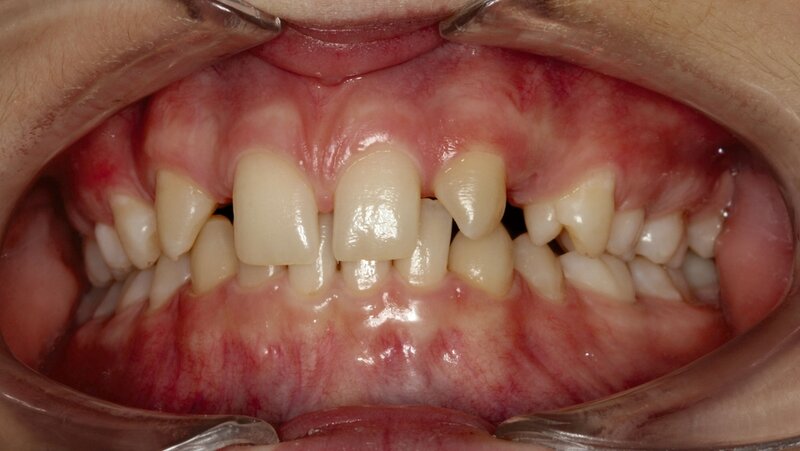
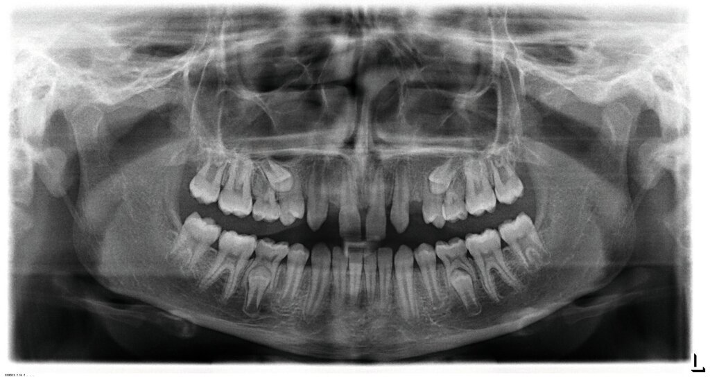
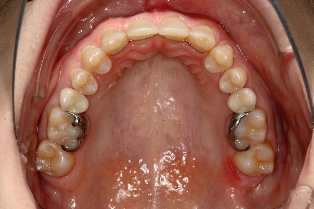
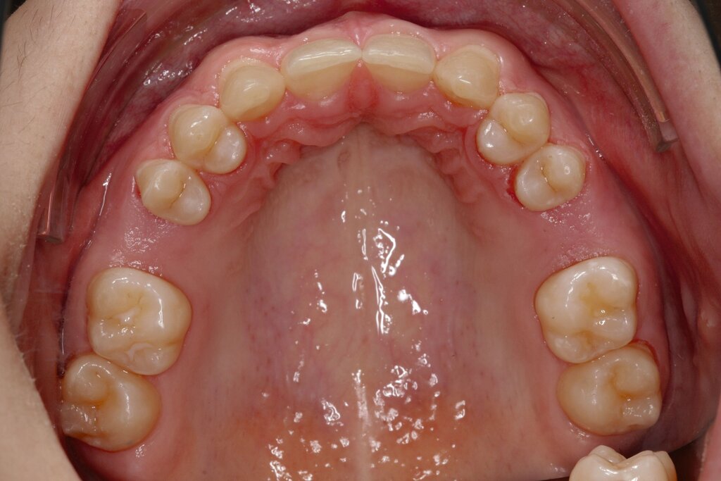
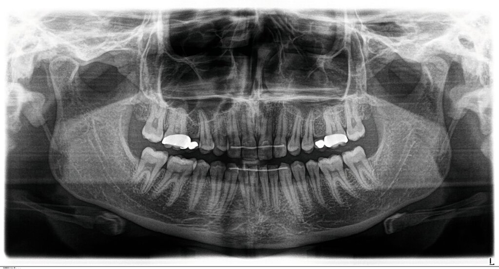
Bei dem gut zwölfjährigen Mädchen sind die seitlichen oberen Schneidezähne (Zähne 12 und 22) nicht angelegt. Zusätzlich zeigten sich verlagerte zweite obere Prämolaren.
Nichtanlagen bleibender Zähne haben in der europäischen Bevölkerung eine Prävalenz von 5,5 bis 7 Prozent mit einer Prädilektion des weiblichen Geschlechts mit einem Faktor von 1,37. Abgesehen von den Weisheitszähnen sind am häufigsten die zweiten Prämolaren im Unterkiefer, gefolgt von den oberen seitlichen Schneidezähnen und den oberen zweiten Prämolaren nicht angelegt. Nichtanlagen müssen in den meisten Fällen interdisziplinär behandelt werden [Polder et al., 2004; Créton et al., 2010].
Deutscher Zahnärztetag 2025
Der Deutsche Zahnärztetag stellt in diesem Jahr eine besondere Veranstaltung dar: Erstmals seit 2015 wird er wieder als große Gemeinschaftstagung der zahnmedizinischen Fachgesellschaften ausgerichtet. Rund 30 Fachgesellschaften und Arbeitskreise der Deutschen Gesellschaft für Zahn-, Mund- und Kieferheilkunde (DGZMK) werden im Zeitraum vom 30. Oktober bis zum 1. November 2025 ihre jeweiligen Jahreskongresse, Symposien sowie ergänzenden Fachbeiträge im Estrel Congress Center Berlin abhalten.
Dabei steht die interdisziplinäre Patientenversorgung mit sechs ausgewählten, komplexen Behandlungsfällen im Zentrum des wissenschaftlichen Hauptprogramms. Unter der Federführung jeweils einer zahnmedizinischen Fachgesellschaft diskutieren Expertinnen und Experten an den beiden Hauptkongresstagen praxisnahe Fallkonstellationen. Besonders wertvoll ist dabei die fachübergreifende Expertise, denn kaum jemand ist in allen Disziplinen der Zahnmedizin gleichermaßen versiert. Weitere Informationen und das Programm unter: www.zmk-gemeinschaftskongress.de.
b) im Oberkiefer von okklusal nach Mesialisierung von 13, 14 und 15 sowie 23, 24 und 25 und Lückenöffnung außerhalb der ästhetischen Zone mesial 16 und 26
Therapieoptionen aus Sicht der Kieferorthopädie
Bei Nichtanlagen von bleibenden Zähnen, insbesondere im Bereich der Oberkiefer-Front, muss zunächst die Entscheidung getroffen werden, ob im individuellen Fall ein kieferorthopädischer Lückenschluss mit odontoplastischer Umgestaltung von Zähnen und Verkürzung der oberen Zahnreihe oder die Lückenöffnung für eine spätere prothetische oder implantat-prothetische Versorgung erfolgen soll. Dieser Prozess folgt einem Entscheidungsalgorithmus, der alle sonstigen dentalen und skelettalen Befunde umfassen muss. Eine exakte und angemessene kieferorthopädische Diagnostik ist obligat.
Nach differenzialtherapeutischer Abwägung und Bewertung und unter Berücksichtigung des Wunsches der Patientin wird die Behandlungsstrategie interdisziplinär festgelegt. Aus kieferorthopädischer Sicht sind dabei
generelle Parameter (skelettale Klasse, Overbite, Overjet, Alter, Wachstumsmuster, Phase der Gebissentwicklung, Lippenprofil, Lippenmorphologie und Lachlinie, funktionelle Befunde),
lokale Parameter (Platzverhältnisse, sonstige Dentition, Frontzahninklination und -position, apikale Basis, Morphologie und Farbe der substituierend einzustellenden Zähne, Abstützungssituation im Gegenkiefer)
und sekundäre Parameter (Mitarbeit, Mundhygiene, ökonomische Verhältnisse, Langzeitprognose, Patientenwunsch)
mit Sorgfalt zu berücksichtigen, zu bewerten und abzuwägen.
von Univ.-Prof. Dr. Dr. Peter Proff
Therapieoptionen aus Sicht der Prothetik
Vor der prothetischen Versorgung sollte zunächst eine kieferorthopädische Behandlung mit einer Ausformung der Zahnbögen mit Beseitigung des tiefen Bisses und regelrechter Einstellung der Zähne 13, 23, 15 und 25 erfolgen. Durch die regelrechte Einstellung der Eckzähne ergibt sich eine Lückenöffnung im Bereich der Nichtanlagen regio 12 und 22. Ein besonderes Augenmerk sollte auf eine symmetrische Einstellung der Lückenbreiten gelegt werden.
Optionen des Einzelzahnersatzes
Zur festsitzenden Versorgung von Einzelzahnlücken stehen grundsätzlich konventionelle Brücken, Einzelzahnimplantate oder Adhäsivbrücken zur Verfügung. Zwar gilt die konventionelle Brücke zum Lückenschluss als Regelversorgung, aufgrund des hohen Verlusts an gesunder Zahnhartsubstanz bei der Zahnpräparation der naturgesunden potenziellen Pfeilerzähne sollte diese Therapieoption im vorliegenden Fall jedoch nicht erwogen werden [Edelhoff und Sorensen, 2002].
Spätere Implantation?
Eine implantatprothetische Versorgung der Lücken Regio 12 und 22 ist aufgrund des jugendlichen Alters der Patientin kontraindiziert. Auch nach Abschluss des transversalen Kieferwachstums ist von einem klinisch relevanten vertikalen Wachstum im Bereich der Alveolarfortsätze auszugehen [Bernard et al., 2004; Thilander, 2009]. Da das Implantat dem vertikalen Wachstum nicht folgt, ist im späteren Lebensalter mit einem Hochstand des Implantats und einer Infraokklusion der Implantatkrone zu rechnen. Insbesondere bei einer hohen Lachlinie führt diese Asymmetrie darüber hinaus zu teils erheblichen ästhetischen Einbußen. Es erscheint sinnvoll, Implantationen im ästhetisch relevanten Bereich erst im höheren Lebensalter (25 Jahre und älter) durchzuführen.
Adhäsivbrücken als inzwischen etablierte Frontzahnversorgung
Adhäsivbrücken zum Ersatz von Frontzähnen galten lange als provisorische Versorgung, insbesondere bei jugendlichen Patienten zur Überbrückung der Zeit bis zu einer möglichen Implantation. Allerdings zeigen Studien zu einflügeligen vollkeramischen Adhäsivbrücken bei korrekter Indikationsstellung und adäquatem klinischem Vorgehen exzellente Überlebensraten [Kern et al., 2025]. Im Frontzahnbereich sind Adhäsivbrücken heute Regelversorgung und gelten somit als definitiver Zahnersatz. Bei unserer zwölfjährigen Patientin erscheint die einflügelige vollkeramische Adhäsivbrücke als Mittel der Wahl zur prothetischen Versorgung der Lücken Regio 12 und 22. Die karies- und füllungsfreien zentralen Inzisivi sind als Pfeilerzähne geeignet, kieferorthopädisch können die Platzverhältnisse für Adhäsivflügel und Verbinder vorab optimal eingestellt werden. Einflügelig gestaltet, beeinträchtigen sie das Kieferwachstum der jugendlichen Patientin nicht.
Adhäsivbrücken im Seitenzahnbereich?
Entscheidet sich die Patientin gegen eine Lückenöffnung im Bereich der anterioren Nichtanlagen und für einen kieferorthopädischen Lückenschluss durch Mesialisierung der Eckzähne, so verlagert sich der Platzüberschuss in den Seitenzahnbereich. Auch im Seitenzahnbereich stehen die oben genannten Therapieoptionen konventionelle Brücke und Einzelzahnimplantat mit den jeweiligen Vor- und Nachteilen zur Verfügung.
Adhäsivbrücken zum Ersatz von Seitenzähnen sind bei entsprechenden Platzverhältnissen prinzipiell möglich, und erste Studienergebnisse zu einflügeligen vollkeramischen Adhäsivbrücken in Prämolarenbreite zeigen vielversprechende Ergebnisse [Passia et al., 2023; Yazigi und Kern, 2022]. Aufgrund der geringen Datenlage zu dieser Therapieoption sind sie aktuell aber noch als experimentell einzustufen.
von Univ.-Prof. Dr. Nicole Passia
Therapieoptionen aus Sicht der Zahnerhaltung
Entscheidungshilfen Lückenöffnung/Lückenschluss
Für die Entscheidung zwischen einem kieferorthopädischen Lückenschluss und der Lückenöffnung spielen aus restaurativer Sicht dentale Parameter wie Farbe, Form und Position des Eckzahns (und gegebenenfalls des kontralateralen Zweiers) eine maßgebende Rolle. So sprechen etwa ein hoher Gingivaverlauf und eine erforderliche starke Farb- und Formanpassung des Eckzahns für eine kieferorthopädische Lückenöffnung. Der kieferorthopädische Lückenschluss wird hingegen eher in Betracht gezogen, wenn die Eckzähne relativ schmale Zahnkronen aufweisen, und Farbe und Form des Eckzahns akzeptabel zum Ersatz eines oberen Zweiers sind. Die Vorteile dieser Therapieform liegen darin, den fehlenden Zahn durch einen eigenen Zahn zu ersetzen, so dass keine kostenaufwendigen prothetischen Versorgungen im Erwachsenenalter folgen müssen und die Problemlösung bereits im jugendlichen Alter abgeschlossen werden kann [Terheyden und Wüsthoff, 2015].
Restaurative Maßnahmen nach kieferorthopädischem Lückenschluss im Frontzahngebiet
Nach kieferorthopädischem Lückenschluss besteht die ästhetische Herausforderung darin, die betroffenen Zähne nach deren Mesialisierung (in der Regel die ersten Prämolaren und Eckzähne im Oberkiefer) in ihrer Form zu korrigieren und so an ihre neue Position in der ästhetisch relevanten Zone anzugleichen. Ästhetische Korrekturen, die früher nur mit prothetischen Mitteln (oder kieferorthopädischen Maßnahmen allein) zu realisieren waren, sind heute minimalinvasiv mittels Adhäsivtechnik und hochästhetischen Kompositmaterialien zu erzielen. Die mittlerweile verfügbaren Langzeitdaten belegen die sehr gute Prognose und Eignung von direkten Zahnformkorrekturen als definitive Versorgungsart [Frese et al., 2020; Hahn et al. 2020].
Odontoplastische Umformung des Oberkiefer-Eckzahns zu einem seitlichen Schneidezahn:Die odontoplastische Umformung der Eckzähne zu lateralen Schneidezähnen stellt die zentrale restaurative Maßnahme dar. Dies erfolgt in der Regel minimalinvasiv durch inzisale Kompositaufbauten, eventuell in Kombination mit einem externen Bleichen sowie auf den Zahnschmelz begrenzte subtraktive Maßnahmen. Subtraktive Maßnahmen umfassen eine mesio-distale sowie labiale Reduktion, die Abtragung der Eckzahnspitze und eine palatinale Rekonturierung um Frühkontakte mit dem antagonistischen Zweier zu vermeiden [Zachrisson und Mjör, 1975].
Odontoplastische Umformung des ersten Oberkiefer-Prämolaren zum Eckzahn: Bei Bedarf werden auch kleinere Korrekturen an den ersten Prämolaren vorgenommen, um sowohl die Okklusion als auch die Ästhetik weiter zu optimieren. Die Abtragung des palatinalen Höckers kann notwendig sein, um eine störungsfreie dynamische Okklusion mit Gruppenführung auf der Arbeitsseite zu schaffen und Störkontakte auf der Balanceseite zu verhindern [Asher und Lewis, 1986; Sabri, 1999].
Odontoplastische Umformung hypoplastischer Zweier: Für den Fall der unilateralen Nichtanlage eines oberen Zweiers, handelt es sich in fast der Hälfte der Fälle beim kontralateralen Zweier um einen hypoplastischen Zahn [Kabbani et al., 2017]. Für direkte Zahnumformungen hat sich die individuelle Matrizentechnik als eine universell anwendbare Technik bewährt. Die Technik wurde von Klaiber ausführlich beschrieben [Klaiber et al., 2001].
Konservierende Lösungen nach kieferorthopädischer Lückenöffnung im Frontzahngebiet
Bei kieferorthopädischer Lückenöffnung im Bereich der nicht angelegten oberen Zweier stehen im noch wachsenden Kiefer, in dem Implantatversorgungen noch nicht infrage kommen, die Autotransplantation eines Prämolaren und die Adhäsivbrückenversorgung zur Verfügung:
Autotransplantation von Prämolaren: Die Transplantation von Prämolaren mit nicht abgeschlossenem Wurzelwachstum ist bei Kindern ab neun Jahren möglich. Die transplantierten Zähne werden mittels direkter Komposittechnik umgeformt, um die Ästhetik und die Funktion der transplantierten Zähne an ihre neue Position anzugleichen. Auch wenn sich die Anatomie – etwa im Bereich des Wurzelaustritts – naturgemäß vom ersetzten Zahn unterscheiden kann, lassen sich in der Regel ansprechende (oder akzeptable) Ergebnisse erzielen. Wichtige prognostische Faktoren – neben dem Entwicklungsstadium der Wurzel – sind eine gewebeschonende Entnahme und das schnelle Einsetzen in das Empfängerfach. Komplikationen wie Wurzelresorptionen oder Ankylosen sind möglich, treten aber bei korrekter Indikationsstellung und Technik selten auf [Akhlef et al., 2024].
Adhäsivbrückenversorgung: Einflügelige Adhäsivbrücken haben sich heute gegenüber den zweiflügeligen Adhäsivbrücken durchgesetzt. Sie können bei Kindern ab etwa zehn Jahren und Jugendlichen vor Abschluss des transversalen Kieferwachstums zum Einsatz kommen. Sie können problemlos in eine kieferorthopädische Therapie einbezogen werden und alle übrigen restaurativen Therapien wie Implantate und konventioneller Zahnersatz bleiben für einen späteren Zeitpunkt erhalten. Bei bilateraler Aplasie der oberen Zweier wird der Einsatz verblockter Freiend-Adhäsivbrücken empfohlen. Eine Verblockung der oberen Einser gewährleistet in diesem Fall eine Dauerretention beziehungsweise verhindert ein Diastema mediale. Während glasfaserverstärkte Komposit-Adhäsivbrücken auf Basis der verfügbaren Daten heute nur noch als eine langzeitprovisorische Therapieform zum Ersatz von Einzelzähnen im Front- und Seitenzahnbereich empfohlen werden können [Ahmed et al., 2017], stellen einflügelige vollkeramische Frontzahn-Adhäsivbrücken bei richtiger Indikationsstellung und fachgerechtem labortechnischem und klinischem Vorgehen heute adäquate Therapiemittel dar [Jerg et al., 2021].
von Dr. Britta Hahn
Was wurde im konkreten Fall gemacht und warum?
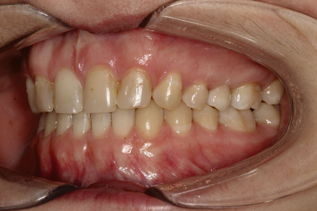
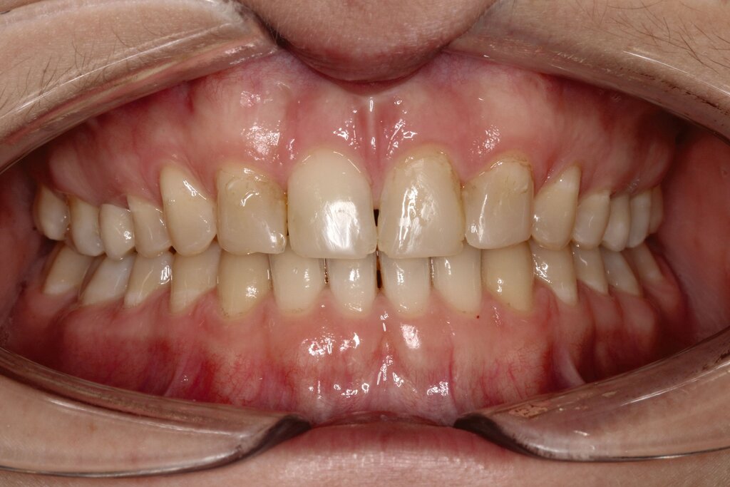
Im vorliegenden Fall stand der Zahn 23 bereits im Mesialstand bei hoher Lachlinie und tendenziell konkavem Lippenprofil. Bezüglich Morphologie und Farbe waren die Zähne 13 und 23 nicht ausgeprägt eckzahntypisch. Es bestand kein Platzmangel im Gegenkiefer. Die Patientin war bei der Erstdiagnose 12,5 Jahre alt und im Wechselgebiss der zweiten Phase mit atypischer Durchbruchreihenfolge. Es bestand eine geringfügige Klasse II. Der Overjet war vergrößert bei vertikaler Wachstumstendenz, der Overbite war um circa einen Millimeter vergrößert aufgrund der geringfügigen Steilstellung der Oberkiefer-Front. Es bestand der Verdacht auf Nichtanlage der Weisheitszähne, 15 und 25 waren verlagert.
Daher wurde ein Lückenmanagement mit Lückenschluss in der Oberkiefer-Front und Lückenöffnung mesial 16 und 26 außerhalb der ästhetischen Zone angestrebt. Eine implantatprothetische Versorgung kam aufgrund des jungen Alters der Patientin nicht infrage. Die Autotransplantation eines Prämolaren war ebenfalls ausgeschlossen, da kein Engstand und keine Indikation zur Ausgleichsextraktion bestanden.

Eine vollständige Mesialisation der Dentition im ersten und im zweiten Quadranten wurde von der Patientin zur Abkürzung der Behandlungsdauer nicht gewünscht. Ferner bestand der Verdacht auf Nichtanlage von 18 und 28, was bei einer vollständigen Mesialisation des ersten und des zweiten Quadranten zu einer fehlenden Abstützung von 37 und 47 führen kann. Der Rezessus der Kieferhöhle war rechts tief. Alternativ wäre in diesem Fall auch die Lückenöffnung in Regio 12 und 22 denkbar, allerdings dann mit einer prothetischen Restauration in der ästhetischen Zone bei hoher Lachlinie.
Literaturliste
Akhlef Y, Hosseini M, Schwartz O, Andreasen JO, Gerds TA, Jensen SS. Autotransplantation of Premolars to the Anterior Maxilla: A Long-Term Retrospective Cohort Study of Survival, Success, Esthetic, and Patient-Reported Outcome With up to 38-Year Follow-Up. Dent Traumatol. 2025 Jun;41(3):322-337. doi: 10.1111/edt.13025.
Alkadhimi A, Razaghi N, Elder A, DiBiase AT. Camouflaging the permanent maxillary
Asher C, Lewis DH. The integration of orthodontic and restorative procedures in cases with missing maxillary incisors. Br Dent J. 1986 Apr 5;160(7):241-5. doi: 10.1038/sj.bdj.4805823. PMID: 3458483.
Bernard JP, Schatz JP, Christou P, Belser U, Kiliaridis S. Long-term vertical changes of the anterior maxillary teeth adjacent to single implants in young and mature adults. A retrospective study. J Clin Periodontol 2004;31:1024-1028.
Créton M, Cune M, Verhoeven W, Muradin M, Wismeijer D, Meijer G. Implant treatment in patients with severe hypodontia: a retrospective evaluation. J Oral Maxillofac Surg. 2010;68:530–8.
Edelhoff D, Sorensen JA. Tooth structure removal associated with various preparation designs for anterior teeth. J Prosthet Dent 2002;87:503-509.
Frese C, Wohlrab T, Soliman S, Hahn B, Büsch C, Babai A, Krastl G, Wolff D: A Multicenter Trial on the Long-term Performance of Direct Composite Buildups in the Anterior Dentition - Survival and Quality Outcome. J Adhes Dent. 2020;22(6):573-580. doi: 10.3290/j.jad.a45514.
Hahn B, Wohlrab T, Frese C, Wolff D, Krastl G, Büsch C, Babai A, Schlagenhauf U, Soliman S: A Multicenter Trial on the Long-term Performance of Direct Composite Buildups in the Anterior Dentition – Periodontal Health. J Adhes Dent. 2020;22(5):465-474. doi: 10.3290/j.jad.a45177.
Kabbani T, Abdullah N, Rsheadat Y, Hassan MI. Prevalence of isolated maxillary lateral incisor agenesis in Syrian adolescents. J Orofac Orthop. 2017 Jan;78(1):62-69. English. doi: 10.1007/s00056-016-0064-y.
Kern M, Türp L, Yazigi C. Long-term outcome of anterior cantilever zirconia ceramic resin-bonded fixed dental prostheses: Influence of the pontic location. J Prosthet Dent 2025.
Klaiber B, Hugo B, Hofmann N. Improving outcome: anterior restorations. In: Wilson N, Roulet F, Fuzzi M (Hrsg) Advances in operative dentistry. Challenges of the future. Quintessenz 2001, Berlin, S 185–196.
Passia N, Chaar MS, Kern M. Clinical outcome of posterior cantilever resin-bonded fixed dental prostheses using two different luting agents. J Prosthodont Res 2023;67:161-163.
Polder BJ, Van‘t Hof MA, Van der Linden FPGM, Kuijpers-Jagtman AM: A meta-analysis of the prevalence of dental agenesis of permanent teeth. Comm Dent Oral Epidemiol 2004: 32: 217-226.
Sabri R. Management of missing maxillary lateral incisors. J Am Dent Assoc. 1999 Jan;130(1):80-4. doi: 10.14219/jada.archive.1999.0032.
Terheyden H, Wüsthoff F. Occlusal rehabilitation in patients with congenitally missing teeth-dental implants, conventional prosthetics, tooth autotransplants, and preservation of deciduous teeth-a systematic review. Int J Implant Dent. 2015 Dec;1(1):30. doi: 10.1186/s40729-015-0025-z.
Thilander B. Dentoalveolar development in subjects with normal occlusion. A longitudinal study between the ages of 5 and 31 years. Eur J Orthod 2009;31:109-120.
Yazigi C, Kern M. Clinical evaluation of zirconia cantilevered single-retainer resin-bonded fixed dental prostheses replacing missing canines and posterior teeth. J Dent 2022;116:103907.
Zachrisson BU, Mjör IA. Remodeling of teeth by grinding. Am J Orthod. 1975 Nov;68(5):545-53. doi: 10.1016/0002-9416(75)90085-8.
Zachrisson BU. Improving orthodontic results in cases with maxillary incisors missing. Am J Orthod. 1978 Mar;73(3):274-89. doi: 10.1016/0002-9416(78)90134-3.
Bei dem gut zwölfjährigen Mädchen sind die seitlichen oberen Schneidezähne (Zähne 12 und 22) nicht angelegt. Zusätzlich zeigten sich verlagerte zweite obere Prämolaren.
Nichtanlagen bleibender Zähne haben in der europäischen Bevölkerung eine Prävalenz von 5,5 bis 7 Prozent mit einer Prädilektion des weiblichen Geschlechts mit einem Faktor von 1,37. Abgesehen von den Weisheitszähnen sind am häufigsten die zweiten Prämolaren im Unterkiefer, gefolgt von den oberen seitlichen Schneidezähnen und den oberen zweiten Prämolaren nicht angelegt. Nichtanlagen müssen in den meisten Fällen interdisziplinär behandelt werden [Polder et al., 2004; Créton et al., 2010].
Deutscher Zahnärztetag 2025
Der Deutsche Zahnärztetag stellt in diesem Jahr eine besondere Veranstaltung dar: Erstmals seit 2015 wird er wieder als große Gemeinschaftstagung der zahnmedizinischen Fachgesellschaften ausgerichtet. Rund 30 Fachgesellschaften und Arbeitskreise der Deutschen Gesellschaft für Zahn-, Mund- und Kieferheilkunde (DGZMK) werden im Zeitraum vom 30. Oktober bis zum 1. November 2025 ihre jeweiligen Jahreskongresse, Symposien sowie ergänzenden Fachbeiträge im Estrel Congress Center Berlin abhalten.
Dabei steht die interdisziplinäre Patientenversorgung mit sechs ausgewählten, komplexen Behandlungsfällen im Zentrum des wissenschaftlichen Hauptprogramms. Unter der Federführung jeweils einer zahnmedizinischen Fachgesellschaft diskutieren Expertinnen und Experten an den beiden Hauptkongresstagen praxisnahe Fallkonstellationen. Besonders wertvoll ist dabei die fachübergreifende Expertise, denn kaum jemand ist in allen Disziplinen der Zahnmedizin gleichermaßen versiert. Weitere Informationen und das Programm unter: www.zmk-gemeinschaftskongress.de.
b) im Oberkiefer von okklusal nach Mesialisierung von 13, 14 und 15 sowie 23, 24 und 25 und Lückenöffnung außerhalb der ästhetischen Zone mesial 16 und 26
Therapieoptionen aus Sicht der Kieferorthopädie
Bei Nichtanlagen von bleibenden Zähnen, insbesondere im Bereich der Oberkiefer-Front, muss zunächst die Entscheidung getroffen werden, ob im individuellen Fall ein kieferorthopädischer Lückenschluss mit odontoplastischer Umgestaltung von Zähnen und Verkürzung der oberen Zahnreihe oder die Lückenöffnung für eine spätere prothetische oder implantat-prothetische Versorgung erfolgen soll. Dieser Prozess folgt einem Entscheidungsalgorithmus, der alle sonstigen dentalen und skelettalen Befunde umfassen muss. Eine exakte und angemessene kieferorthopädische Diagnostik ist obligat.
Nach differenzialtherapeutischer Abwägung und Bewertung und unter Berücksichtigung des Wunsches der Patientin wird die Behandlungsstrategie interdisziplinär festgelegt. Aus kieferorthopädischer Sicht sind dabei
generelle Parameter (skelettale Klasse, Overbite, Overjet, Alter, Wachstumsmuster, Phase der Gebissentwicklung, Lippenprofil, Lippenmorphologie und Lachlinie, funktionelle Befunde),
lokale Parameter (Platzverhältnisse, sonstige Dentition, Frontzahninklination und -position, apikale Basis, Morphologie und Farbe der substituierend einzustellenden Zähne, Abstützungssituation im Gegenkiefer)
und sekundäre Parameter (Mitarbeit, Mundhygiene, ökonomische Verhältnisse, Langzeitprognose, Patientenwunsch)
mit Sorgfalt zu berücksichtigen, zu bewerten und abzuwägen.
von Univ.-Prof. Dr. Dr. Peter Proff
Therapieoptionen aus Sicht der Prothetik
Vor der prothetischen Versorgung sollte zunächst eine kieferorthopädische Behandlung mit einer Ausformung der Zahnbögen mit Beseitigung des tiefen Bisses und regelrechter Einstellung der Zähne 13, 23, 15 und 25 erfolgen. Durch die regelrechte Einstellung der Eckzähne ergibt sich eine Lückenöffnung im Bereich der Nichtanlagen regio 12 und 22. Ein besonderes Augenmerk sollte auf eine symmetrische Einstellung der Lückenbreiten gelegt werden.
Optionen des Einzelzahnersatzes
Zur festsitzenden Versorgung von Einzelzahnlücken stehen grundsätzlich konventionelle Brücken, Einzelzahnimplantate oder Adhäsivbrücken zur Verfügung. Zwar gilt die konventionelle Brücke zum Lückenschluss als Regelversorgung, aufgrund des hohen Verlusts an gesunder Zahnhartsubstanz bei der Zahnpräparation der naturgesunden potenziellen Pfeilerzähne sollte diese Therapieoption im vorliegenden Fall jedoch nicht erwogen werden [Edelhoff und Sorensen, 2002].
Spätere Implantation?
Eine implantatprothetische Versorgung der Lücken Regio 12 und 22 ist aufgrund des jugendlichen Alters der Patientin kontraindiziert. Auch nach Abschluss des transversalen Kieferwachstums ist von einem klinisch relevanten vertikalen Wachstum im Bereich der Alveolarfortsätze auszugehen [Bernard et al., 2004; Thilander, 2009]. Da das Implantat dem vertikalen Wachstum nicht folgt, ist im späteren Lebensalter mit einem Hochstand des Implantats und einer Infraokklusion der Implantatkrone zu rechnen. Insbesondere bei einer hohen Lachlinie führt diese Asymmetrie darüber hinaus zu teils erheblichen ästhetischen Einbußen. Es erscheint sinnvoll, Implantationen im ästhetisch relevanten Bereich erst im höheren Lebensalter (25 Jahre und älter) durchzuführen.
Adhäsivbrücken als inzwischen etablierte Frontzahnversorgung
Adhäsivbrücken zum Ersatz von Frontzähnen galten lange als provisorische Versorgung, insbesondere bei jugendlichen Patienten zur Überbrückung der Zeit bis zu einer möglichen Implantation. Allerdings zeigen Studien zu einflügeligen vollkeramischen Adhäsivbrücken bei korrekter Indikationsstellung und adäquatem klinischem Vorgehen exzellente Überlebensraten [Kern et al., 2025]. Im Frontzahnbereich sind Adhäsivbrücken heute Regelversorgung und gelten somit als definitiver Zahnersatz. Bei unserer zwölfjährigen Patientin erscheint die einflügelige vollkeramische Adhäsivbrücke als Mittel der Wahl zur prothetischen Versorgung der Lücken Regio 12 und 22. Die karies- und füllungsfreien zentralen Inzisivi sind als Pfeilerzähne geeignet, kieferorthopädisch können die Platzverhältnisse für Adhäsivflügel und Verbinder vorab optimal eingestellt werden. Einflügelig gestaltet, beeinträchtigen sie das Kieferwachstum der jugendlichen Patientin nicht.
Adhäsivbrücken im Seitenzahnbereich?
Entscheidet sich die Patientin gegen eine Lückenöffnung im Bereich der anterioren Nichtanlagen und für einen kieferorthopädischen Lückenschluss durch Mesialisierung der Eckzähne, so verlagert sich der Platzüberschuss in den Seitenzahnbereich. Auch im Seitenzahnbereich stehen die oben genannten Therapieoptionen konventionelle Brücke und Einzelzahnimplantat mit den jeweiligen Vor- und Nachteilen zur Verfügung.
Adhäsivbrücken zum Ersatz von Seitenzähnen sind bei entsprechenden Platzverhältnissen prinzipiell möglich, und erste Studienergebnisse zu einflügeligen vollkeramischen Adhäsivbrücken in Prämolarenbreite zeigen vielversprechende Ergebnisse [Passia et al., 2023; Yazigi und Kern, 2022]. Aufgrund der geringen Datenlage zu dieser Therapieoption sind sie aktuell aber noch als experimentell einzustufen.
von Univ.-Prof. Dr. Nicole Passia
Therapieoptionen aus Sicht der Zahnerhaltung
Entscheidungshilfen Lückenöffnung/Lückenschluss
Für die Entscheidung zwischen einem kieferorthopädischen Lückenschluss und der Lückenöffnung spielen aus restaurativer Sicht dentale Parameter wie Farbe, Form und Position des Eckzahns (und gegebenenfalls des kontralateralen Zweiers) eine maßgebende Rolle. So sprechen etwa ein hoher Gingivaverlauf und eine erforderliche starke Farb- und Formanpassung des Eckzahns für eine kieferorthopädische Lückenöffnung. Der kieferorthopädische Lückenschluss wird hingegen eher in Betracht gezogen, wenn die Eckzähne relativ schmale Zahnkronen aufweisen, und Farbe und Form des Eckzahns akzeptabel zum Ersatz eines oberen Zweiers sind. Die Vorteile dieser Therapieform liegen darin, den fehlenden Zahn durch einen eigenen Zahn zu ersetzen, so dass keine kostenaufwendigen prothetischen Versorgungen im Erwachsenenalter folgen müssen und die Problemlösung bereits im jugendlichen Alter abgeschlossen werden kann [Terheyden und Wüsthoff, 2015].
Restaurative Maßnahmen nach kieferorthopädischem Lückenschluss im Frontzahngebiet
Nach kieferorthopädischem Lückenschluss besteht die ästhetische Herausforderung darin, die betroffenen Zähne nach deren Mesialisierung (in der Regel die ersten Prämolaren und Eckzähne im Oberkiefer) in ihrer Form zu korrigieren und so an ihre neue Position in der ästhetisch relevanten Zone anzugleichen. Ästhetische Korrekturen, die früher nur mit prothetischen Mitteln (oder kieferorthopädischen Maßnahmen allein) zu realisieren waren, sind heute minimalinvasiv mittels Adhäsivtechnik und hochästhetischen Kompositmaterialien zu erzielen. Die mittlerweile verfügbaren Langzeitdaten belegen die sehr gute Prognose und Eignung von direkten Zahnformkorrekturen als definitive Versorgungsart [Frese et al., 2020; Hahn et al. 2020].
Odontoplastische Umformung des Oberkiefer-Eckzahns zu einem seitlichen Schneidezahn:Die odontoplastische Umformung der Eckzähne zu lateralen Schneidezähnen stellt die zentrale restaurative Maßnahme dar. Dies erfolgt in der Regel minimalinvasiv durch inzisale Kompositaufbauten, eventuell in Kombination mit einem externen Bleichen sowie auf den Zahnschmelz begrenzte subtraktive Maßnahmen. Subtraktive Maßnahmen umfassen eine mesio-distale sowie labiale Reduktion, die Abtragung der Eckzahnspitze und eine palatinale Rekonturierung um Frühkontakte mit dem antagonistischen Zweier zu vermeiden [Zachrisson und Mjör, 1975].
Odontoplastische Umformung des ersten Oberkiefer-Prämolaren zum Eckzahn: Bei Bedarf werden auch kleinere Korrekturen an den ersten Prämolaren vorgenommen, um sowohl die Okklusion als auch die Ästhetik weiter zu optimieren. Die Abtragung des palatinalen Höckers kann notwendig sein, um eine störungsfreie dynamische Okklusion mit Gruppenführung auf der Arbeitsseite zu schaffen und Störkontakte auf der Balanceseite zu verhindern [Asher und Lewis, 1986; Sabri, 1999].
Odontoplastische Umformung hypoplastischer Zweier: Für den Fall der unilateralen Nichtanlage eines oberen Zweiers, handelt es sich in fast der Hälfte der Fälle beim kontralateralen Zweier um einen hypoplastischen Zahn [Kabbani et al., 2017]. Für direkte Zahnumformungen hat sich die individuelle Matrizentechnik als eine universell anwendbare Technik bewährt. Die Technik wurde von Klaiber ausführlich beschrieben [Klaiber et al., 2001].
Konservierende Lösungen nach kieferorthopädischer Lückenöffnung im Frontzahngebiet
Bei kieferorthopädischer Lückenöffnung im Bereich der nicht angelegten oberen Zweier stehen im noch wachsenden Kiefer, in dem Implantatversorgungen noch nicht infrage kommen, die Autotransplantation eines Prämolaren und die Adhäsivbrückenversorgung zur Verfügung:
Autotransplantation von Prämolaren: Die Transplantation von Prämolaren mit nicht abgeschlossenem Wurzelwachstum ist bei Kindern ab neun Jahren möglich. Die transplantierten Zähne werden mittels direkter Komposittechnik umgeformt, um die Ästhetik und die Funktion der transplantierten Zähne an ihre neue Position anzugleichen. Auch wenn sich die Anatomie – etwa im Bereich des Wurzelaustritts – naturgemäß vom ersetzten Zahn unterscheiden kann, lassen sich in der Regel ansprechende (oder akzeptable) Ergebnisse erzielen. Wichtige prognostische Faktoren – neben dem Entwicklungsstadium der Wurzel – sind eine gewebeschonende Entnahme und das schnelle Einsetzen in das Empfängerfach. Komplikationen wie Wurzelresorptionen oder Ankylosen sind möglich, treten aber bei korrekter Indikationsstellung und Technik selten auf [Akhlef et al., 2024].
Adhäsivbrückenversorgung: Einflügelige Adhäsivbrücken haben sich heute gegenüber den zweiflügeligen Adhäsivbrücken durchgesetzt. Sie können bei Kindern ab etwa zehn Jahren und Jugendlichen vor Abschluss des transversalen Kieferwachstums zum Einsatz kommen. Sie können problemlos in eine kieferorthopädische Therapie einbezogen werden und alle übrigen restaurativen Therapien wie Implantate und konventioneller Zahnersatz bleiben für einen späteren Zeitpunkt erhalten. Bei bilateraler Aplasie der oberen Zweier wird der Einsatz verblockter Freiend-Adhäsivbrücken empfohlen. Eine Verblockung der oberen Einser gewährleistet in diesem Fall eine Dauerretention beziehungsweise verhindert ein Diastema mediale. Während glasfaserverstärkte Komposit-Adhäsivbrücken auf Basis der verfügbaren Daten heute nur noch als eine langzeitprovisorische Therapieform zum Ersatz von Einzelzähnen im Front- und Seitenzahnbereich empfohlen werden können [Ahmed et al., 2017], stellen einflügelige vollkeramische Frontzahn-Adhäsivbrücken bei richtiger Indikationsstellung und fachgerechtem labortechnischem und klinischem Vorgehen heute adäquate Therapiemittel dar [Jerg et al., 2021].
von Dr. Britta Hahn
Was wurde im konkreten Fall gemacht und warum?
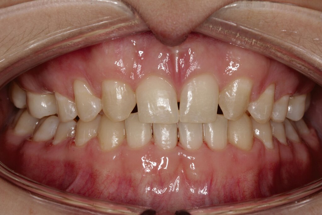
Im vorliegenden Fall stand der Zahn 23 bereits im Mesialstand bei hoher Lachlinie und tendenziell konkavem Lippenprofil. Bezüglich Morphologie und Farbe waren die Zähne 13 und 23 nicht ausgeprägt eckzahntypisch. Es bestand kein Platzmangel im Gegenkiefer. Die Patientin war bei der Erstdiagnose 12,5 Jahre alt und im Wechselgebiss der zweiten Phase mit atypischer Durchbruchreihenfolge. Es bestand eine geringfügige Klasse II. Der Overjet war vergrößert bei vertikaler Wachstumstendenz, der Overbite war um circa einen Millimeter vergrößert aufgrund der geringfügigen Steilstellung der Oberkiefer-Front. Es bestand der Verdacht auf Nichtanlage der Weisheitszähne, 15 und 25 waren verlagert.
Daher wurde ein Lückenmanagement mit Lückenschluss in der Oberkiefer-Front und Lückenöffnung mesial 16 und 26 außerhalb der ästhetischen Zone angestrebt. Eine implantatprothetische Versorgung kam aufgrund des jungen Alters der Patientin nicht infrage. Die Autotransplantation eines Prämolaren war ebenfalls ausgeschlossen, da kein Engstand und keine Indikation zur Ausgleichsextraktion bestanden.

Eine vollständige Mesialisation der Dentition im ersten und im zweiten Quadranten wurde von der Patientin zur Abkürzung der Behandlungsdauer nicht gewünscht. Ferner bestand der Verdacht auf Nichtanlage von 18 und 28, was bei einer vollständigen Mesialisation des ersten und des zweiten Quadranten zu einer fehlenden Abstützung von 37 und 47 führen kann. Der Rezessus der Kieferhöhle war rechts tief. Alternativ wäre in diesem Fall auch die Lückenöffnung in Regio 12 und 22 denkbar, allerdings dann mit einer prothetischen Restauration in der ästhetischen Zone bei hoher Lachlinie.
Literaturliste
Akhlef Y, Hosseini M, Schwartz O, Andreasen JO, Gerds TA, Jensen SS. Autotransplantation of Premolars to the Anterior Maxilla: A Long-Term Retrospective Cohort Study of Survival, Success, Esthetic, and Patient-Reported Outcome With up to 38-Year Follow-Up. Dent Traumatol. 2025 Jun;41(3):322-337. doi: 10.1111/edt.13025.
Alkadhimi A, Razaghi N, Elder A, DiBiase AT. Camouflaging the permanent maxillary
Asher C, Lewis DH. The integration of orthodontic and restorative procedures in cases with missing maxillary incisors. Br Dent J. 1986 Apr 5;160(7):241-5. doi: 10.1038/sj.bdj.4805823. PMID: 3458483.
Bernard JP, Schatz JP, Christou P, Belser U, Kiliaridis S. Long-term vertical changes of the anterior maxillary teeth adjacent to single implants in young and mature adults. A retrospective study. J Clin Periodontol 2004;31:1024-1028.
Créton M, Cune M, Verhoeven W, Muradin M, Wismeijer D, Meijer G. Implant treatment in patients with severe hypodontia: a retrospective evaluation. J Oral Maxillofac Surg. 2010;68:530–8.
Edelhoff D, Sorensen JA. Tooth structure removal associated with various preparation designs for anterior teeth. J Prosthet Dent 2002;87:503-509.
Frese C, Wohlrab T, Soliman S, Hahn B, Büsch C, Babai A, Krastl G, Wolff D: A Multicenter Trial on the Long-term Performance of Direct Composite Buildups in the Anterior Dentition - Survival and Quality Outcome. J Adhes Dent. 2020;22(6):573-580. doi: 10.3290/j.jad.a45514.
Hahn B, Wohlrab T, Frese C, Wolff D, Krastl G, Büsch C, Babai A, Schlagenhauf U, Soliman S: A Multicenter Trial on the Long-term Performance of Direct Composite Buildups in the Anterior Dentition – Periodontal Health. J Adhes Dent. 2020;22(5):465-474. doi: 10.3290/j.jad.a45177.
Kabbani T, Abdullah N, Rsheadat Y, Hassan MI. Prevalence of isolated maxillary lateral incisor agenesis in Syrian adolescents. J Orofac Orthop. 2017 Jan;78(1):62-69. English. doi: 10.1007/s00056-016-0064-y.
Kern M, Türp L, Yazigi C. Long-term outcome of anterior cantilever zirconia ceramic resin-bonded fixed dental prostheses: Influence of the pontic location. J Prosthet Dent 2025.
Klaiber B, Hugo B, Hofmann N. Improving outcome: anterior restorations. In: Wilson N, Roulet F, Fuzzi M (Hrsg) Advances in operative dentistry. Challenges of the future. Quintessenz 2001, Berlin, S 185–196.
Passia N, Chaar MS, Kern M. Clinical outcome of posterior cantilever resin-bonded fixed dental prostheses using two different luting agents. J Prosthodont Res 2023;67:161-163.
Polder BJ, Van‘t Hof MA, Van der Linden FPGM, Kuijpers-Jagtman AM: A meta-analysis of the prevalence of dental agenesis of permanent teeth. Comm Dent Oral Epidemiol 2004: 32: 217-226.
Sabri R. Management of missing maxillary lateral incisors. J Am Dent Assoc. 1999 Jan;130(1):80-4. doi: 10.14219/jada.archive.1999.0032.
Terheyden H, Wüsthoff F. Occlusal rehabilitation in patients with congenitally missing teeth-dental implants, conventional prosthetics, tooth autotransplants, and preservation of deciduous teeth-a systematic review. Int J Implant Dent. 2015 Dec;1(1):30. doi: 10.1186/s40729-015-0025-z.
Thilander B. Dentoalveolar development in subjects with normal occlusion. A longitudinal study between the ages of 5 and 31 years. Eur J Orthod 2009;31:109-120.
Yazigi C, Kern M. Clinical evaluation of zirconia cantilevered single-retainer resin-bonded fixed dental prostheses replacing missing canines and posterior teeth. J Dent 2022;116:103907.
Zachrisson BU, Mjör IA. Remodeling of teeth by grinding. Am J Orthod. 1975 Nov;68(5):545-53. doi: 10.1016/0002-9416(75)90085-8.
Zachrisson BU. Improving orthodontic results in cases with maxillary incisors missing. Am J Orthod. 1978 Mar;73(3):274-89. doi: 10.1016/0002-9416(78)90134-3.













