Radikuläre Zyste im Oberkiefer bei einem Jungen mit Wechselgebiss
Ein neunjähriger Patient in gutem Allgemein- und Ernährungszustand stellte sich in Begleitung seiner Eltern in unserer Poliklinik für Mund-, Kiefer- und Gesichtschirurgie mit seit mehreren Wochen bestehender Schwellung im Bereich des Oberkiefers links vor, die im Rahmen einer zahnärztlichen Routineuntersuchung aufgefallen war.
Bei der extraoralen Untersuchung zeigten sich keine Auffälligkeiten. Die linke Wange war weder geschwollen, überwärmt, berührungs- oder druckempfindlich. Eine Sensibilitätsstörung im Ausbreitungsbereich des linken Nervus infraorbitalis war nicht festzustellen. Es lag ein konservierend versorgtes altersnormales Wechselgebiss vor. Von regio 22 bis 26 zeigte sich eine derbe, nicht druckdolente Auftreibung. Die bleibenden Zähne 21, 22 und 26 waren vital, die Zähne 23 und 25 waren noch nicht durchgebrochen, Zahn 24 reagierte verzögert auf den Kältereiz. In einer extern durchgeführten Panoramaschichtaufnahme stellte sich eine von regio 22 bis 26 reichende rundliche, scharf begrenzte zystische Raumforderung mit feinem Sklerosierungssaum dar (Abbildung 1). Die zu dem Befund in Kontakt stehenden Zähne 22 und 24 wiesen zudem deutliche Resorptionen an den Wurzelspitzen auf. Aufgrund des Befundes wurde zur weiteren Darstellung und Planung der Operation eine digitale Volumentomographie durchgeführt (Abbildung 2). Es zeigte sich eine die Kieferhöhle verdrängende Zyste, die von einer dünnen knöchernen Lamelle bedeckt war und die Kronen der nicht durchgebrochenen Zähne 23 und 25 beherbergte.
In der darauf folgenden Operation wurde, nach Extraktion der Milchzähne, über eine marginale Schnittführung die faziale Kieferhöhlenwand dargestellt. Diese war in regio 24 durch die Zyste bereits perforiert (Abbildung 3). Das zystische Gewebe wurde entfernt und vor dem Hintergrund des Versuchs die retinierten Zähne zu erhalten, eine Zystostomie durchgeführt, so dass im Folgezeitraum eine engmaschige Kontrolle mit Offenhalten des Zugangs durch ein Obturator-System erfolgen konnte.
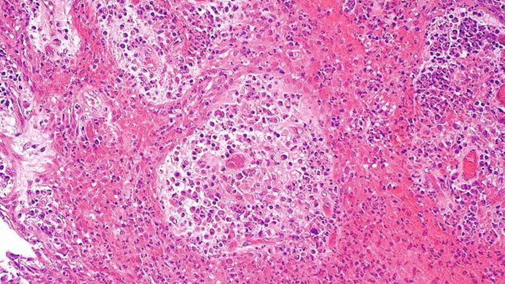
Die pathohistologische Untersuchung erbrachte die Diagnose einer radikulären Zyste (Abbildungen 4 und 5).
Die radikuläre Zyste ist eine entzündlich bedingte, in der Regel periapikal gelegene odontogene Zyste, die durch Proliferation der Malassez’schen Epithelreste, Reste der Hertwig-Epithelscheide oder seltener des Saumepitheles in ein apikales Granulom hinein gekennzeichnet ist [Regezi JA et al., 2003]. Die radikuläre Zyste ist mit 85 Prozent die am häufigsten vorkommende odontogene Zyste und kommt im Oberkiefer etwa doppelt so häufig zu liegen, wie im Unterkiefer [Tortorici S et al., 2007]. Radiologisch stellen sich radikuläre Zysten meist als relativ scharf begrenzte Aufhellungen mit Randsklerose dar.
Differentialdiagnostisch ist neben der follikulären Zyste, die sich durch ein perikoronales Wachstum an retinierten Zähnen, zum Beispiel in absteigender Häufigkeit an Weisheitszähnen, Eckzähnen und seltener an Prämolaren, auszeichnet, an Keratozysten oder odontogene Tumoren, wie das Ameloblastom, zu denken [Walter C., Kunkel M., 2005; Neville et al., 2001] . In seltenen Fällen wird sogar über die Entstehung eines Plattenepithelkarzinomes in einer radikulären Zyste berichtet. Aus diesem Grund sollte das bei der Operation gewonnene Gewebe pathologisch untersucht werden.
Nach dem Erstbeschreiber Partsch werden zwei Arten der Zystenbehandlung unterschieden. Bei der Zystektomie wird der komplette Zystenbalg mit Zysteninhalt entfernt (Partsch II), bei der Zystostomie (Partsch I) wird das Lumen der Zyste großflächig eröffnet, womit sich eine Nebenbucht, zum Beispiel der Mundhöhle, ergibt [Howaldt H-P, Schmelzeisen R, 2002].
Im vorliegenden Fall war der Patient bereits durch eine Schwellung und nicht durch die später sicherlich zu vermutende Zahndurchbruchsstörung auffällig geworden. Aufgrund der klinischen und radiologischen Gegebenheiten kam hier, neben einer von den Milchzähnen ausgehenden radikulären Zyste, eine follikuläre Zyste von den retinierten Zähnen 23 und 25 in Frage. In der digitalen Volumentomographie zeigte sich eine klare knöcherne Abgrenzung des Zystenlumens von der Kieferhöhle, so dass bei Versuch des Erhalts aller bleibenden Zähne der Entschluss zur Zystostomie gefasst wurde. Im Follow-up sollte der Durchbruch der Zähne 23 und 25 überwacht werden.
Für die zahnärztliche Praxis soll jedoch nochmals darauf hingewiesen werden, dass Zysten auch von Zähnen der ersten Dentition ausgehen können, und dass zystische Befunde der histologischen Abklärung bedürfen.
Sami EletrDr. Dr. Christian WalterProf. Dr. Dr. Wilfried WagnerKlinik für Mund-, Kiefer-, GesichtschirurgieJohannes Gutenberg-Universität MainzAugustusplatz 255131 MainzEletr@mkg.klinik.uni-mainz.de




