Bimaxilläre Umstellungsosteotomie bei spaltbedingter Kieferfehlstellung
Eine 25-jährige Patientin stellte sich mit einer Schräglage des Oberkiefers und einer Mittellinienverschiebung mit Kreuzbiss auf der linken Seite vor. Zusätzlich zeigte sich eine auffällige Narbe im linken Halsbereich nach einer früheren Lymphknotenentfernung, die die Patientin als störend empfand. Bereits im frühen Kindesalter war bei ihr eine linksseitige Lippen-Kiefer-Gaumenspalte alio loco chirurgisch verschlossen worden.
Eine kieferorthopädische Behandlung erfolgte anschließend durch einen niedergelassenen Kieferorthopäden in Zusammenarbeit mit einer anderen Klinik zwischen dem sechsten und dem 17. Lebensjahr. Vorgenommen wurde zunächst eine kieferorthopädische Dehnung des Oberkiefers zum Ausgleich des transversalen und sagittalen Defizits und Überstellung der Kreuzbisse im Seiten- und Frontzahnbereich, gefolgt von einer sekundären Zwischenkieferosteoplastik im neunten Lebensjahr.
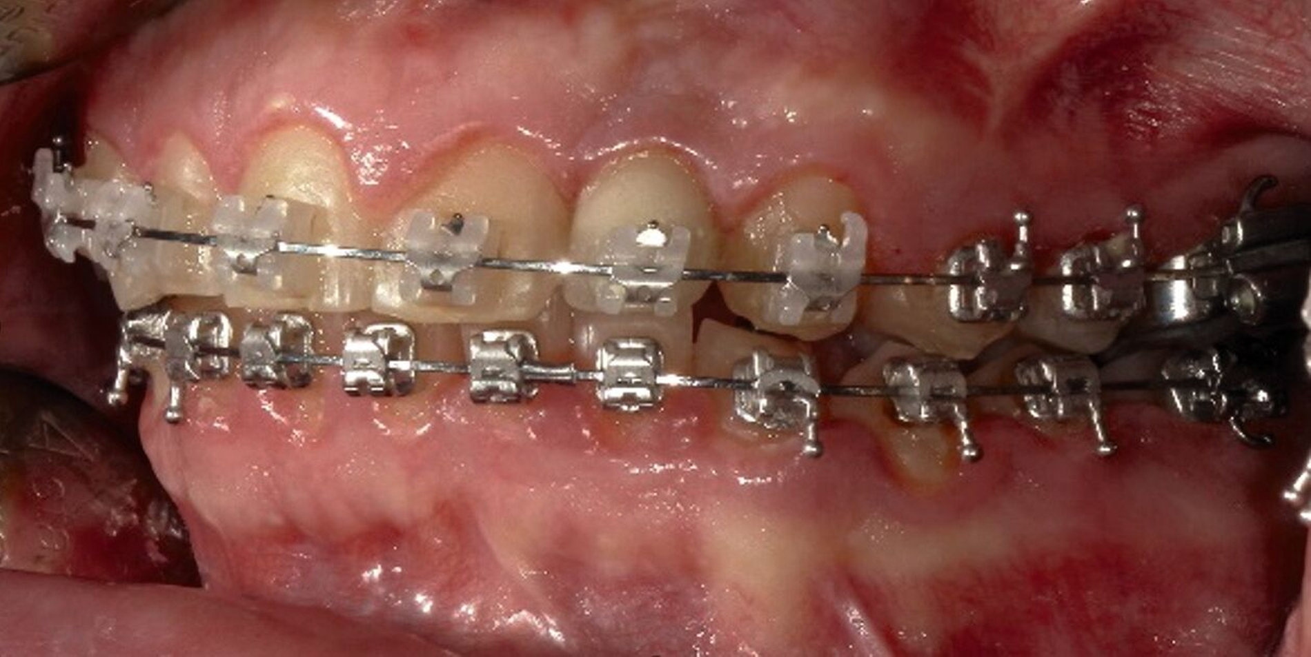
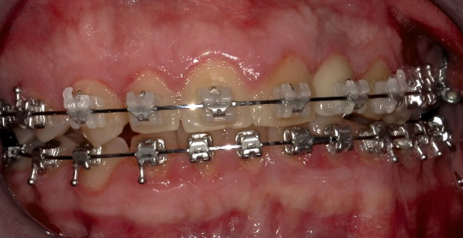
Nach diesem Eingriff schloss sich bis zum 17. Lebensjahr eine kieferorthopädische Therapie bei skelettaler maxillärer Retrognathie an. Der Zahn 22 war nicht angelegt, die Lücke wurde kieferorthopädisch offengehalten. Im Bereich 22 wurden nach Abschluss des Wachstums eine Augmentation durchgeführt und ein zahnärztliches Implantat inseriert. Dennoch konnten die Laterognathie des Oberkiefers mit einer Mittellinienverschiebung von 2,5 mm, der Tiefbiss sowie der Kreuzbiss auf der linken Seite nicht vollständig behoben werden (Abbildungen 1 und 2).
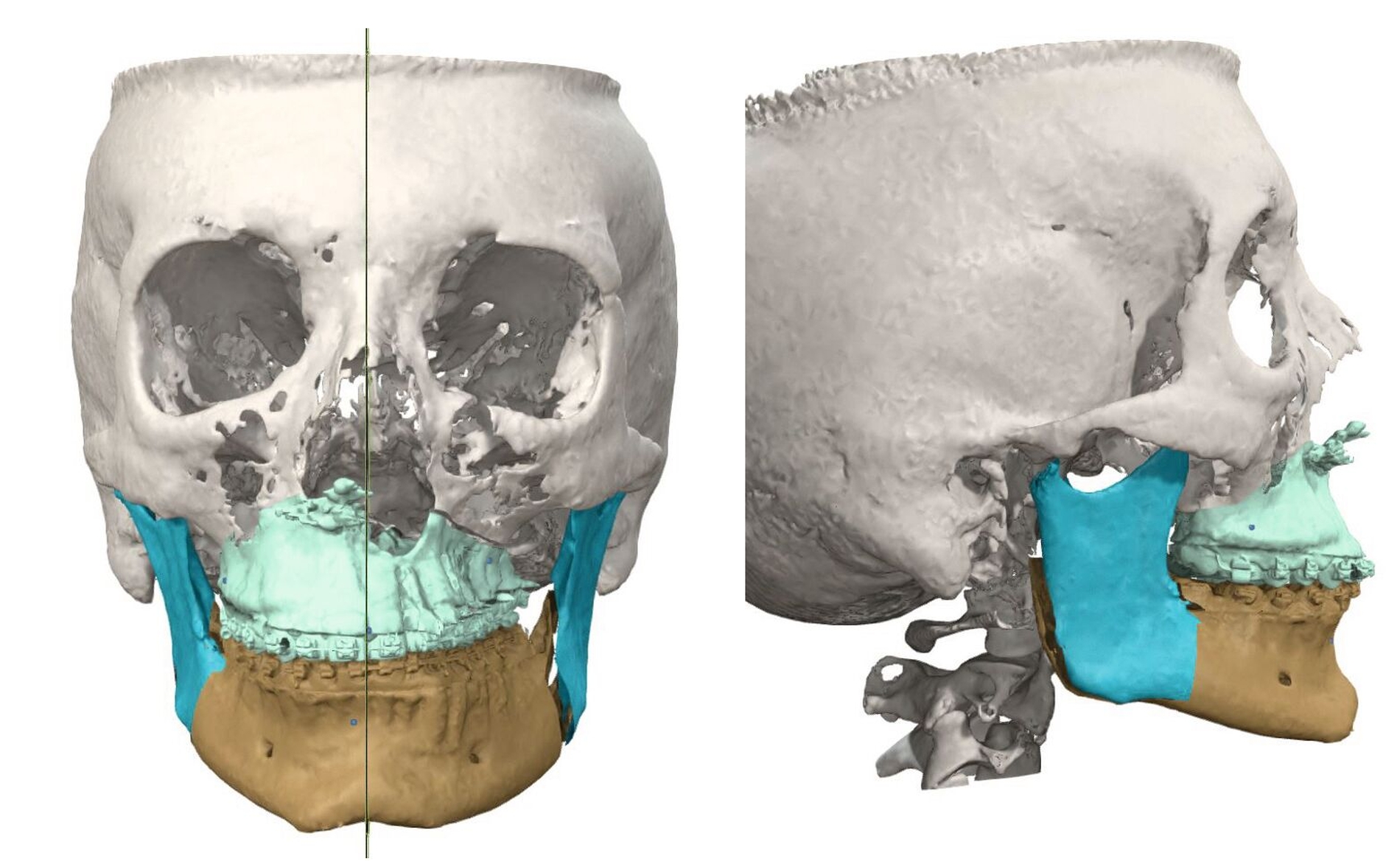
Gemeinsam mit den behandelnden Kieferorthopäden wurde aufgrund des abgeschlossenen Wachstums und der ausgeschöpften nicht-chirurgischen Maßnahmen die interdisziplinäre Indikation zur chirurgischen Korrektur der Dysgnathie gestellt. Anhand einer kephalometrischen Analyse trafen wir gemeinsam mit der Patientin die Entscheidung zur Durchführung einer bimaxillären Umstellungsosteotomie (Abbildung 3).
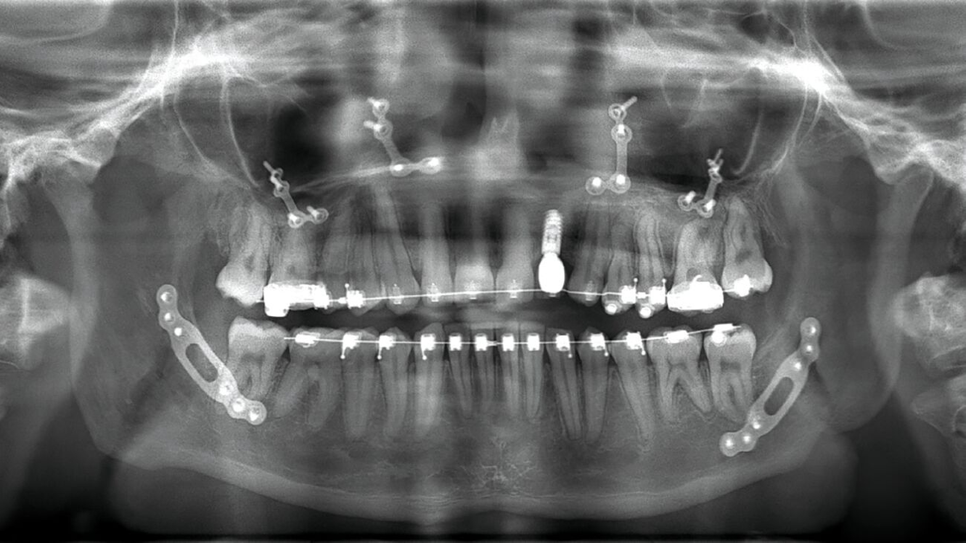
Der Eingriff konnte noch im selben Jahr komplikationslos in Intubationsnarkose durchgeführt werden. Nach digitaler Planung durch Matching der präoperativen DVT-Aufnahmen und der Intraoralscans wurden die Splinte für die Operation 3-D-gedruckt, nachdem die Zielokklusion festgelegt worden war. Der Oberkiefer wurde in der Le-Fort-I-Ebene osteotomiert und um 0,5 mm nach anterior und um 2,5 mm nach rechts verlagert. Durch die Kippung entstanden eine rechtsseitige dorsale Impaktierung um 1,5 mm und eine linksseitige Kaudalverlagerung um 1 mm. Der Unterkiefer wurde um 1 mm nach anterior verlagert, wobei es zu einer Schwenkung von 5 mm nach anterior links und um 2 mm nach posterior rechts kam (Abbildung 4).
Sechs Wochen postoperativ begann eine adjuvante Behandlung mittels Physiotherapie und Lymphdrainage. Sechs Monate postoperativ erfolgte planmäßig die Entfernung der Osteosyntheseplatten. In diesem Rahmen wurde auf Wunsch der Patientin zusätzlich eine Augmentation der Ober- und Unterlippe sowie der Nasolabialfalten mittels autologem Fett aus dem Bauchbereich vorgenommen. Zudem erfolgten eine Anhebung des linken Mundwinkels und eine Narbenreduktion am Hals mittels CO2-Laser.
Die Abbildungen 5 und 6 verdeutlichen den klinischen Verlauf bei einer Nachsorgezeit von insgesamt zwei Jahren. Nach Abschluss der Korrektureingriffe berichtete die Patientin von einem harmonischeren Erscheinungsbild ihres Gesichts, was eine erhebliche Verbesserung ihrer Lebensqualität zur Folge hatte.
Dieser Fallbericht zeigt die Bedeutung einer Herangehensweise, bei der sowohl medizinische als auch ästhetische Maßnahmen berücksichtigt werden. In der Kombination konnte nicht nur die funktionelle Wiederherstellung, sondern auch eine signifikante ästhetische Verbesserung erreicht werden.
Diskussion
Lippen-Kiefer-Gaumenspalten (LKG-Spalten) gehören zu den häufigsten kongenitalen kraniofazialen Anomalien. In Europa beträgt die Prävalenz etwa 1,36 pro 1.000 Lebendgeburten [Mossey und Modell, 2012]. Die Inzidenz variiert global erheblich und zeigt signifikante ethnische und geografische Unterschiede [Dixon et al., 2011]. Geschlechtsspezifische Unterschiede sind evident: LKG-Spalten treten häufiger bei männlichen Neugeborenen auf, während isolierte Gaumenspalten bei weiblichen Neugeborenen dominieren.
Wie im beschriebenen Fall treten Spaltenbildungen häufiger links- als rechtsseitig auf [Gundlach und Christina, 2006]. Die morphogenetischen Prozesse, die zur Bildung der kraniofazialen Strukturen führen, finden zwischen der vierten und der zwölften Woche der Embryogenese statt. In dieser Phase fusionieren die Maxillarwülste sowie die lateralen und die medialen Nasenwülste, um die Oberlippe und den Gaumen zu formen. Störungen in diesen komplexen Fusionsprozessen, bedingt durch genetische (unter 30 Prozent) oder umweltbedingte Faktoren (über 70 Prozent), können zur Bildung von LKG-Spalten führen [Stanier und Moore, 2004; Lauer et al., 2023]. Syndromale Formen wie das Van-der-Woude-Syndrom oder das Pierre-Robin-Syndrom umfassen häufig isolierte Gaumenspalten als Teil des klinischen Bildes.
Aufgrund der komplexen funktionellen und ästhetischen Herausforderungen, die durch LKG-Spalten entstehen, ist eine multidisziplinäre Therapie unerlässlich. Die Auswirkungen der Fehlbildung können unter anderem das ästhetische Erscheinungsbild, die Sprachentwicklung, die Kaufunktion, das Hörvermögen, die Nasenatmung und das psychosoziale Wohlbefinden beeinträchtigen. Die „American Cleft Palate-Craniofacial Association“ (ACPA) empfiehlt ein interdisziplinäres Behandlungsteam, das aus Chirurgen, Kieferorthopäden, Physiotherapeuten und Logopäden besteht. Bei Bedarf sollten zusätzlich weitere Fachrichtungen einbezogen werden, wie Hals-Nasen-Ohren-Ärzte, Zahnärzte, Psychologen, Humangenetiker, Audiologen, Pädiater und Ernährungsberater [Jensen et al., 2023].
In den meisten deutschen Zentren beginnen die kieferorthopädische und die primäre chirurgische Rekonstruktion von Lippe, Nase, Kiefer und Gaumen bereits im ersten Lebensjahr [Lethaus et al., 2021; Beckmann, 2023; Ziemann und Sander, 2023]. Das Konzept des Zentrums für Lippen-Kiefer-Gaumenspalten und kraniofaziale Anomalien der Universitätsmedizin Mainz basiert auf dreißigjähriger Erfahrung und wird kontinuierlich durch aktuelle wissenschaftliche Erkenntnisse weiterentwickelt (Abbildungen 7 und 8).

Der individuelle Zeitpunkt der Behandlungsschritte erfolgt gemäß dem Allgemeinzustand, der Entwicklung des Säuglings und anhand der Breite der Spalte [Berkowitz et al., 2005]. Bereits in der ersten Lebenswoche wird bei Babys mit vollständigen Spalten oder breiten Gaumenspalten eine Mund-Nasen-Trennplatte (Trinkplatte) durch die Kieferorthopädie angefertigt, um die Nahrungsaufnahme zu erleichtern und die Kiefersegmente für die Lippenspaltplastik optimal zu positionieren.
Mit der Normalisierung der Zungenlage und der Zungenfunktion wird ein ungehindertes und damit kontrolliertes Wachstum der Alveolar- und Gaumenfortsätze unterstützt. Der Lippenverschluss erfolgt mit drei bis sechs Monaten. Im Alter von neun bis zwölf Monaten folgt die Palatoplastik zum Verschluss des Gaumens und Gaumensegels (harter und weicher Gaumen).
Viele Kinder benötigen im späten Kindergartenalter (vier bis sechs Jahre) eine kieferorthopädische Frühbehandlung, um Defizite der Kieferstellung auszugleichen und ein normales weiteres Wachstum zu gewährleisten. Hierbei kommen meist herausnehmbare Apparaturen zum Einsatz. In diesem Alter bereitet sich der bleibende Eckzahn auf seinen Durchbruch in die Mundhöhle vor. Zwischen dem achten und dem zwölften Lebensjahr erfolgt zur Vorbereitung auf die Kieferspaltosteoplastik mithilfe herausnehmbarer oder festsitzender Apparaturen eine etwa sechs- bis neunmonatige kieferorthopädische Behandlung zur Dehnung des Oberkiefers.
Derzeit wird die Osteoplastik im Wechselgebiss vor Durchbruch des Eckzahns favorisiert, unter Verwendung von autologem Knochen, meist Beckenkammspongiosa [LaRossa et al., 1995]. Ziele sind die Stabilisierung des Zahnbogens, eine Verbesserung des Knochenangebots für die spaltbenachbarten Zähne und die Schaffung eines knöchernen Lagers für den Zahndurchbruch oder ein späteres Zahnimplantat [Lauer et al., 2023]. Bei der Betreuung bis zum Abschluss des Wachstums ergänzt das begleitende Beobachten der Entwicklung (sechsmonatige bis jährliche Kontrollen) die möglichst kurzen, intensiven Behandlungsphasen in den verschiedenen Fachgebieten [Pfeifauf et al., 2019]. Regelmäßige Nachsorgeuntersuchungen sind notwendig, um aufkommende Probleme frühzeitig zu erkennen und erforderliche Behandlungsschritte einzuleiten.
Bei einigen LKG-Patienten kann nach dem primären Gaumenverschluss ein Restloch oder eine Gaumensegelschwäche bestehen, was unter dem Begriff „velopharyngeale Insuffizienz“ zusammengefasst wird [Setabutr et al., 2015]. Zur Verbesserung der Stimm- und Lautbildung kommen bei muskulären Problemen eine Revision oder Velopharyngoplastik infrage, die vor der Einschulung, idealerweise bis zum fünften oder sechsten Lebensjahr, durchgeführt werden sollte.
Bei breiten Spalten, Keloidbildung und Diskontinuitäten im Lippen-Rot-Weiß können korrekturbedürftige Narben im Bereich der Oberlippe auftreten [Monson et al., 2014]. Ebenso sind Nasenkorrekturen nach Abschluss des Wachstums (Rhinoplastik) bei funktionellen (zum Beispiel Nasenatmungsbehinderung, Septumdeviation) und ästhetischen Problemen (zum Beispiel fehlender Nasentip auf der Spaltseite, Asymmetrie) indiziert. Eine unzureichende Entwicklung des Mittelgesichts kann zu einer Größenabweichung von Ober- und Unterkiefer führen, die bei 25 bis 60 Prozent der Kinder nicht allein durch eine kieferorthopädische Therapie behoben werden kann [Yamaguchi et al., 2016].
Fazit für die Praxis
Die Entstehung von LKG-Spalten ist multifaktoriell bedingt – welche genetischen und exogenen Faktoren genau beteiligt sind und wie diese zusammenspielen, wird weiterhin erforscht.
Die Behandlung erfordert die Einbeziehung verschiedener Fachrichtungen, um optimale funktionelle und ästhetische Ergebnisse für die Patienten zu erzielen.
Derzeit wird die Kieferspaltosteoplastik im Wechselgebiss vor Durchbruch des Eckzahns unter Verwendung von autologem Knochen favorisiert.
Die chirurgischen Interventionen sind bereits in der frühen Kindheit notwendig, führen allerdings zu Narben und können das Wachstum des Oberkiefers beeinträchtigen.
Asymmetrien, hypertrophe Narben und dentale skelettale Folgen sind nach der primären Operation der Lippen-Kiefer-Gaumenspalte häufig zu beobachten.
Korrekturoperationen können zur Verbesserung der Lautbildung (sprechverbessernde Operation), bei ungünstiger Narbenbildung oder Ästhetik (Narbenkorrektur, Septorhinoplastik) oder bei Größendiskrepanzen von Ober- und Unterkiefer (Dysgnathieoperation) notwendig werden.
Seit den 1970er-Jahren werden Spaltdeformitäten durch orthognathe Chirurgie mit Oberkiefervorverlagerung korrigiert. Die standardmäßige Le-Fort-I-Osteotomie wurde im Jahr 1962 durch Obwegeser erstmals für Patienten mit Spaltdeformitäten beschrieben [Velasques et al., 2021]. Die Dysgnathiechirurgie mit Oberkiefervorverlagerung stellt insbesondere bei Spaltpatienten aufgrund der Knocheninstabilität, des narbigen Weichteilmantels und des dadurch bedingten erhöhten Rezidiv-Risikos eine Herausforderung dar [Dowling et al., 2005].
Die Entscheidung zwischen isolierter Oberkiefervorverlagerung und bimaxillärer Umstellungsosteotomie richtet sich nach der Ausprägung der maxillomandibulären Diskrepanz. Für Patienten mit einer ausgeprägten anteroposterioren Oberkieferunterentwicklung in Kombination mit einem prognathen Unterkiefer wird die bimaxilläre Umstellungsosteotomie empfohlen. Einige Autoren befürworten dies insbesondere, wenn eine Vorverlagerung des Oberkiefers von mehr als 8 mm notwendig ist [Hirano und Suzuki, 2001].
Zusammenfassend lässt sich feststellen, dass trotz der Möglichkeit, eine zufriedenstellende Okklusion allein durch kieferorthopädische Maßnahmen zu erreichen, Patienten unter Problemen wie einer Retrognathie des Oberkiefers, einer Laterognathie, einer okklusalen Neigung und einem ungünstigen Lippen-zu-Inzisiven-Verhältnis beim Sprechen und Lächeln leiden können. Aufgrund des definitiven Charakters und der Wirkung dieser Operation auf die Gesichtsästhetik finden diese Korrektureingriffe typischerweise am Ende der Behandlungsdauer statt.
Wie im Fallbericht beschrieben, liegt dieser Zeitpunkt in der Teenager- und frühen Erwachsenenphase, wenn das strukturelle Wachstum des Gesichts als abgeschlossen gilt. Die Einbeziehung der Patientenperspektive in das Behandlungsergebnis zeigt anhand des Beispiels unserer jungen Patientin den positiven Einfluss auf das Selbstwertgefühl, die Lebensqualität und die sozialen Beziehungen.
Literaturliste
Beckmann FL (2023). Evaluation des Erlanger Behandlungskonzepts bei Spaltfehlbildungen hinsichtlich der funktionellen Rehabilitation, Friedrich-Alexander-Universität Erlangen-Nürnberg (FAU).
Berkowitz S, R Duncan, C Evans, H Friede, AM Kuijpers-Jagtman, B Prahl-Anderson and S Rosenstein: Timing of cleft palate closure should be based on the ratio of the area of the cleft to that of the palatal segments and not on age alone. Plastic and reconstructive surgery 115:1483-1499, 2005.
Dixon MJ, ML Marazita, TH Beaty and JC Murray: Cleft lip and palate: understanding genetic and environmental influences. Nature Reviews Genetics 12:167-178, 2011.
Dowling PA, L Espeland, L Sandvik, KA Mobarak and HE Hogevold: LeFort I maxillary advancement: 3-year stability and risk factors for relapse. American journal of orthodontics and dentofacial orthopedics 128:560-567, 2005.
Gundlach KK and M Christina: Epidemiological studies on the frequency of clefts in Europe and world-wide. Journal of Cranio-Maxillofacial Surgery 34:1-2, 2006.
Hirano A and H Suzuki: Factors related to relapse after Le Fort I maxillary advancement osteotomy in patients with cleft lip and palate. The Cleft palate-craniofacial journal 38:1-10, 2001.
Jensen SW, ED Jensen, G Kaminer-Levin, C Caro and K Stevens: Presurgical cleft management of infants: A survey of ACPA approved and international cleft palate and craniofacial teams. The Cleft Palate Craniofacial Journal 60:1521-1528, 2023.
LaRossa D, S Buchman, DM Rothkopf, R Mayro and P Randall: A comparison of iliac and cranial bone in secondary grafting of alveolar clefts. Plastic and reconstructive surgery 96:789-797, 1995.
Lauer G, W Pradel and C Birdir: Lippen-Kiefer-Gaumen-Spalte. HNO 71:276-284, 2023.
Lethaus B, E Grau, A Kloss-Brandstätter, L Brauer, R Zimmerer, AK Bartella, S Hahnel and AK Sander: Clinical Follow-Up in Orofacial Clefts—Why Multidisciplinary Care Is the Key. Journal of Clinical Medicine 10:842, 2021.
Monson LA, DY Khechoyan, EP Buchanan and LH Hollier: Secondary lip and palate surgery. Clinics in plastic surgery 41:301-309, 2014.
Mossey P and B Modell: Epidemiology of oral clefts 2012: an international perspective. Cleft lip and palate 16:1-18, 2012.
Pfeifauf KD, KB Patel, A Snyder-Warwick, GB Skolnick, S Scheve and SD Naidoo: Survey of North American Multidisciplinary Cleft Palate and Craniofacial Team Clinic Administration. The Cleft Palate Craniofacial Journal 56:508-513, 2019.
Setabutr D, CT Roth, DD Nolen, B Cervenka, JM Sykes, CW Senders and TT Tollefson: Revision rates and speech outcomes following pharyngeal flap surgery for velopharyngeal insufficiency. JAMA Facial Plastic Surgery 17:197-201, 2015.
Stanier P and GE Moore: Genetics of cleft lip and palate: syndromic genes contribute to the incidence of non-syndromic clefts. Human molecular genetics 13:R73-R81, 2004.
Velasques BD, LB Moura, JR Martins, MF Damian and CB Xavier: What is the relapse after Le Fort I maxillary advancement in cleft lip and palate patients? A systematic review. Oral and Maxillofacial Surgery 25:139-148, 2021.
Yamaguchi K, D Lonic and L-J Lo: Complications following orthognathic surgery for patients with cleft lip/palate: a systematic review. Journal of the Formosan Medical Association 115:269-277, 2016.
Ziemann F and AK Sander: Lippen-Kiefer-Gaumenspalten–Eine aktuelle Übersicht interdisziplinärer Therapiekonzepte. Zahnmedizin up2date 17:109-128, 2023.














