Bericht
Veneer auf vorhandener VMK-Brücke
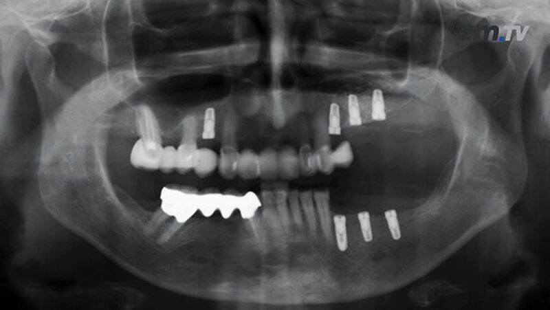
Der Filmpreis 2016 der Arbeitsgemeinschaft für Keramik in der Zahnheilkunde (AG Keramik) geht an Dr. Taskin Tuna, RWTH Universitätsklinikum Aachen, Abteilung Zahnärztliche Prothetik und Biomaterialien. Der dreiminütige Kurzfilm zeigt am Fallbeispiel die Verblendung einer mehrgliedrigen VMK-Brücke im Molarenbereich zwecks Ebenenkorrektur mit einem vollkeramischen Table Top. Der Preis wird auf dem 16. Keramiksymposium am 26. November 2016 in Hamburg übergeben.



