Retromaxilläre venöse Malformation
Eine 75-jährige Patientin stellte sich nach einem Sturzereignis mit dem Verdacht auf eine nicht dislozierte Jochbeinfraktur vor. Der klinische Untersuchungsbefund ergab eine Druckdolenz im Bereich des Jochbeins und ein Monokelhämatom links. Einschränkungen der Sensibilität oder Okklusionsstörungen bestanden nicht. Die dreidimensionale radiologische Bildgebung des Gesichtsschädels ergab zwar keine frische knöcherne Verletzung, allerdings war die linke dorsale Kieferhöhlenwand deutlich in den Sinus vorgewölbt (Abbildungen 1 a+b). Die Knochenlamelle selbst war intakt und die Sinus-Schleimhaut zeigte keine primären oder reaktiven Veränderungen.
Zwischen dem M. pterygoideus medialis und dem Oberkiefer ließ sich auch auf der zur knöchernen Diagnostik optimierten Darstellung eine retromaxilläre Raumforderung erkennen. Auch auf spezifische Nachfrage gab die Patientin keine anamnestische oder klinische Symptomatik an, die einen Zusammenhang mit dieser Raumforderung haben könnte.
Die weitergehende Diagnostik (Computertomographie mit Kontrastmittel) zeigte dann eine glatt begrenzte, ovaläre, über 3,5 cm durchmessende Raumforderung mit mäßiger Kontrastmittelaufnahme und kleinen fokalen Kalzifikationen (Abbildungen 2 a+b). Die vollständig erhaltene aber deformierte Knochenlamelle der dorsalen Kieferhöhlenwand ließ erwarten, dass es sich um eine langsam wachsende Läsion handelt.
Die Entfernung des Befundes erfolgte in Intubationsnarkose von intraoral über eine marginale Inzision im Bereich des linken Oberkiefers. Intraoperativ stellte sich der Tumor als bekapseltes Gefäßkonvolut dar, so dass hieraus die klinische Diagnose einer vaskulären Malformation zu stellen war. Der Tumor ließ sich aus dem lockeren retromaxillären Gewebe mobilisieren und in toto unter Ligatur des dorsalen Gefäßstiels entwickeln (Abbildung 3). Im Anschnitt (Abbildung 4 ), nach dem Exprimieren und Abspülen des Blutes, zeigt sich das maschenartige Gebilde aus zahlreichen lakunären Gefäß-Räumen unterschiedlicher Kaliber und damit ein typisches Bild einer vaskulären Malformation.
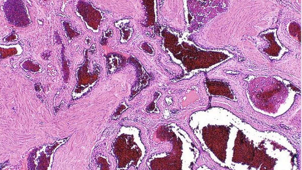
Histologisch bestätigte sich diese Diagnose anhand eines schwammartigen Aufbaus aus großen sinusoidalen Bluträumen mit endothelialer Auskleidung ohne atypische oder proliferierende Zellen. Eine weiterführende Therapie war damit nicht erforderlich.
Diskussion
Vaskuläre Malformationen sind anlagebedingte Fehlbildungen aus dysmorphen Gefäßstrukturen ohne zelluläre Proliferation. Die Klinik, die Histomorphologie und insbesondere die Bedeutung der Abgrenzung zu den echten Gefäßtumoren sind mehrfach im Rahmen dieser Fortbildungsserie besprochen worden.
Die Bedeutung des vorliegenden Falles liegt vor allem in der Tatsache, dass die Läsion als Zufallsbefund bei einer primär auf die knöcherne Darstellung hin optimierten Bildgebung beobachtet wurde. Der Umfang der Darstellung und der Modus der Bildgebung entsprechen dabei fast exakt der DVT- Diagnostik des Gesichtsschädels, die aktuell in zahlreichen Anwendungen Einzug in die zahnärztliche Praxis hält. Tatsächlich wird mit der Einführung der DVT-Diagnostik der Zahnarzt mit einer hohen Zahl relevanter Zufallsbefunde im Rahmen der Bildgebung konfrontiert. Die Rate der Zufallsbefunde in der radiologischen Schnittbilddiagnostik schwankt dabei abhängig von Patienten- kollektiv, Alter und Lokalisationen je nach Studie zwischen 3 Prozent und über 40 Prozent (Paluska et al. 2007; Jacobs et al. 2008). Auch wenn solche Befunde im Kopf- und Halsgebiet seltener sind als in der Bauch- und Beckenregion, liegt die Besonderheit der DVT-Diagnostik in der speziellen zahnärztlichen Fachkunde. Im Gegensatz zu den Computertomographien anderer Körperregionen, die typischerweise von einem Facharzt für Radiologie erstellt und verantwortlich befundet werden, erlaubt die zahnärztliche „Fachkunde DVT“ die selbstständige Indikationsstellung, Durchführung und Auswertung dreidimensionaler Datensätze durch den Zahnarzt.
Mit der Anwendung der DVT-Diagnostik in der Zahnheilkunde übernimmt der Zahnarzt aber auch gemäß der Röntgenverordnung zwangsläufig die Verantwortung für die Befundung des gesamten Bilddatensatzes. Diese Verantwortung gilt unabhängig von der primären Fragestellung (beispielsweise der Dimension des Alveolarfortsatzes vor Implantation oder der Lagebeziehung des Weisheitszahns zum N. alveolaris) auch immer für alle in den anderen Abschnitten des Datensatzes erfassten Regionen, wie beispielsweise die Anteile der Schädelbasis oder des Nasen-Nebenhöhlensystems. Die Verantwortung bezieht sich dabei in gleichem Maße auf direkt sichtbare knöcherne Läsionen oder auch, wie im vorliegenden Fall, auf umgebende Weichgewebsstrukturen. Es obliegt dem befundenden Zahnarzt genauso wie dem ansonsten mit der Auswertung befassten Radiologen, solche Läsionen zu erkennen und die notwendigen weiteren Untersuchungen oder Therapiemaßnahmen zu veranlassen, unabhängig davon, ob es sich um ein Krankheitsbild handelt, mit dem die Zahnheilkunde originär vertraut ist.
Während für die „klassischen“ gebietsbezogenen Röntgenaufnahmen (OPG/Zahnfilm) in der Zahnheilkunde durch die Eingrenzung auf das unmittelbare Arbeitsgebiet des Zahnarztes durchgehend umfassende Kenntnisse in der Röntgen-Morphologie und der Klinik der korrespondierenden Krankheitsentitäten vorhanden sind (und auch durch die Ausbildung strukturiert vermittelt werden), müssen diese Kenntnisse für die angrenzenden anatomischen Gebiete häufig gesondert erworben werden.
Für die zahnärztliche Praxis veranschaulicht der Fall daher, dass die 3-D-Diagnostik nicht nur neue Möglichkeiten, sondern auch neue Verantwortlichkeiten in die Zahnheilkunde trägt.
Patrick SchönProf. Dr. Dr. Martin KunkelKlinik für Mund-, Kiefer- und plastische GesichtschirurgieRuhr-Universität BochumKnappschaftskrankenhaus Bochum-LangendreerIn der Schornau 23-2544892 Bochumpatrick.schoen@ruhr-uni-bochum.demartin.kunkel@ruhr-uni-bochum.de
LiteraturThomas R. Paluska, MD, FAAEM, Michael J.Sise, MD, FACS, Daniel I. Sack, BA, C. Beth SiseJD, RN, Michael C. Egan MD, FACS, MichaelBiondi, MD Incidental CT Findings in TraumaPatients: Incidence and Implications forCare of the Injured. J Trauma 2007; 62:157-161.Peter C.A. Jacobs, MD, Willem P.Th.M. Mali,MD, Diederick E.Grobbee, MD, PhD, Yolandavan der Graaf, MD, PhD Prevalence of IncidentalFindings in Computed TomographicScreening of the Chest: A Systemic Review JComput Assist Tomogr 2008; 32:214-221.




