Substitution eines extrahierten Inzisivus durch einen horizontal impaktierten Eckzahn
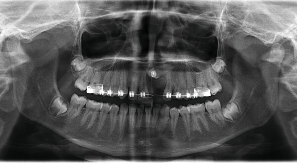
Die kieferorthopädische Behandlung der Patientin wurde im Mai 2018 (alio loco) begonnen. Zu diesem Zeitpunkt war die Patientin zehn Jahre alt. Bei der Erstellung des Behandlungsplans wurde der Fall initial als fehlender linker Eckzahn im Oberkiefer diagnostiziert. Vor der Extraktion des Schneidezahns wurde eine CT-Aufnahme durch den Erstbehandler angewiesen. Die Bildgebung ergab, dass der obere mittlere Schneidezahn sowie der Eckzahn auf der linken Seite betroffen waren (Abbildung 1). Die Patientin wurde daraufhin vom Erstbehandler zur Extraktion des impaktierten Zahnes 21 überwiesen.

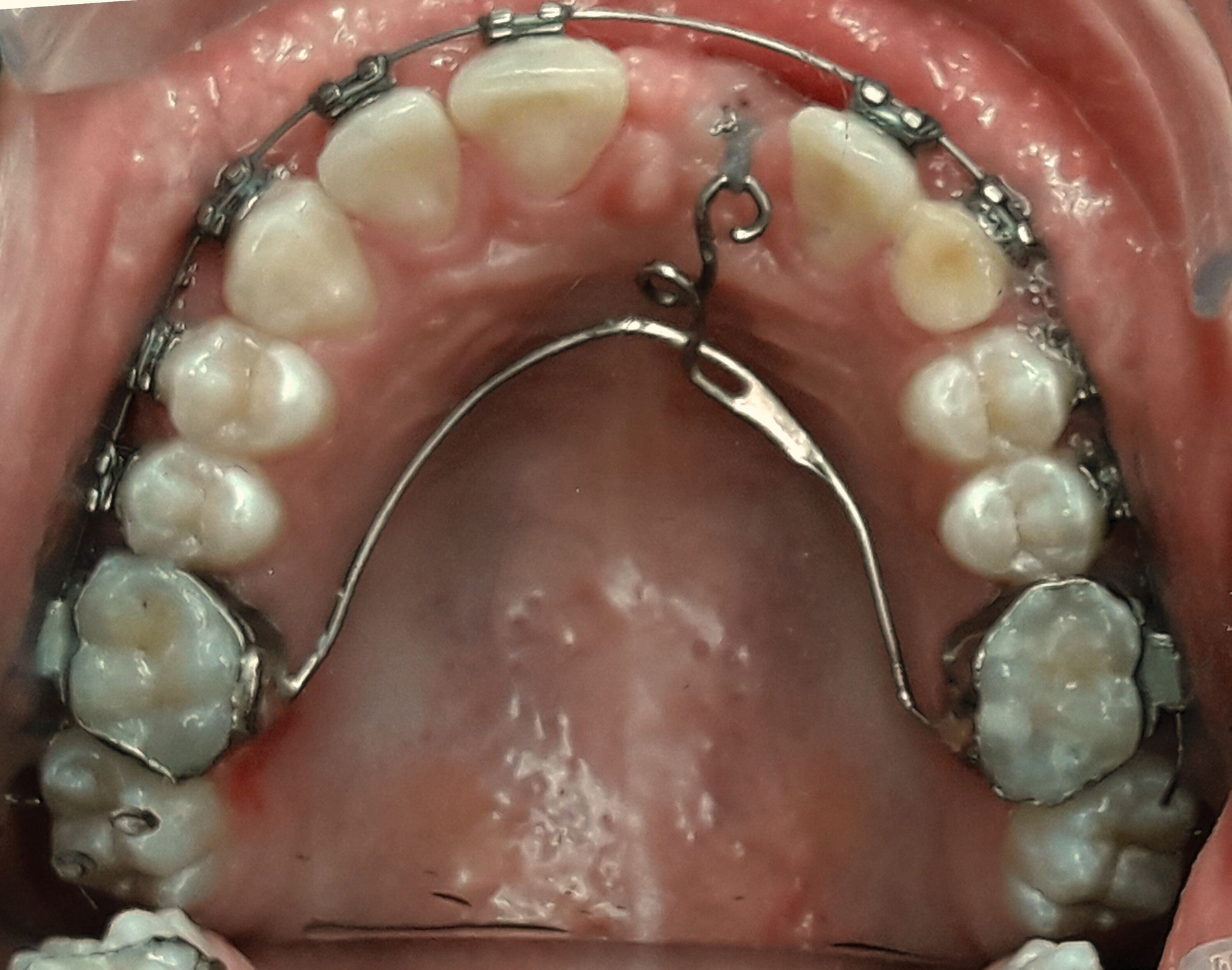
Im Februar 2019 wurde die kieferorthopädische Klinik von der Erstautorin übernommen. Bei der Auswertung der vorgefundenen Daten der Patientin wurde festgestellt, dass der linke obere zentrale Schneidezahn vor sechs Monaten extrahiert worden war. Die festsitzende Apparatur war im Oberkiefer bereits eingegliedert. Die Druckfeder zwischen Zahn 11 und 22 diente zur Lückenöffnung für den späteren prothetischen Ersatz des Zahnes 21. Auch auf den persistierenden linken Milcheckzahn war ein Bracket geklebt. Die Okklusion im Bereich der ersten Molaren war rechts und links neutral (Abbildung 2).
Das Bracket auf dem linken Milcheckzahn wurde entfernt, um einer weiteren Wurzelresorption und einem früheren Milchzahnverlust vorzubeugen, da dieser Zahn als Platzhalter belassen werden sollte. Des Weiteren war es von entscheidender Bedeutung, den Prozess der Atrophie des Alveolarkamms zu verhindern, um die spätere Insertion eines Implantats regio 23 zu ermöglichen.
Um die Position des impaktierten Eckzahns zu beurteilen, wurde zehn Monate nach der Extraktion des Schneidezahns eine weitere Panoramaröntgenaufnahme angefertigt, Die Position des Eckzahns war unverändert, jedoch hatte die Extraktion des impaktierten oberen Schneidezahns zu einer signifikanten Knochenresorption und Atrophie des Alveolarkamms (Abbildung 3) geführt.
Nach einer detaillierten Analyse des Falles wurde als Ziel der Behandlung die chirurgische Freilegung und Aufrichtung des impaktierten Eckzahns im Bereich des extrahierten linken mittleren Oberkieferschneidezahns festgelegt. Um die Höhe und die Breite des Alveolarkamms wiederherzustellen und eine adäquate Unterstützung der Gingiva zu gewährleisten, war die Augmentation des Alveolarkamms notwendig. Die Patientin wurde dafür an die Klinik für Mund-, Kiefer- und Gesichtschirurgie des Universitätsklinikums des Saarlandes überwiesen.
Dort wurde ein standardisiertes zweistufiges chirurgisches Protokoll verwendet. Im Rahmen der Behandlung wurde eine absolute Kieferkammaugmentation im Bereich der Schaltlücke regio 21 durchgeführt. Dazu wurde ein Beckenspongiosatransplantat entnommen und eine Membranauflage in Intubationsnarkose vorgenommen. Auf den freiliegenden impaktierten Eckzahn wurde ein Knopf mit einem Draht für die kieferorthopädische Traktion geklebt.
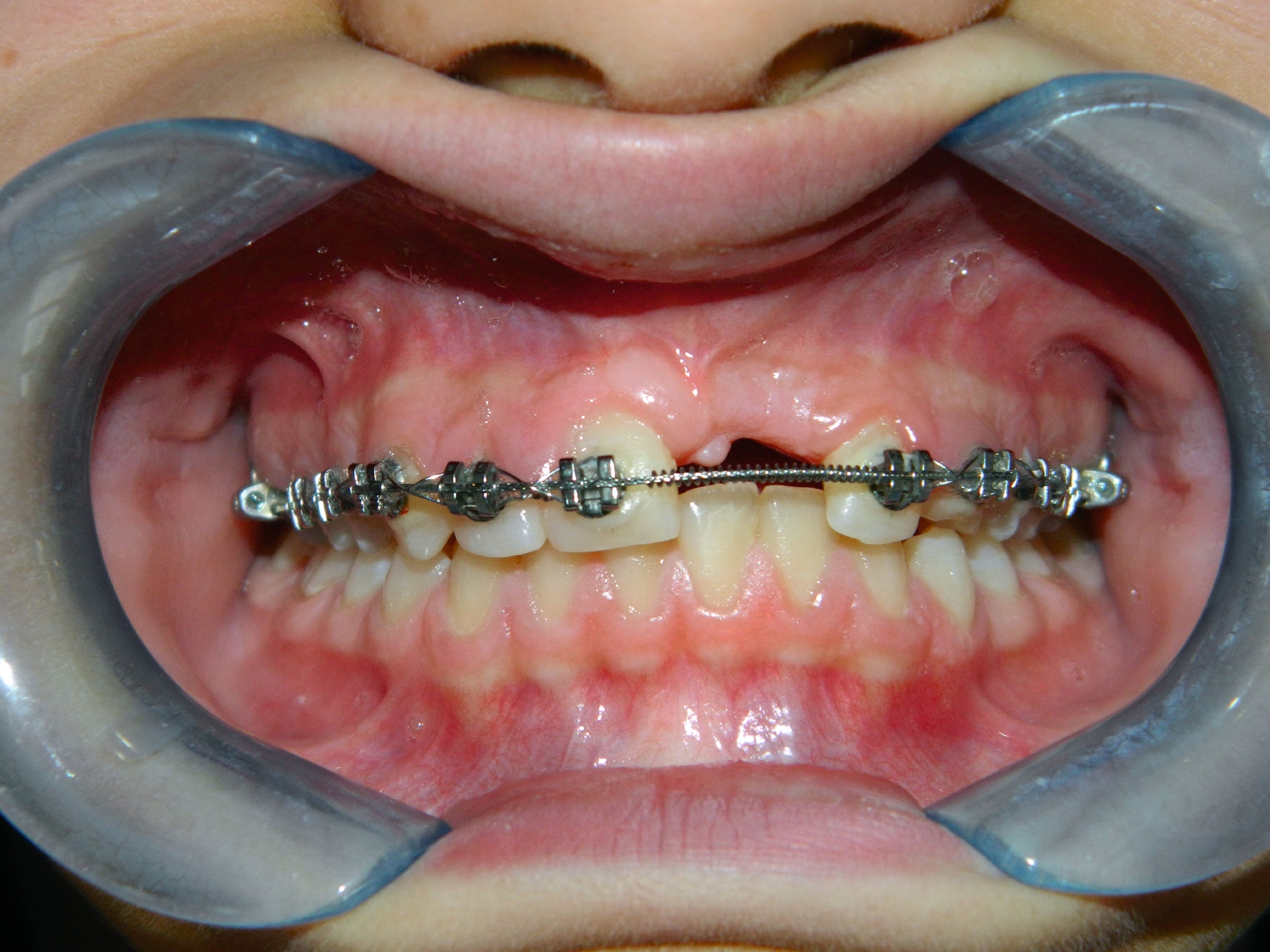
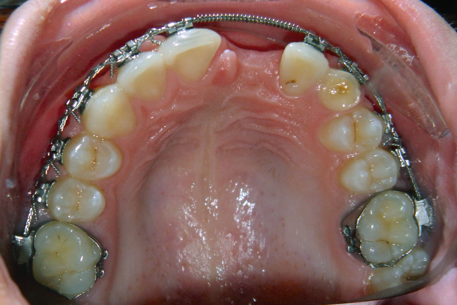
Drei Wochen nach der Operation wurde mithilfe eines modifizierten Palatinalbogens mit einem verlängerten Palatinalarm mit der Traktion des Eckzahns begonnen (Abbildung 4).
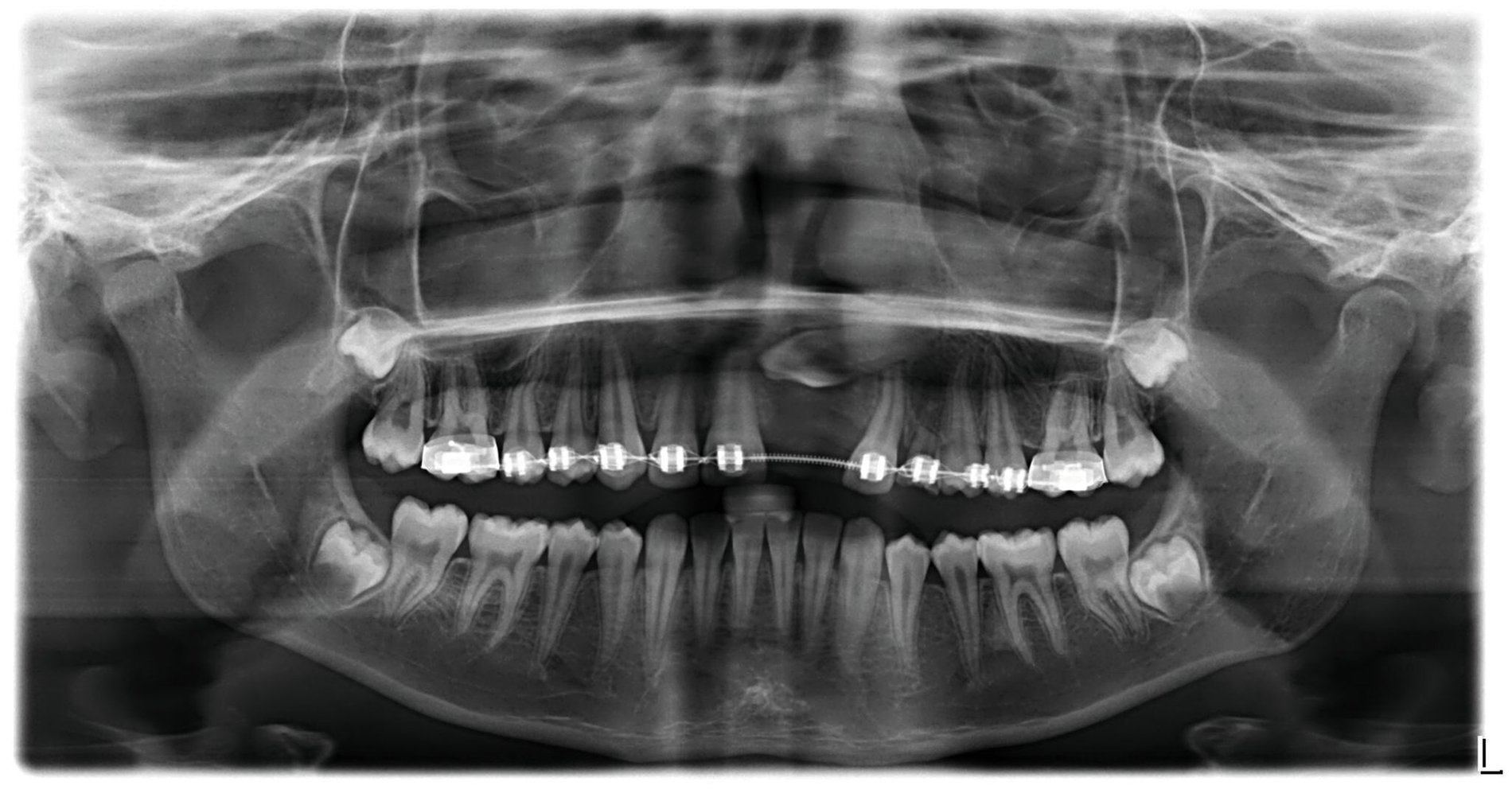
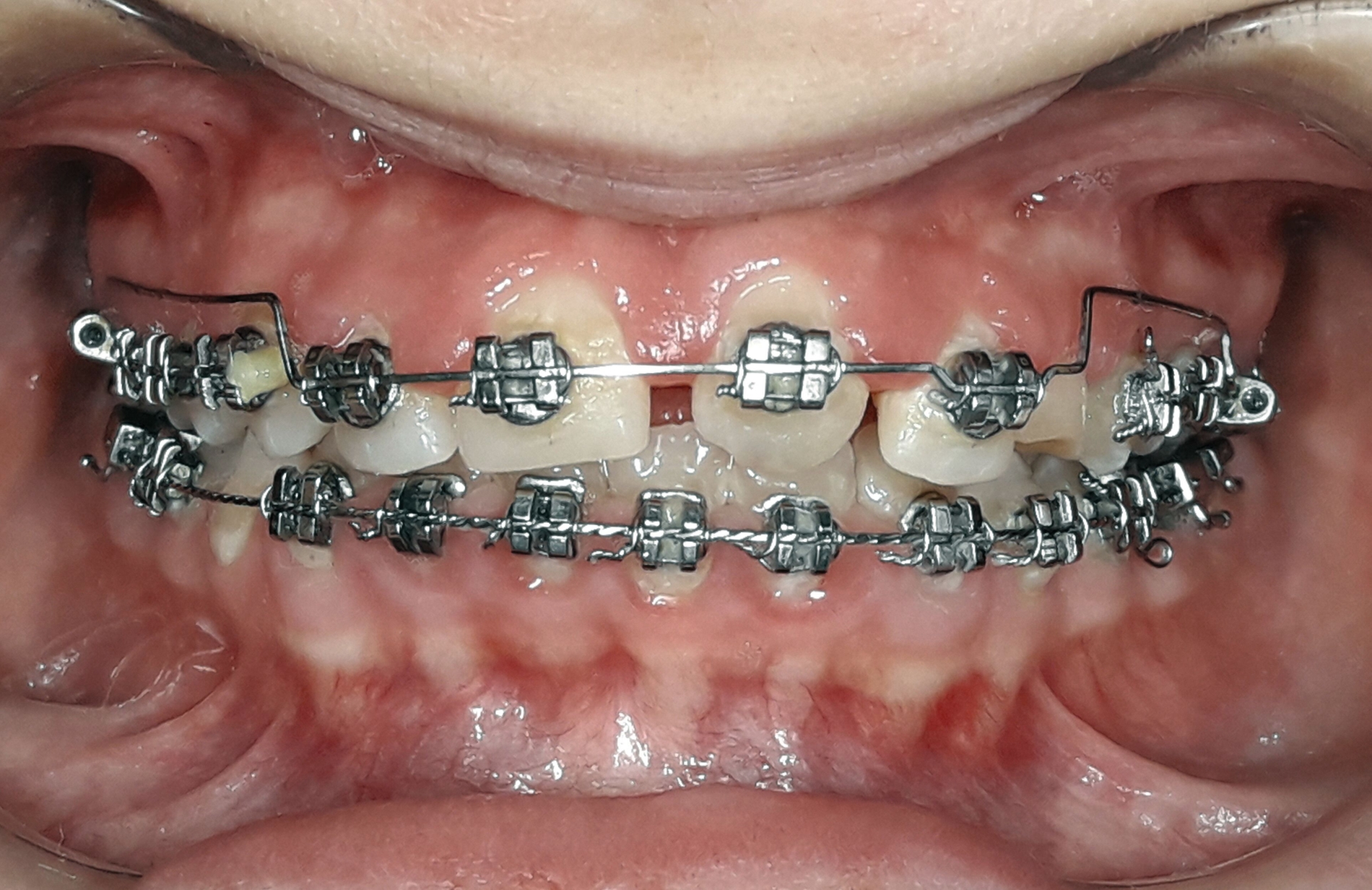
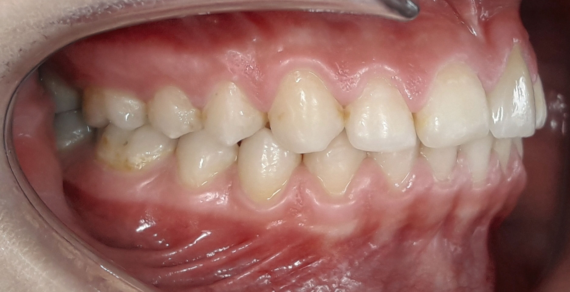
Sechzehn Monate später wurden die Brackets im Unterkiefer geklebt. Als der linke Eckzahn im Bereich des linken mittleren Schneidezahns durchbrach, wurde der Knopf mit dem Draht durch ein Bracket ersetzt. Der Eckzahn wurde mit der Huckepack-Technik extrudiert und eine Druckfeder zwischen den Zähnen 22 und 24 eingesetzt, um die Breite der Lücke Regio 23 anzupassen (Abbildung 5). Bei der Huckepack-Technik werden üblicherweise flexible, superelastische Drähte in Kombination mit einem steiferen Basisbogendraht verwendet, um die Einordnung verlagerter Zähne zu ermöglichen und die Wirkung reaktiver Kräfte hinsichtlich der horizontalen und der vertikalen Verankerung zu begrenzen.
Die visuelle Beurteilung der Lage der Schneidezähne ergab, dass die Lippenlinie sehr niedrig war und diePatientin eine konkave Lachlinie aufwies. Deshalb wurde die „2 x 4-Segmentbogentechnik“ angewendet, um die Oberkieferfrontzähne zu extrudieren, die Exposition der Oberkieferschneidezähne zu erhöhen und die Lachlinie zu nivellieren (Abbildung 6).
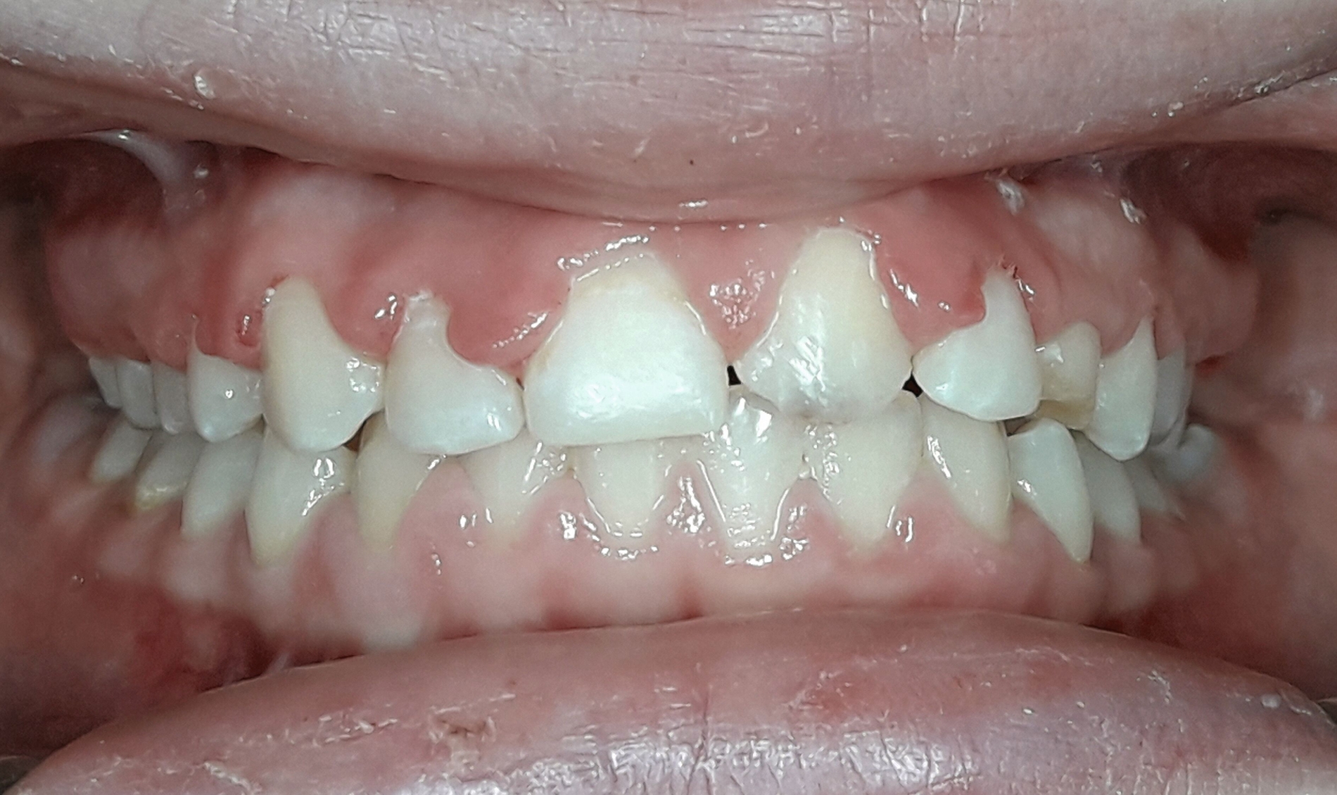
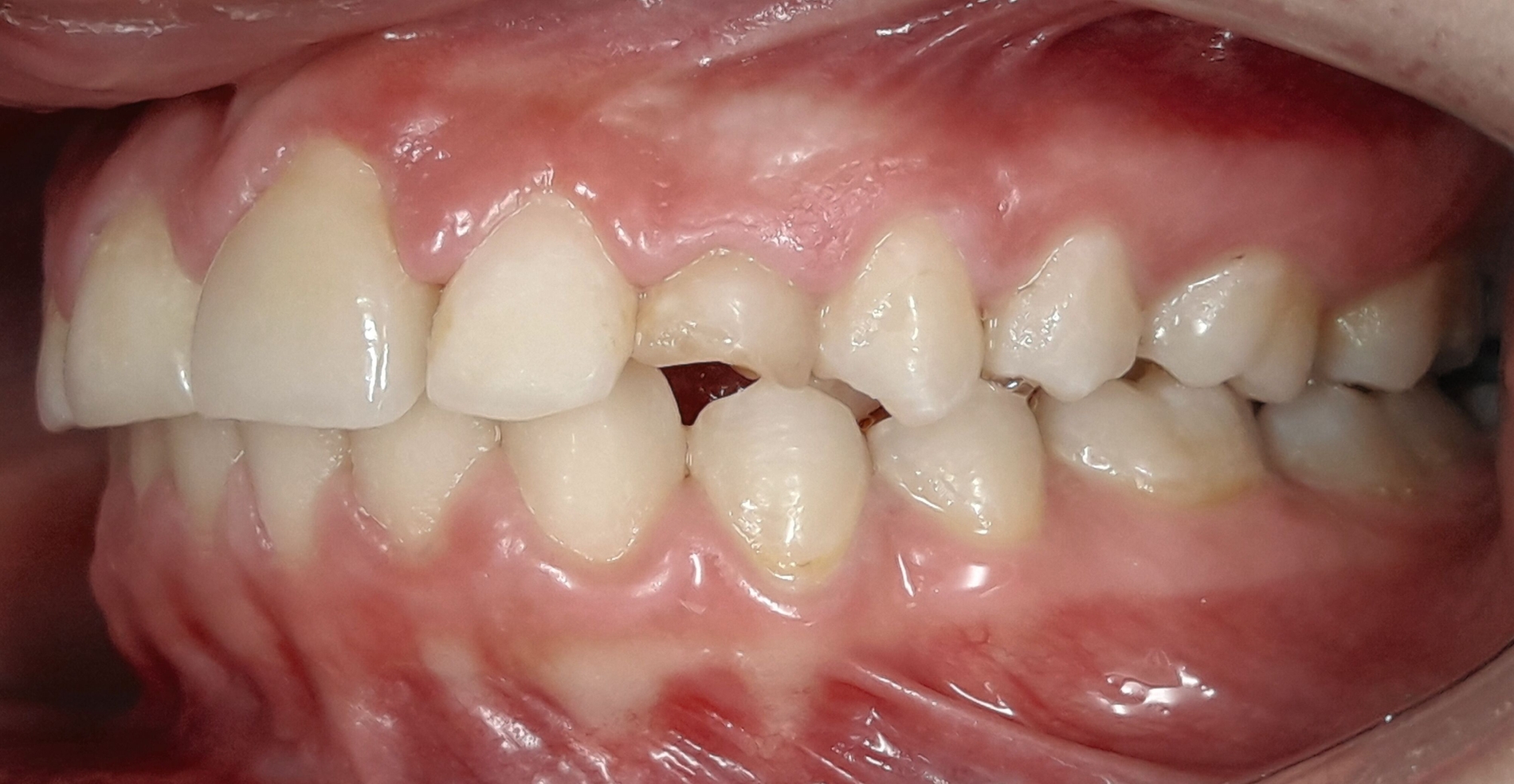
Trotz wiederholter Mundhygieneinstruktionen während der Behandlung war die Motivation der Patientin zur Verbesserung der Mundhygiene unzureichend, was zur vorzeitigen Entfernung der festsitzenden Apparatur führte (Abbildung 7). Deshalb konnten die Wurzelangulation und die Torque desEckzahns nicht wie geplant korrigiert werden. Eine zusätzliche Extrusion von zwei Millimetern wäre wünschenswert gewesen, um den Gingivarand in eine optimale Position zu bringen.
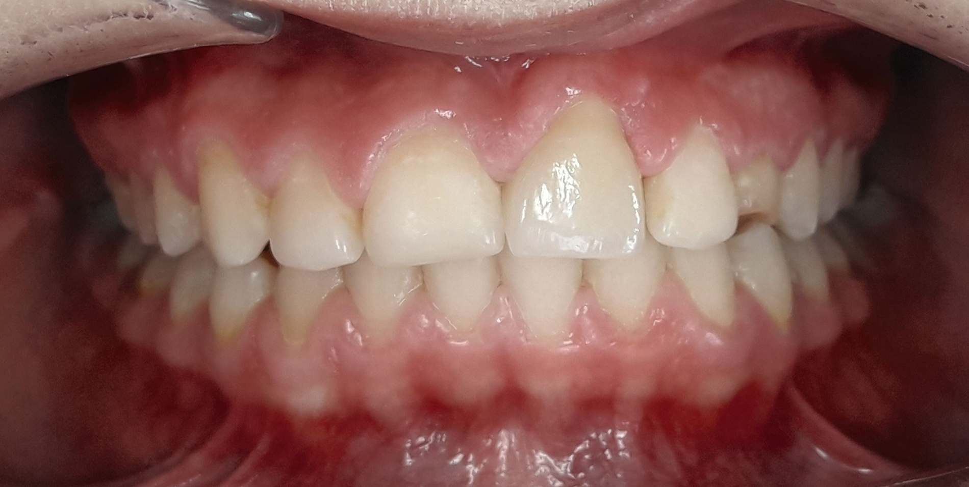
Nach der Entfernung der festsitzenden Apparatur wurde die Patientin zum ästhetischen Kronenaufbau des Eckzahns überwiesen (Abbildungen 8 und 9). Die Pulpa und die Vitalität des Eckzahns blieben erhalten.
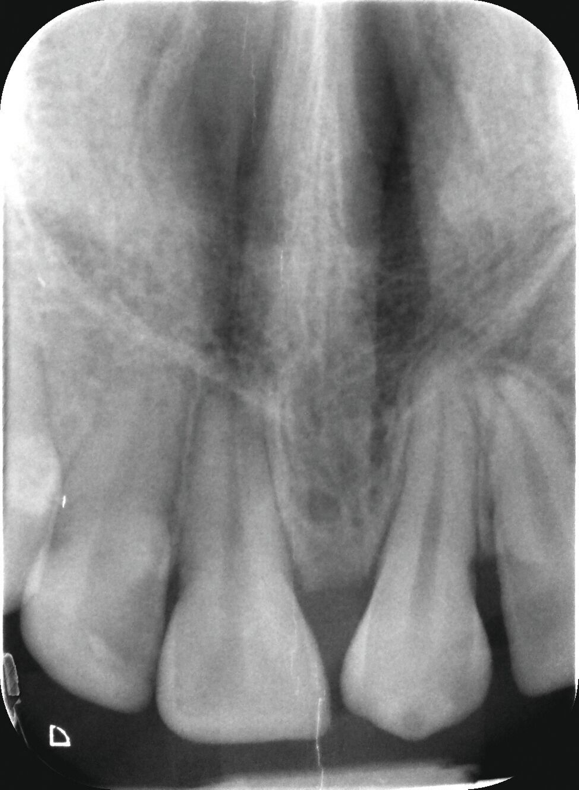
Eine Röntgenaufnahme vier Jahre nach dem Eingriff zeigt den erfolgreichen Erhalt des Knochentransplantats und eine suffiziente knöcherne Regeneration (Abbildung 10).
Diskussion
Der vorgestellte Fall zeigt die Bedeutung einer sorgfältigen Diagnose und Behandlungsplanung auf multidisziplinärer Basis bei fehlenden oder extrahierten Oberkieferfrontzähnen in Kombination mit stark verlagerten Eckzähnen sowie dem Einsatz verschiedener kieferorthopädischer Verfahren. Denn: Komplizierte Zahnbewegungen bei stark verlagerten Zähnen sowie eine lange Dauer der aktiven kieferorthopädischen Behandlung können zu Wurzelresorptionen und Zahnfleischrückgang führen [Ciarlantini et al., 2024].
Die oberen Schneidezähne gelten als die wichtigsten Zähne im Hinblick auf die Ästhetik. In ähnlicher Weise ist auch die Position des bleibenden oberen Eckzahns im Winkel des Zahnbogens von großer Bedeutung, sowohl für die Aufrechterhaltung der Symmetrie und Harmonie der okklusalen Beziehung als auch aus funktioneller Sicht [Maspero et al., 2018]. Häufig können die oberen Schneidezähne durch die impaktierten Eckzähne eine Wurzelresorption erleiden oder avulsiert, retiniert oder impaktiert werden, wenn der Eruptionsweg gestört ist. Dies kann durch Tumoren, Zysten, Odontome, überzählige Zähne oder durch eine abnormale Verschiebung der Zahnlamina während der Embryonalentwicklung bedingt sein [Kumar et al., 2012]. Die Behandlung impaktierter Zähne umfasst in der Regel die chirurgische Freilegung in Kombination mit einer kieferorthopädischen Einstellung.
Die Extraktion der oberen mittleren Schneidezähne stellt allerdings einen seltenen und unüblichen Eingriff in der Kieferorthopädie dar. Defekte, die nach der Extraktion entstehen, können erhebliche Auswirkungen auf die Ästhetik oder die Funktionalität haben und sogar zum Verlust der umliegenden Gingiva führen. Der Verlust eines Schneidezahns führt zum gleichzeitigen Verlust der Fähigkeit, das Wachstum des umgebenden Alveolarknochens anzuregen. Der nachfolgende Knochenverlust nach der Extraktion kann schwerwiegend sein und tritt häufig in den ersten Monaten nach der Extraktion auf, setzt sich jedoch kontinuierlich während des gesamten Lebens fort [Schropp et al., 2003].
Der Prozess der Knochenresorption ist weniger ausgeprägt und die biologische Reaktion wird verbessert, wenn die kieferorthopädische Bewegung durch autologe Knochentransplantate hindurchgeführt wird [Hossain et al., 1996]. Um ästhetische Misserfolge zu vermeiden und ein zufriedenstellendes Endergebnis zu erzielen, ist es deshalb notwendig, ein Knochentransplantat zu verwenden. Das autologe Knochentransplantat ist das einzige, das alle biologischen Merkmale der Osteokonduktivität, Osteogenität, Osteointegration und Osteoinduktivität aufweist [Perasso et al., 2022].
Eine alleinige Implantation ist keine echte Alternative, denn Studien haben gezeigt, dass die Implantation in eine Extraktionsalveole die Resorption des Alveolarkamms nicht verhindert, wie früher angenommen wurde [Araújo et al, 2001; Botticelli et al., 2004; Levin, 2013]. Zahnimplantate in der ästhetischen frontalen Region haben sich als ungeeignet erwiesen, da das Weichgewebe um das Implantat herum atrophiert und das Risiko besteht, dass eine Infraokklusion bestehen bleibt [Maldonado Molina, 2023; Thilander et al., 2001; Bernard et al., 2004].
Coccheto et al. konnten bei 73,3 Prozent der erwachsenen Patienten, die innerhalb der vergangenen fünf bis zwanzig Jahre eine Implantatversorgung im Oberkiefer-Frontzahnbereich erhalten hatten, eine Infraokklusion feststellen [2019]. Dabei war die Prävalenz bei Frauen und hyperdivergenten Patienten höher. Aus diesem Grund ist es im Rahmen einer ästhetischen Zahnversorgung in der Wachstumsphase von entscheidender Bedeutung, einen fehlenden Zahn durch einen natürlichen Zahn zu ersetzen, um den Prozess der Knocheninduktion während des Wachstums zu fördern [Norris und Caesar, 2013]. Ein wesentlicher Vorteil der Rekonstruktion eines Knochendefekts mit einem autologen Knochentransplantat und der Bewegung des Zahnes durch das Transplantat ist die Dauerhaftigkeit des Endergebnisses. In unserem Fall zeigt eine Röntgenaufnahme vier Jahre nach dem chirurgischen Eingriff den erfolgreichen Erhalt der Knochenhöhe und -breite.
Der Ersatz eines oberen Schneidezahns durch einen Eckzahn stellt auch im Hinblick auf die Ästhetik eine große Herausforderung dar. Bereits in der Planung gilt es, Faktoren wie die Kronen- und die Wurzelmorphologie, den Farbton sowie die Kontur des Zahnfleischrandes zu berücksichtigen, so dass Modifikationen der Kronenmorphologie später umsetzbar sind, um ästhetische Ergebnisse zu erzielen.
Fazit
Die Kombination von dentalen Substitutionen und autologen Transplantaten zur Wiederherstellung von Knochendefekten hat sich als ein sehr gutes Verfahren bewährt. Außerdem zeigt es die beste Langzeitprognose bei Zahnextraktionen, insbesondere bei Kindern, da das Wachstum und die Reifung von Hart- und Weichgewebe des Alveolarfortsatzes nicht behindert werden.
Die Autoren danken Dr. Christian Britz, M.Sc, für seine umfassende zahnärztliche Betreuung im Rahmen des ästhetischen Kronenaufbaus des Eckzahns.
Literaturliste
Ciarlantini R, Agani K, Venugopal A, Raiman J, Melsen B. Effective torque correction for buccally erupted ectopic canines. J Clin Orthod. 2024 Feb;58(2):88-98.
Maspero C, Fama A, Galbiati G, Giannini L, Kairyte L, Bartorelli L, Farronato M. Maxillary Central Incisor Root Resorption due to Canine Impaction after Trauma. Is the Canine Substitution for Maxillary Incisors a suitable Treatment Option? Two Case Reports. Stomatologija. 2018;20(3):102-108.
Kumar S, Urala AS, Kamath AT, Jayaswal P, Valiathan A. Unusual intraosseous transmigration of impacted tooth. Imaging Sci Dent. 2012 Mar;42(1):47-54.
Hossain MZ, Kyomen S, Tanne K. Biologic responses of autogenous bone and beta-tricalciuufm phosphate ceramics transplanted into bone defects to orthodontic forces. Cleft Palate Craniofac J. 1996 Jul;33(4):277-83.
Perasso R, Imelio M, Schiaffino M. Orthodontic movement into a bone defect augmented with heterologous graft. J Clin Orthod. 2022 Apr;55(4):401-408.

























