Myxom im Oberkiefer
Bei einer 35-jährigen Patientin war eine massive Auftreibung der rechten Wange aufgetreten. Anamnestisch ließ sich eine Entwicklung dieser Raumforderung über einen Zeitraum von nun fast drei Jahren nachvollziehen. Initial, als die Schwellung erstmals bemerkt wurde, war durch den behandelnden Zahnarzt von einem dentogenen Abszessgeschehen ausgegangen worden und eine antibiotische Behandlung eingeleitet worden.
Bei der Aufnahme bestand eine ausgesprochen derbe, fast kugelig imponierende Raumforderung der rechten Wange (Abbildung 1), die sich vom Oberkiefer-Vestibulum (Abbildung 2) bis nach infraorbital erstreckte. Sensibilitätsstörungen des N. infraorbitalis bestanden nicht, sämtliche durchgebrochenen Zähne des rechten Oberkiefers reagierten auf Kältereiz sensibel, allerdings waren die Molaren höchstgradig gelockert und deutlich intrudierbar. Die Panoramaübersichtsaufnahme zeigt die Osteolyse im rechten Oberkiefer und den retinierten Zahn 13 (Abbildung 3). Das Ausmaß der Raumforderung wird allerdings erst auf der CT- und MRT-Diagnostik ersichtlich (Abbildung 4 und Abbildung 5). Hier zeigt sich ein knöchern destruierend wachsender Tumor, der die rechte Kieferhöhle vollständig ausfüllt und darüber hinaus über die mediale Kieferhöhlenwand in die Nasenhöhle vorwächst. Der Tumor zeigt neben der bereits klinisch sehr auffälligen Ausbreitung zur Wange ein Wachstum nach retromaxillär. Der Orbitaboden erschien in der CT-Bildgebung zwar hochgewölbt, aber überwiegend erhalten. Auffällig war eine zum Weichgewebe sehr scharfe Abgrenzung und das Fehlen jeder inflammatorischen oder reaktiven Veränderung der Umgebung, beispielsweise in den benachbarten Zellen des Sinus ethmoidalis.
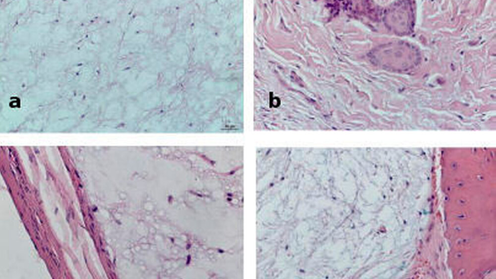
Therapeutisch erfolgte die Darstellung des Tumors über einen marginalen Zugang. Das Gewebe stellt sich nach der Eröffnung als weißlich, teilweise etwas durchscheinend dar (Abbildung 6a) und zeigte den typischen klinischen Aspekt eines myxoiden Tumors. Nach Sicherung eines Myxoms im Schnellschnitt wurde der Tumor zum Weichgewebe präparatorisch umfahren und aufgrund der erkennbaren Infiltrationstendenz zum Oberkiefer mit Sicherheitsabstand reseziert. Das Resektat zeigt die Ausdehnung des Tumors und in der Detailaufnahme den Effekt der myxoiden Differenzierung des Tumors, die sich klinisch durch eine fadenziehende Muzinbildung zeigt (Abbildungen 6 b und c). Histologisch zeigte sich das typische Bild eines Tumors mit ausgeprägtem myxoidem Stroma und eingelagerten Spindelzellen ohne Atypiezeichen sowie kleinen Gefäßen (Abbildung 7 a). Vereinzelt finden sich auch kleine Epithelinseln (Abbildung 7 b). Während zum Weichgewebe eine scharfe Abgrenzung mit Kapselbildung besteht (Abbildung 7 c), zeigt der Tumor eine ausgeprägte Infiltrationstendenz zum Knochen (Abbildung 7 d).
Diskussion
Obwohl das Myxom der Kieferknochen seit einiger Zeit überwiegend als Derivat des mesenchymalen Anteils der Zahnanlage und damit als klassischer odontogener Tumor betrachtet wird [Regezi, 2002; Sciubba et al., 2001], wurden immer wieder Zweifel an der odontogenen Herkunft dieser Tumoren geäußert. Diese Zweifel gründen im Wesentlichen auf den Unterschieden von Myxomen und Zahnanlagen hinsichtlich der Zusammensetzung der extrazellulären Matrix, dem hohen Anteil myofibroblastisch differenzierter Zellen und dem (sehr seltenen) Auftreten von Myxomen außerhalb der Kiefer-Gesichtsregion [Martinez- Mata et al., 2007]. Der topographische Be- zug zum retinierten Eckzahn, dessen Apex fast im Zentrum der Läsion liegt, passt im vorliegenden Fall allerdings sehr gut zu der Hypothese einer Entstehung aus der Zahnpapille [Sciubba et al., 2001].
durch ein sehr langsames, zumeist symptomloses Wachstum geprägt, so dass kleinere Myxome nicht selten erst als Zufallsbefund anlässlich einer Röntgenuntersuchung erkannt werden. Die klinische Manifestation, zumeist als schmerzlose Auftreibung des Knochens, betrifft vor allem Patienten in der zweiten und dritten Lebensdekade. Geradezu typisch ist das sehr unterschiedliche Verhalten gegenüber Knochen und Weichgewebe. Während der Tumor gegenüber Weichgewebe gut abgegrenzt mit einem verdrängenden Wachstum imponiert und beispielsweise die Sinusschleimhaut selbst in der unmittelbaren Tumorumgebung keine reaktiven Phänomene zeigt, besteht eine deutliche Tendenz zur tiefen Infiltration und Destruktion des Knochens, die eine Resektion mit Sicherheitsabständen erforderlich macht. Gerade wegen der geringen Wachstumsdynamik der symptomarmen Entwicklung ist eine Verwechslung von Myxomen mit einer akuten odontogenen Infektion sicher eine sehr seltene Ausnahme. Retrospektiv ließen sich im vorliegenden Fall die Umstände der diagnostischen Überlegungen nicht mehr rekonstruieren. Typischerweise entstehen solche Fehleinschätzungen aber durch die Überlagerung einer entzündlichen Erkrankung, beispielsweise einer akuten apikalen Parodontitis oder einer Perikoronitis. Die Rückbildung der entzündlichen Komponente unter entsprechender Therapie wird dann als vermeintliche Absicherung der Verdachtsdiagnose angesehen. Tatsächlich bleibt aber die unterliegende neoplastische Erkrankung unerkannt und wird erst im weiteren Progress verzögert wahrgenommen.
Daher weist der Fall für die zahnärztliche Praxis darauf hin, welche Bedeutung allein eine klinische Verlaufskontrolle für die Korrektur einer falschen Verdachtsdiagnose „odontogene Infektion“ hat. Generell gilt die Regel, dass eine akute odontogene Infektion spätestens innerhalb von zwei Wochen nach Therapie abgeklungen sein muss. Wenn dies nicht der Fall sein sollte, ist die Diagnose zu hinterfragen und eine bioptische Klärung herbeizuführen.
Dr. Dr. Ulrich SackPraxis für Mund-, Kiefer- undGesichtschirurgieZentturmstraße 664807 Dieburginfo@mkg-praxis-dr-sack.de
Prof. Dr. Dr. Martin KunkelKlinik für Mund-, Kiefer- und plastischeGesichtschirurgieKnappschaftskrankenhausBochum Langendreer, UniversitätsklinikRuhr Universität BochumIn der Schornau 23-2544892 Bochummartin.kunkel@ruhr-uni-bochum.de




