Aneurysmatische Knochenzyste im Oberkiefer
Kasuistik
Eine unklare Knochenveränderung im Oberkiefer wurde auf einem im Rahmen der kieferorthopädischen Behandlung angefertigten OPG bemerkt und der anamnestisch symptomlose, elfjährige Patient zur weiteren Diagnostik zugewiesen. Das Orthopantomogramm (Abb. 1) zeigte eine ausgedehnte, im rechten vorderen Oberkiefer gelegene Osteolyse mit Ausdehnung in den Alveolarkamm. Klinisch zeigte sich lediglich eine palatinale Vorwölbung, die in der Aufsicht anhand der Verlagerung der Sutura mediana palatina erkennbar wird (Abb. 2). Erst die CT-Diagnostik (Abb. 3 a – c) zeigt das tatsächliche Ausmaß der Knochendestruktion, die von der Region des linken zweiten Prämolaren bis deutlich über die Mittellinie reicht. In der frontalen Rekonstruktion (Abb. 4) wird erkennbar, dass Gaumendach und knöcherner Nasenboden vollständig aufgebraucht sind und die Raumforderung zu einer deutlichen Einengung des unteren Nasenganges geführt hat. Auffällig ist, dass der knöchern offensichtlich destruktiv wachsende Tumor zu keinerlei Schleimhautreaktion in der Restkieferhöhle geführt hat.
Der recht blutreiche Befund wurde in Intubationsnarkose unter Erhaltung der Zähne schonend excochleiert und der Defekt mit einer stabilisierten Eigenblutfüllung versorgt. Histologisch ergab sich die abschließende Diagnose einer aneurysmatischen Knochenzyste.
Diskussion
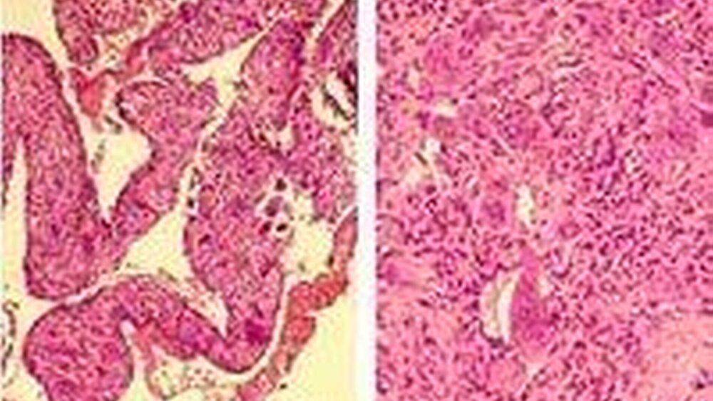
Die aneurysmatische Knochenzyste ist eine seltene, in ihrer Ätiologie bisher nicht abschließend geklärte, grundsätzlich aber gutartige Knochenläsion. Das oft über lange Zeit symptomlose und damit häufig unbemerkte Wachstum kann, wie im vorliegenden Fall, zu ausgedehnten Knochendefekten führen. Dabei ist die Wachstumsdynamik sehr variabel und im Einzelfall nicht vorhersagbar. Neuere tumorzytogenetische Untersuchungen zeigen bei einigen Fällen strukturelle chromosomale Aberrationen der Chromosomen 16 und 17, insgesamt scheint die morphologische definierte Entität „aneurysmatische Knochenzyste" auf zytogenetischer Ebene aber keine einheitliche Läsion darzustellen [Werner and Delling, 2002]. Histologisch (Abb. 5) stellt sich ein recht inhomogenes Bild mit einem variablen Verhältnis solider und lakunärer Anteile dar. Den blutgefüllten Hohlräumen fehlt charakteristischerweise eine endotheliale Auskleidung. In den bindegewebigen Septen finden sich teilweise gruppiert zahlreiche mehrkernige Riesenzellen. Die abschließende histologische Bewertung erfordert umfangreiches Biopsiematerial, da in Teilbereichen der Läsion solide, riesenzellgranulomartige oder auch sehr mitosereiche Formationen Fehlinterpretationen verursachen können.
Die präoperative Einschätzung des Krankheitsbildes bleibt auch unter Ausschöpfung moderner bildgebender Verfahren [Asaumi et al., 2003] unsicher. Richtungsweisend für die diagnostische Einordnung im Kieferbereich kann durchaus die Diskrepanz zwischen ausgedehnter ossärer Destruktion und fehlender Weichgewebsbeteiligung sein. Für die zahnärztliche Praxis weist der Fall auf die Bedeutung einer vollständigen radiologischen Abbildung der Kieferregion im Zusammenhang mit der zahnärztlichen Behandlung und auf den hohen Wert der OPG-Aufnahme als Screeningmethode hin. Trotz einer Rezidivrate bis zu 40 Prozent stellt die operative Curettage die Therapie der Wahl dar. Eine Bestrahlungsbehandlung ist obsolet, da trotz insgesamt geringer Fallzahl bereits eine radiogene Induktion von Malignomen beobachtet wurde.
PD Dr. Dr. Martin KunkelProf. Dr. Dr. Torsten E. ReichertKlinik für Mund-, Kiefer- und GesichtschirurgieJohannes-Gutenberg-UniversitätAugustusplatz 2, 55131 Mainz




