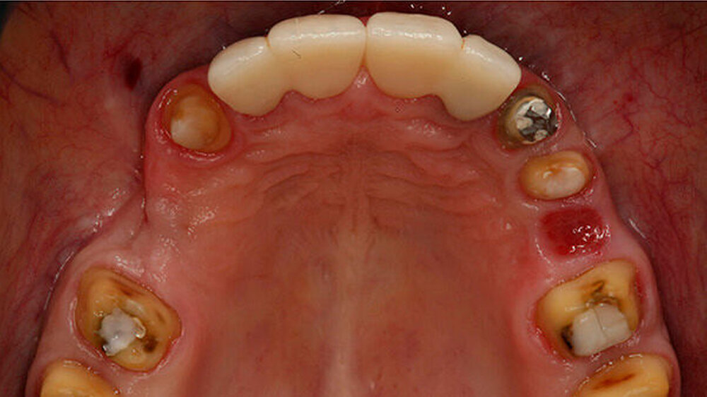
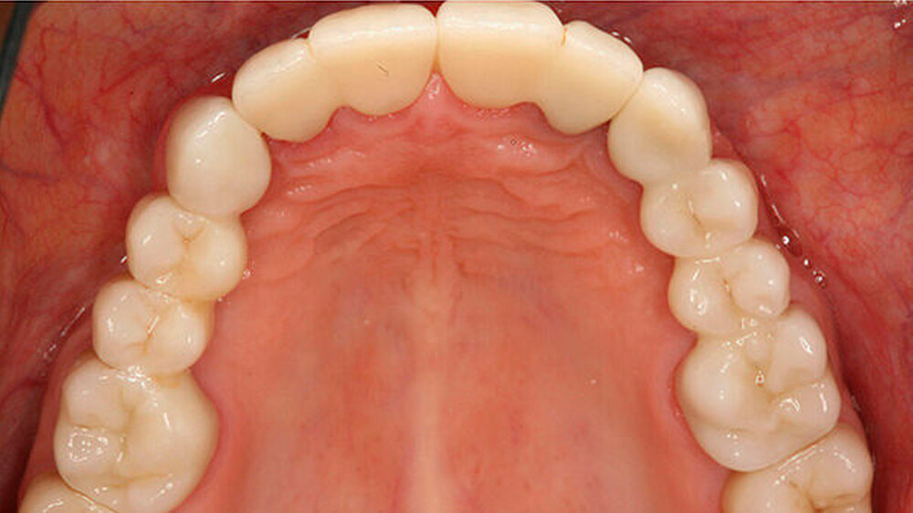
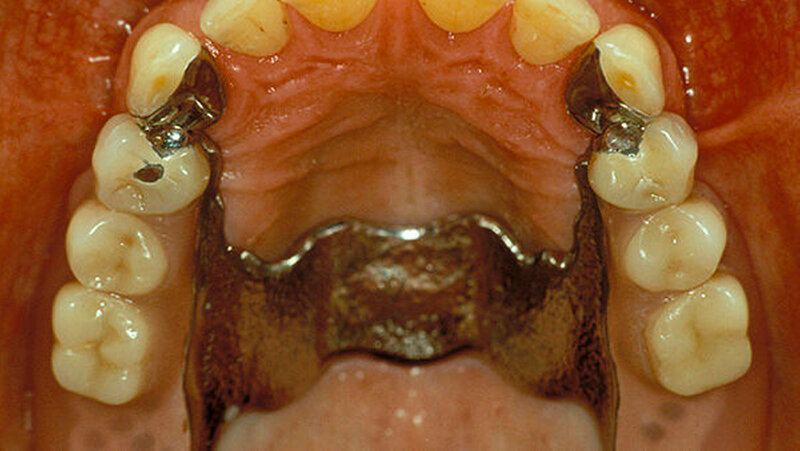
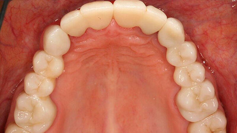
Beispiele für individuellen ZE
Die Jahrestagung der Deutschen Gesellschaft für Prothetische Zahnmedizin und Biomaterialien (PGPro) in Ulm geht der Frage nach, welche Versorgungskonzepte - mit guten Langzeitergebnissen - individuell und preiswert machbar sind. Gute Beispiele finden Sie in unserer Bilderstrecke!











