Submentale arterio-venöse Malformation
Ein 39-jähriger, ansonsten gesunder Patient stellte sich vor zur Diagnostik und Therapie einer unklaren submentalen Raumforderung. Diese habe schon jahrelang bestanden und in der letzten Zeit eine leichte Größenzunahme erfahren. Ein Trauma der entsprechenden Region war dem Patienten nicht erinnerlich.
Die klinische Untersuchung zeigte submental paramedian links eine weiche, nicht druckdolente Raumforderung. Die Haut über dem Befund war leicht überwärmt, jedoch reizlos ohne weitere Zeichen einer Entzündung (Abbildung 1). Funktionelle Einschränkungen, insbesondere Schluckbeschwerden lagen nicht vor. Sowohl klinisch als auch radiologisch (OPTG) konnte ein dentogener Fokus sicher ausgeschlossen werden. Palpatorisch bot sich ein Schwirren der linken A. facialis beim Druck gegen die Unterkieferbasis.
Im Ultraschall wie auch in der Computertomographie (Abbildung 2) zeigte sich ein unter der Mundbodenmuskulatur gelegener, glatt begrenzter, zystischer, extrem gut vaskularisierter Tumor (high-flow im Duplex-Bild) von rund 4 x 3 x 3 cm Größe im Sinne einer arterio-venösen (AV) Malformation.
Eine Angiographie bestätigte die Verdachtsdiagnose einer submentalen, bis in den Mundboden reichenden Malformation mit Zufluss und Drainage aus dem Fazialisstromgebiet (Abbildung 3). Nachdem eine Embolisation seitens der Neuroradiologie aufgrund der hohen Flussgeschwindigkeit und der großen Gefäßdimensionen nicht möglich war, entschlossen wir uns zur operativen Ligatur der zu- und abführenden Gefäße und zur Entfernung der Raumforderung, was in Allgemeinnarkose problemlos durchgeführt werden konnte (Abbildung 4).
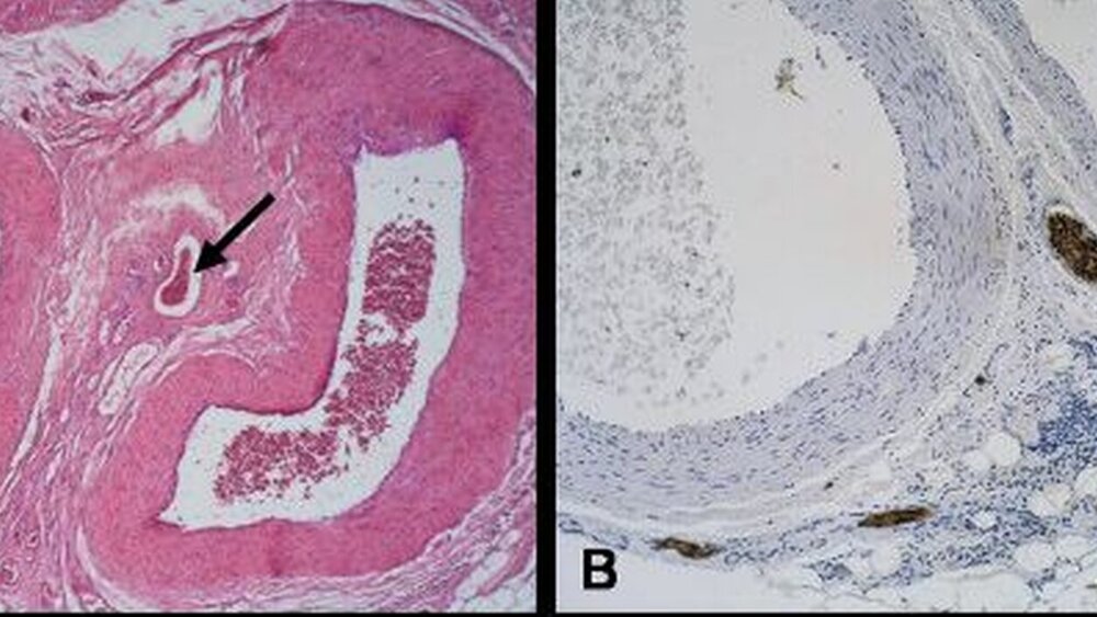
Die definitive pathohistologische Aufarbeitung des Resektats bestätigte das Vorliegen einer arterio-venösen Malformation mit geringer Wandsklerose (Abbildung 5). Ambulante Verlaufskontrollen zeigten einen reizlosen postoperativen Situs ohne Anhalt auf ein Rezidiv.
Diskussion
Im vorliegenden Fall ließ sich der Befund in der klinischen Untersuchung mechanisch komprimieren, wobei hier das Schwirren deutlich palpabel war und somit einen ersten Hinweis auf die Diagnose im Sinne einer rasch durchflossenen Gefäßmissbildung gab. Weitere Differentialdiagnosen langsam wachsender, nichtinfektiöser submentaler Raumforderungen können neben Gefäßmissbildungen mit niedrigem Blutfluss (siehe unten) auch mediane Halszysten, Lipome und andere gutartige Tumore sein.
AV-Malformationen gehören zu den häufigen gefäßbezogenen Fehlbildungen des Gesichts- und Halsbereiches. Sie werden der Gruppe der anlagebedingten vaskulären Malformationen zugeordnet und sind gegen die nicht-anlagebedingten, proliferierenden echten Neubildungen abzugrenzen, zu denen die Hämangiome gehören [1,2]. Histologisch lassen sich AV-Malformationen durch die Existenz dickwandiger, elastischer Arterien sowie intraläsionaler Nervenfasern von Hämangiomen differenzieren [3]; diese Kriterien lagen in dem beschriebenen Fall vor.
Während die Hämangiome ganz überwiegend Tumoren des Kindesalters sind, die nach einer raschen Größenzunahme im ersten Lebensjahr in der Mehrzahl der Fälle eine Spontanregression erfahren, sind vaskuläre Malformationen in jedem Lebensalter anzutreffen. Eine spontane Rückbildung tritt bei vaskulären Malformationen nicht ein. AV-Malformationen sind direkte Gefäßkurzschlüsse zwischen Arterien und Venen und einem zwischengeschalteten Nidus abnormer Gefäßkanäle und weisen einen hohen Blutfluss auf, der palpatorisch als Pulsieren oder Schwirren auffallen kann. Direkt da- rüber liegende Hautschichten können sich wärmer anfühlen oder gar Ulzerationen aufweisen. Sehr große Raumforderungen können zudem mit erheblichen, teilweise lebensbedrohlichen funktionellen Einschränkungen (Schluckbeschwerden, akute Verlegung der Atemwege) sowie mit erheblichen ästhetischen Beeinträchtigungen für den Patienten einhergehen. Bei jugendlichen Patienten können Wachstumsbeeinträchtigungen des knöchernen Gesichtsschädels auftreten. Erwähnt werden muss auch die Möglichkeit von Blutungskomplikationen.
In der Regel bleiben AV-Malformationen im ersten Lebensjahrzehnt asymptomatisch und werden erst durch hormonelle Umstellungen (Pubertät, Schwangerschaft), Traumata oder iatrogene Maßnahmen symp- tomatisch. Schobinger beziehungsweise Kohout und Mitarbeiter unterscheiden vier Entwicklungsstadien (Tabelle 1). Im hier vorgestellten Fall lag demnach ein Schobinger-Stadium II vor.
Für das Therapiekonzept bei Malformationen ist die korrekte Einordnung hinsichtlich des Blutflusses (low-flow versus high-flow) notwendig. Neben der klinischen Beurteilung ist in vielen Fällen eine B-Bild- beziehungsweise Duplexsonographie richtungsweisend für die Diagnosestellung. Bei ausgedehnten Läsionen sind die Computer-tomographie oder die Magnetresonanz- Tomographie die Bildgebungsmethode der Wahl, zudem ist bei arterio-venösen (high-flow) Malformationen eine angiographische Darstellung sinnvoll [5]. Während die Chance der spontanen Involution bei kindlichen Hämangiomen ohne Wachstumsdynamik und ohne funktionelle Beeinträchtigungen in ausgesuchten Fällen ein kontrolliertes Zuwarten rechtfertigt, erfordern größere vaskuläre Malformationen regelmäßig individuelle, zumeist interdisziplinäre Therapieansätze. In der Regel geht einer chirurgischen Resektion eine transarterielle Embolisation zur weitestgehenden Reduktion der arterio-venösen Shunts voraus [2].
Dr. Dr. Marcus O. Klein Sami EletrDr. Dr. Christian WalterProf. Dr. Dr. Wilfried WagnerUniversitätsmedizin der Johannes Gutenberg- Universität MainzKlinik für Mund-Kiefer-Gesichtschirurgie Plastische OperationenAugustusplatz 255131 Mainzwww.klinik.uni-mainz.de/mkg
\n
Stadium
Merkmale
\n
I
Hautrötung, Hauterwärmung
\n
II
Vergrößerung der Läsion, Pulsieren, Schwirren
\n
III
Schmerzen, Ulzerationen, Blutungen, Infektionen
\n
IV
Kardiale Dekompensation, Herzversagen
\n




