Schwellung der Oberlippe durch benignes chondroides Syringom
Ein 30-jähriger, männlicher Patient ohne weitere Allgemeinerkrankungen wurde uns zur weiteren Abklärung einer etwa kirschgroßen, nicht schmerzhaften Schwellung der linken Oberlippe vorgestellt. Der Patient berichtet über eine geringgradige Größenprogredienz in den letzten Jahren ohne Beschwerdesymptomatik. Anamnestische Hinweise für das Vorliegen einer B-Symptomatik wie Fieber, Nachtschweiß oder Gewichtsverlust lagen nicht vor. Die klinische Untersuchung zeigte keine Entzündungszeichen sowie keine Einschränkung der Motorik und Sensorik im Gesichtsbereich. Im Tastbefund präsentierte sich ein etwa 1,5 cm großer, nicht druckschmerzhafter und zur Unterlage gut verschieblicher, derber Tumor vestibulär im Bereich der linken Oberlippe (Abbildung 1).
In der anschließenden Bildgebung zeigte sich in der B-Mode-Sonographie (Abbildung 2) eine etwa 12 x 20 mm große, scharf begrenzte, komprimierbare Raumforderung mit inhomogenem Binnenecho und dorsal mit Echoverstärkung bis auf die knöcherne Unterlage (Abbildung 2a) bei fehlender Durchblutung im Dopplermode (Abbildung 2b). Die weitere sonographische Untersuchung im Kopf- und Halsbereich war insbesondere hinsichtlich der Lymphknoten unauffällig.
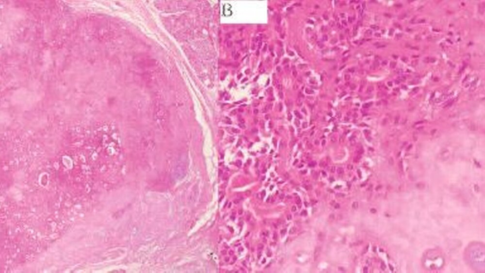
Beim enoralen Zugang ließ sich der Befund gut aus dem umliegenden Gewebe in toto herausschälen und zeigte eine kapselartige Begrenzung (Abbildung 3). Die histopathologische Aufarbeitung des Präparats erbrachte die Diagnose eines chondroiden Syringoms (Abbildung 4). Aufgrund der bekannten Diagnose wurden zum Ausschluss von Metastasen ein Röntgenthorax sowie eine sonographische Untersuchung des Abdomens durchgeführt, die beide ohne pathologischen Befund waren.
Diskussion
Das chondroide Syringom ist ein seltener benigner Adnextumor der Haut, dessen Erstbeschreibung auf Billroth 1859 zurückgeht. Da dieser Schweißdrüsentumor histologisch sowohl epitheliale als auch mesenchymale Komponenten aufweist, wurde früher die Bezeichnung Mischtumor der Haut als Synonym verwendet. Das chondroide Syringom scheint ein Tumor epithelialen Ursprungs zu sein, der sekundäre mesenchymale Veränderungen aufweist. Histologisch besitzt das chondroide Syringom eine große Ähnlichkeit zum pleomorphen Adenom der Speicheldrüse [D. Süsskind et al. 2008; R. Sivamani et al. 2006].
Klinisch tritt das chondroide Syringom meist als derber, intra- oder subkuntan gelegener hautfarbener Tumor von 0,5 bis 3 cm Durchmesser auf. Der Tumor ist gekennzeichnet durch sein sehr langsames, asymptomatisches, verdrängendes Wachstum und ist palpatorisch, wie im vorliegenden Fall, gut verschieblich zur Unterlage. Die typische Lokalisation des chondroiden Syringoms ist die Kopf- und Halsregion, insbesondere im Bereich der Wange, Nase und Oberlippe [P. Altmeyer 2005]. Es tritt bevorzugt bei Männern mittleren Alters auf, wobei die Häufigkeit unter den Hauttumoren in der Literatur mit bis zu etwa 0,1 Prozent angegeben wird [R. Yavuzer et al. 2003]. Differentialdiagnostisch kommen neben häufigen benignen Tumoren der Haut, wie Dermoid- oder Talgzysten, entzündlich bedingte Granulome und seborrhoische Keratosen, seltene Tumoren wie Neurofibrome, Neurinome, das Dermatofirbom oder das Histozystom in Frage. Besondere differentialdiagnostische Bedeutung kommt den maligen Hauttumoren wie dem Basalzellkarzinom sowie der sehr seltenen malignen Form des chondroiden Syringoms zu [D. Süsskind et al. 2008; R. Sivamani et al. 2006].
Im Gegensatz zum benignen tritt das maligne chondroide Syringom besonders im Bereich der Extremitäten auf und betrifft Frauen häufiger als Männer. Bereits zum Zeitpunkt der Erstdiagnose bestehen häufig Lymphknoten- oder Fernmetastasen. Eine histologische Differenzierung zum benignen chondroiden Syringom ist jedoch nicht immer einfach. Zytologische Atypien, infiltrative Ränder, Tumorsatelliten, Nekrosen und eine Einbeziehung tiefer liegender Strukturen können Anzeichen eines malignen Wachstums sein. In der Literatur werden Fälle beschrieben, bei denen zum Beispiel trotz des Fehlens von Malignitätszeichen, wie hohe Mitoseraten oder nukleäre Pleomorphien, Metastasierungen bestehen, so dass das maligne Potential des chondroide Syringoms bisher nicht sicher von dem histologischen Erscheinungsbild abgeleitet werden kann [E. Ishimura et al. 1983].
Therapie der Wahl ist die vollständige Exzision des Tumors im Gesunden, wobei die Rezidivtendenz als gering einzustufen ist. Der klinische Fall soll auf die zahlreichen Varianten von Weichgewebstumoren in der unmittelbaren Umgebung der perioralen Region hinweisen, wobei unklare Raumforderungen stets einer histologischen Abklärung bedürfen, um ein malignes Geschehen auszuschließen.
Keyvan SaghebDr. Dr. Christian WalterProf. Dr. Dr. Wilfried WagnerKlinik für Mund-, Kiefer- und GesichtschirurgieKlinikum der Johannes Gutenberg-UniversitätAugustusplatz 255131 Mainzsagheb@mkg.klinik.uni-mainz.de




