Lymphangiom
Ein zehnjähriger Junge wurde aufgrund einer Schwellung im Bereich der linken Wange zur diagnostischen Abklärung und Therapie in die Klinik für Mund-, Kiefer- und Gesichtschirurgie Regensburg überwiesen. Anamnestisch war zu eruieren, dass bereits zwei Jahre zuvor im Bereich der linken Wange ein Lymphangiom entfernt wurde. Der Patient berichtete über das unregelmäßige An- und Abschwellen der entsprechenden Weichgewebe, wobei er vor allem bei körperlicher Anstrengung eine Volumenzunahme bemerkte.
Bei der klinischen Inspektion imponierte extraoral linksseitig eine etwa 5 x 4 cm große, gut abgrenzbare, komprimierbare und gerötete Schwellung von prallelastischer Konsistenz und mäßiger Druckdolenz im Bereich der Wange (Abbildung 1). Intraoral zeigte sich eine leicht gerötete Wangenschleimhaut bei gepflegtem und kariesfreiem Wechselgebiss, ohne Avitalität oder Perkussionsempfindlichkeit der Zähne des II. und III. Quadranten. Das mitgebrachte Orthopantomogramm war unauffällig. Auf Stimulation der Glandula parotis hin entleerte sich klares Sekret aus dem Stenonschen Gang. Die sonographische Untersuchung der linksseitigen Wangenweichgewebe zeigte eine etwa 1,5 x 2,5 cm messende, multizystische, septierte Läsion mit einem größeren und zwei kleineren Anteilen (Abbildung 2). In der zusätzlich veranlassten Magnetresonanztomographie konnte eine 2,5 x 2,0 x 2,5 cm große, signalintense Raumforderung anterior des linken M. masseter – vereinbar mit einem Lymphangiom – dargestellt werden (Abbildungen 3 a und b).
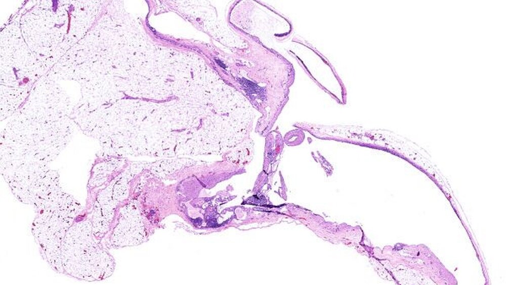
Es erfolgte die operative Exstirpation des Lymphangioms inklusive eines 2 cm langen zuführenden Lymphgefäßstils aus dem umgebenden Bindegewebe (Abbildungen 4 a und b). In der endgültigen histologischen Untersuchung zeigten sich in reifem Fett-gewebe zystisch erweiterte Lymphgefäße, ausgekleidet durch zartes Endothel. Intraluminal wurden eiweißreiche Flüssigkeit, vereinzelte Siderophagen und korpuskuläre Blutbestandteile beschrieben (Abbildung 5). Der Befund war ebenfalls vereinbar mit einem Lymphangiom.
Diskussion
Das Lymphangiom ist ein gutartiger Tumor der Lymphgefäße mit expansivem und infiltrierendem Wachstum. Es tritt hauptsächlich bei Neugeborenen und im frühen Kindesalter auf. Bis zum zweiten Lebensjahr imponieren bereits 90 Prozent der Tumore, die Diagnose kann in Einzelfällen schon intrauterin gestellt werden [Alqahtani et al. 1999]. Auch bei älteren Kindern – wie im vorliegenden Fall – und bei Erwachsenen muss bei einer Schwellung in der Kopf-Hals-Region ein Lymphangiom in Betracht gezogen werden, da sich rund 50 Prozent der Lymphangiome im Bereich des Kopfes oder des Halses manifestieren [Alqahtani et al. 1999, Papendieck et al. 1999].
Lymphangiome sind angeboren und werden daher zu den kongenitalen vaskulären Malformationen (CVD) gezählt [Hecker et al. 1967, Papendieck et al. 1999]. Die genaue Ursache für die Entstehung von Lymphangiomen ist bisher noch nicht völlig geklärt. Möglicherweise spielen hier vererbte Fehlbildungen des lymphatischen Systems eine Rolle [Alqahtani et al. 1999, Balakrishnan et al. 1991].
Klinisch zeigt sich für gewöhnlich ein prallelastischer und komprimierbarer Tumor. Im Einzelfall kann es zu einer ausgeprägten Volumenzunahme kommen, die aber nicht auf ein Wachstum des Tumors per se, sondern eher auf einen vermehrten Lymphstau zurückzuführen ist. Das klinische Bild des Lymphangioms kann stark variieren, von kleinen subkutanen Zysten aus dilatierten lymphatischen Kapillaren bis hin zu sehr großen Lymphangiomen. Prätherapeu- tische Komplikationen (Behinderungen der oberen Atemwege, Schluckstörungen, neurologische Schädigungen in Folge von Druck des Tumors auf periphere Nerven) hängen in erster Linie von der Lage und der Größe des Lymphangioms ab [Hancock et al. 1992].
Die Diagnose wird im Rahmen der klinischen Inspektion gestellt. Im aktuellen Fall wurde die Verdachtsdiagnose durch die bereits erfolgte Lymphangiomresektion vor zwei Jahren bekräftigt. Bei der Punktion eines Lymphangioms tritt in der Regel klares bis gelbliches Sekret aus, das bei Infektion auch dunkel bis eitrig sein kann. Bei oberflächennahen Lymphangiomen – wie im vorliegenden Fall – bietet die Sonographie (ergänzt durch die farbcodierte Duplexsonographie) eine hervorragende Diagnosemöglichkeit zur Abgrenzung gegenüber einer arteriovenösen Malformation. Die Sonographie zeigte hier multizystische Läsionen anterior des M. masseter, wobei einzelne Zysten im Allgemeinen einen Durchmesser zwischen 1 mm und 50 mm aufweisen können. Die subtile Abgrenzung gegenüber wichtigen umgebenden Strukturen wie dem Ductus parotideus erfolgte mittels Magnetresonanztomographie. Das MRT ist zur Diagnose eines Lymphangioms das Mittel der Wahl und kann ebenfalls zur detaillierten chirurgischen Planung herangezogen werden.
Da Hämangiome ebenfalls häufig im Säuglings- und Kindesalter vorkommen und durch rasches Wachstum gekennzeichnet sind, müssen sie grundsätzlich in der Diagnostik von weichgeweblichen Schwellungen im Kindesalter berücksichtigt werden. Angiographische Verfahren können hierbei zur Abgrenzung zwischen Lymphangiom und Hämangiom oder anderen arterio- venösen Malformationen herangezogen werden. Im Gegensatz zu vaskulären Malformationen besteht beim Lymphangiom eine ständige, unaufhaltsame Größenzunahme. Auch kommt es nicht zu einer spontanen Regression oder Remission des Tumors, wie sie beim Hämangiom erwartet werden kann. Differenzialdiagnostisch müssen in der betroffenen Region noch andere Tumoren (wie das pleomorphe Adenom der Glandula parotis), Zysten, odontogene Entzündungen, entzündliche Speicheldrüsenerkrankungen (Sialadenitis) und nichtentzündliche Speicheldrüsenerkrankungen (Sialadenose) berücksichtigt werden. Eine entzündliche Erkrankung war aufgrund der klinischen Befunde unwahrscheinlich. Ein Speicheldrüsentumor konnte mittels Bildgebung (Sonographie und MRT), funktionelle Muskelveränderungen wie die Masseterhypertrophie konnten durch funktionsdiagnostische Maßnahmen ausgeschlossen werden. Die definitive Diagnosestellung erfolgte durch die histopathologische Untersuchung.
Der Goldstandard bei der Therapie von Lymphangiomen ist die komplette chirurgische Exzision des Tumors [Alqahtani et al. 1999, Hecker et al. 1967]. Aufgrund der komplexen anatomischen Verhältnisse im Kopf-Hals-Bereich ist auch bei überaus genauer Arbeitsweise die Gefahr der Zerstörung präexistenter anatomischer Strukturen – wie dem Ductus parotideus – groß [Hancock et al. 1992]. Die alleinige Inzision oder Punktion führt bei Lymphangiomen zur Entleerung des im Tumor enthaltenen Sekrets und damit lediglich zum temporären Abschwellen der Lymphangiome. Mittels Nd:YAG-Laser können Residualstrukturen bei unvollständiger Exzision transkutan behandelt werden [Waldschmidt et al. 2001, Cholewa et al. 1998]. Da die Effektivität der alleinigen Therapie mit Nd:YAG-Laser umstritten ist, wird diese Therapieform meist als Zusatz zu einer chirurgischen Intervention herangezogen [Stocker et al. 1996]. Ebenfalls erwähnt werden systemische medikamentöse Therapien mit Kortikosteroiden, Interferon α 2A und Zytostatika.
Erfolgt die Entfernung des Lymphangioms nicht in toto, so bildet sich immer ein Rezidiv. Hiervon ist beim ersten Therapieversuch des Lymphangioms im vorliegenden Fall auszugehen. Der entscheidende Faktor für den langfristigen Erfolg und eine Heilung ist deshalb die Vollständigkeit der Exstirpation des Lymphangioms [Cholewa et al. 1998].
Dr. Waltraud WaissProf. Dr. Dr. Torsten E. ReichertKlinik und Poliklinik für Mund-, Kiefer- undGesichtschirurgieUniversität RegensburgFranz-Josef-Strauß-Allee 1193053 Regensburgwaltraud.waiss@klinik.uni-regensburg.de
Priv.-Doz. Dr. Ralf BürgersPoliklinik für Zahnärztliche ProthetikUniversität RegensburgFranz-Josef-Strauß-Allee 1193053 Regensburg
Dr. Wolfram KleebergerInstitut für PathologieUniversität RegensburgFranz-Josef-Strauß-Allee 1193053 Regensburg




