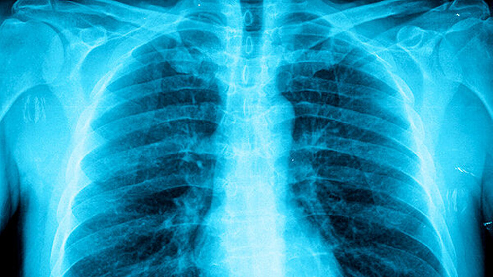
KI erkennt anhand von Röntgenbildern die Ethnie
Ein internationales Team hat untersucht, wie sicher lernende Rechenmodelle aus medizinischen Bildern die ethnische Gruppe des Patienten erkennen können. Die Bilder wurden im Vorfeld von allen sonstigen Hinweisen bereinigt.
Hintergrund ist, dass Voreingenommenheit und Diskriminierung in Beurteilungssystemen mithilfe Künstlicher Intelligenz (KI) bereits nachgewiesen wurden. Davon betroffen waren etwa die Sprachmodellierung und -erkennung, die Strafjustiz sowie Anwendungsbereiche im Gesundheitswesen einschließlich Dermatologie, Vorhersage des Mortalitätsrisikos oder die Nutzung von Gesundheitsdienstleistungen.
ein versteckter Bias wäre unsichtbar für Radiologen
Die Ergebnisse der Studie bringen hervor: Standard-Deep-Learning-Modelle können so trainiert werden, dass sie aus Röntgenbildern mit einer Wahrscheinlichkeit zwischen 96 und bis zu 99 Prozent korrekt entnehmen können, welcher ethnischen Gruppe der Patient angehört.
Da dies der KI selbst bei beschädigten, beschnittenen und verrauschten medizinischen Bildern möglich war – und menschlichen Experten nicht – birgt ein enormes Risiko für alle Modell-Einsätze in der medizinischen Bildgebung, schreiben die Autoren. Ihre Befürchtung: Eine womöglich von der KI aufgrund dieser exklusiven Information automatisch vorgenommene Falschklassifikation ließe sich von Radiologen nicht anhand der Ausgangsdaten erkennen.
Die Autoren appellieren darum an alle Entwickler, Aufsichtsbehörden und Benutzer, bei der automatisierten Analyse von medizinischen Bildern unter Einsatz von Deep-Learning-Modellen äußerste Vorsicht walten zu lassen. Andernfalls könne die in der Studie nachgewiesene Fähigkeit direkten Einfluss auf die Aufrechterhaltung oder sogar Verschlechterung der bereits gegenwärtigen unterschiedlichen medizinischen Praxis bei verschiedenen Bevölkerungsgruppen bestehen.
Banerjee, I. et al. „Reading Race: AI Recognizes Patient’s Racial Identity In Medical Images”, DOI:https://arxiv.org/ftp/arxiv/papers/2107/2107.10356.pdf



