Sie wurden erfolgreich abgemeldet!

Diagnosen aus Mazar e Sharif

sf
Zahnmedizin
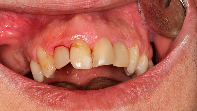
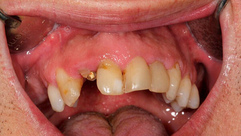
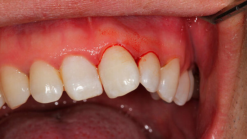
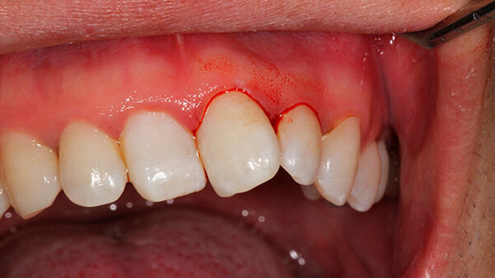
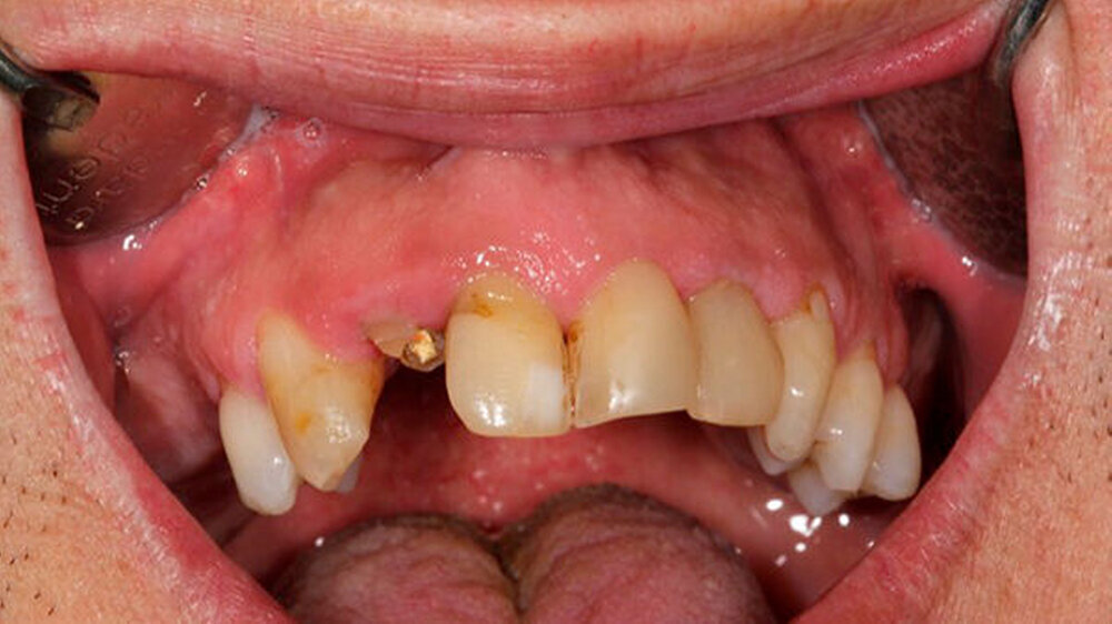
Oralchirurg Marcus Stoetzer arbeitete drei Monate lang im Feldlager der Bundeswehr in Mazar e Sharif - insgesamt behandelte er in Afghanistan 298 Soldaten. Die Bilder zeigen, aus welchem Grund sie zu ihm kamen.
sf
Melden Sie sich hier zum zm Online-Newsletter an

Die aktuellen Nachrichten direkt in Ihren Posteingang

zm Online-Newsletter


Sie interessieren sich für einen unserer anderen Newsletter?
Hier geht zu den Anmeldungen zm starter-Newsletter und zm Heft-Newsletter.