Bilaterales Zystadenolymphom der Glandula Parotis
Kasuistik
Ein 59-jähriger Patient stellte sich mit einer linksseitigen Schwellung in der Parotisregion vor. Auf Nachfrage ließ sich eruieren, dass diese Raumforderung seit zirka fünf Jahren bestand und langsam an Größe zugenommen hatte. Der zuweisende Zahnarzt hatte den Patienten endlich dazu bewegen können, die Ursache der Raumforderung weiter untersuchen zu lassen. Anamnestisch berichtete der Patient über einen insulinunabhängigen Diabetes mellitus und eine Nephrolithiasis.
Bei der klinischen Untersuchung lag eine infraaurikuläre, von der Konsistenz derbe, etwa pflaumengroße Schwellung vor, die nicht druckdolent war. Sensibilitätsstörungen oder motorische Defizite des N. fazialis bestanden nicht. Die Hauttextur über der Raumforderung zeigte Teleangiektasien (Abbildung 1). Bei der gezielten palpatorischen Untersuchung fiel auch eine Knotenbildung im Bereich der kontralateralen rechten Parotis auf. Sonografisch (Abbildungen 2 a bis d) zeigten sich gut abgegrenzte, links bis über vier Zentimeter durchmessende, überwiegend echoarme Tumoren mit multiplen Binnengefäßen, die teilweise eine korb- beziehungsweise kelchartige Anordnung zeigten. In anderen Tumoranteilen zeigten sich kleine zystische Formationen. Die Computertomografie (Abbildungen 3 a und b) zeigte die grundsätzlich gleichen morphologischen Verhältnisse.
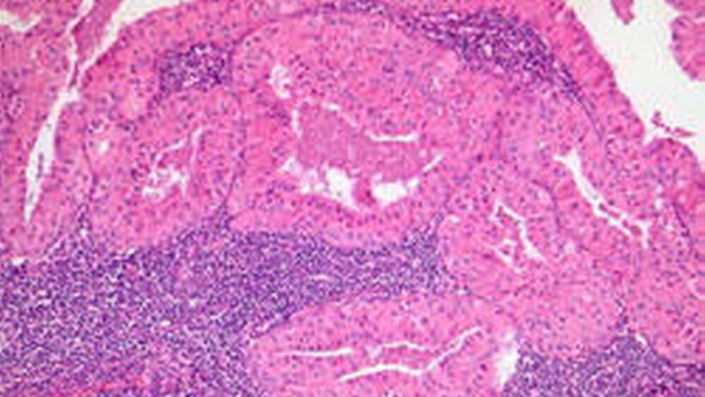
Therapeutisch erfolgte die operative Entfernung im Sinne einer bilateralen konservativen Parotidektomie. Entsprechend der Bildgebungsbefunde erwiesen sich die Tumoren als gut begrenzt mit straffer Kapsel (Abbildung 4). Im Anschnitt der Tumoren imponierte eine grau-braune fast granulär erscheinende Oberfläche mit kleinherdigen zystischen Anteilen (Abbildung 5). Histologisch zeigte sich das typische Bild eines Zystadenolymphoms mit einem zweireihigen onkozytären Epithel. Als weiteres charakteristisches morphologisches Merkmal finden sich ausgeprägte Zonen lymphatischen Gewebes (Abbildung 6).
Das histologische Bild wurde vom Institut für Pathologie der Ruhr-Universität Bochum (Direktorin: Fr. Prof. Dr. A. Tannapfel) zur Verfügung gestellt.
Diskussion
Das Zystadenolymphom ist mit rund 15 Prozent der zweithäufigste Tumor der Gl. Parotis. Aktuell werden vor allem zwei Ansätze für die Entstehung dieser Entität diskutiert, wobei die wissenschaftliche Diskussion noch nicht zu einem Konsens geführt werden konnte.
Die erste Hypothese versteht den Warthin- Tumor als Adenom mit begleitendem Lymphozyteninfiltrat. Hierbei werden die zuerst auftretenden epithelialen Konglomerate als echte neoplastische Komponente angesehen. Honda und Mitarbeiter konnten jedoch zeigen, dass sowohl epitheliale als auch lymphatische Anteile polyklonal in ihrer Herkunft sind und somit eine echte Neoplasie, zumindest wenn sie als monoklonaler Prozess einer entarteten Stammzelle begriffen wird, nicht vorliegt [Honda, 2000]. Der zweite Erklärungsansatz geht auf die Thesen von Albrecht und Arzt aus dem Jahre 1910 zurück, die das Zystadenolymphom letztlich als heterotop versprengtes Drüsengewebe in intraglandulär gelegenen Lymphknoten betrachten [Teymoortash, 2006]. Zur causalen Pathogenese des Warthin Tumors ist relativ wenig bekannt. Raucher haben ein achtfach größeres Risiko, ein Zystadenolymphom zu entwickeln als Nichtraucher [Yu et al., 1998]. Es wurde aber auch über Assoziationen mit dem Eppstein- Barr Virus und HIV-Infektionen berichtet [Teymoortasch und Werner, 2005].
Als Besonderheit des Warthin Tumors gilt das simultane oder metachrone Auftreten von Zweittumoren, die, wie im vorliegenden Fall, als bilaterale Parotis-Raumforderung imponieren können. Zur Diagnostik und in der Nachsorge von Speicheldrüsentumoren stellt heute die Sonografie die Methode der Wahl dar. Lediglich bei ausgedehnten Befunden, Mehrfachbefunden und unklaren anatomischen Verhältnissen können zusätzliche Schichtbildverfahren relevante ergänzende Informationen bieten. Die Resektion im Sinne einer konservativen Parotidektomie stellt die Therapie der Wahl dar und eine Schonung des N. facialis unter Darstellung der Fazialisäste ist meistens möglich. Rezidive sind selten, können aber von versprengtem Gewebe innerhalb des Drüsenparenchyms ausgehen.
Die langjährige Anamnese, hier fünf Jahre, ist typisch und offenbart ein gravierendes Problem in der Einschätzung und klinischen Bewertung von Speicheldrüsentumoren. Durch den zumeist kräftigen Weichgewebsmantel entgehen diese Tumoren lange der klinischen Diagnostik und außerdem unterbleibt auch nach der ersten Wahrnehmung nicht selten eine konsequente weitere Klärung der Entität. Wenn es sich dann unglücklicherweise um ein adenoid-zystisches Karzinom handelt, das gleichermaßen ein sehr langsames und lange symptomarmes Wachstum zeigt, dann kann eine solche Therapieverzögerung schwerwiegende Folgen haben.
Für die zahnärztliche Praxis soll dieser Fall an die Bedeutung der extraoralen klinischen Untersuchung erinnern und darauf aufmerksam machen, die diagnostische Aufmerksamkeit auch auf die äußeren Kopfspeicheldrüsen zu richten. Die großen Speicheldrüsen sind Anhangsgebilde der Mundhöhle und betreffen daher unmittelbar das Arbeitsgebiet des Zahnarztes als Spezialist für orale Medizin.
Tarik MizzianiProf. Dr. Dr. Martin KunkelKlinik für Mund-, Kiefer- undplastische GesichtschirurgieRuhr-Universität BochumKnappschaftskrankenhausBochum-LangendreerIn der Schornau 23-2544892 Bochummartin.kunkel@ruhr-uni-bochum.de




