Besondere Fälle in der Parodontologie
Die Teilnehmer wurden durch Prof. Dr. Peter Eickholz, Direktor der Poliklinik für Parodontologie am Zentrum der Zahn-, Mund und Kieferheilkunde (Carolinum) des Klinikums der Johann Wolfgang Goethe-Universität Frankfurt, 1. Vorsitzender der NAgP und Tagungspräsident, herzlich begrüßt. Anschließend richtete Dr. Giesbert Schulz-Freywald, Vizepräsident der Landeszahnärztekammer Hessen, seine Grußworte an das Auditorium. Er stellte zum einen heraus, dass es bedeutsam sei, zahnmedizinische Themen in die breite Öffentlichkeit zu tragen und deren Verbindung zu anderen Erkrankungen herauszustellen. Zum anderen unterstrich er die Bedeutung der Fortbildung als integraler Bestandteil zahnärztlicher Professionalität.
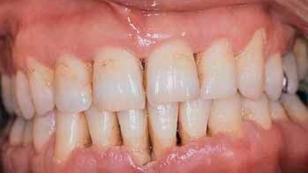
Dr. Bettina Dannewitz, Heidelberg und Frankfurt, ging auf Gingivawucherungen ein, die vielfältige Ursachen haben können (Abbildung 1). Neben Entzündungen der Gingiva sind ein genetischer Hintergrund und auch hämatologische Veränderungen als ätiologische Faktoren dieses Erkrankungsbildes beschrieben worden. Die systemische Einnahme von Medikamenten kann ebenfalls zu Gingivawucherungen führen. Dabei werden vor allem Cyclosporin, Calciumkanalblocker und Phenytoin mit dieser Parodontalerkrankung in Verbindung gebracht. Die Entstehung und der Verlauf von medikamentös-induzierten Gingivawucherungen lassen sich aber oft nicht allein durch die Einnahme von Medikamenten erklären. Bei der Pathogenese von medikamentös-induzierten Gingivawucherungen spielen weitere Faktoren eine Rolle. Dabei sind als wichtigste Risikofaktoren die bakterielle Plaque und daraus resultierend die Entzündung der Gingiva zu nennen. In vielen Fällen kann durch eine sorgfältige nicht-chirurgische antiinfektiöse Therapie eine deutliche Verbesserung und in einigen Fällen eine vollständige Remission der Wucherung erreicht werden. Falls parodontalchirurgische Maßnahmen notwendig sind, kann die externe Gingivektomie des Gewebes konventionell mit dem Skalpell oder alternativ mit einem Laser erfolgen. Da es auch nach erfolgreicher Behandlung zu einem Rezidiv der Wucherung kommen kann, ist eine regelmäßige und engmaschige Nachsorge dieser Patienten wichtig. Der Vortrag spannte elegant einen interessanten Bogen von den molekularbiologischen Hintergründen bis zur konkreten Therapie des Krankheitsbildes.
Über das sehr seltene, aber folgenschwere Papillon-Lefèvre-Syndrom (PLS) referierte Dr. Barbara Noack, Dresden. Das international gebräuchliche Klassifikationssystem in der Parodontologie basiert auf den Empfehlungen des „International Workshop for a Classification of Periodontal Diseases and Conditions“ von 1999. Parodontitiden beim Vorliegen systemischer Erkrankungen, die in einer geschwächten Wirtsabwehr resultieren und somit zu schweren parodontalen Destruktionen schon im Kindes- und Jugendalter und frühzeitigem Zahnverlust führen, werden in diesem Klassifikationssystem zur Gruppe „parodontale Manifestation systemischer Erkrankungen“ zusammengefasst. Dabei handelt es sich hauptsächlich um Bluterkrankungen mit Reduzierung der Abwehr beziehungsweise genetische Erkrankungen. Zu der letztgenannten Gruppe zählt das PLS, eine autosomal rezessive Erbkrankheit, die durch zumeist bereits im Milchgebiss beginnende aggressiv verlaufende Parodontitis, Hyperkeratosen an Hand- und Fußflächen (Abbildung 2) gekennzeichnet und auf Defekte des Cathepsin-C-Gens zurückzuführen ist. Die Erkrankung einschließlich atypischer
Verlaufsformen kann heute durch genetische Untersuchung eindeutig diagnostiziert werden. Mit einem modernen Therapiekonzept lässt sich die bisher ungünstige Prognose bezüglich des Zahnerhaltes deutlich verbessern.
Veränderungen der Mundschleimhaut
Dr. Svantje Schwaner aus dem Zentrum für Dermatologie und Venerologie des Universitätsklinikums Frankfurt gab einen umfassenden Überblick über die Effloreszenzen in der Mundschleimhaut aus dermatologischer Sicht, angefangen bei weißen Flecken, bei denen Erkrankungen wie Lichen ruber, harmlose Veränderungen wie Lingua geographica, verschiedene Infektionskrankheiten oder auch Leukoplakien als Ursache in Frage kommen. Bei blauen Flecken müssen Amalgamtätowierungen differenzialdiagnostisch vom Nävus bleu abgegrenzt werden. Bei manchmal eher rötlichen, gelegentlich bläulichen Veränderungen ist auch an Hämangiome zu denken. Bei braunen Flecken reicht das Spektrum möglicher Diagnosen von harmlosen Pigmentflecken bis hin zum malignen Melanom. Auch zu bakteriell- und virusbedingten Erkrankungen, Autoimmunerkrankungen und Aphthen, die mit Ulzerationen oder Bläschen in Erscheinung treten, sowie zu Tumoren wurden anhand einer Vielzahl klinischer Beispiele und illustriert durch beeindruckendes Bildmaterial hilfreiche Hinweise für die Praxis gegeben. Effloreszenzen, wie die hochinfektiösen syphilitischen Primäraffekte (Lues I) oder Plaques muqueuses (Lues II), treten seit einiger Zeit wieder häufiger auf und sollten auch dem Zahnarzt geläufig sein.
Oberfeldarzt Dr. Thomas Eger, Koblenz, nahm sich des gleichen Themas aus zahnärztlicher Sicht an. Auf der Grundlage der Einteilung der Mundschleimhautveränderungen nach Reichart und Philipsen stellte er anhand zahlreicher klinischer Beispiele das diagnostische und therapeutische Vorgehen bei Mundschleimhautveränderungen in seiner Klinik dar, wobei die enge Zusammenarbeit mit den Dermatologen insbesondere bei Autoimmunerkrankungen als auch mit den Mund-Kiefer-Gesichtschirurgen bei Präkanzerosen und Tumoren betont wurde. Bei Pilzerkrankungen ist neben der bekannten Candidamykose bei Immunsupprimierten zunehmend auch mit anderen Pilzen, zum Beispiel Aspergillusarten, als Krankheitsauslöser zu rechnen.
NUG und NUP
Prof. Dr. Anton Sculean, Nijmegen, befasste sich mit der Diagnostik und Therapie nekrotisierender und ulzerierender Parodontalerkrankungen (NUG und NUP). Die Ätiologie der nekrotisierenden parodontalen Erkrankungen ist noch nicht vollständig bekannt. In der Pathogenese scheinen jedoch spezifische Mikroorganismen sowie ein geschwächtes Immunsystem eine entscheidende Rolle zu spielen. Das klinische Bild der nekrotisierenden Gingivitis ist durch die für sie typischen schmerzhaften, nekrotisierenden Papillen gekennzeichnet (Abbildung 3).
Im Anfangsstadium sind die Nekrosen nur auf die Papillenspitzen beschränkt, breiten sich aber schnell nach apikal aus, was zu einem Attachmentverlust führt. Dementsprechend handelt es sich in diesem Krankheitszustand um eine nekrotisierende Parodontitis. Eine Differentialdiagnose stellt die durch das Herpes simplex Virus verursachte primäre Gingivostomatitis herpetica dar. Während der ersten Behandlungssitzung sollte nach Möglichkeit eine vorsichtige Zahnreinigung erfolgen, sowie Mundspüllösungen zur chemischen Plaquekontrolle verordnet werden. Bei eingeschränkter Nahrungsaufnahme oder reduziertem Allgemeinzustand ist die systemische Gabe von Metronidazol indiziert. Erst nach dem Abklingen der akuten Symptome sollte die initiale Parodontitistherapie mit Scaling und Wurzelglättung erfolgen. Als zusätzliche Option nach der Akuttherapie stellte er ein operatives Verfahren zur Papillenrekonstruktion vor, bei dem der Nachweis eines längerfristigen Erfolgs aber noch aussteht.
Paro-Endo-Läsionen
Dr. Beate Schacher, Frankfurt, berichtete über Paro-Endo-Läsionen. Ein gemeinsamer Ursprung und anatomisch vorgegebene Verbindungswege zwischen Parodont und Endodont haben zur Folge, dass Infektionen von einer Struktur auf die andere übergehen können. Eine sorgfältige Diagnostik und die Behandlung entsprechend eines speziellen Therapiekonzeptes sind erforderlich, um parodontal-endodontale Läsionen erfolgreich beherrschen zu können. Die Klassifikation dieser Läsionen, ihre Prognose und das in der Klinik bewährte Therapiekonzept beinhaltet wertvolle Informationen für die Umsetzung in der zahnärztlichen Praxis.
Aggressive Parodontitis
Was tun bei aggressiver Parodontitis? Die Diagnose, so Prof. Dr. Peter Eickholz, Universität Frankfurt, wird klinisch gestellt. Folgende Charakteristika sind pathognomisch: Der Patient ist abgesehen von der Parodontitis klinisch gesund, das heißt, es liegen keine Allgemeinerkrankungen vor, die die Entstehung beziehungsweise Progression einer Parodontitis begünstigen, es liegt ein rasches Fortschreiten der parodontalen Destruktion vor und es findet sich eine auffällige familiäre Häufung der Erkrankung. Dem klinisch tätigen Zahnarzt steht der Parodontale Screening Index (PSI) zur Verfügung, um seine Patienten mit vertretbarem Aufwand systematisch zu untersuchen, damit er diejenigen, die parodontal erkrankt sind, rechtzeitig identifizieren kann. Dies sollte auch bei Kinder und Jugendlichen erfolgen. In der Bundesrepublik muss unter 1 000 Jugendlichen im Alter von 16 Jahren mit mindestens einem Fall von aggressiver Parodontitis gerechnet werden. Aggressive Parodontitis kann erfolgreich therapiert werden, wenn die notwendigen diagnostischen Informationen gesammelt und geeignete Behandlungsschritte rechtzeitig eingeleitet werden. Allerdings ist die Therapie der aggressiven Parodontitiden nicht unkompliziert. Deshalb sollte nach der klinischen Diagnosestellung erwogen werden, die betreffenden Patienten für die systematische Parodontitistherapie an einen Fachzahnarzt oder Spezialisten für Parodontologie zu überweisen. Rechtzeitige und geeignete Therapie vorausgesetzt und bei guter Mitarbeit der Patienten (regelmäßige Teilnahme an der unterstützenden Parodontitistherapie), haben auch die Zähne von Patienten mit aggressiver Parodontitis eine gute Langzeitprognose.
Dr. Rita ArndtPoliklinik für ParodontologieZentrum der Zahn-, Mund- und Kieferheilkunde(Carolinum)Klinikum der Johann Wolfgang Goethe-Universität FrankfurtTheodor-Stern Kai 760590 Frankfurt




