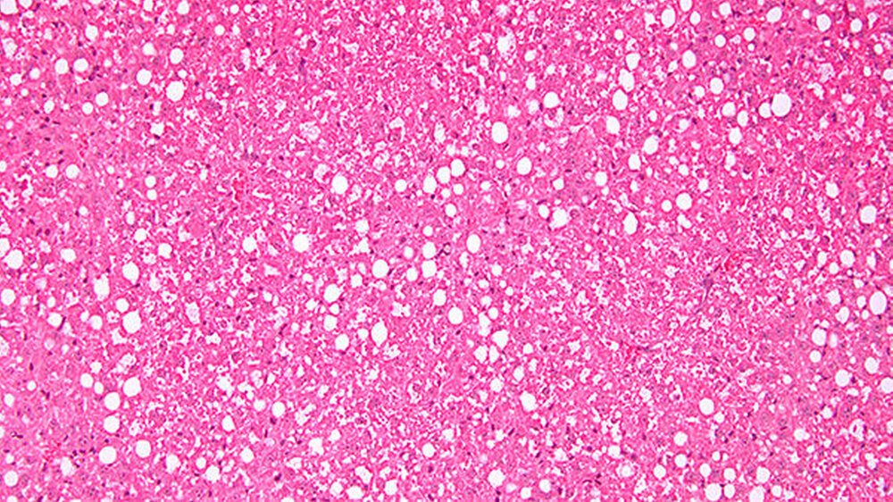
So entsteht eine Fettleber
Verantwortlich für den molekularbiologischen Mechanismus ist demnach das Protein p62. „Dieses Molekül wurde erstmals 1999 bei einem Patienten mit Leberkrebs entdeckt“, sagt Studienleiterin Alexandra Kiemer, Professorin für Pharmazeutische Biologie an der Universität des Saarlandes. „Normalerweise kommt es nur in der Leber von Föten während der Entwicklung vor. Welche Funktion es hat, war lange unklar.“
Enzym sorgt für mehr Fett in der Leber
In der Leber liegt Fett in Form von gebundenen kurzen oder langen Fettsäure-Molekülen vor. Kiemer und ihr Team konnten nachweisen, dass p62 dafür sorgt, dass deutlich mehr Enzym gebildet wird und dadurch mehr Fettsäuren verlängert werden. So lagert sich wiederum mehr Fett in der Leber ein, wodurch Entzündungsprozesse gefördert werden.
Aus dieser Form kann sich schleichend eine entzündliche Fettleber entwickelt. Sie kann im Laufe der Zeit zu einer Zirrhose und letztlich zu Leberkrebs führen. Die Krankheit bleibt meist lange unentdeckt, erst im fortgeschrittenen Stadium machen sich Symptome bemerkbar. In der Regel sind mehr Männer als Frauen betroffen.
„Schätzungen gehen davon aus, dass sechs bis 33 Prozent der Bevölkerung in den Industrieländern an einer nicht-alkoholischen Fettleber leiden“, erklärt Kiemer. Die Ergebnisse der Forscher zeigen zum ersten Mal, welche molekularbiologischen Prozesse bei der Entstehung der Fettleber ablaufen. Die so gewonnenen Erkenntnisse könnten dazu beitragen, therapeutische Verfahren zu entwickeln, die eine Entzündung der Leber unterbinden oder aufhalten.
Laggai S, Kessler SM, Boettcher S, Lebrun V, Gemperlein K, Lederer E, Leclercq IA, Mueller R, Hartmann RW, Haybaeck J, Kiemer AK: The IGF2 mRNA binding protein p62/IGF2BP2-2 induces fatty acid elongation as a critical feature of steatosis.



