Carolinum bietet zahnmedizinische Sprechstunde bei Essstörungen
Warum haben Sie gerade jetzt die Ambulanz für Bulimie und Magersucht ins Leben gerufen?
Als universitäres Zentrum für Zahn-, Mund und Kieferheilkunde möchten wir ein Behandlungsangebot schaffen, das auch sensible Patientengruppen einschließt. Bei Patient*innen mit psychosomatischen Erkrankungen ist der zahnärztliche Behandlungsbedarf häufig aus einer Vielzahl von Gründen hoch. Allerdings ist diese Patientengruppe im Behandlungsalltag meist unterrepräsentiert und eine Diskrepanz zwischen Behandlungsbedarf und -angebot entsteht. Dem wollen wir durch das Augenmerk auf Patient*innen mit Essstörungen entgegenwirken und mit unserer Ambulanz einen Rahmen schaffen, der den besonderen Bedürfnissen dieser Patientengruppe gerecht wird. Zum gegenwärtigen Zeitpunkt treten Essstörungen in unserer Gesellschaft zunehmend häufiger auf und das meist im Verborgenen. Wir möchten neben den allgemeinmedizinischen Folgen auch Aufmerksamkeit schaffen für die zahngesundheitlichen Auswirkungen von Essstörungen und darüber aufklären, welche Maßnahmen im Hinblick auf die Mundgesundheit der Betroffenen sinnvoll erscheinen.
Betroffene versuchen häufig, ihr Essverhalten geheim zu halten. Wie kommen die Patientinnen und Patienten in Ihre Sprechstunde, denn dieser Schritt ist ja ein Bekenntnis zu der Erkrankung.
Patient*innen finden den Weg zu uns auf unterschiedlichste Weise. Zum einen arbeiten wir in einem Netzwerk, konkret mit der Klinik für Psychiatrie, Psychosomatik und Psychotherapie der Universitätsklinik Frankfurt am Main, mit der Psychotherapeutenkammer Hessen, aber auch mit niedergelassenen Psychiater*innen und Psychotherapeut*innen zusammen. Über diesen Kontakt können Betroffene, die sich aufgrund ihrer Essstörung bereits in psychiatrischer oder psychotherapeutischer Behandlung befinden, in unserer Klinik einen Ansprechpartner für ihre Mund- und Zahngesundheit finden. Bei diesen Patient*innen ist ein entscheidender Schritt, nämlich das Bekenntnis zu ihrer Erkrankung, bereits erfolgt und wir helfen aus zahnärztlicher Sicht weiter.
Unser Behandlungsangebot richtet sich zum anderen an diejenigen, die sich im Anerkennungsprozess befinden, an einer Essstörung zu leiden. Psychische Erkrankungen und deren multifaktorielle Auswirkungen sind für viele Menschen schwer greifbar. Veränderungen an den eigenen Zähnen – seien sie mit ästhetischen Einbußen oder mit Schmerzen verbunden – sind hingegen deutlich schneller sichtbar und stellen für manche Betroffene eine Art „ersten Zugang“ zu den fatalen Auswirkungen ihrer Essstörung dar. Unsere Hoffnung ist, dass eine zahnärztliche Diagnose und Aufklärung oder sogar Behandlung für die Betroffenen ein Anstoß sein kann, sich der weiterführenden Therapie ihrer Essstörung zu öffnen. Somit können wir hier gegebenenfalls Informationen geben und weitere Ansprechpartner nennen.
Sie arbeiten in einem interdisziplinären Team – gehören dazu auch Disziplinen außerhalb der Zahnmedizin?
Interdisziplinarität schreiben wir in der Ambulanz „Zahnmedizin bei Essstörungen“ groß, sowohl in zahnärztlichen Bereichen als auch in Bezug auf andere medizinische Fachgebiete. Wir haben schon erwähnt, dass wir mit der Klinik für Psychiatrie, Psychosomatik und Psychotherapie der Universitätsklinik Frankfurt am Main, mit der Psychotherapeutenkammer Hessen und mit niedergelassenen Psychiatern und Psychotherapeuten zusammenarbeiten. Eine umfangreiche allgemeinmedizinische Betreuung ist für Patient*innen mit Essstörungen vor allem in Bezug auf ihre Organfunktionen von immenser Bedeutung. Deshalb ist uns die patientenindividuelle Zusammenarbeit mit ärztlichen Kolleg*innen aus der Allgemeinmedizin sehr wichtig. Die tägliche Arbeit mit den Betroffenen lehrt uns, dass eine (zahn-)medizinische Therapie nur unter Betrachtung der „gesamten Person“ Erfolg haben kann und unsere Patient*innen von der Kooperation mit anderen Fachgebieten profitieren.
Wie sehen klassische säurebedingte Zahnschäden bei häufigem Erbrechen aus und wie unterscheiden sich diese von anderen Erosionen? Was ist das Besondere an der Behandlung von säurebedingten Zahnschäden? Welche Behandlungsoptionen stehen zur Verfügung?
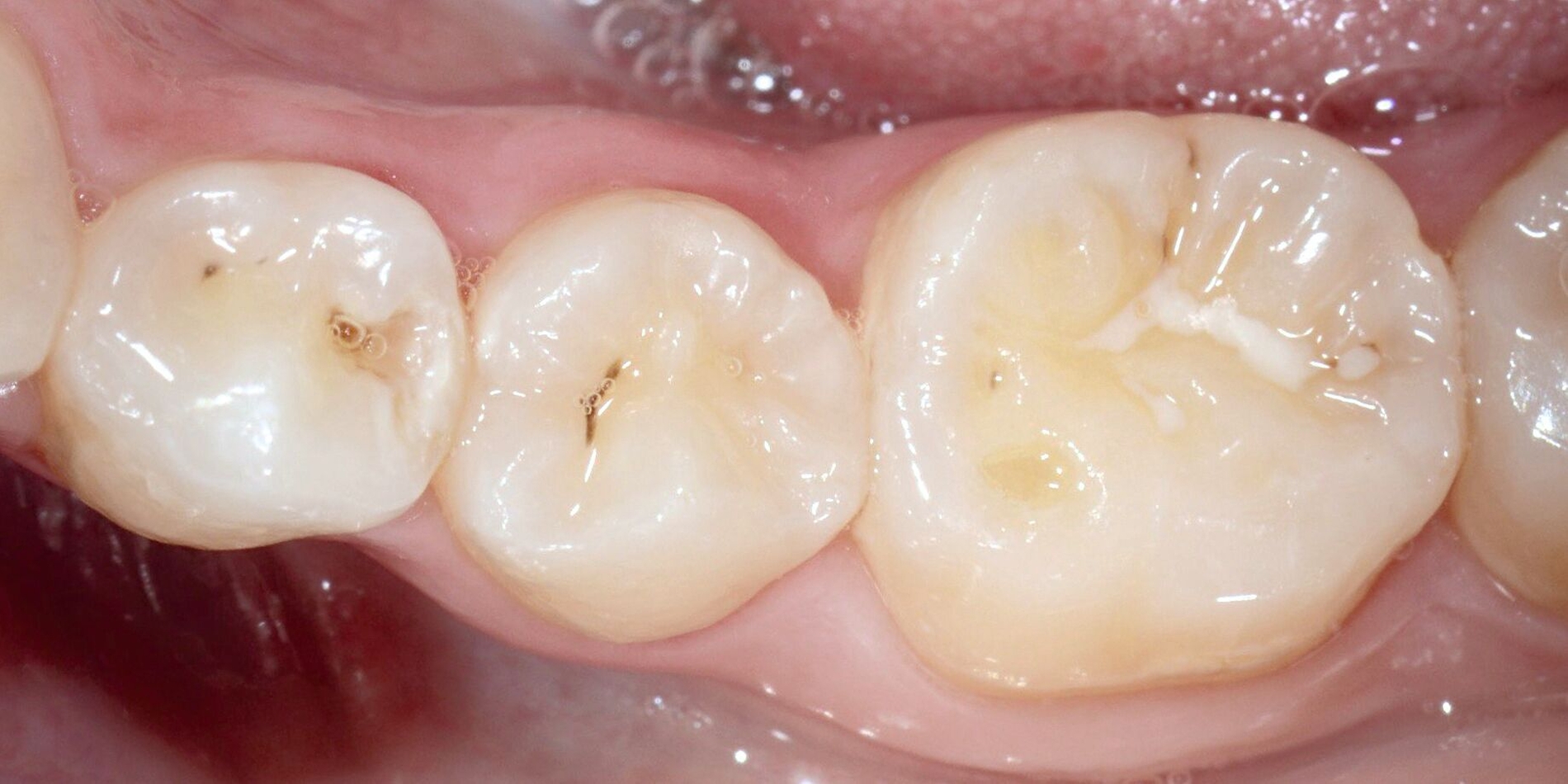
Im Rahmen der klinischen Diagnostik lassen sich nur begrenzt Unterschiede zwischen Emesis-bedingten Erosionen und anderen Formen von erosiven Zahnhartsubstanzdefekten feststellen. Häufig stellt nur die Lokalisation der entstandenen Erosion im Zahnbogen einen Ansatz dar, Rückschlüsse auf mögliche Ursachen der Defekte zu ziehen. Bei Patient*innen mit Essstörungen treten die Defekte meist an den palatinalen und lingualen Zahnoberflächen im Frontzahnbereich durch den Erstkontakt mit der Magensäure in Erscheinung. Auch muldenartige, okklusale Defekte im Seitenzahnbereich sind oftmals erkennbar (Abbildung 2). Im Gegensatz dazu führt die exogene Säureaufnahme in Form von Lebensmitteln, etwa übermäßiger Fruchtsäurekonsum, zu einem sichtbaren Säureangriff an den bukkalen Zahnflächen. Insbesondere bei dieser Patientengruppe ist durch eine obstreiche Ernährungsweise häufig eine Mischform anzutreffen. Zähne, die von Erosionen befallen sind, haben daher durch die abnehmende bis hin zur fehlenden Schmelzschicht ein erhöhtes Kariesrisiko. Die Erstdiagnose einer Essstörung erfolgt dabei nicht von uns Zahnärzt*innen. Wir sehen uns in einer beratenden Rolle, die gegebenenfalls die ersten klinischen Hinweise sieht und unsere Patient*innen dementsprechend aufklärt.
Das Behandlungskonzept unserer Ambulanz umfasst eine zweistufige Vorgehensweise: Dem klinischen und radiologischen Basisbefund folgt die spezifische Befundung mithilfe eines speziell für diese Patientengruppe entwickelten Screening-Bogens. Damit werden durch eine Befragung Informationen der Betroffenen in Bezug auf ihre psychosomatische Erkrankung und den Grad der Belastung im Hinblick auf die Mundsituation erfasst. Ebenfalls wird in diesem Zusammenhang beispielsweise der Basic Erosive Wear Index (BEWE-Index) zur Kategorisierung des Erosionsbefalls erhoben. Zur Optimierung der Patientenvisualisierung und aus Dokumentationsgründen erfolgt beim Ersttermin sowie bei allen Recall-Terminen ein Intraoralscan. Auf Basis dessen können in einem ersten Schritt beispielsweise patientenindividuelle Schutz- und Fluoridierungsschienen angefertigt werden. Diese dienen, je nach Indikation, als Säureschutz der Zahnhartsubstanz während des Erbrechens oder der Refluoridierung nach Säureangriffen.
Wichtige Bausteine der ersten Behandlungsstufe stellen außerdem ein Aufklärungsgespräch über die Ätiologie der Erosionen sowie ein spezifisches Mundhygienetraining dar. Unsere Empfehlung ist, die Zähne zweimal täglich mit fluoridhaltiger Zahnpasta unter Einbeziehung von individuell angepassten Hilfsmitteln (Zahnseide und Interdentalbürsten) zu reinigen. Auch der Zeitpunkt der Reinigung spielt eine entscheidende Rolle; diese sollte nicht unmittelbar nach dem Erbrechen erfolgen, da der saure pH-Wert in der Mundhöhle durch die Magensäure die Zähne verstärkt angreift.
Eine besondere Herausforderung bei der Versorgung essstörungsbedingter Erosionen stellt die Wahl des „richtigen“ Restaurationszeitpunkts dar. Eine umfangreiche konservierende oder prothetische Versorgung großflächiger Defekte führt langfristig nur dann zum Erfolg, wenn die Betroffenen hinsichtlich ihrer psychosomatischen Erkrankung als ausreichend „stabil“ und compliant eingeschätzt werden können. Auch hier steht die patientenindividuelle Behandlungsplanung im interdisziplinären Dialog zwischen Zahnärzt*innen, Allgemeinmediziner*innen, Psychiater*innen und Psychotherapeut*innen an oberster Stelle. Der Beginn der zweiten Behandlungsstufe wird somit patientenspezifisch festgelegt und umfasst die Rehabilitation der intraoralen Erosionsschäden durch Füllungstherapien oder indirekte Restaurationen. Je nach Ausmaß der Zahnhartsubstanzdefekte können die Therapieansätze jedoch auch durchaus komplex werden und neben rein restaurativen auch endodontologische, parodontologische, chirurgische und funktionelle oder kieferorthopädische Therapieverfahren beinhalten.
Welche oralen beziehungsweise perioralen Strukturen werden bei häufigem Erbrechen ebenfalls in Mitleidenschaft gezogen? Welche therapeutischen beziehungsweise präventiven Maßnahmen stehen hier zur Verfügung?
Die wissenschaftliche Datenlage zu den Begleiterscheinungen einer Essstörung auf das intraorale Weichgewebe ist sehr begrenzt. Welches Ausmaß die Schäden der Säureeinwirkung durch wiederkehrende Emesis auf Speicheldrüsen und Mundschleimhaut haben, kann aktuell nur schwer evidenzbasiert beantwortet werden. Vereinzelt berichten Autor*innen von Reizzuständen der Mundschleimhaut und einer herabgesetzten Speichelflussrate. Unstrittig ist allerdings, dass es durch erosive Zahnhartsubstanzdefekte zum Absinken der vertikalen Dimension der Okklusion (VDO) kommen kann, ähnlich wie bei einem Abrasionsgebiss durch extensiven Bruxismus. Dies kann auch mit funktionellen Beeinträchtigungen des craniomandibulären Systems sowie Erkrankungen der Kiefergelenke als sekundäre Folge einhergehen. Im Rahmen der Gründung unserer Ambulanz „Zahnmedizin bei Essstörungen“ entstand auch die Zielsetzung, dieses Thema in wissenschaftlicher Hinsicht zu betrachten, um zukünftig einen Beitrag zur Verbesserung der Datenlage zu leisten.
Kommen zu Ihnen auch Patientinnen und Patienten, die zwar an Bulimie leiden, aber noch keine Schäden an der Zahnhartsubstanz aufweisen? Welche präventiven Maßnahmen können ergriffen werden, um Schäden vorzubeugen?
Das Spektrum der Zahngesundheit der Patient*innen mit Essstörungen variiert stark. Der Fokus unseres Behandlungskonzepts bei Betroffenen ohne bestehende Erosionen liegt auf der Prävention dieser Zahnhartsubstanzschäden. Die Basis dessen bildet neben der Aufklärung und Bewusstmachung ein enges Recall-System, welches patientenindividuell auf Grundlage des Basic Erosive Wear Index (BEWE-Index) festgelegt wird. Inhalt unserer ausführlichen Patientengespräche ist zum einen die Thematisierung der Ätiologie von Erosionen durch Essstörungen, zum anderen klären wir die Betroffenen über das korrekte Mundhygieneverhalten auf, insbesondere in Bezug auf die Emesis. Wenn die Patient*innen gerne und offen Auskunft über ihre Ernährungsweise geben, bieten wir auch in diesem Kontext Aufklärung in Bezug auf die Zufuhr von exogenen Säuren und wie Säureschäden (etwa durch die kombinierte Aufnahme mit Milchprodukten oder durch zuckerfreie Kaugummis zur Speichelanregung) reduziert werden können. Als Tool der Visualisierung im Rahmen der Patientengespräche dient der Intraoralscan. Durch Überlagern der Scans mehrerer Recall-Termine kann die Entstehung, aber vor allem die Progression von erosiven Defekten über die Zeit für die Patient*innen sichtbar gemacht werden. Ergänzt werden diese präventiven Maßnahmen durch die Anfertigung von Schutz- und Fluoridierungsschienen, welche im digitalen Workflow patientenindividuell angefertigt werden.
Sind die Eltern auch einbezogen?
Selbstverständlich werden die Eltern minderjähriger Patient*innen eng einbezogen. Auch bei volljährigen Betroffenen kann es auf Patientenwunsch und nach Rücksprache mit dem betreuenden psychiatrischen und psychotherapeutischen Kolleg*innen sinnvoll sein, Vertrauenspersonen mit in die Behandlung einzubeziehen. Dies können Eltern, Partner*in oder auch enge Freunde sein.
Werden die Zahnärztinnen und Zahnärzte auch psychologisch geschult?
Der Umgang mit dieser sensiblen Patientengruppe bedarf neben den zahnärztlichen Fähigkeiten eines hohen Maßes an Empathie. Aus unserer Sicht kann die große Verantwortung gegenüber den Betroffenen nur durch die Anwendung von Kommunikationstools und die Weiterbildung des zahnärztlichen Personals im Bereich der Grundlagen der Psychosomatik getragen werden. Die Inhalte des entsprechenden Curriculums werden von der Zahnärztin Miriam Ruhstorfer im Rahmen von internen Fortbildungen an das Kollegium weitervermittelt, Kommunikationsschulungen und ernährungswissenschaftliche Grundlagen durch die Ernährungsberaterin und Zahnärztin Charlène Bamberg.
Das Gespräch führten Claudia Kluckhuhn und Dr. Nikola Lippe.






