Implantatversorgung nach Tumor
Als Nebenwirkung dieser Tumorbehandlung wuchs das Mittelgesicht des Mädchens nicht in gleichem Maße wie der restliche Körper. Auch die Zähne litten unter der Behandlung, bildeten keine vollständigen Wurzeln aus und gingen nach und nach verloren. Mit aufwendigen Knochentransplantationen aus der Beckenregion und Implantation im Oberkiefer ist die heute 37-Jährige vollständig wiederhergestellt.
Auf der Jahres-Pressekonferenz der Deutschen Gesellschaft für Mund-, Kiefer- und Gesichtschirurgie (DGMKG) in Stuttgart erzählte sie, welchen unschätzbaren Wert an Lebensqualität die völlig normale Kaufunktion und das ästhetische Ergebnis für sie haben.
Knochenaufbau und neue Frontzähne auf Implantaten
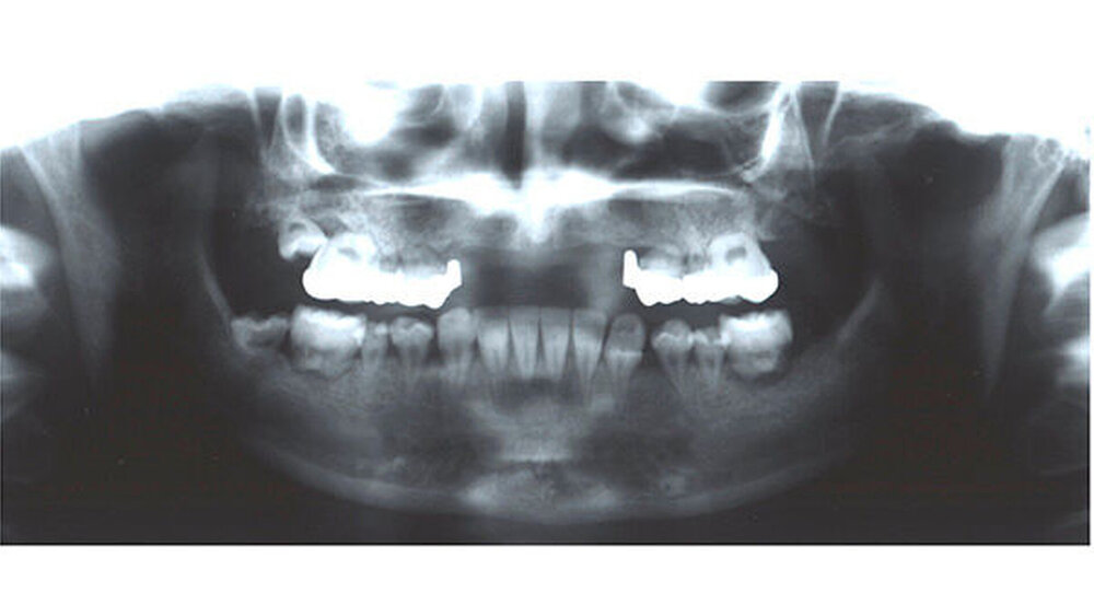
Bereits 1999 wurde in der Oberkieferfront eine extrem aufwendige Augmentation mit Knochen vom Beckenkamm und anschließende Implantation im Frontzahnbereich (regio 13 bis 23) durchgeführt, da es aufgrund der Vorerkrankung zum Verlust der Zähne und des Knochens kam. Zusätzlich war das Weichgewebe durch die Bestrahlung vorgeschädigt.
Trotz dieser Extrembedingungen gelang es dem erfahrenen Stuttgarter MKG-Chirurgenteam um Prof. Dieter Weingart durch Anhebung des Nasenbodens und Einbringung von Eigenknochen in dieser Region ein Fundament für eine neue Zahnversorgung mit Implantaten zu schaffen. Über die Jahre konnten die Seitenzähne zunächst gehalten werden. Im Laufe der Zeit zeigte sich aber, dass die Wurzeln nur noch auf dem Zahnfleisch auf lagen und lediglich durch eine Verblockung der Zähne hielten.
Die versorgung im Seitenzahnbereich
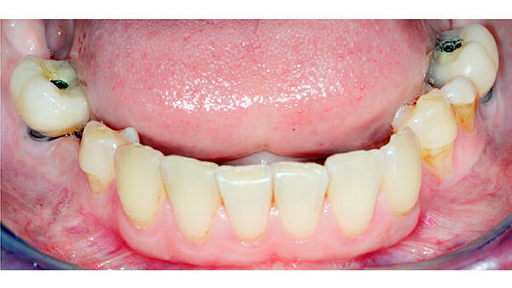
Daher mussten auch die Seitenzähne im Oberkiefer und teilweise im Unterkiefer entfernt und mit Implantaten ersetzt werden. Dies erfolgte unter anderem unter Einsatz von navigationsgestützten Techniken. Im Seitenzahnbereich des Oberkiefers musste eine Sinusaugmentation mit Knochen durchgeführt werden. Dabei wurde mit allen Vorsichtsmaßnahmen vorgegangen, die nach einer Bestrahlung des Knochens zu treffen sind.
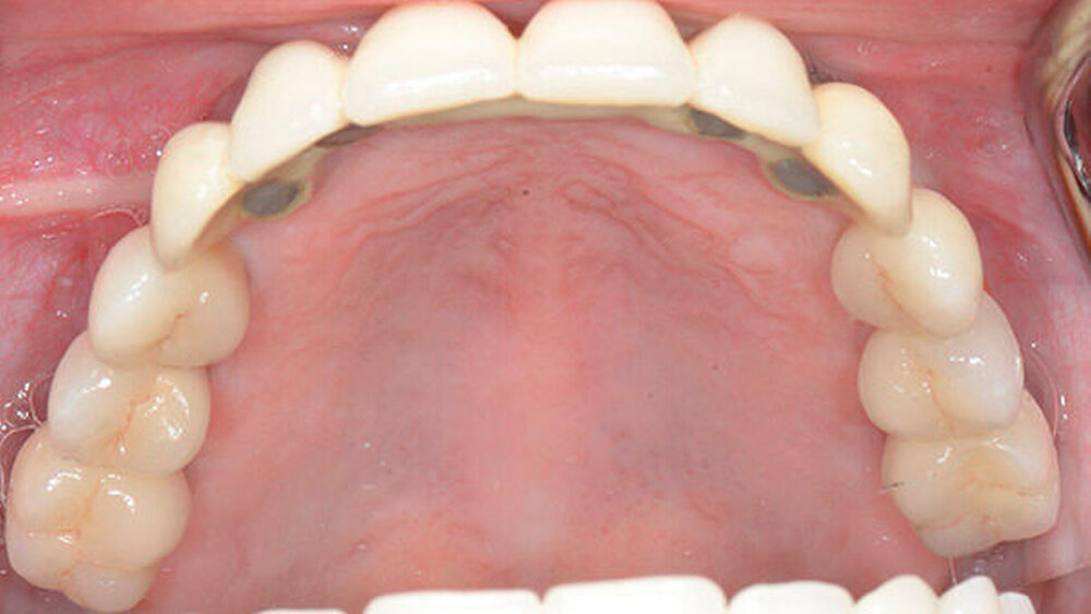
Bis zur letztendlich verbleibenden festsitzenden Versorgung der Implantate mit Kronen musste die Patientin eine herausnehmbare Prothese mit Gaumenabdeckung tragen, die sie als junge Mutter sehr belastete. Umso glücklicher ist die Patientin nun über ihre vollständige prothetische Rehabilitation.








