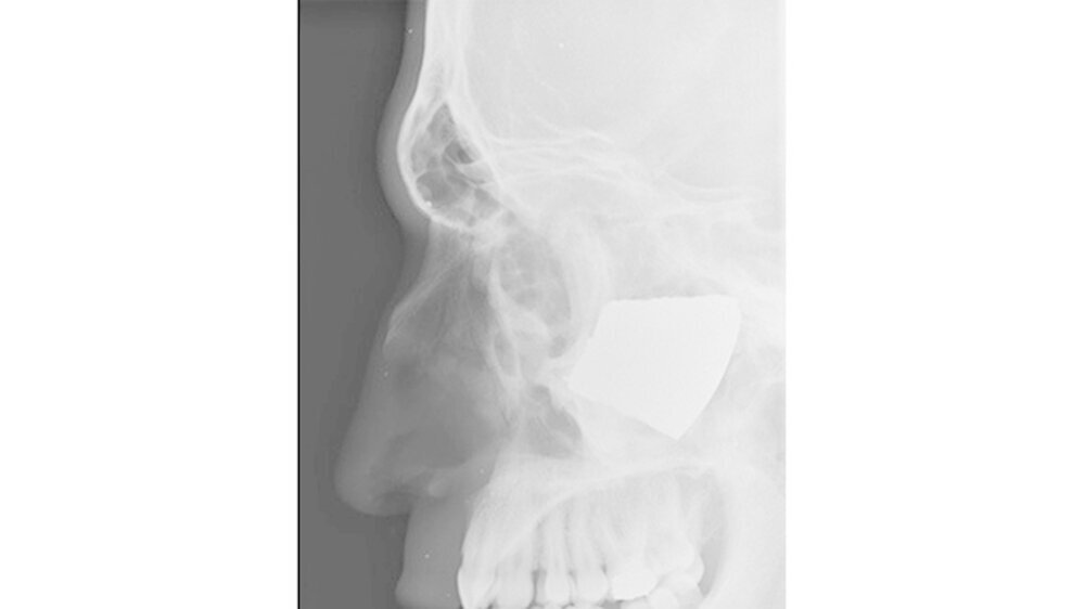
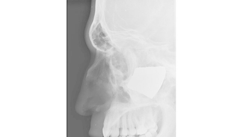
Fotostrecke
Fremdkörper im Gesicht
Vom Bohrer im Kopf bis zum Schlüssel in der Kieferhöhle: Die MKG-Chirurgen der Charité haben ausgewählte Patientenfälle mit Fremdkörpern im Gesicht zusammengestellt. In unserer Fotostrecke finden Sie die eindrucksvollen Aufnahmen.



















