Peri-implantäre Gesundheit, peri-implantäre Mukositis und Peri-implantitis
Die neue Klassifikation parodontaler und peri-implantärer Erkrankungen und Zustände
Die European Federation of Periodontology (EFP) hat einen Leitfaden zur Anwendung der neuen Klassifikation parodontaler und peri-implantärer Erkrankungen und Zustände entwickelt. Die zm veröffentlichen den von Prof. Dr. Dr. Søren Jepsen, Bonn, (für die EFP) und Prof. Dr. Henrik Dommisch, Berlin, (für die DG PARO) ins Deutsche übersetzten Leitfaden – analog der Gliederung der EFP – in vier Teilen:
1. Parodontale Gesundheit und Gingivitis (zm 11/2019)
2. Parodontitis (zm 12/2019)
3. Systemische und andere parodontale Zustände (zm 13/2019)
4. Peri-implantäre Gesundheit, peri-implantäre Mukositis und Peri-implantitis (in diesem Heft)
Peri-implantäre Erkrankungen und Zustände waren in der bisherigen Klassifikation parodontaler Erkrankungen von 1999 nicht enthalten.
Der World Workshop 2017 präsentierte Falldefinitionen und diskutierte die Charakteristika peri-implantärer Gesundheit, peri-implantärer Mukositis und von Peri-implantitis.
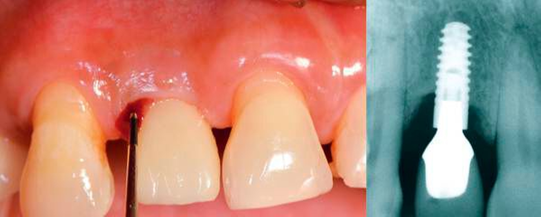
Blutung auf Sondierung (BOP) wird verwendet, um zwischen gesunder und entzündeter peri-implantärer Mukosa zu unterscheiden.
Knochenverlust dient der Unterscheidung zwischen peri-implantärer Mukositis und Peri-implantitis.
Die Progression der Peri-implantitis ist schneller als die, die bei Parodontitis beobachtet wird und tritt in einem nicht-linearen und beschleunigenden Muster auf.
Einleitung
Obwohl die Klassifizierung von peri-implantären Erkrankungen und Zuständen erstmals im Rahmen des World Workshop 2017 adressiert wurde, waren zuvor bereits Definitionen von peri-implantären Erkrankungen auf mehreren Workshops der EFP zur Parodontologie vorgestellt worden.
Der Begriff „Definition“ hat oft Missverständnisse hervorgerufen. Es gibt eine klare Notwendigkeit, zwischen einer Krankheitsdefinition und einer Falldefinition zu unterscheiden. Krankheitsdefinitionen sind beschreibend und stellen die typischen Charakteristika einer Erkrankung vor, wohingegen Falldefinitionen klinische Leitlinien zur Diagnose vorgeben sollen.
Auf dem World Workshop 2017 stellte die Arbeitsgruppe 4 Falldefinitionen vor und behandelte fokussierte Fragen zu den Merkmalen von peri-implantärer Gesundheit, peri-implantärer Mukositis und Peri-implantitis.
Der wichtigste Bestandteil der Falldefinitionen ist das Auffinden von Blutungen (BOP) oder Eiterungen bei Sondierung und der röntgenologisch sichtbare Knochenabbau. BOP ist das Schlüsselinstrument zur Unterscheidung zwischen gesunder und entzündeter peri-implantärer Mukosa, während der Knochenabbau zur Unterscheidung zwischen peri-implantärer Mukositis und Peri-implantitis verwendet wird. Der Knochenverlust sollte hierbei mögliche Veränderungen des krestalen Knochenniveaus, die sich aus dem anfänglichen Knochenumbau nach Implantation ergeben, überschreiten.
„Es besteht die Notwendigkeit, zwischen einer Krankheitsdefinition und einer Falldefinition zu unterscheiden.“
Peri-implantäre Gesundheit
Peri-implantäre Hart- und Weichgewebe entstehen als Ergebnis eines Wundheilungsprozesses nach der Implantatinsertion. Die Bildung neuen Knochens in Kontakt mit dem Implantat wird als Osseointegration bezeichnet, während die Ausbildung der peri-implantären Mukosa den Aufbau eines Saumepithels und einer Bindegewebszone in Kontakt mit Komponenten des Implantats beinhaltet.
Die peri-implantäre Gesundheit ist durch das Fehlen klinischer Anzeichen von Entzündung wie Schwellungen, Rötungen und BOP gekennzeichnet. Es ist jedoch nicht möglich, einen Bereich von Sondierungstiefen zu definieren, die mit „Gesundheit“ vereinbar sind. Darüber hinaus kann peri-implantäre Gesundheit um Implantate mit reduziertem Knochenniveau bestehen.
Es gibt verschiedene Szenarien, in denen peri-implantäre Gesundheit und reduziertes Knochenniveau zusammenfallen können, da peri-implantäre Gesundheit an Stellen erreicht werden kann, an denen eine Peri-implantitis erfolgreich behandelt worden ist. Darüber hinaus kann die Einheilung nach Implantatinsertion an Stellen mit Kieferkammdefiziten zu einem Knochenniveau apikal der Implantatschulter führen, bei dem Teile der peri-implantären Mukosa den intraossären Anteilen des Implantats anliegen.
Falldefinition der peri-implantären Gesundheit in der täglichen klinischen Praxis:
- Fehlen von klinischen Anzeichen einer Entzündung
- Fehlen von Blutungen/Eiteraustritt bei sanfter Sondierung
- Keine Erhöhung der Sondierungstiefen im Vergleich zu früheren Untersuchungen
- kein Knochenabbau
„BOP ist das Schlüsselinstrument zur Unterscheidung zwischen gesunder und entzündeter peri-implantärer Mukosa, während der Parameter Knochenverlust zur Unterscheidung zwischen peri-implantärer Mukositis und Peri-implantitis verwendet wird.“
Peri-implantäre Mukositis
Die peri-implantäre Mukositis ist gekennzeichnet durch eine entzündliche Läsion in den Weichgeweben, die ein Implantat umgeben – in Abwesenheit von peri-implantärem Knochenabbau. Die Läsion befindet sich lateral zum Saum-/Taschenepithel, erstreckt sich aber nicht in die suprakrestale Bindegewebszone „apikal“ des Saum-/Taschenepithels.
Das wichtigste klinische Merkmal der peri-implantären Mukositis ist die Blutung auf sanfte Sondierung, während andere klinische Anzeichen einer Entzündung – wie beispielsweise Rötung und Schwellung – zusätzlich auftreten können. Eine Erhöhung der Sondierungstiefe ist bei einer peri-implantären Mukositis aufgrund von Schwellung oder Abnahme des Sondierungswiderstands häufig zu beobachten. Es gibt starke Evidenz dafür, dass Plaque der ätiologische Faktor bei der peri-implantären Mukositis ist. Es gibt auch Beweise dafür, dass peri-implantäre Mukositisläsionen nach der Wiederaufnahme von Maßnahmen zur Plaquekontrolle verschwinden können.
Falldefinition der peri-implantären Mukositis in der täglichen klinischen Praxis:
- Blutung und/oder Eiterung bei sanfter Sondierung
- Kein Knochenabbau
Peri-implantitis
Peri-implantitis ist ein Plaque-assoziierter pathologischer Zustand, der in den Geweben um Zahnimplantate herum auftritt. Er ist durch eine Entzündung in der peri-implantären Mukosa und den Verlust an Implantat-tragendem Knochen gekennzeichnet. Stellen mit Peri-implantitis zeigen klinische Entzündungszeichen einschließlich Blutungen bei Sondierung und/oder Eiterung, erhöhte Sondierungstiefen und/oder eine Rezession des Mukosarandes und röntgenologischen Knochenverlust im Vergleich zu früheren Untersuchungen. Peri-Implantitis-Läsionen erstrecken sich nach apikal des Saum-/Taschenepithels und sind größer als diejenigen an Stellen mit peri-implantärer Mukositis und Parodontitis.
Es wird angenommen, dass die peri-implantäre Mukositis der Peri-implantitis vorausgeht. Daten weisen darauf hin, dass Patienten, bei denen eine peri-implantäre Mukositis diagnostiziert wurde, eine Peri-implantitis entwickeln können, insbesondere bei Fehlen einer regelmäßigen Erhaltungstherapie (UPT). Die Progression der Peri-implantitis ist schneller als die bei einer Parodontitis und tritt in einem nichtlinearen und beschleunigenden Muster auf.
Der Zusammenhang zwischen Plaque und Peri-implantitis wird durch Evidenz gestützt, die zeigt, dass Patienten mit schlechter Plaquekontrolle, die nicht an einer regelmäßigen Erhaltungstherapie teilnehmen, einem höheren Risiko ausgesetzt sind eine Peri-implantitis zu entwickeln und dass antiinfektiöse Behandlungsstrategien zum Aufhalten der Krankheitsprogression erfolgreich sind. Es gibt auch starke Evidenz dafür, dass ein erhöhtes Risiko für Peri-implantitis bei Patienten mit einer Vorgeschichte von schwerer Parodontitis besteht. Daten, die Rauchen und Diabetes als potenzielle Risikoindikatoren für eine Peri-implantitis identifizieren, sind nicht eindeutig.
Falldefinition der Peri-implantitis in der täglichen klinischen Praxis:
- Blutung und/oder Eiterung bei sanfter Sondierung
- Erhöhte Sondierungstiefe im Vergleich zu früheren Untersuchungen
- Knochenabbau
Die Falldefinition der Peri-implantitis beinhaltet BOP und Knochenabbau.
In Ermangelung früherer Untersuchungsdaten kann die Diagnose einer Peri-implantitis basieren auf der Kombination von:
- Blutung und/oder Eiterung bei sanfter Sondierung
- Sondierungstiefen von größer/gleich 6 mm
- Knochenniveau größer/gleich 3 mm apikal des am weitesten koronal befindlichen Abschnitts des intraossären Implantatanteils.
Epidemiologische Studien sollten idealerweise frühere Untersuchungen ein Jahr nach der Implantatbelastung beinhalten.
Falldefinitionen in epidemiologischen Studien
Die gleichen Kriterien wie bei der Definition der peri-implantären Gesundheit und der peri-implantären Mukositis in der täglichen klinischen Praxis sollten in epidemiologischen Studien angewendet werden. Ebenso übereinstimmend ist die Falldefinition der Peri-implantitis bei epidemiologischen Studien:
- Blutung und/oder Eiterung bei sanfter Sondierung
- Erhöhte Sondierungstiefe im Vergleich zu früheren Untersuchungen
- Knochenabbau
Epidemiologische Studien müssen den Messfehler in Bezug auf die Beurteilung von Veränderungen des Knochenniveaus berücksichtigen. Knochenverlust sollte unter Verwendung von Schwellenwerten angegeben werden, die den Messfehler überschreiten (im Mittel 0,5 mm). Epidemiologische Studien sollten idealerweise frühere Untersuchungen beinhalten, die nach dem ersten Jahr der Implantatbelastung durchgeführt wurden.
Beim Fehlen früherer röntgenologischer Untersuchungsdaten ist ein Knochenniveau größer/gleich 3 mm apikal des am weitesten koronal befindlichen Abschnitts des intraossären Implantatsanteils, zusammen mit Blutungen und/oder Eiterungen bei der Sondierung, mit der Diagnose einer Peri-implantitis vereinbar.
Schlussfolgerungen
Die vorgeschlagenen Falldefinitionen sollten vor dem Hintergrund gesehen werden, dass es kein „generisches“ Implantat und zahlreiche Implantatdesigns mit unterschiedlichen Oberflächeneigenschaften und unterschiedlichen Operations- und Belastungsprotokollen gibt. Es ist notwendig, peri-implantäre Gewebe zu sondieren, um Veränderungen in BOP und Sondierungstiefe zu erfassen. Es wird empfohlen, dass Kliniker Ausgangsröntgenaufnahmen und Sondierungsmessungen nach der Fertigstellung des Implantat-gestützten Zahnersatzes erheben.
Autor: Tord Berglundh, Göteborg
Herausgegeben von der European Federation of Periodontology (EFP)Avenida Doctor Arce, 14. Office 3828002 Madrid, Spain
Deutsche Übersetzung: Søren Jepsen, Henrik Dommisch
Dieser klinische Leitfaden wird neben der Publikation in der zm auch in den Medien der Deutschen Gesellschaft für Parodontologie e. V. (DG PARO) verbreitet.
Zum Autor: Tord Berglundh ist Professor und Leiter der Abteilung für Parodontologie am Institute of Odontology, Sahlgrenska Academy an der Universität Göteborg, Schweden. Er ist Mit-herausgeber des Lehrbuchs Clinical Periodontology and Implant Dentistry und Associate Editor der Zeitschriften Clinical Oral Implants Research und Journal of Clinical Periodontology der EFP. Er ist Mitglied des Editorial Board des Journal of Dental Research und fungiert als Gutachter für zahlreiche andere Zeitschriften. Er hat zahlreiche wissenschaftliche Auszeichnungen erhalten und ungefähr 230 wissenschaftliche Publikationen auf den Gebieten der dentalen Implantate, parodontaler und peri-implantärer Erkrankungen, Immunologie, Genetik, Gewebeintegration und Regeneration verfasst.
Weiterführende Literatur:
Proceedings of the World Workshop on the Classification of Periodontal and Peri-implant Diseases and Conditions,co-edited by Kenneth S. Kornman and Maurizio S. Tonetti. Journal of Clinical Periodontology, Volume 45, Issue S20, June 2018. Die Proceedings beinhalten:
- Berglundh T, Armitage G, et al. Peri-implant diseases and conditions: Consensus report of workgroup 4 of the 2017 World Workshop on the Classification of Periodontal and Peri-Implant Diseases and Conditions, pages S286-S291.
- Araujo MG, Lindhe J. Peri-implant health, pages S230-S236
- Heitz-Mayfield LJA, Salvi G. Peri-implant mucositis, pages S237-S245.
- Schwarz F, Derks J, Monje A, Wang H-L. Peri-implantitis, pages S246-S266.- Hämmerle CHF, Tarnow D. The etiology of hard- and soft-tissue deficiencies at dental implants: A narrative review, pages S267-S277.
- Renvert S, Persson GR, Pirih FQ, Camargo PM. Peri-implant health, peri-implant mucositis, and peri-implantitis: Case definitions and diagnostic considerations, pages S278-S285.









