Geriatrische Implantate – großer Nutzen mit wenig Chirurgie
Aus epidemiologischen Studien ist bekannt, dass weltweit die Prävalenz von Zahnlosigkeit in den Industrieländern merklich sinkt und sich ins höhere Alter verlagert [Müller et al., 2007]. Im Vergleich der Deutschen Mundgesundheitsstudien (DMS) hat sich der prozentuale Anteil der zahnlosen 65- bis 74-jährigen Studienteilnehmer von 1997 (DMS III: 24,8 Prozent) bis 2014 (DMS V: 12,4 Prozent) halbiert [Nitschke und Stark, 2016]. Erstmalig wurden in der DMS V die 75- bis 100-Jährigen eingeladen. Von 1.133 Teilnehmern waren 256 pflegebedürftig [Nitschke und Micheelis, 2016]. Rund ein Drittel in dieser Altersgruppe war zahnlos, bei den Pflegebedürftigen waren es sogar mehr als die Hälfte (53,7 Prozent). Aufgrund der steigenden Lebenserwartung und einer immer größeren Zahl Pflegebedürftiger ist also absehbar, dass dieser Trend anhält. Diese sogenannte „Morbiditätskompression“ ins hohe Alter betrifft neben allgemeinen Erkrankungen auch den Zahnverlust.
Prof. Dr. Torsten Mundt
Universitätsmedizin Greifswald, Zentrum für Zahn-, Mund- und Kieferheilkunde
Poliklinik für Zahnärztliche Prothetik, Alterszahnheilkunde und Medizinische Werkstoffkunde
Walther-Rathenau-Str. 42a, 17475 Greifswald
mundt@uni-greifswald.de
1984–1989: Studium der Zahnheilkunde in Greifswald
1989–1994: Assistent am Zentrum für Zahn-, Mund- und Kieferheilkunde Greifswald in der Abteilung für Parodontologie und in der Poliklinik für Zahnärztliche Prothetik
1995: Promotion und leitender Oberarzt in der Poliklinik für Zahnärztliche Prothetik
2007: Spezialist für Prothetik der DGPro
2011: Habilitation
2012: stellvertretender Vorsitzender des Landesverbandes M-V der DGI
2017: Professur Implantatprothetik mit Verstetigung 2022
2018: Delegierter der Kammerversammlung M-V und Vorsitzender des Fortbildungsausschusses
2019: Vorsitzender der Mecklenburg-Vorpommerschen Gesellschaft für Zahn-, Mund- und Kieferheilkunde an den Universitäten Greifswald und Rostock e.V.
Insbesondere Zahnlosigkeit im Unterkiefer hat einen negativen Einfluss auf die mundgesundheitsbezogene Lebensqualität, die allgemeine Zufriedenheit, das Kauvermögen und den Ernährungsstatus [Cousson et al., 2012]. Dies kann bis zur zur sozialen Isolation führen, etwa wenn Ältere wegen schlecht sitzender Prothesen Zusammenkünfte mit anderen vermeiden [Hajek et al., 2022; Koyama et al., 2021]. Seit 2002 besteht weltweiter Konsens, dass zwei interforaminale Implantate ausreichen, eine Unterkieferprothese bei totaler Zahnlosigkeit unabhängig von den Halteelementen (Kugelanker, Locator, Steg) zu stabilisieren [Feine et al., 2002]. Implantate im zahnlosen Unterkiefer beeinflussen positiv die Beißkraft, die objektiv ermittelte Kaueffizienz, gemessen mit der Zerkleinerung oder Durchmischung einer Testnahrung, sowie das subjektive Kauvermögen und die Zufriedenheit mit der Prothese [Boven et al., 2015].
In einer Studie mit 75- bis 96-jährigen zahnlosen Pflegebedürftigen ohne schwere kognitive Einschränkungen erhielten zufällig ausgewählte Teilnehmer zwei Implantate zur Stabilisierung ihrer Prothesen im Unterkiefer. Bei den anderen Teilnehmern wurden die Prothesen unterfüttert und optimiert [Müller et al., 2013]. In beiden Gruppen wurden die mundgesundheitsbezogene Lebensqualität, die Zufriedenheit mit den Prothesen, die Prothesenstabilität und die maximale Beißkraft verbessert. Der Effekt war jedoch in der Implantatgruppe signifikant höher als in der Gruppe ohne Implantate. Bei der Kaueffizienz gab es überraschenderweise vernachlässigbare Unterschiede zwischen den Gruppen [Maniewicz et al., 2019]. Zu keinen Veränderungen kam es im Ernährungsverhalten (Fragebogen) und bei bestimmten Blutmarkern (Albumin, Vitamin B12, Folsäure). Der Nachweis, ob sich zahnlose Patienten nach der Prothesenstabilisierung mit Unterkiefer-Implantaten automatisch besser ernähren oder gesünder werden, steht immer noch aus. Wahrscheinlich sollte immer eine Ernährungslenkung dazu gehören [Qian et al., 2022].
Geriatrische Implantate?
Viele ältere Patienten sind multimorbid, verbunden mit der Einnahme von Medikamenten, die das Risiko von Komplikationen nach einem chirurgischen Eingriff zusätzlich erhöhen [Müller, 2014; Schimmel et al., 2017]. Deshalb werden die notwendigen augmentativen Maßnahmen bei Knochendefiziten für Implantate häufig nicht mehr erwogen. Demgegenüber steht, dass häufig der Halt und die Lagestabilität von totalen Prothesen wegen weit fortgeschrittenen Kieferkammatrophien im Alter, einer verminderten Speichelfließrate und einer reduzierten muskulären Kontrolle kaum zu erreichen ist [Müller, 2014]. Hinzu kommt, dass Senioren Implantattherapien aus Angst vor dem Eingriff und vor möglichen Komplikationen skeptisch gegenüberstehen [Walton und MacEntee, 2005].
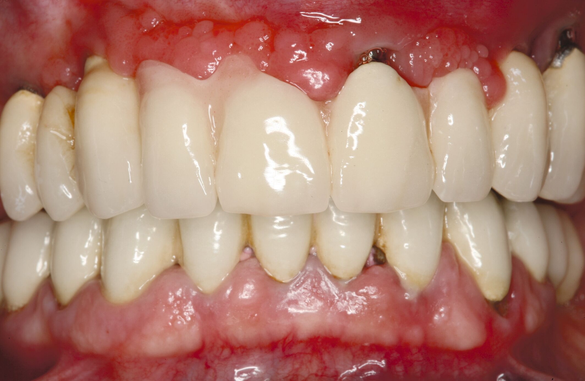
Nicht zuletzt ist die Finanzierung von Implantatkonstruktionen für viele Senioren unmöglich. Dies ist verständlich, wenn die primären Kosten der Implantattherapie ein Mehrfaches der monatlichen Rente übersteigen. In der DMS V war der Anteil der zahnlosen 65- bis 74-Jährigen in der Gruppe mit einem niedrigen Sozialstatus mit niedriger Schulbildung und geringem Einkommen viermal höher (16,4 Prozent) als in der Gruppe mit hohem Sozialstatus (3,8 Prozent). Bei den 75- bis 100-Jährigen waren es noch doppelt so viele (35 Prozent versus 16,4 Prozent). Das bedeutet, die Bevölkerungsgruppe, die sich häufig keine dentalen Implantate leisten kann, würde am meisten davon profitieren. Das Risiko für Probleme mit implantatgetragenem Zahnersatz bei älteren Senioren besteht zudem darin, dass manuelle, visuelle und kognitive Einschränkungen vorliegen, die eine selbstständige, adäquate Mund- und Prothesenhygiene und Handhabung nicht mehr gewährleisten (Abbildung 1). Unter den Risikofaktoren für Implantatverluste und Periimplantitis sind eine inadäquate Mundhygiene und die Non-Compliance für Kontrollen und professionelle Hygienemaßnahmen zu nennen [Bidra et al., 2016].
Die Ein-Implantat-Prothese
Ein überschaubares, pflegeleichtes und zudem preiswertes Konzept ist das mittig stehende einzelne Implantat zur Stabilisierung der totalen Unterkiefer-Prothese. Die erste Fünf-Jahres-Studie hierzu aus dem Jahr 1997 berichtet über eine Implantatüberlebensrate von 100 Prozent bei 21 Patienten mit einem mittleren Alter von 74,2 Jahren [Cordioli et al., 1997]. Die hohe Implantatüberlebensrate wurde inzwischen von zahlreichen Studien bestätigt [Padmanabhan et al., 2020]. Die Matrizen auf Kugelankern oder anderen Druckknopf-artigen Elementen werden in der Regel kostensparend direkt in die vorhandene Prothese einpolymerisiert (Abbildung 2).
Verglichen mit einer neuen totalen Prothese im Unterkiefer waren die Patienten mit der Ein-Implantat-Prothese zufriedener in einer Analyse mehrerer Studien [Nogueira et al., 2017]. Eine Fünf-Jahres-Vergleichsstudie zwischen Ein- und Zwei-Implantat-Prothesen ergab keine relevanten Unterschiede bei der Patientenzufriedenheit und beim Überleben der Implantate [Bryant et al., 2015]. Der prothetische Nachsorgeaufwand hinsichtlich Unterfütterungen, Matrizenaktivierungen und -austausch sowie Bruchreparaturen bei der Ein-Implantat-Prothese war jedoch etwas höher im Vergleich zu zwei Implantaten. Eine weitere Ein-Jahres-Studie ergab ebenfalls keine Unterschiede im Überleben, in der Patientenzufriedenheit und auch in der Kaueffizienz zwischen einem oder zwei Implantaten zur Unterkiefer-Prothesenstabilisierung [de Resende et al., 2021].
In einer von Kiel initiierten, DFG-geförderten, multizentrischen Studie mit 158 Ein-Implantat-Prothesen war die Implantat-Verlustrate nach fünf Jahren bei Sofortbelastung des Implantats höher als bei Spätbelastung (15,3 Prozent versus 3,8 Prozent) [Kern et al., 2018]. Die neun Implantatverluste in der Sofortbelastungsgruppe traten in den ersten drei Monaten nach Insertion auf. In der Spätbelastungsgruppe musste ein Implantat bei der Freilegung und ein weiteres nach fünf Jahren entfernt werden (Abbildung 3). Die postoperativen Beschwerden waren bei Sofortbelastung höher als nach Spätbelastung [Mundt et al., 2017]. Nach der Prothesenstabilisierung war eine deutliche Verbesserung der Kaueffizienz ohne Unterschiede zwischen den Belastungsprotokollen zu beobachten, die den gesamten Fünf-Jahres-Beobachtungszeitraum anhielt [Passia et al., 2022]. Die Patientenzufriedenheit [Passia et al., 2017] und die mundgesundheitsbezogene Lebensqualität [Schwindling et al., 2018] wurden ebenfalls spürbar verbessert.
Der Nachsorgeaufwand scheint jedoch nicht unerheblich zu sein. Von den über fünf Jahre nachverfolgten 102 Prothesen mussten 37 wegen Prothesenbasisfrakturen repariert werden, darunter elf mehrmals. Weiterhin wurde 123 Matrizeninserts und 14 Kugelköpfe im Studienverlauf ausgetauscht. Mögliche Komplikationen bei Ein-Implantat-Prothesen werden in einer Literaturübersicht mit einer berechneten jährliche Frakturrate von 10,8 pro 100 Kugelanker-Prothesen und 16,8 Nachsorgemaßnahmen pro 100 Locator-Prothesen bestätigt [Padmanabhan et al., 2020]. Die nachträgliche Einarbeitung einer Metallbasis verhindert Basisfrakturen [Pinheiro et al., 2021]. Insgesamt scheint die Ein-Implantat-Prothese im Unterkiefer eine einfache, minimalinvasive und kostengünstige Alternative mit hohen Implantatüberlebensraten bei Spätbelastung für ältere Patienten zu sein, die einem Vergleich mit Zwei-Implantat-Prothesen standhält. Bei der Wahl dieser Therapievariante für den Unterkiefer bei kompletter Zahnlosigkeit sollte der Nachsorgeaufwand berücksichtigt werden. Eine Sofortbelastung des mittig stehenden Implantats bleibt Ausnahmefällen vorbehalten.
Miniimplantate zur Prothesenstabilisierung
Zur Prothesenstabilisierung werden seit Ende der 1990er-Jahre Miniimplantate mit einem Durchmesser von weniger als 3 mm verwendet. Empfohlen werden hierfür vier interforaminale Implantate im Unterkiefer und sechs Implantate zwischen den Sinus maxillares im Oberkiefer (Abbildung 4) [Lemos et al., 2017]. In der Regel liegt der Implantat-Durchmesser zwischen 1,8 und 2,5 mm [Schiegnitz und Al-Nawas, 2018]. Sie sind deshalb bis auf wenige Ausnahmen [Morneburg und Proschel, 2008] einteilig [Jawad und Clarke, 2019]. Eine vollkommen belastungsfreie Einheilung ist deshalb nicht möglich [Mundt et al., 2015]. Sie eignen sich für sehr schmale Kieferkämme, bei denen anderenfalls Augmentationen notwendig gewesen wären. Viele Anwender inserieren Miniimplantate erfolgreich transgingival („flapless“) [Marcello-Machado et al., 2018]. Der Autor dieses Beitrags empfiehlt jedoch sicherheitshalber die Bildung eines kleinen Mukoperiostlappens zur Kontrolle der Insertionsstelle („mini-flap“) und die transgingivale Insertion nur bei breiten Kieferkämmen oder nach dreidimensionaler Bildgebung zusammen mit einer Bohrschablone für eine geführte Aufbereitung.
Mittlerweile gibt es zahlreiche Hersteller, die Miniimplantate in ihr Produktportfolio aufgenommen haben. Am häufigsten werden Kugelköpfe zur Verankerung auf Miniimplantaten genutzt [Marcello-Machado et al., 2018], aber es gibt dafür auch eine Reihe anderer Patrizen- und Matrizenformen wie Magnete, Locatoren oder ähnliche Verankerungen und sogar Stege [Leles et al., 2022; Lemos et al., 2017]. Beispielhaft zeigt die Abbildung 5 eines der ersten Miniimplantat-Systeme, dass inzwischen in zahlreichen Studien überprüft wurde [Enkling et al., 2019, Lemos et al., 2017, Shatkin und Petrotto, 2012]. Die Länge beginnt bei 10 mm, hauptsächlich werden jedoch 13 mm lange, 1,8-mm-Miniimplantate im Unterkiefer und 2,4-mm-Miniimplantate im Oberkiefer verwendet. Die Aufbereitungstiefe mit dem dünneren 1,1-mm-Bohrer richtet sich nach der Knochenqualität. Durch das selbstschneidende Gewinde erlangt das Implantat ähnlich einer Holzschraube seine primäre Stabilität. Erst bei einem finalen Eindrehmoment ab 35 Ncm aller Implantate pro Kiefer sollte eine Sofortbelastung erfolgen. Dafür werden die Matrizen (Housing mit einem O-Ring aus Nitrilgummi) entweder intraoral oder über eine Abformung in die Prothese einpolymerisiert. Ist das Eindrehmoment geringer, sollte die Prothese zunächst für drei Monate weichbleibend unterfüttert werden [Mundt et al., 2015]. Die Kugel nutzt seitlich nicht ab, da der O-Ring bei der Protheseneingliederung über den Äquator gleitet und darunter auf dem Insertionsvierkant verbleibt. Die Haftkraft ändert sich auch nach Jahren nicht, wenn der O-Ring bei Abnutzung ausgetauscht wird [Abou-Ayash et al., 2019].
Die kurz- und mittelfristigen Überlebensraten sofortbelasteter Miniimplantate im zahnlosen Unterkiefer entsprechen mit 92 bis 100 Prozent nach bis zu fünf Jahren den Daten von konventionellen Implantaten [Jawad und Clarke, 2019; Lemos et al., 2017]. Im direkten Vergleich waren vier Miniimplantate entweder ebenbürtig [Zygogiannis et al., 2018] oder zwei Standard-Implantaten zur Stabilisierung von Unterkieferprothesen hinsichtlich patientenimmanenter Faktoren wie Zufriedenheit mit der Versorgung und der erzielten Verbesserung der Lebensqualität überlegen [de Souza et al., 2015; Persic et al., 2016]. In einem randomisierten Vergleich gingen jedoch signifikant mehr Miniimplantate als konventionelle Implantate verloren [de Souza et al., 2015]. In dieser Studie waren alle Implantate 10 mm lang. Der Trend von mehr Verlusten von Miniimplantaten mit einer Länge von < 12 mm wird in anderen Studien bestätigt [Mundt et al., 2014; Van Doorne et al., 2020]. Die minimalinvasive und relativ schnelle Insertion von Miniimplantaten führt zu weniger postoperativen Beschwerden und Schwellungen als bei konventionellen Implantaten mit Bildung eines Mukoperiostlappens und mehreren Schritten bei der Implantatbettaufbereitung [Kovacic et al., 2018]. In der Universitätszahnklinik Rostock wurden Planung, Insertion und prothetische Versorgung von Miniimplantaten im zahnlosen Unterkiefer von zwanzig 56- bis 87-jährigen Patienten sogar erfolgreich durch Studenten unter Anleitung im klinischen Kurs erbracht [Kämmerer et al., 2021].
Im zahnlosen Oberkiefer ist die Verlustrate von Miniimplantaten höher [Vi et al., 2021]. Verluste von mehr als 20 Prozent in den ersten beiden Jahren traten immer dann auf, wenn ungeachtet der Knochenqualität beziehungsweise des Eindrehmoments sofort belastet wurde [Elsyad et al., 2013; Preoteasa et al., 2014]. Werden die Prothesen nach der Insertion im Oberkiefer bei unzureichender primärer Implantatstabilität zunächst weichbleibend unterfüttert und die Matrizen erst drei bis sechs Monate später eingearbeitet, sind die Implantat-Überlebensraten höher [Mundt et al., 2015]. Die relativ hohe Verlustrate (17,7 Prozent) in einer Zwei-Jahres-Studie trotz Spätbelastung könnte nicht nur mit der geringen Länge der Miniimplantate von 10 und 11,5 mm zusammenhängen, sondern auch mit dem Umstand, dass die Gegenkiefer entweder natürliche Zähne (68 Prozent), Teilprothesen (16 Prozent) oder ebenfalls eine implantatgestützte Prothese (16 Prozent) aufwiesen [Van Doorne et al., 2020]. Ein Dominoeffekt ist wahrscheinlich, denn die Hälfte der Studienteilnehmer mit Verlusten verlor mehrere Miniimplantate. In Studien mit Miniimplantaten im Unterkiefer war der Oberkiefer in der Regel mit einer totalen Prothese versorgt.
Miniimplantate sind für ältere und multimorbide zahnlose Patienten eine Alternative zu konventionellen Implantaten, da der chirurgische Aufwand (auch bei geringer Alveolarkammbreite), die Risiken und die Operationszeit reduziert sind. Bei ausreichender primärer Stabilität ist häufig eine sofortige Versorgung im Unterkiefer möglich. Das einfache Design mit einem überschaubaren Instrumentarium, der geringe Zeitaufwand sowie die minimalen Material- und Laborkostenführen zu einer Kostenreduktion um 20 bis 50 Prozent gegenüber einer konventionellen Zwei-Implantat-Versorgung [Della Vecchia et al., 2018, Griffitts et al., 2005]. Alles zusammen sollte mehr Ältere dazu ermutigen, mit Implantatversorgungen bei Zahnlosigkeit ein Stück Lebensqualität zurückzugewinnen.
Suprakonstruktionen bei Älteren
Ältere Senioren (> 75 Jahre) können fit und robust (sogenannte „go-go“), funktionell instabil („slow-go“) oder in vielen täglichen Verrichtungen mehr oder weniger abhängig von anderen Personen wie Pflegekräften oder Angehörigen („no-go“) sein. Der Eintritt des abhängigen Zustands verschiebt sich immer mehr in ein Alter von weit über 75 Jahren. Laut einer Auswertung der fünften Deutschen Mundgesundheitsstudie [Nitschke und Micheelis, 2016] ist die zahnärztlich funktionelle Kapazität bei den älteren Senioren oftmals reduziert und dies noch viel häufiger, wenn sie pflegebedürftig sind. Diese sogenannte funktionelle Kapazität umfasst die Therapiefähigkeit allgemein, die Mundhygienefähigkeit und die Fähigkeit, Arzt- und Zahnarztbesuche eigenverantwortlich zu planen beziehungsweise zu realisieren.
Dieser Patientengruppe nimmt sich die geriatrische Medizin an. Sie weist einen hohen Grad an Gebrechlichkeit und Multimorbidität auf und erfordert einen ganzheitlichen Ansatz. Krankheiten können sich mit einem veränderten Erscheinungsbild präsentieren und sind daher häufig schwierig zu diagnostizieren. Therapieerfolge treten verzögert ein. In der Regel besteht zusätzlich ein Bedarf an sozialer Unterstützung. Nicht nur die fehlende Mobilität führt zu weniger Routinekontrollen und Prophylaxemaßnahmen, sondern Zähne, Zahnersatz und/oder dentale Implantate stehen bei schweren Allgemeinerkrankungen und Multimorbidität nicht an erster Stelle. Hinzu kommen eine ausgeprägte Leidensfähigkeit und Erkrankungen wie Demenz.
Eine Befragung von 365 japanischen Zahnärzten, die Pflegebedürftige zu Hause betreuen, ergab bemerkenswerte Ergebnisse [Hagiwara et al., 2021]: Implantatbezogene Komplikationen waren neben Problemen bei der Implantathygiene (80 Prozent) und Periimplantitis (60 Prozent) der Verlust von Suprakonstruktionen (15 Prozent), Schraubenfrakturen und -lockerungen (15 Prozent), Implantatverluste (30 Prozent) und Bissverletzungen durch die Implantatkonstruktion (28 Prozent). Aufgrund der Multimorbidität mit cerebrovaskulären Insulten und Demenz und des sehr hohen Alters der zu Pflegenden war die Mehrheit der teilnehmenden Zahnärzte der Meinung, die Suprakonstruktionen vor Pflegebeginn wenigstens in Deckprothesen umzuarbeiten. Es wurde auch erwogen, die Aufbauten zu entfernen und Implantate submukös zu belassen („Sleeping implant“) beziehungsweise die Implantate sogar zu entfernen.
Es stellt sich die Frage, ob Implantatversorgungen zukünftigen geriatrischen Problemen mit zunehmendem Alter Rechnung tragen müssen und können. Der Wunsch nach aufwendigem (festsitzendem) Zahnersatz kann natürlich auch Älteren nicht verwehrt werden. Zudem zeigen Literaturrecherchen, dass ein fortgeschrittenes Alter und Allgemeinerkrankungen das Risiko für Implantatverluste nicht erhöhen [Schimmel et al., 2018; Srinivasan et al., 2017]. Festsitzender Zahnersatz auf Implantaten muss zuallererst hygienefähig sein, das heißt zugänglich für Zahnbürste, Interdentalraumbürstchen sowie die natürliche Spülwirkung des Speichels. Die Realität sieht manchmal allerdings anders aus (Abbildung 6).
Herausnehmbarer Zahnersatz oder eine bedingte Abnehmbarkeit von festsitzendem Zahnersatz kann nicht nur die Hygiene erleichtern, sondern erst dadurch sind Reparaturen, Erweiterungen oder spätere Umwandlungen der Suprakonstruktionen unkompliziert möglich. Bedingt abnehmbar sind nicht nur verschraubte, sondern auch provisorisch oder „semi-definitiv“ zementierte Brücken. Werden Zähne in Verbundbrücken einbezogen, sollten die natürlichen Stümpfe mit einem definitiv zementierten Käppchen aus Metall oder Keramik geschützt werden [Mundt et al., 2012]. Umfangreiche Reviews zeigen, dass biologische und technische Komplikationen auch bei festsitzenden Suprakonstruktionen keine seltenen Ereignisse sind, obwohl generell herausnehmbare Prothesen mehr Nachsorge erfordern [Jung et al., 2012; Pjetursson et al., 2012; Pjetursson et al., 2018]. Zudem ist eine effektive Periimplantitistherapie nach Kronen- beziehungsweise Brückenabnahme viel einfacher. Bei Zahn- oder Implantatverlusten können Brücken entfernt und manchmal sogar unter ihrem Erhalt umgewandelt werden. Bei manuellen oder visuellen Einschränkungen, bei großen Knochendefiziten und im parodontal vorgeschädigten Gebiss sollten die Patienten auf abnehmbare Konstruktionen gelenkt werden.
So bieten kombiniert zahn- und implantatgetragene Doppelkronenprothesen eine ausreichende Stabilität bei Reduktion der Basis im Bereich des Gaumendaches. Die Prothesen haben einen ausreichenden Halt und die verbliebenen Zähne werden entlastet. Die Literatur zur sogenannten strategischen Pfeilervermehrung zeigt gute Überlebensraten von Implantaten (> 92 Prozent) und Suprakonstruktionen (100 Prozent) nach fünf Jahren [Bassetti et al., 2018; Lian et al., 2018; Molinero-Mourelle et al., 2022]. Tragen Patienten schon Prothesen und Pfeiler gehen verloren oder sind ungünstig verteilt, dann können Implantate unter dem vorhandenen Zahnersatz für eine bessere Abstützung, ein besseres Kauvermögen und eine höhere Zufriedenheit sorgen [Wolfart et al., 2013; Wolfart et al., 2016]. Dies funktioniert natürlich auch mit kostengünstigen Miniimplantaten, wie eine kürzlich beendete prospektive randomisierte Drei-Jahres-Studie zeigen konnte (Abbildung 7) [Al Jaghsi et al., 2021; Mundt et al., 2020; Mundt et al., 2022]. Falls einteilige Miniimplantate in der Altenpflege wegen Entzündungen oder Bissverletzungen Probleme bereiten, können die Retentionsköpfe problemlos mit Diamant- oder Hartmetallfräsen abgetrennt werden und die Schraube im Knochen verbleiben.

Fazit
Zahnlosigkeit verschiebt sich ins hohe Alter. Für multimorbide Patienten mit fortgeschrittener Alveolarkammatrophie und Problemen mit dem Prothesenhalt sind einfache und erschwingliche Konzepte – wie das mittig stehende einzelne Implantat im Unterkiefer oder Miniimplantate zur Prothesenstabilisierung – gefragt. Der Anteil dentaler Implantate bei Pflegebedürftigen wird ansteigen und somit auch die möglichen Probleme mit Implantatversorgungen. Wenn (ältere) Patienten festsitzende Suprakonstruktionen erhalten, sollten diese pflegefähig, bedingt abnehmbar (semidefinitiv zementiert, verschraubt) und somit um- und bei Bedarf rückbaubar sein. Für Patienten mit funktionellen und medizinischen Einschränkungen sind herausnehmbare Suprakonstruktionen, falls möglich unter Erhalt der vorhandenen Prothese, besser geeignet, da sie minimalinvasiv, leichter pflegbar, umbau- und erweiterbar gestaltet werden können.
Literaturliste
Abou-Ayash, S., Enkling, N., Srinivasan, M., Haueter, M., Worni, A. & Schimmel, M. (2019): Evolution of in vivo assessed retention forces in one-piece mini dental implant-retained mandibular overdentures: 5-year follow-up of a prospective clinical trial, in: Clin Implant Dent Relat Res 21(5), 968-976.
Al Jaghsi, A., Heinemann, F., Biffar, R. & Mundt, T. (2021): Immediate versus delayed loading of strategic mini-implants under existing removable partial dentures: Patient satisfaction in a multi-center randomized clinical trial, in: Clin Oral Investig 25(1), 255-264.
Bassetti, R. G., Bassetti, M. A. & Kuttenberger, J. (2018): Implant-assisted removable partial denture prostheses: A critical review of selected literature, in: Int J Prosthodont 31(3), 287-302.
Bidra, A. S., Daubert, D. M., Garcia, L. T., Gauthier, M. F., Kosinski, T. F., Nenn, C. A., Olsen, J. A., Platt, J. A., Wingrove, S. S., Chandler, N. D. & Curtis, D. A. (2016): A systematic review of recall regimen and maintenance regimen of patients with dental restorations. Part 2: Implant-borne restorations, in: J Prosthodont 25 Suppl 1S16-31.
Boven, G. C., Raghoebar, G. M., Vissink, A. & Meijer, H. J. (2015): Improving masticatory performance, bite force, nutritional state and patient's satisfaction with implant overdentures: A systematic review of the literature, in: J Oral Rehabil 42(3), 220-233.
Bryant, S. R., Walton, J. N. & MacEntee, M. I. (2015): A 5-year randomized trial to compare 1 or 2 implants for implant overdentures, in: J Dent Res 94(1), 36-43.
Cordioli, G., Majzoub, Z. & Castagna, S. (1997): Mandibular overdentures anchored to single implants: A five-year prospective study, in: J Prosthet Dent 78(2), 159-165.
Cousson, P. Y., Bessadet, M., Nicolas, E., Veyrune, J. L., Lesourd, B. & Lassauzay, C. (2012): Nutritional status, dietary intake and oral quality of life in elderly complete denture wearers, in: Gerodontology 29(2), e685-692.
de Resende, G. P., Jordao, L. M. R., de Souza, J. A. C., Schimmel, M. & Leles, C. R. (2021): Single versus two-implant mandibular overdentures using early-loaded titanium-zirconium implants with hydrophilic surface and ball attachments: 1-year randomized clinical trial, in: Clin Oral Implants Res 32(3), 359-368.
de Souza, R. F., Ribeiro, A. B., Della Vecchia, M. P., Costa, L., Cunha, T. R., Reis, A. C. & Albuquerque, R. F., Jr. (2015): Mini vs. Standard implants for mandibular overdentures: A randomized trial, in: J Dent Res 94(10), 1376-1384.
Della Vecchia, M. P., Leles, C. R., Cunha, T. R., Ribeiro, A. B., Sorgini, D. B., Muglia, V. A., Reis, A. C., Albuquerque, R. F., Jr. & de Souza, R. F. (2018): Mini-implants for mandibular overdentures: Cost-effectiveness analysis alongside a randomized trial, in: JDR Clin Trans Res 3(1), 47-56.
ELsyad, M. A., Ghoneem, N. E. & El-Sharkawy, H. (2013): Marginal bone loss around unsplinted mini-implants supporting maxillary overdentures: A preliminary comparative study between partial and full palatal coverage, in: Quintessence International 44(1),
Enkling, N., Haueter, M., Worni, A., Muller, F., Leles, C. R. & Schimmel, M. (2019): A prospective cohort study on survival and success of one-piece mini-implants with associated changes in oral function: Five-year outcomes, in: Clin Oral Implants Res 30(6), 570-577.
Feine, J. S., Carlsson, G. E., Awad, M. A., Chehade, A., Duncan, W. J., Gizani, S., Head, T., Lund, J. P., MacEntee, M., Mericske-Stern, R., Mojon, P., Morais, J., Naert, I., Payne, A. G., Penrod, J., Stoker, G. T., Jr., Tawse-Smith, A., Taylor, T. D., Thomason, J. M., Thomson, W. M. & Wismeijer, D. (2002): The mcgill consensus statement on overdentures. Montreal, quebec, canada. May 24-25, 2002, in: Int J Prosthodont 15(4), 413-414.
Griffitts, T. M., Collins, C. P. & Collins, P. C. (2005): Mini dental implants: An adjunct for retention, stability, and comfort for the edentulous patient, in: Oral Surg Oral Med Oral Pathol Oral Radiol Endod 100(5), e81-84.
Hagiwara, Y., Ohyama, T., Yasuda, H., Seki, K. & Ikeda, T. (2021): Dental implant status in elderly individuals requiring domiciliary dental care in japan, in: Int J Implant Dent 7(1), 53.
Hajek, A., Kretzler, B. & Konig, H. H. (2022): Oral health, loneliness and social isolation. A systematic review and meta-analysis, in: J Nutr Health Aging 26(7), 675-680.
Jawad, S. & Clarke, P. T. (2019): Survival of mini dental implants used to retain mandibular complete overdentures: Systematic review, in: Int J Oral Maxillofac Implants 34(2), 343-356.
Jung, R. E., Zembic, A., Pjetursson, B. E., Zwahlen, M. & Thoma, D. S. (2012): Systematic review of the survival rate and the incidence of biological, technical, and aesthetic complications of single crowns on implants reported in longitudinal studies with a mean follow-up of 5 years, in: Clin Oral Implants Res 23 Suppl 62-21.
Kammerer, P. W., Wolf, J. M., Buttchereit, I., Frerich, B. & Ottl, P. (2021): Prospective clinical implementation of optional implant treatment into pregraduate dental education-mini implants for retention and support of mandibular overdentures, in: Int J Implant Dent 7(1), 87.
Kern, M., Att, W., Fritzer, E., Kappel, S., Luthardt, R. G., Mundt, T., Reissmann, D. R., Radel, M., Stiesch, M., Wolfart, S. & Passia, N. (2018): Survival and complications of single dental implants in the edentulous mandible following immediate or delayed loading: A randomized controlled clinical trial, in: J Dent Res 97(2), 163-170.
Kovacic, I., Persic, S., Kranjcic, J., Disha, V., Rener-Sitar, K. & Celebic, A. (2018): Short-term postoperative pain and swelling associated with mini and standard-size implants in the same patients, in: Int J Prosthodont 31(2), 117-119.
Koyama, S., Saito, M., Cable, N., Ikeda, T., Tsuji, T., Noguchi, T., Abbas, H., Miyashiro, I., Osaka, K., Kondo, K., Watt, R. G. & Aida, J. (2021): Examining the associations between oral health and social isolation: A cross-national comparative study between japan and england, in: Soc Sci Med 277113895.
Leles, C. R., de Paula, M. S., Curado, T. F. F., Silva, J. R., Leles, J. L. R., McKenna, G. & Schimmel, M. (2022): Flapped versus flapless surgery and delayed versus immediate loading for a four mini implant mandibular overdenture: A rct on post-surgical symptoms and short-term clinical outcomes, in: Clin Oral Implants Res 33(9), 953-964.
Lemos, C. A., Verri, F. R., Batista, V. E., Junior, J. F., Mello, C. C. & Pellizzer, E. P. (2017): Complete overdentures retained by mini implants: A systematic review, in: J Dent 574-13.
Lian, M., Zhao, K., Feng, Y. & Yao, Q. (2018): Prognosis of combining remaining teeth and implants in double-crown-retained removable dental prostheses: A systematic review and meta-analysis, in: Int J Oral Maxillofac Implants 33(2), 281–297.
Maniewicz, S., Duvernay, E., Srinivasan, M., Perneger, T., Schimmel, M. & Muller, F. (2019): Effect of implant-supported mandibular overdentures versus reline on masticatory performance and salivary flow rates in very old adults-a randomized clinical trial, in: Clin Oral Implants Res 30(1), 59-67.
Marcello-Machado, R. M., Faot, F., Schuster, A. J., Nascimento, G. G. & Del Bel Cury, A. A. (2018): Mini-implants and narrow diameter implants as mandibular overdenture retainers: A systematic review and meta-analysis of clinical and radiographic outcomes, in: J Oral Rehabil 45(2), 161-183.
Molinero-Mourelle, P., Bischof, F., Yilmaz, B., Schimmel, M. & Abou-Ayash, S. (2022): Clinical performance of tooth implant-supported removable partial dentures: A systematic review and meta-analysis, in: Clin Oral Investig 26(10), 6003-6014.
Morneburg, T. R. & Proschel, P. A. (2008): Success rates of microimplants in edentulous patients with residual ridge resorption, in: Int J Oral Maxillofac Implants 23(2), 270-276.
Muller, F. (2014): Interventions for edentate elders--what is the evidence?, in: Gerodontology 31 Suppl 144-51.
Muller, F., Duvernay, E., Loup, A., Vazquez, L., Herrmann, F. R. & Schimmel, M. (2013): Implant-supported mandibular overdentures in very old adults: A randomized controlled trial, in: J Dent Res 92(12 Suppl), 154S-160S.
Muller, F., Naharro, M. & Carlsson, G. E. (2007): What are the prevalence and incidence of tooth loss in the adult and elderly population in europe?, in: Clin Oral Implants Res 18 Suppl 32-14.
Mundt, T., Heinemann, F., Muller, J., Schwahn, C. & Al Jaghsi, A. (2022): Survival and stability of strategic mini-implants with immediate or delayed loading under removable partial dentures: A 3-year randomized controlled clinical trial, in: Clin Oral Investig.
Mundt, T., Heinemann, F., Schwahn, C. & Biffar, R. (2012): Retrievable, tooth-implant-supported, complete-arch fixed restorations in the maxilla: A 6-year retrospective study, in: Biomed Tech (Berl) 57(1), 39-43.
Mundt, T., Heinemann, F., Stark, T., Schwahn, C. & Biffar, R. (2014): Verlustanalyse von mini-implantaten zur fixierung totaler prothesen, in: Dtsch Zahnärztl (2014), 69.
Mundt, T., Passia, N., Att, W., Heydecke, G., Freitag-Wolf, S., Luthardt, R. G., Kappel, S., Konstantinidis, I. K., Stiesch, M., Wolfart, S. & Kern, M. (2017): Pain and discomfort following immediate and delayed loading by overdentures in the single mandibular implant study (smis), in: Clin Oral Investig 21(2), 635-642.
Mundt, T., Schwahn, C., Heinemann, F., Schimmel, M., Lucas, C. & Al Jaghsi, A. (2020): Stabilizing removable partial dentures by immediate or delayed loading of mini-implants: Chewing efficiency in a randomized controlled clinical trial, in: Int J Oral Maxillofac Implants 35(1), 178-186.
Mundt, T., Schwahn, C., Stark, T. & Biffar, R. (2015): Clinical response of edentulous people treated with mini dental implants in nine dental practices, in: Gerodontology 32(3), 179-187.
Nitschke, I. & Micheelis, W. (2016): Krankheits- und Versorgungsprävalenzen bei älteren Senioren mit Pflegebedarf in: Fünfte Deutsche Mundgesundheitsstudie. Köln. 557-578.
Nitschke, I. & Stark, H. (2016): Krankheits- und Versorgungsprävalenzen bei jüngeren Senioren (65- bis 74-jährige) in: Fünfte Deutsche Mundgesundheitsstudie (DMS V). Köln. 416-451.
Nogueira, T. E., Dias, D. R. & Leles, C. R. (2017): Mandibular complete denture versus single-implant overdenture: A systematic review of patient-reported outcomes, in: J Oral Rehabil 44(12), 1004-1016.
Padmanabhan, H., Kumar, S. M. & Kumar, V. A. (2020): Single implant retained overdenture treatment protocol: A systematic review and meta-analysis, in: J Prosthodont 29(4), 287-297.
Passia, N., Ali, S., Behrendt, C., Fritzer, E., Kohal, R. J., Luthardt, R. G., Maltzahn, N. F., Radel, M., Reissmann, D. R., Schwindling, F. S., Wolfart, S. & Kern, M. (2022): Single mandibular implant study - chewing efficiency - 5-year results from a randomized clinical trial using two different implant loading protocols, in: J Prosthodont Res 66(4), 610-617.
Passia, N., Att, W., Freitag-Wolf, S., Heydecke, G., von Konigsmark, V., Freifrau von Maltzahn, N., Mundt, T., Radel, M., Schwindling, F. S., Wolfart, S. & Kern, M. (2017): Single mandibular implant study - denture satisfaction in the elderly, in: J Oral Rehabil 44(3), 213-219.
Persic, S., Celic, R., Vojvodic, D., Petricevic, N., Kranjcic, J., Zlataric, D. K. & Celebic, A. (2016): Oral health-related quality of life in different types of mandibular implant overdentures in function longer than 3 years, in: Int J Prosthodont 29(1), 28-30.
Pinheiro, M. A., do Amaral, C. F., Meira, I. A., Carletti, T. M., Camara-Souza, M. B., Souza, C. S. V., de Moraes, M. & Rodrigues Garcia, R. C. M. (2021): Single implant overdenture reinforced with a metallic framework: A 2-year clinical follow-up, in: Spec Care Dentist 41(5), 607-618.
Pjetursson, B. E., Thoma, D., Jung, R., Zwahlen, M. & Zembic, A. (2012): A systematic review of the survival and complication rates of implant-supported fixed dental prostheses (fdps) after a mean observation period of at least 5 years, in: Clin Oral Implants Res 23 Suppl 622-38.
Pjetursson, B. E., Zarauz, C., Strasding, M., Sailer, I., Zwahlen, M. & Zembic, A. (2018): A systematic review of the influence of the implant-abutment connection on the clinical outcomes of ceramic and metal implant abutments supporting fixed implant reconstructions, in: Clin Oral Implants Res 29 Suppl 18160-183.
Preoteasa, E., Imre, M. & Preoteasa, T. (2014): A 3-year follow-up study of overdentures retained by mini–dental implants, in: International Journal of Oral & Maxillofacial Implants 29(5).
Qian, S. J., Liu, B., Shi, J., Zhang, X., Deng, K., Shen, J., Tao, Y., Qiao, S., Lai, H. C., Yuan, C. & Tonetti, M. S. (2022): Effects of dental implants and nutrition on elderly edentulous subjects: Protocol for a factorial randomized clinical trial, in: Front Nutr 9930023.
Schiegnitz, E. & Al-Nawas, B. (2018): Narrow-diameter implants: A systematic review and meta-analysis, in: Clin Oral Implants Res 29 Suppl 1621-40.
Schimmel, M., Muller, F., Suter, V. & Buser, D. (2017): Implants for elderly patients, in: Periodontol 2000 73(1), 228-240.
Schimmel, M., Srinivasan, M., McKenna, G. & Muller, F. (2018): Effect of advanced age and/or systemic medical conditions on dental implant survival: A systematic review and meta-analysis, in: Clin Oral Implants Res 29 Suppl 16311-330.
Schwindling, F. S., Raedel, M., Passia, N., Freitag-Wolf, S., Wolfart, S., Att, W., Mundt, T., Reissmann, D., Ismail, F., von Konigsmark, V. & Kern, M. (2018): The single mandibular implant study - short-term effects of the loading protocol on oral health-related quality of life, in: J Prosthodont Res 62(3), 313-316.
Shatkin, T. E. & Petrotto, C. A. (2012): Mini dental implants: A retrospective analysis of 5640 implants placed over a 12-year period, in: Compend Contin Educ Dent 33 Spec 32-9.
Srinivasan, M., Meyer, S., Mombelli, A. & Muller, F. (2017): Dental implants in the elderly population: A systematic review and meta-analysis, in: Clin Oral Implants Res 28(8), 920-930.
Van Doorne, L., De Kock, L., De Moor, A., Shtino, R., Bronkhorst, E., Meijer, G. & De Bruyn, H. (2020): Flaplessly placed 2.4-mm mini-implants for maxillary overdentures: A prospective multicentre clinical cohort study, in: Int J Oral Maxillofac Surg 49(3), 384-391.
Vi, S., Pham, D., Du, Y. Y. M., Arora, H. & Tadakamadla, S. K. (2021): Mini-implant-retained overdentures for the rehabilitation of completely edentulous maxillae: A systematic review and meta-analysis, in: Int J Environ Res Public Health 18(8).
Walton, J. N. & MacEntee, M. I. (2005): Choosing or refusing oral implants: A prospective study of edentulous volunteers for a clinical trial, in: Int J Prosthodont 18(6), 483-488.
Wolfart, S., Moll, D., Hilgers, R. D., Wolfart, M. & Kern, M. (2013): Implant placement under existing removable dental prostheses and its effect on oral health‐related quality of life, in: Clinical oral implants research 24(12), 1354-1359.
Wolfart, S., Wolf, K., Brunzel, S., Wolfart, M., Caliebe, A. & Kern, M. (2016): Implant placement under existing removable dental prostheses and its effect on masticatory performance, in: Clin Oral Investig 20(9), 2447-2455.
Zygogiannis, K., Aartman, I. H. & Wismeijer, D. (2018): Implant mandibular overdentures retained by immediately loaded implants: A 1-year randomized trial comparing patient-based outcomes between mini dental implants and standard-sized implants, in: Int J Oral Maxillofac Implants 33(1), 197-205.



























