Dermoidzyste der Submandibularregion
Kasuistik
Ein 38-jähriger Patient hatte über einen Zeitraum von zwei Jahren eine weiche, schmerzlose submandibuläre Schwellung auf der rechten Seite bemerkt. In jüngster Zeit hatte der Befund etwas an Größe zugenommen, so dass sich der Patient zur Entfernung dieser Raumforderung vorstellte. Anamnestisch bestand keine Beziehung der Schwellung zur Nahrungsaufnahme im Sinne einer Okklusionssymptomatik. Klinisch handelte es sich um eine sehr weiche, die rechte Submandibularregion am sitzenden Patienten erkennbar vorwölbende, fluktuierende Läsion (Abb. 1), die sich palpatorisch unmittelbar der Glandula submandibularis zuordnen ließ.
Die Mündung des Ductus submandibularis zeigte keine Entzündungszeichen, das Speicheldrüsensekret war klar.
Sonographisch (Abb. 2) fand sich eine scharf begrenzte, homogene, in die Gl. submandibularis eingelagerte Raumforderung, so dass als Verdachtsdiagnose eine zystische Läsion der Speicheldrüse vermutet wurde.
Die Läsion wurde über einen submandibulären Zugang entfernt. Intraoperativ zeigt sich eine von der Speicheldrüse gut abgegrenzte Läsion (Abb. 3), die in toto präparatorisch umfahren (Abb. 4) und entfernt wurde. Die Wandung des oberflächlich gut vaskularisierten Gebildes war ausgesprochen dünn, so dass der Inhalt als körniges Material durchscheinend erkennbar wurde (Abb. 5). Histologisch ergab sich die abschließenden Diagnose einer Dermoidzyste.
Diskussion
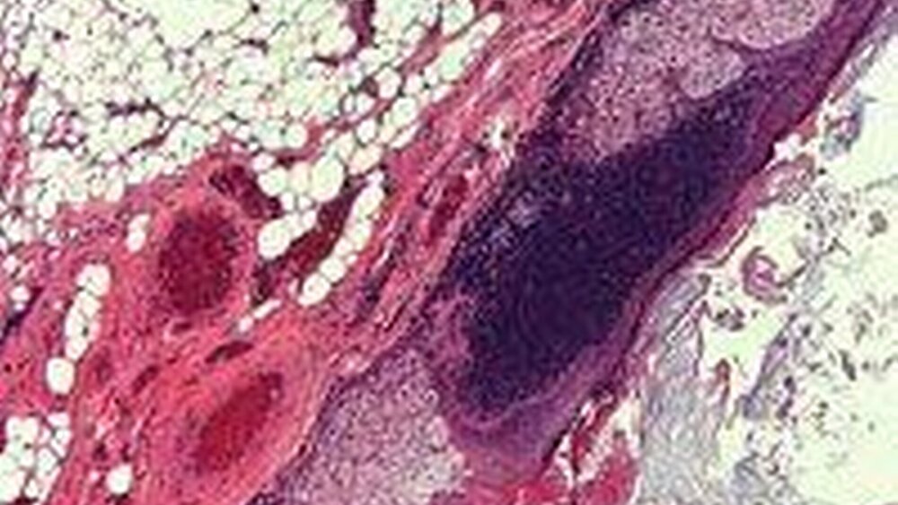
Dermoidzysten sind seltene, entwicklungsbedingte Malformationen, die heute überwiegend als eine benigne, zystische Abortivform eines Teratoms aufgefasst werden [Neville et al., 2002]. Im Kiefer-Gesichtsbereich entstehen diese Läsionen bevorzugt in der Mittellinie und betreffen den vorderen Mundboden und die Zunge [King et al., 1994; Mahmood and Moody, 2003]. Lediglich in Einzelfällen wird über eine Beteiligung des Unterkiefers [Komiyama et al., 2002] oder ein Auftreten in der seitlichen Halsregion berichtet [Rosen et al., 1998]. Histologisch (Abb. 6) findet sich bei diesen Zysten eine plattenepitheliale Auskleidung mit deutlich keratinisierter Oberfläche, deren Hornschuppen zusammen mit Talg das Zystenlumen füllen. In der Wandung der Zyste finden sich Derivate von Hautanhangsgebilden, die in Abbildung 6 insbesondere in Form von Talgdrüsen erkennbar werden. Eine maligne Transformation ist ausgesprochen selten, es finden sich in der Literatur aber Fallmitteilungen über eine Entstehung von Karzinomen auf der Basis primär benigner Dermoidzysten. Solche Befunde sollten daher grundsätzlich operativ entfernt werden.
Für die zahnärztliche Praxis soll dieser Fall daran erinnern, die diagnostische Aufmerksamkeit neben der Mundhöhle auch auf die periorale und zervikale Region auszudehnen, um der Bedeutung unseres Berufsstandes als „Facharzt für orale (und periorale!) Medizin” gerecht zu werden.
PD Dr. Dr. Martin KunkelProf. Dr. Dr. Torsten E. ReichertKlinik für Mund-, Kiefer- und GesichtschirurgieJohannes-Gutenberg-UniversitätAugustusplatz 255131 Mainz




