Probanden für Materialstudie gesucht!
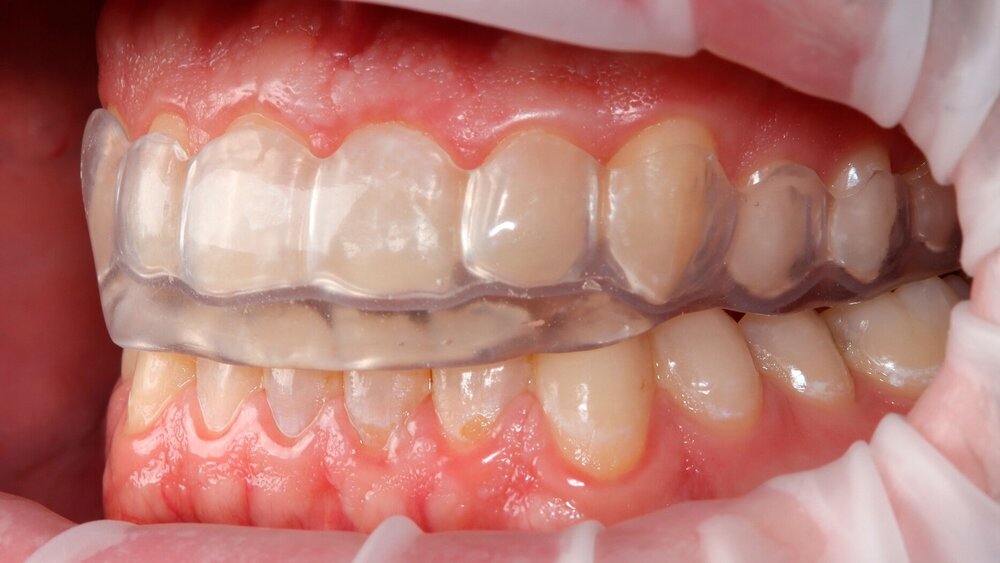
Für die rechte und die linke Seite der Schiene werden unterschiedliche Materialien verwendet, die im Rahmen der geplanten Studie getestet werden sollen. Beide Materialien sind CE-zertifiziert, die Herstellung ist jedoch unterschiedlich. Beide Materialien sind im polierten Zustand transparent (siehe Abbildung).
Die Teilnehmerinnen und Teilnehmer der Studie erhalten kostenfrei eine Schiene, die sie dann ein halbes Jahr lang regelmäßig jede Nacht tragen sollen. Während der Tragephase werden der Tragekomfort mittels Fragebögen sowie die Qualität des Schienenmaterials an mehreren Kontrollterminen dokumentiert. Am Ende der Tragephase bleibt die Schiene zur weiteren Auswertung im Carolinum. Die Studie wurde von der Ethikkommission des Fachbereichs Medizin, Universitätsklinikum der Goethe-Universität genehmigt.
Weitere Informationen und Anmeldung: Oliver Dadas, Zahnarzt Poliklinik für Zahnärztliche Prothetik, Zentrum der Zahn-, Mund- und Kieferheilkunde (Carolinum) der Goethe-Universität, Telefon: 069 6301-7506, E-Mail: o.dadas@med.uni-frankfurt.de



