Gingivahyperplasie bei GPA
Im Jahr 2007 wurde bei der Patientin erstmals eine Granulomatose mit Polyangiitis (GPA, früher als Wegener-Granulomatose bezeichnet) mit Glomerulonephritis und Lungenemphysem diagnostiziert. Seitdem wurde sie mit Prednisolon und Cyclosporin als Dauermedikation behandelt. Aufgrund einer steroid-assoziierten Osteoporose wurde ihr zusätzlich Denosumab (Xgeva), ein mono‧klonaler Antikörper, verabreicht.
Orale Manifestationen im Zusammenhang mit der GPA waren bei der Patientin bis dahin nicht bekannt. Die hyperplastische Gingivitis wurde erstmalig durch den Hauszahnarzt im April 2015 diagnostiziert und mit einer geschlossenen Parodontaltherapie ohne adjuvante Antibiose behandelt.
Nachdem die Therapie keine Veränderung brachte, wurde die Frau zur weiteren Abklärung an einen Fachzahnarzt für Parodontologie überwiesen, der eine Gingivektomie der hyperplastischen Gingiva empfiehl und die Patientin aufgrund der Grundmedikation mit Denosumab an unsere Klinik überwies.
Diagnose
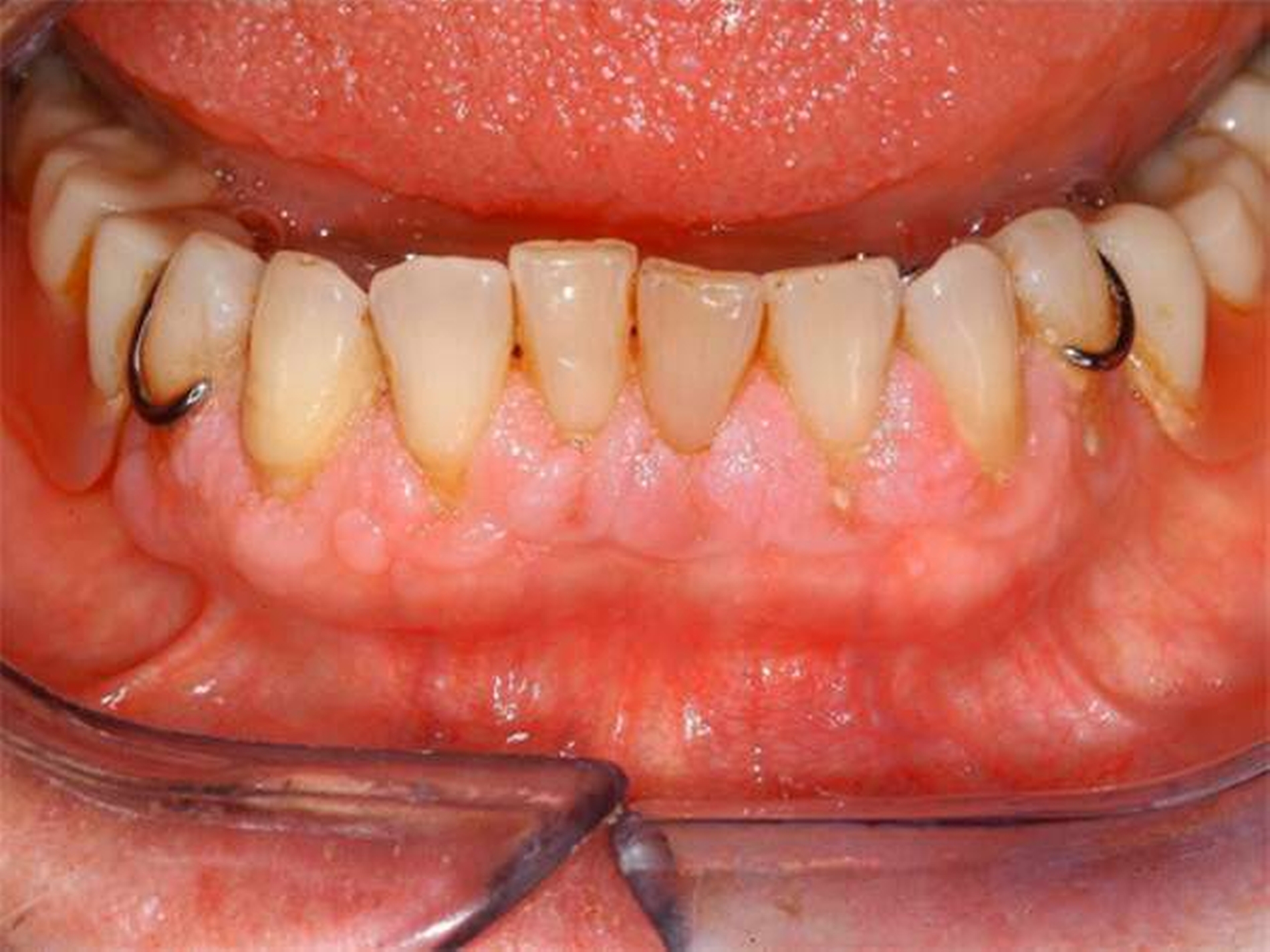
Bei der intraoralen Inspektion zeigte sich eine deutlich hyperplastische Gingiva mit Blutung auf Sondieren (BOP, Abbildungen 1 und 2). Da der Patientin die Handhabung einer Zahnbürste schwerfällt, zeigten sich auch deutliche Plaqueanlagerungen.
Aufgrund der schmerzhaften Gingivitis hatte die Patientin zudem Probleme mit der Nahrungsaufnahme. In der Panoramaschichtaufnahme (Abbildung 3) zeigte sich neben einem impaktierten Eckzahn ein Furkationsbefall der Molaren mit Konkrementen sowie ein altersentsprechender, generalisierter horizontaler Knochenabbau.
Dennoch erschien uns das Volumen der Gingiva nach bereits erfolgter geschlossener Parodontaltherapie ungewöhnlich.
Befund und Therapie
Die Grunderkrankung GPA wurde zu diesem Zeitpunkt als Dauertherapie mit einer täglichen Kombination von 10 mg Prednisolon und 150 mg Cyclosporin seitens des Hausarztes behandelt. Aufgrund des Verdachts einer Rekurrenz der GPA entschieden wir uns zur Entnahme einer Gewebeprobe der hyperplastischen Gingiva unter Lokalanästhesie.
Der histopathologische Befund beschrieb eine entzündliche Reaktion mit Parakeratose und neutrophiler, granulozytärer Infiltration. Der Befund wurde an den Hausarzt über‧mittelt, der die Patientin mit Verdacht eines Rezidivs der GPA an eine internistische Klinik überwies. Dort wurde nach Positiv-Nachweis für c-ANCA die Diagnose „GPA-Rezidiv“ bestätigt. Therapeutisch wurden in Ergänzung zur Grundmedikation Rituximab 375 mg/m2 in vier Einzeldosen über vier Wochen intravenös unter stationären Bedingungen appliziert.
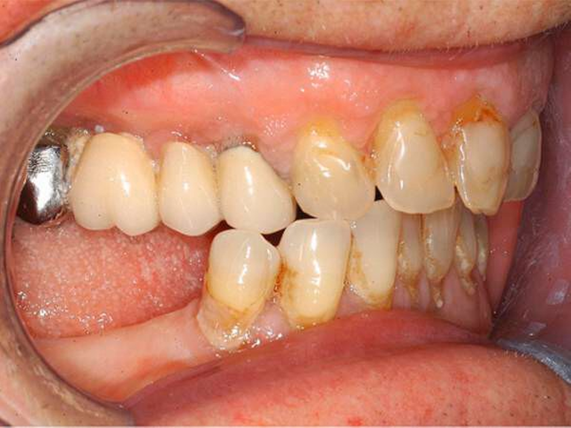
Eine Woche nach Abschluss der internistischen Therapie stellte sich die Patientin zur Verlaufskontrolle in unserer Klinik vor, dabei zeigte sich eine vollständige Remission der hyperplastischen Gingiva bei weiterhin insuffizienter Mundhygiene (Abbildungen 4 und 5).
Diskussion
Grundsätzlich kann sich die GPA in allen Körperregionen – inklusive der Mundhöhle– manifestieren [Ruokonen et al., 2009; Reboll-‧Ferrer et al., 2010]. In der Europäischen Union gilt eine Erkrankung als „selten“, wenn weniger als einer von 2.000 Menschen davon betroffen ist [EC No 141/2000]. Die GPA hat eine Prävalenz von 1–9/100.000 und zählt daher zu den „Seltenen Erkrankungen“ [www.orpha.net]. Etwa 15 Prozent aller Seltenen Erkrankungen können mit Manifestationen im Zahn-, Mund-, Kiefer- und Gesichtsbereich auftreten [www.ncbi.nlm.nih.gov/omim; Jackowski & Hanisch, 2012].
Orale Manifestationen wie eine hyper‧plastische Gingivitis werden bei der GPA in 10 bis 62 Prozent beschrieben [Stewart et al., 2007]. Pathogenetisch führt eine T-ZellReaktion zur Produktion und Freisetzung von pro-inflammatorischen Zytokinen wie TNF-α und IFN-β, die die Expression von Oberflächen-Antigenen auf aktivierten neutrophilen Granulozyten induzieren.
Eines dieser Antigene ist Proteinase 3, das das Zielantigen von anti-neutrophilen zytoplasmatischen Antikörpern (c-ANCA) darstellt. Diese Interaktion führt zur Degranulation von neutrophilen Granulozyten, die Proteasen und Effektormoleküle freisetzen, die wiederum für die Gewebeschädigung verantwortlich sind [Lutalo et al., 2014].
Die Standardtherapie der initialen GPA besteht aus Glukokortikoiden oder Cyclophoshamiden oder einer Kombination von diesen. Bei refraktärer GPA im Kopf-Hals-‧Bereich finden sich Berichte über eine erfolgreiche Therapie mit Rituximab [Staines et al., 2009].
Als typische orale Manifestationen treten bei der GPA unspezifische erosive Läsionen der oralen Mukosa oder eine hyperplastische Gingivitis, wie hier beschrieben, auf. Differenzialdiagnostisch müssen medikamenten-induziierte Gingivahyperplasien [Ruokonen et al., 2009], andere granulomatöse Erkrankungen wie der Morbus Crohn oder die Sarkoidose ebenso ausgeschlossen werden wie eine Leukämie [Stewart et al., 2007].
Fazit für die Praxis
Der Zahnarzt kann möglicherweise als erster Mediziner einen Hinweis auf eine GPA oder eine andere systemische Erkrankung anhand der oralen Manifestationen liefern, zumal er gerade bei einer hyperplastischen und therapieresistenten Gingivitis konsultiert werden wird.
Dieser seltene Fall unterstreicht damit die wichtige Rolle des Zahnmediziners bei der Diagnostik und möglicherweise auch der Therapie von Seltenen Erkrankungen wie der GPA.
Dr. Marcel Hanisch
Univ.-Prof. Dr. Dr. Johannes Kleinheinz
Klinik für MKG-ChirugieUniversitätsklinikum Münster
Albert-Schweitzer-Campus 1, Gebäude W 30Waldeyerstr. 30, 48149 Münster
Marcel.Hanisch@ukmuenster.de
Der Fallbericht wurde erstmals 2016 in BMC Oral Health Aug 2;17(1):33 veröffentlicht.
Am 25. November 2017 findet erstmals in Deutschland in Münster ein „Nationaler Kongress für Seltene Erkrankungen in der Zahn-, Mund- und Kieferheilkunde“ statt, auf dem mögliche orale Manifestationen von Seltenen Erkrankungen präsentiert werden. Fragen und Anmeldung können gerne an die Autoren gerichtet werden. Der Kongress ist kostenfrei, voraussichtlich werden 9 Fortbildungspunkte vergeben.







