Pleomorphes Adenom der kleinen Speicheldrüsen
Eine 46-jährige Patientin befand sich zur Extraktion des nicht mehr erhaltungsfähigen Zahnes 16 in zahnärztlicher Behandlung. Bei Inspektion des Oberkiefers imponierte eine Neubildung am Übergang vom harten zum weichen Gaumen rechts, woraufhin die Patientin in die eigene Abteilung für Mund-, Kiefer- und Gesichtschirurgie überwiesen wurde. Bei der Vorstellung ließ sich ein etwa ein Zentimeter großer, indolenter und gegen den knöchernen Gaumen schlecht verschieblicher Knoten von derber Konsistenz palpieren. Dieser war von Schleimhaut bedeckt und zeigte eine zentrale Nekrose (Abbildung 1). Die Patientin war beschwerdefrei und konnte ungestört schlucken und sprechen. Die allgemeine Anamnese war unauffällig.
Zur weiteren Abklärung wurde eine Skalpellbiopsie der Neubildung in Lokalanästhesie entnommen. Die histopathologische Begutachtung diagnostizierte ein pleomorphes Adenom ausgehend von den kleinen Speicheldrüsen des harten Gaumens.
Die Patientin wurde darauf hin stationär aufgenommen. Es erfolgte die Resektion des Tumors in Form einer großzügigen extrakapsulären Dissektion (Abbildung 2). Nach erfolgter Blutstillung und Einlage einer Aureomycin-Tamponade wurde der Resektionsdefekt zur besseren Granulation mit einer vorher im Labor angefertigten Verbandsplatte aus Kunststoff gedeckt.
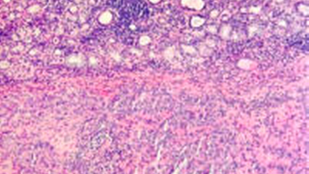
Die endgültige histopathologische Untersuchung, Dr. Stephan Schwarz, Institut für Pathologie der Universität Regensburg, bestätigte die vollständige Entfernung eines 0,7 Zentimeter großen pleomorphen Adenoms bestehend aus Epithelnestern und dazwischenliegendem Stroma mit zum Teil myxoiden und chondroiden Anteilen (Abbildungen 3a und b).
Diskussion
Das pleomorphe Adenom (Synonym: Mischtumor WHO-Tumorhistologieschlüssel ICD-O 8940/0) stellt mit einem Anteil von etwa 60 Prozent aller Neubildungen der großen und kleinen Speicheldrüsen den häufigsten Speicheldrüsentumor dar. Die jährliche Inzidenz liegt bei 2,5 bis drei Fällen auf 100 000 Einwohner. Das durchschnittliche Alter bei Auftreten der Neoplasie beträgt, wie auch im vorliegenden Falle, 46 Jahre, kann aber vom ersten bis zum zehnten Lebensjahrzehnt reichen. Etwa 80 Prozent der pleomorphen Adenome finden sich in der Gl. parotidea, zehn Prozent in der Gl. submandibularis und zehn Prozent in den kleinen Speicheldrüsen, vornehmlich am Übergang zwischen hartem und weichem Gaumen, gefolgt von Lokalisationen an Lippe und Wange [Eveson et al., 2005].
Am Gaumen ist der Tumor gekennzeichnet durch ein langsames, zumeist schmerzloses Wachstum und imponiert durch palpatorisch eher harte, unverschiebliche und gelegentlich bläulich schimmernde Auftreibungen. Wiederholte Reibung kann wie im gezeigten Falle zu Drucknekrosen der Schleimhaut führen [Ehrenfeld und Prein, 2002; Cawson et al., 1997]. Während das pleomorphe Adenom der großen Speicheldrüsen zumeist von einer bindegewebigen Kapsel umgeben ist, fehlt diese oftmals bei den Neubildungen am Gaumen oder ist, wie im aktuellen klinischen Fall, auf eine zarte Bindegewebslamelle beschränkt (Abbildung 3b). Gelegentlich ist an dieser Stelle Periost, in seltenen Fällen auch Knochen in das Geschehen mit involviert [Clauser et al., 2004].
Differentialdiagnostisch ist ein pleomorphes Adenom am Gaumen abzugrenzen von entzündlichen Prozessen, wie etwa einem Abszess ausgehend von infizierten Zysten, entzündeten Kieferhöhlen oder odontogenen Ursachen. Zu achten ist hier auf die Krankengeschichte, mögliche Entzündungszeichen und die Sensibilität der angrenzenden Zähne. Denkbar ist außerdem eine Sialadenitis oder bei entsprechenden Begleiterkrankungen auch eine Sarkoidose. Bei Prothesenträgern kann es zu morphologisch ähnlichen Druckstellen kommen. Wichtig ist die Differentialdiagnose eines malignen Speicheldrüsentumors. Am häufigsten findet man hier das adenoid-zystische Karzinom und das Mukoepidermoidkarzinom [Marx and Stern, 2003]. Mitunter können exophytische Plattenepithelkarzinome der Mundhöhle oder mesenchymale maligne Weichgewebstumoren (wie das Fibrosarkom) ähnliche Nekrosen wie im vorliegenden Falle zeigen [De Burgh Norman, 1995].
Als bildgebende Verfahren bei Raumforderungen im Bereich des harten Gaumens haben sich die Computertomographie (CT) und die Kernspintomoghraphie (MRT) etabliert. Hiermit lässt sich neben der Dimensionierung des Tumors auch eine mögliche extraparenchymale Ausbreitung oder eine Infiltration der Schädelbasis beurteilen [Ehrenfeld und Prein, 2002].
Eine sichere Diagnose unklarer Neubildungen gelingt durch Skalpellbiopsie und histologische Beurteilung (Stanzbiopsie, Probeexzision) [Machtens, 1998]. In der zahnärztlichen Praxis sollte insbesondere bei Verdacht auf einen malignen Prozess primär keine Probebiopsie entnommen werden, da dies das klinische Bild verändert sowie durch Einblutungen zur verfälschten Bildgebung führen kann und somit die Weiterbehandlung in einer Fachklinik erschwert wird [Ehrenfeld und Prein, 2002].
Histologisch imponieren pleomorphe Adenome durch ihre strukturelle Pleomorphie. Es finden sich epitheliale und myoepitheliale Zellen gemischt mit mesenchymalen mukoiden, myxoiden und chondroiden Elementen, daher auch der Name Mischtumor [Ehrenfeld und Prein, 2002]. Obwohl es sich beim pleomorphen Adenom um einen gutartigen Tumor handelt, besitzt es einige therapierelevante Besonderheiten. Beschrieben ist das gelegentliche Auftreten von Lokalrezidiven (Rezidivquote < 5 Prozent) bei inadäquater Tumorentfernung beziehungsweise reiner Enukleation des Tumors und einer damit verbundenen intraoperativen Implantation von Tumorgewebe in umgebendes Weichgewebe [Sexauer-Gerlach und Strutz, 2001]. Einen ganz wesentlichen Gesichtspunkt stellt die maligne Transformation dar, das heißt die Entstehung eines Karzinoms in einem pleomorphen Adenom [Machtens, 1998]. Sie beträgt etwa drei bis vier Prozent aller pleomorphen Adenome, wobei die Wahrscheinlichkeit mit Dauer des Bestehens ansteigt (zehn Prozent nach 15 Jahren). Charakteristisch für die maligne Transformation ist die schnelle Größenzunahme eines länger vorbestehenden Tumors. Im Falle einer Lokalisation in der Gl. parotidea kann eine zusätzliche partielle oder vollständige periphere Fazialisparese auftreten.
Pleomorphe Adenome der kleinen Speicheldrüsen am Gaumen werden, wie oben beschrieben, in Form einer großzügigen extrakapsulären Dissektion entfernt [Machtens, 1998]. Die Wunde wird dann unter einer Tiefziehplatte der sekundären Granulation überlassen [Ehrenfeld und Prein, 2002].
Dr. Tobias EttlDr. Dr. Oliver DriemelProf. Dr. Dr. Torsten E. ReichertKlinik und Poliklinik für Mund-,Kiefer- und GesichtschirurgieUniversität RegensburgFranz-Josef-Strauß-Allee 1193053 Regensburgoliver.driemel@klinik.uni-regensburg.de




