Ein Vogelgesicht durch Kiefergelenkschwund
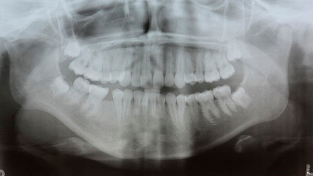
Der fortschreitende Schwund der Kiefergelenkfortsätze führte bei einer 28-jährigen Patientin zur Öffnung des Zusammenbisses von Ober- und Unterkieferzähnen und zur Rückwanderung des Unterkiefers. Sie hatte erhebliche Schwierigkeiten beim Essen und ihr Profil war dramatisch verändert (Vogelgesicht).
Traditionelle Umstellungsoperationen konnten den Krankheitsverlauf nicht stoppen. Die dauerhafte Wiederherstellung der ursprünglichen Position der Kiefer zueinander und damit auch des Aussehens wurde jetzt dank eines relativ neuen und erst von wenigen Kliniken angebotenen Verfahrens erzielt.
Der Fall
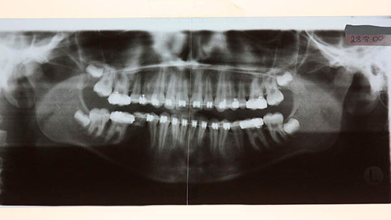
Die Patientin war gerade über 20 Jahre alt, als die Krankheit schleichend begann: Zunächst fiel der jungen Frau auf, dass der Kontakt zwischen den oberen und den unteren Schneidezähnen immer mehr verloren ging. Mit der Zeit wurde die Lücke immer größer, was im weiteren Verlauf ein Abbeißen unmöglich machte. Zudem bemerkte sie, dass ihr Kinn immer fliehender wurde, also immer weiter zurückfiel.
Daraufhin wurden eine kieferorthopädische Behandlung mit einer festsitzenden Spange und nacheinander zwei Operationen zur Umstellung des Ober- und Unterkiefers durchgeführt. Diese ersten Operationen konnten jedoch die weiter zunehmende Abweichung des Unterkiefers nach hinten und damit auch den offenen Biss nicht stoppen.
Diagnose: Resorption der Kiefergelenkfortsätze
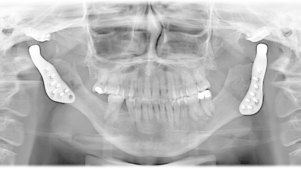
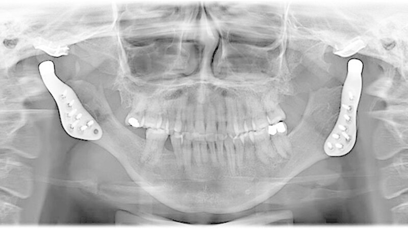
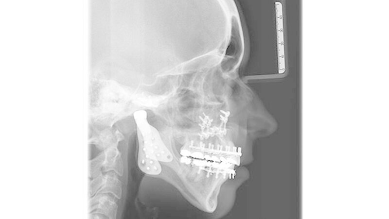
Das Bonner MKG-Chirurgenteam um Prof. Dr. Dr. Rudolf Reich diagnostizierte eine zunehmende Einschmelzung (Resorption) der Kiefergelenkfortsätze, wodurch die gesamte Abstützung des Unterkiefers am Schädel verloren gegangen war.
Die Ursache dieser fortschreitenden Erkrankung kann eine chronische Entzündung wie Rheuma sein, andere Gründe gerade bei jungen Frauen werden zurzeit erforscht. Der Kiefergelenkschwund führt neben den genannten Veränderungen durch Überlastung auch zum vorzeitigen Verlust der hinteren Zähne und in manchen Fällen zur Schlafapnoe.
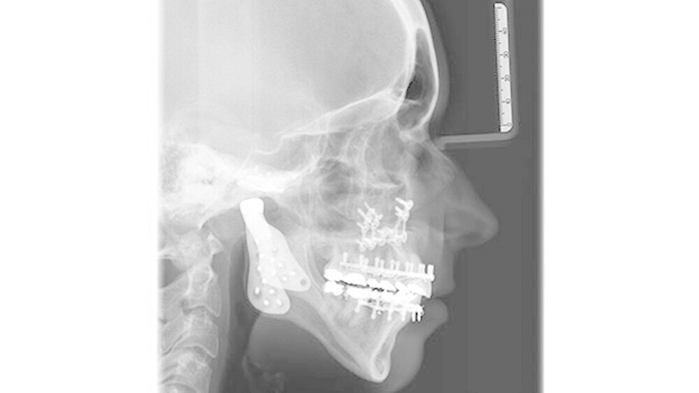
Da in diesen Fällen eine sichere Wiederherstellung der Abstützung des Unterkiefers mit eigenem Gewebe wie beispielsweise Knochen nicht möglich ist, weil eine erneute Einschmelzung droht, hat sich der Kiefergelenkersatz mit Endoprothesen bewährt.
Therapie: Kiefergelenkersatz mit Endoprothesen
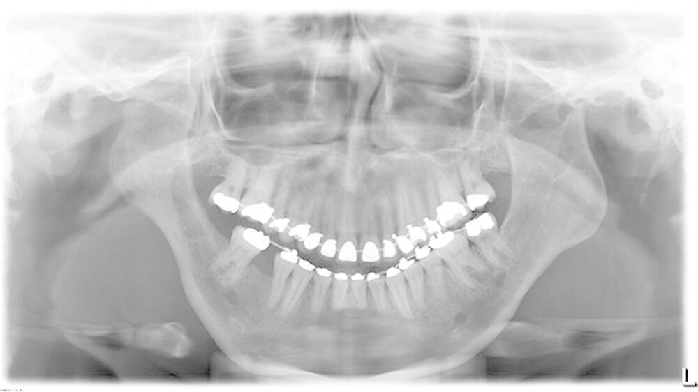
Mit der virtuellen Planung, individuellen Kiefergelenkprothesen und einer zusätzlichen Rückpositionierung des Oberkiefers in die ursprüngliche Lage erfolgte dann die Operation. Alles erfolgte in einem Operationsgang. Die Bonner MKG-Chirurgen fertigten die Endoprothesen für die Frau individuell im CAD-/CAM-Verfahren an. Dafür wurden die Daten der Computertomografie des Schädels zugrunde gelegt.
Durch diese hoch anspruchsvollen Verfahren ließ sich annähernd die ursprüngliche Position des Unterkiefers vor der Einschmelzung wiederherstellen; in der gleichen Operation wurde die Position des Oberkiefers der jetzt idealen Stellung des Unterkiefers angepasst.
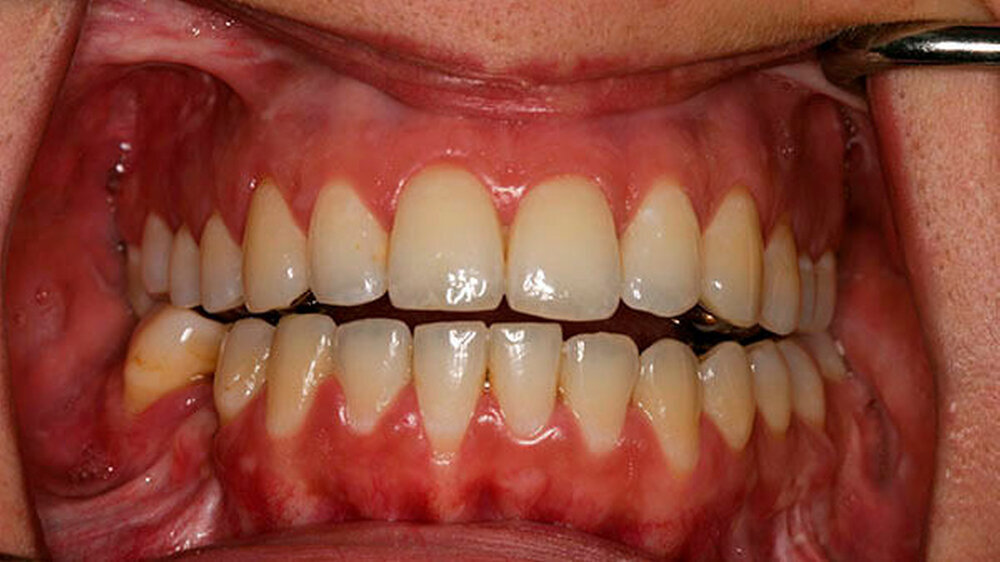
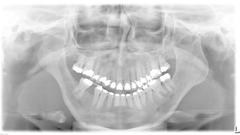
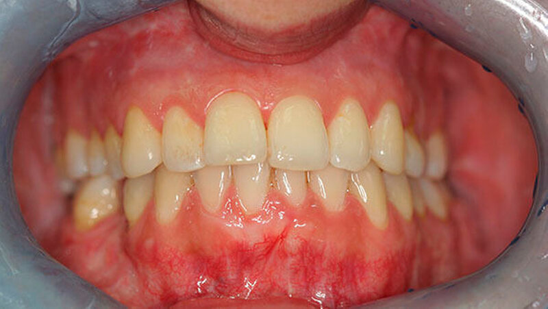
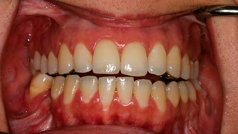
Die Patientin erreicht dauerhaft eine Mundöffnung von 35 mm ohne Schmerzen, kann jede Nahrung zu sich nehmen und hat einen stabilen Zusammenbiss der Zähne - auch die erhebliche Rücklage des Unterkiefers ist dauerhaft beseitigt.
Das Verfahren: Kiefergelenk-Endoprothetik
Die Kiefergelenk-Endoprothetik ist ein relativ neues, technisch anspruchsvolles Verfahren, mit dem aber dauerhafte Lösungen hauptsächlich in Fällen der Resorption - wie hier gezeigt - und bei Versteifungen des Kiefergelenks für die Patienten gefunden werden können, wenn andere Verfahren versagen. Die komplexe Methode erfordert sehr viel Erfahrung und wird bisher erst in wenigen Kliniken angeboten.
Der Fall wurde auf der Jahres-Pressekonferenz der Deutschen Gesellschaft für Mund-, Kiefer- und Gesichtschirurgie (DGMKG) anlässlich ihres 67. Kongresses in Köln/Bonn vorgestellt.
Extra-Programm für Zahnärzte am 24. Juni "
Zahnärzte-Update Implantologie 20.17"
Nach der positiven Resonanz im letzten Jahr bietet die DGMKG auch dieses Jahr wieder parallel am Kongress-Samstag ein zahnärztlich-chirurgisches Repetitorium für niedergelassene Zahnärztinnen und Zahnärzte an. Die aktuellen Themen erstrecken sich von der chirurgischen Technik über die dreidimensionale Planung zur navigierten Implantation bis hin zu modernen prothetischen Konzepten der Implantatversorgung und zur Therapie von Komplikationen wie der Periimplantitis. Geleitet wird die Veranstaltung von Univ.-Prof. Dr. Dr. Joachim Zöller und Prof. Dr. Hans-Joachim Nickenig.
Das Programm für Zahnärzte finden Siehttp://www.dgmkg-koeln-bonn.de/index.php/programm/zahnaerzte-update-implantologie-20-17 _blank external-link-new-window




















