Berliner Zahnärztetag 2021
Parodontologie für die Praxis
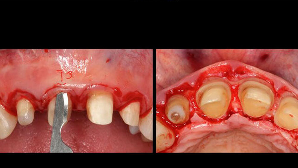
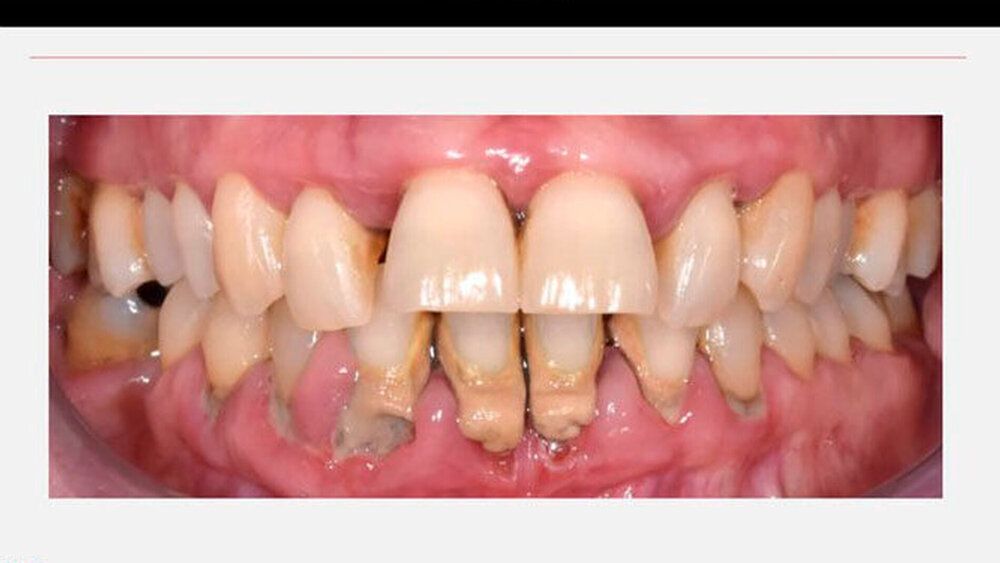
Unter dem Motto „Haltung bewahren! Parodontologie für die Praxis – aus der Wissenschaft“ wurde der 35. Berliner Zahnärztetag erstmals vollständig als Online-Kongress abgehalten.
Zahnärztliche Mitteilungen
















