Eruptives Angiom der Zunge
Ein zehnjähriger Junge wurde mit einer ulzerierenden Schleimhautveränderung am rechten hinteren Zungenrand vorgestellt. Anamnestisch war die Läsion vor einer Woche bemerkt worden, eine Verletzung wurde verneint. Bis auf leichte Schmerzen beim Essen war der Befund symptomarm, die Sprache war nicht gestört. Hinweise auf eine systemische Beteiligung, wie Fieber, Nachtschweiß, Gewichtsverlust oder auch regionäre Lymphknotenvergrößerung, lagen nicht vor. Das konservierend versorgte Wechselgebiss bot, bei guter Mundhygiene, keinen Anhalt für einen dentogenen Fokus einer Entzündung. Der erstkonsultierte Zahnarzt vermutete die Ursache in einem traumatischen Einbiss und glättete zunächst die benachbarten Zähne.
Aufgrund der fehlenden Rückbildung wurde das Kind dann nach einigen Wochen an die Klinik zur Exzision und histologischen Diagnosesicherung überwiesen. In der klinischen Untersuchung fand sich eine etwa sieben Millimeter durchmessende, leicht erhabene und palpatorisch recht derbe Raumforderung des Zungenrandes rechts ohne nennenswerte Druckschmerzhaftigkeit. Eine zentrale, prominente Granulationszone war umgeben von einer fibrinbelegten Erosion, die zur Zungenschleimhaut durch einen leichten Randwall abgegrenzt wurde. In der Umgebung war eine leichte Gefäßinjektion zu erkennen (Abbildungen 1 und 2).
Zur definitiven Diagnosesicherung wurde die Läsion vollständig exzidiert. Im Anschnitt des Resektates zeigt sich das pathologische Gewebe, das der Muskulatur pilzförmig aufsitzt und die Schleimhaut vollständig durchsetzt (Abbildung 3).
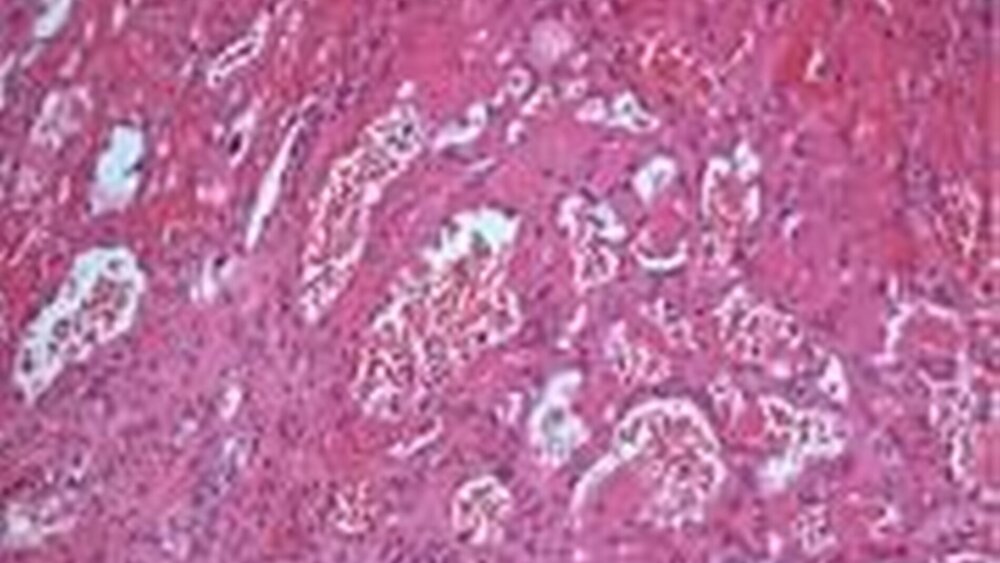
Histologisch zeigten sich in der HE-Färbung Konglomerate geweiteter Kapillarräume, umgeben von einem gemischtzelligen Entzündungsinfiltrat, das sich vornehmlich aus neutrophilen Granulozyten zusammensetzt (Abbildungen 4 a und b). Die histologischen Präparate wurden freundlicherweise von Dr. Wiltrud Coerdt, Institut für Kinderpathologie der Johannes Gutenberg-Universität Mainz, zur Verfügung gestellt. Die Übersichtsvergrößerung (4 a) zeigt die Randzone, in der die Epithelbedeckung der umgebenden Schleimhaut abbricht. In der Detailaufnahme (4 b) wird die dichte Anordnung sinusoidaler Bluträume mit endothelialer Auskleidung sowie die Füllung mit Erythrozyten deutlich. Es finden sich keine zellulären Atypien. Diese Morphologie ist typisch für ein eruptives Angiom.
Diskussion
Das eruptive Angiom (auch Pyogenes Granulom, Granuloma teleangiectaticum, Granuloma pediculatum) ist eine häufige, nicht neoplastische klinische Entität, die grundsätzlich am gesamten Körper auftreten kann. Besondere Prädilektionsstellen sind neben der Mundhöhle und der Gesichtsregion die Finger. Während ursprünglich eine „pyogene“ Infektion als Ursache vermutet wurde, sieht man heute eher eine überschießende Gewebsreaktion nach lokaler Irritation als Auslöser an. Dieser Hintergrund spiegelt sich in den vielfältigen Namensgebungen wider, unter denen diese Entität zu finden ist. Mit Einzelfallberichten über das vermehrte Auftreten bei Schwangeren und immunsupprimierten Patienten existieren zusätzlich Hinweise, dass sowohl die hormonelle Situation als auch die systemische Abwehrbereitschaft einen Einfluss auf die Entwicklung besitzen können [Daley et al., 1991; Bachmeyer et al., 1996].
Der charakteristische makroskopische Aspekt ist eine gegenüber dem Hautbeziehungsweise Schleimhautniveau prominente, oberflächlich granuliert erscheinende, häufig leicht blutende Raumforderung, die sowohl breitbasig als auch gestielt der Unterlage aufsitzen kann. Je nach Kapillarisierungs- und Verhornungsgrad imponiert der Befund blass, intensiv rötlich oder dunkel violett. Mit fortschreitendem Alter der Läsion findet ein fibröser Umbau statt, der klinisch als zunehmende Blässe und Induration bei Palpation imponiert. Die Größe reicht von wenigen Millimetern und kann im Extremfall mehrere Zentimeter im Durchmesser betragen. Klinische Symptome wie Schmerzhaftigkeit und Funktionseinschränkungen sind meist gering ausgeprägt, jedoch kann es aufgrund der exponierten Lage zur Verletzung der Oberfläche mit anhaltender Blutung aus dem gut kapillarisierten Gewebe kommen. Enoral finden sich eruptive Angiome meist im Bereich der Gingiva, in den Zonen typischer Aufbissverletzungen, beispielsweise der Lippe, der bukkalen Mukosa oder wie hier im Bereich des Zungenrandes.
Die klinisch diagnostische Problematik liegt einerseits in der schweren Erfassbarkeit einer ursächlichen Verletzung und vor allem in der über längere Zeit fehlenden Rückbildungstendenz auch nach der Ausschaltung potentieller Reizfaktoren. Damit werden gerade bei der oft anfangs sehr raschen Größenzunahme die Exzision und histopathologische Untersuchung zum Ausschluss einer Neoplasie erforderlich.
Für die Praxis soll der Fall an die große morphologische Variabilität irritativer Schleimhautveränderungen erinnern, die eine sichere Einordnung manchmal recht schwierig macht. In der retrospektiven Betrachtung wäre im vorliegenden Fall eine initiale Bürstenbiopsie sicher hilfreich gewesen. Generell sollte die Bürstenbiopsie vor allem bei denjenigen Läsionen Anwendung finden, die klinisch als nicht neoplastisch eingeschätzt werden. Damit können eventuelle diagnostische Fehler frühzeitig erkannt und Therapieentscheidungen korrigiert werden [Kunkel, 2005].
Dr. med. Maximilian MoergelProf. Dr. Dr. Martin KunkelKlinik für Mund-, Kiefer- und GesichtschirurgieKlinikum der Johannes Gutenberg-UniversitätAugustusplatz 255131 Mainzkunkel@mkg.klinik.uni-mainz.de
Literatur:Daley, TD.; Nartey, NO.; Wysocki, GP.: PregnancyTumor. An analysis. Oral Surg OralMed Oral Pathol 72:196-199 (1991)Bachmeyer, C.; Devergie, A.; Mansouri, S.;Dubertret, L.; Aractingi, S.: Pyogenic granulomaof the tongue in graft versus host disease.Ann Dermatol Venereol 123 (9):552-554 (1996)Kunkel, M.: Früherkennung – Herausforderungin der oralen Medizin. DZM aktuell 2, (2005).Nachdruck in: „Zahnärztliche NachrichtenNiedersachsen“: 8+9/2005, S. 14-15




