Desmoplastisches Melanom der Unterlippe
Kasuistik
Ein 78-jähriger Patient kam zur Aufnahme, nachdem seit einen halben Jahre eine progrediente, schmerzhafte Schwellung der linken Unterlippe aufgetreten war. Zu Beginn der stationären Behandlung bestand eine derbe, knotige Infiltration der gesamten linken Unterlippe bis knapp über die Mittellinie hinaus (Abbildung 1). Eine alio loco durchgeführte Biopsie hatte zu der Verdachtsdiagnose eines neurogenen Sarkoms geführt. Nach Tumorausbreitungsdiagnostik und Narkosevorbereitung wurde der Tumor mit einem Zentimeter Sicherheitsabstand im Sinne einer Zwei-Drittel-Resektion der Unterlippe entfernt. Unter der Verdachtsdiagnose eines neurogenen Sarkoms wurde der N. mentalis bis zum Niveau des F. mentale reseziert. Zur Rekonstruktion wurde ein vollschichtiger Wangenlappen in der Technik nach Bernard-Fries verwendet. Aus dem Gesamtresektat ergab sich schließlich unter Einsatz immunhistologischer Marker die abschließende Diagnose eines desmoplastischen Melanoms. Nach acht Monaten musste bei sekundärer zervikaler Metastasierung (Abb. 2) eine konservative Lymphknotendissektion angeschlossen werden. Nach diesem zweiten operativen Eingriff trat bislang über einen Zeitraum von weiteren zwei Jahren kein erneuter Progress der Erkrankung auf.
Diskussion
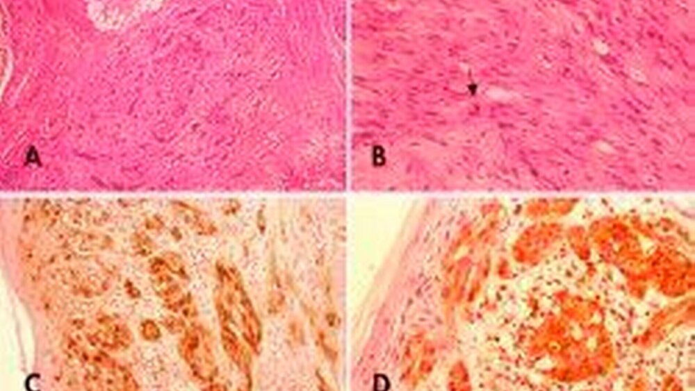
Das desmoplastische Melanom ist eine seltene Variante des malignen Melanoms, die vor allem im sechsten und siebten Lebensjahrzehnt auftritt [Hessel und Byers 2002] und dann häufig die Gesichtsregion betrifft. Rund vier Prozent aller Melanome sind dieser Gruppe zuzurechnen. Vom klinischen Erscheinungsbild erscheinen diese Tumoren typischerweise amelanotisch als derbe, knotenförmige Auftreibung der Haut beziehungsweise Schleimhaut. Der histologische Aspekt wird durch S-100 und Vimentin-positive Spindelzellen in einem dichten kollagenfaserigen Stroma (Desmoplasie) geprägt (Abbildung 3). Kennzeichnend für das biologische Verhalten ist eine ausgeprägte perineurale Invasionstendenz, die häufig zu lokalen Rezidiven führt. Die sekundäre Beteiligung der Halslymphknoten in unserem Fall war überaus ungewöhnlich, da eine lymphogene Metastasierung dieser Tumorentität generell nur sehr selten, etwa in vier Prozent der Fälle auftritt. Eine primäre chirurgische Lymphknotendissektion wird daher auch bei ausgedehnten Primärtumoren nur bei klinisch auffälligen Lymphknoten gefordert [Quinn et al. 1998]. Der klinische Nutzen einer Bestrahlung desmoplastischer Melanome wird in der Literatur bisher nicht abschließend bewertet, in Einzelfällen wird über eine Bestrahlung rezidivierender Tumoren mit langfristiger Tumorremission berichtet [Anderson et al. 2002].
Da die desmoplastischen Melanome der Gesichtsregion häufiger an der Unterlippe auftreten, betreffen sie zusammen mit dem oralen Schleimhautmelanom das Arbeitsgebiet der Zahnheilkunde. Im Gegensatz zu melanotischen Schleimhautmelanomen, die als pigmentierte Läsionen einen recht charakteristischen Aspekt haben, sind desmoplastische Melanome klinisch schlecht einzuordnen und lassen sich erst anhand einer histologischen Untersuchung verifizieren.
PD Dr. Dr. Martin KunkelPD Dr. Dr. Torsten E. ReichertKlinik für Mund-, Kiefer- und GesichtschirurgieJohannes-Gutenberg-UniversitätAugustusplatz 2, 55131 Mainz




