Infektion durch nichttuberkulöse Mykobakterien
Ein vierjähriger Junge wurde im April 2009 von seinen Eltern aufgrund einer präaurikulären Raumforderung im Bereich der Glandula parotis rechts sowie einer cervicalen Raumforderung der rechten Seite vorgestellt.
Anamnestisch war seit Februar des letzten Jahres die besagte Schwellung zusammen mit einer anfangs erhöhten Körpertemperatur aufgefallen. Trotz durchgeführter Impfung gegen Masern-Mumps-Röteln (MMR) im Alter von zwölf und 14 Monaten wurde alio loco die klinische Verdachtsdiagnose Mumps getroffen. Neben der Anwendung schmerzlindernder und fiebersenkender Maßnahmen war daher vorerst keine Therapie für notwendig erachtet worden. Fünf Wochen später war ein Abszess in der Ohrfalte rechts erschienen, der dreimal in Folge alio loco frustran punktiert worden war. Nach einem Sturz auf das Ohr sei es zu einer Abszesseröffnung mit Entleerung von Eiter und Blut gekommen. Die Lymphknoten retroaurikulär rechts seien ebenfalls deutlich tastbar gewesen. Im April des letzten Jahres erfolgte daher alio loco eine selektive Lymphknotenextirpation. Die Histologie ergab eine epitheloid riesenzellige granulomatöse Lyphadenitis mit käsiger Nekrose und Granulozyteninfiltraten. Da dieser Befund mit einer nichttuberkulösen („atypischen“) Mykobakteriose vereinbar ist, wurde eine mikrobiologische Analyse durchgeführt, die den Nachweis des säurefesten Stäbchen Mycobacterium avium, einem „atypischen“, besser nichttuberkulösem Mykobakterium (mycobacteria other than tuberculosis (MOTT)) erbringen konnte. Aufgrund der Gefahr der Schädigung des N. facialis wurde dort auf eine Sanierung des Primärherdes verzichtet und im Juni des vergangenen Jahres eine chemotherapeutische Therapie mit Clarithromycin und Rifabutin begonnen. Im Zuge dieser Therapie nahm die Haut ein gelbliches Kolorit ohne Skleren-ikterus an. Der Urin verfärbte sich braun. Die aufgrund der hepatischen Gefährdung durch Antibiotika unternommenen, regelmäßigen Laboruntersuchungen zeigten lediglich eine leichte GOT-Erhöhung und eine dezente Leukopenie.
Trotz medikamentöser Therapie kam es nach einer anfänglichen Besserung zu einer Größenzunahme des nun exophytisch wachsenden, druckindolenten Befundes (Abbildung 1 a und 1 b) und zum Auftreten eines weiteren submandibulären Herdes (Abbildung 2). Mit dieser klinischen Situation wurde der Junge in unserer Klinik vorstellig und der Entschluss zur Exstirpation gefasst.
Der kleine Patient zeigte am Tag der Aufnahme einen guten Allgemein- und einen eutrophen Ernährungszustand ohne weitere Erkrankungen. Das Hautkolorit war gelblich-orange. Lymphknoten waren präaurikulär rechts mit zwei mal ein Zentimeter und ein mal ein Zentimeter cervical im Kieferwinkel rechts palpierbar. In der Ultraschalluntersuchung konnte eine inhomogene, verwaschene Strukturveränderung am Unterrand der Glandula parotis, vereinbar mit einer Einschmelzung (Abbildung 3 a), sowie vergrößerte, teilweise verbackene, kugelige Lymphknoten mit deutlichem Hiluszeichen dargestellt werden (Abbildung 3 b).
Die Operation wurde in Intubationsnarkose über einen präaurikulären Zugang, eine retromandibuläre Fortsetzung und Entlastung in einer submandibulären Hautfalte vorgenommen. Hierbei wurde ein besonderes Augenmerk auf das Monitoring des N. facialis gelegt (Abbildung 4), der komplett erhalten werden konnte. Der Befund und die daran verbackenen Lymphknotenpakete (Abbildung 5) wurden komplett entfernt. Die Wunde wurde mehrschichtig genäht (Abbildung 6).
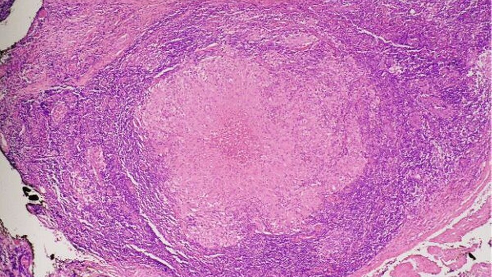
Das Ergebnis der pathohistologischen Untersuchung war vereinbar mit einer Infektion mit nichttuberkulösen Mycobakterien (Abbildung 7 a und 7 b), die mikrobiologische Analyse konnte, wohl durch die antibiotische Vorbehandlung bedingt, diesen Befund jedoch nicht mehr bestätigen.
Die antibiotische Therapie wurde nach Rücksprache mit dem behandelnden Arzt für weitere drei Monate durchgeführt. Der Patient ist seitdem beschwerdefrei.
Diskussion
Mykobakterien stellen eine Bakteriengattung dar, die aus mehr als 100 Unterarten besteht. Zu ihnen gehören typische menschliche Krankheitserreger wie die auf Wirte angewiesenen, obligat intrazellulär wachsenden Mykobakterium tuberkulosis und Mykobakterium leprae aber auch apathogene, nicht-tuberkulöse Mykobakterien (MOTT). Diese sind in der Natur weit verbreitet und können aus dem Erdboden, Wasser, Hausstaub und aus Nahrung (Eier, frischer Milch, Gemüse) isoliert werden. Tiere sind mögliche Keimträger. Die häufigsten Infektionserreger aus dieser Gruppe sind Mykobacterium avium, Mykobacterium scrofulaceum und Mykobacterium kansasii [Wolinsky, 1995]. Üblicherweise, wie auch beim vorliegenden Fall, ist die Eintrittsstelle nicht erkennbar, doch kann sich der Erreger über Hautverletzungen, durch den Orodigestivtrakt und über die Konjunktiva Zutritt in den menschlichen Organismus verschaffen [Cox et al., 1995]. Obwohl häufiger bei Erwachsenen beobachtet, sind bis zu 90 Prozent aller kindlichen chronischen cervicalen Lymphadenitiden auf derartige Erreger kausativ zurückzuführen [Danielides et al., 2002]. Hier liegt der Altersgipfel bei ein bis fünf Jahren [Tunkel, Romaneschi, 1995].
Klinisch präsentiert sich eine Infektion gewöhnlich, wie in dem Fallbeispiel, als unilaterale, schmerzlose, solide, schnell wachsende und aus Lymphknoten bestehende Raumforderung, die typischerweise kraniozervikal oder präaurikulär auftritt. Die extranodale Ausbreitung kann sowohl aus einer Haut- und Weichgewebsbeteiligung als auch in einer Infiltration des submandibulären und parotidalen Drüsengewebes bestehen [Tunkel, Romaneschi, 1995]. Eine Fistelung mit Entleerung von Pus, wie im vorliegenden Fall, ist typisch. Betroffene Kinder zeigen außer einer initialen Fieberepisode oft keine systemischen Beschwerden. Blutuntersuchungen sind meist unauffällig, Röntgenuntersuchungen des Thorax sind ohne Anhalt auf Pathologien [Shah, Haddad, 2004]. Der mikrobiologische Nachweis der Bakterien über eine Ziehl-Neelsen-Färbung ist oft nicht sensitiv genug (positive Ergebnisse in 50 bis 85 Prozent der Fälle [Huebner et al., 1992]; analog im präsentierten Fall der fehlende mikrobiologische Nachweis nach der Operation), der positive intradermale Hauttest mit spezifischen Antigenen wird kontrovers diskutiert, kann aber die Diagnose bestätigen [Saggese et al., 2003]. Typische, aber nicht spezifische, histopathologische Zeichen sind Granulome mit oder ohne zentrale Verkäsung sowie Epitheloidzellen und mehrkernige Riesenzellen vom Langhans-Typ.
Da Mykobakterien nach Phagozytose durch Leukozyten weiter persistieren können, wird die medikamentöse Therapie fokussiert auf intrazellulär wirksame Substanzen. Clarithromycin, allein oder in Kombination mit anderen antibiotischen Substanzen wie Rifampicin, Rifabutin oder Ethambutol ist möglich [Rubin et al., 1982], allerdings existieren keine kontrollierten Studien, die die Effizienz dieser Behandlung bei der MOTT-Lymphadentitis im Kindesalter belegen [Zeharia et al., 2008]. Die empfohlene Therapie ist chirurgisch [Lindeboom et al, 2007]. Eine präoperative antibiotische Behandlung kann die Größe der zu exzidierenden Läsion reduzieren und die Entzündungsreaktion abmildern [Shah, Haddad, 2004]. Chirurgisch werden alle betroffenen Lymphknoten sowie die verfärbte und atrophische Haut entfernt. Sollte eine Speicheldrüse, besonders die Parotis, betroffen sein, wird eine entsprechende Form der Parotidektomie empfohlen. Bei kompletter Exzision des betroffenen Gewebes ist die Prognose sehr gut. Eine postoperative Antibiose, wie in dem beschriebenen Fall, kann das Rezidivrisiko noch weiter verringern, ist aber nicht unbedingt nötig.
Die Differentialdiagnose beinhaltet akute virale und bakterielle Infektionen, eine tuberkulöse Adenitis, die Katzenkratzkrankheit, Aktinomykose, infektiöse Mononukleose, Mumps sowie benigne und maligne Tumore.
Dr. Peer W. Kämmerer, PD Dr. Torsten Hansen,
Prof. Dr. Dr. Bilal Al-Nawas
Klinik für Mund-, Kiefer- und Gesichtschirurgie
und Institut für Pathologie
Universitätsmedizin der Johannes Gutenberg-
Universität Mainz
Augustusplatz 2, 55131 Mainz
E-Mail:




