Binder-Syndrom – Nasomaxilläre Hypoplasie
Eine zehnjährige Patientin stellte sich mit ihren Eltern mit einem bereits durch den Pädiater diagnostizierten Binder-Syndrom zur Beratung in unserer Klinik vor. Die Facies der Patientin weist die typische hypoplastische Maxilla und gering ausgeprägte Nasenform, begleitet von einer Deviation auf (Abbildung 1 A) welche sich insbesondere im Seitenprofil deutlich zeigt (Abbildung 1 B).
Auf Grund der Deformität der Nase und des verkleinerten Naseneinganges bekäme sie insbesondere bei sportlicher Betätigung schlecht Luft, so dass ein Behandlungswunsch zum einen auf Grund der funktionell eingeschränkten Nasenatmung, jedoch auch wegen der ästhetischen Komponente bestehe. Intraoral zeigten sich bereits eine Kopfbissstellung im Frontzahnbereich, sowie eine Klasse III-Verzahnung um eine halbe Prämolarenbreite, so dass eine weitere Verstärkung der Malokklusion bei nun folgendem Unterkieferwachstum zu erwarten war. Der weitere Befund war unauffällig.
Auf Grund der nasomaxillären Hypoplasie mit begleitender Nasenatmungsbehinderung sowie der mandibulären Pseudoprognathie erfolgte die chirurgische Therapieplanung zur LeFort-IIOsteotomie und Ventralisierung des Nasomaxillären Komplexes. Eine sagittale Spaltosteotomie wurde nach Rücksprache mit den Kieferorthopäden bei guter Compliance der Patientin und geplanter Wachstumshemmung des Unterkiefers nicht durchgeführt.
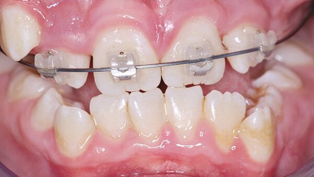
Zwei Jahre nach erfolgter operativer Therapie zeigte sich bei der Patientin eine deutlich verbesserte Nassenatmung sowie aus ästhetischer Sicht ein harmonisierteres Gesichtsprofil (Abbildung 2 A - C). Die Okklusion im nun späten Wechselgebiss bei noch fehlendem Durchbruch des 2. Prämolaren zeigt einen knappen Überbiss mit Tendenz zum Kopfbiss, zusätzlich stellt sich ein Engstand in beiden Kiefern dar, welcher durch das geringe skelettale Knochenangebot bedingt ist (Abbildung 3). Die weitere Therapie erfolgt nun zunächst rein orthodontisch, bei zufriedenstellendem ästhetischen Ergebnis wünschen die Eltern sowie die Patientin zunächst keine weiteren operativen Maßnahmen. Ein operativer Eingriff zur Rekonstruktion der Nasenform mittels offener Septorhinoplastik und knöchernem, avaskulärem Rippentransplantat ist nach vollständigem Wachstum der Patientin geplant [Holmes et al., 2010]
Diskussion
Patienten mit einem Binder-Syndrom fallen meist durch ihr typisches Erscheinungsbild auf, auch wenn weniger ausgeprägte Formen vorhanden sein können. Das Mittelgesicht erscheint hypoplastisch bei abgeflachtem Nasenprofil mit einer konvexen Oberlippe und einem breitem Philtrum. Die Columella ist verkürzt und der Naseneingang eng, was die klinisch imponierende Sattelnase zusätzlich verstärkt und unterschiedliche Ausprägungen zeigen kann (Abbildung 1). Kephalometrisch findet sich eine verkleinerte Sella-Nasion-Distanz und die pterygomaxilläre Strecke ist deutlich verkürzt [Eliasson et al., 1994]. Die anteriore Basis weist eine starke Steilstellung auf und der Schädelbasiswinkel ist vergrößert, es besteht die Tendenz zum frontal offenen Biss. Das Syndrom kann auch mit zusätzlichen Fehlbildungen einhergehen. So ist eine Assoziation mit zervikalen Wirbelkörperdeformitäten beschrieben [Olow- Nordenram et al., 1984], sowie neben der pseudoprognathen Stellung [Horswell et al., 1987] auch die echte Prognathie der Mandibula, die zu einer Klasse-IIIVerzahnung in der sagittalen Relation führt. Diese Bissanomalien machen neben der kieferorthopädischen häufig eine chirurgische Therapie zur Erzielung einer regelhaften Okklusion notwendig [Olow-Nordenram et al., 1984].
Aus ätiologischer Sicht werden neben einer genetisch bedingten auch eine embryologische Wachstumsstörung diskutiert [Binder, 1962; Olow-Nordenram et al., 1984; Ferguson et al., 1985], wobei letztere durch die hohe Frequenz der Wirbelkörperfehlbildungen von 44 Prozent als Ausdruck der mesenchymalen Verschmelzungsstörung des Primordialcraniums und des Chondrocraniums als wahrscheinlicher gilt [Olow-Nordenram et al., 1984]. Ein weiterer Ansatz zur Erklärung wird in dem Mangel an Vitamin K diskutiert, da dieses Syndrom in einer erhöhten Frequenz bei Müttern, die mit Vitamin KAntagonisten während der Schwangerschaft behandelt wurden, diagnostiziert werden konnte [Howe et al., 1995]. Bedingt durch das seltene Auftreten bei einer geschätzten Inzidenz von einer zu 10 000 Geburten, wobei die nicht diagnostizierten Fälle bei diesem Syndrom mit gering ausgeprägten Formen als relativ häufig angenommen werden kann, ist die Ätiologie dieses Syndroms weiterhin unklar.
Diagnostik, Therapie und Nachsorge unter Beachtung der Wachstumszentren des Viszerokraniums sowie der Schädelbasis sind je nach Ausprägungsgrad des Syndroms zunächst auf den frühestmöglichen Versuch eines Ausgleiches der sagittalen und transversalen Diskrepanz zwischen Ober- und Unterkiefer fokussiert. Dieser Ausgleich kann zum Beispiel mittels Gaumennahterweiterung und Gesichtsmaske zur Förderung der Anteriorentwicklung des Ober- und Posteriorentwicklung des Unterkiefers erfolgen. Simultane operative Methoden (Distraktion, Oberkiefer- und Unterkieferkorrektur in einem Eingriff) spielen jedoch eine wesentliche Rolle in der Behandlung und beginnen im Allgemeinen mit dem Jugendalter. Die operative Therapie erfolgt, wie im vorliegenden Fall, meist jedoch nur maxillär, häufig im Sinne einer LeFort-II-Osteotomie kombiniert mit einer sagittalen Spaltosteotomie des Unterkiefers zur Harmonisierung des Gesichtsprofils. Zusätzliche Eingriffe im Bereich der Nase können erforderlich werden, sofern, ähnlich wie bei Lippen-, Kieferund Gaumenspalten, eine muskuläre Rekonstruktion, allerdings im Bereich des Naseneingangs, erfolgen muss oder eine Korrektur nach Abschluss des Wachstums bedingt durch eine starke Deformität gewünscht wird [Holmes et al., 2010; Delaire et al., 1980; Tessier et al., 1981]. Die interdisziplinäre Betreuung dieser Patienten mit dem Pädiater, Kieferorthopäden, Zahnarzt und Mund-, Kiefer- und Gesichtschirurgen ist unabdingbar, um unter anderem bei einem offenen Biss das Kariesrisiko zu minimieren, die Wachstumsmodulation frühzeitig zu starten und die Notwendigkeit einer operativen Therapie abzuwägen.
Tipp für die Praxis
Das Binder-Syndrom stellt eine seltene Fehlbildung des Mittelgesichtskomplexes dar, welche durch die typische Facies in unterschiedlicher Ausprägung gekennzeichnet ist.
Der frühzeitigen Diagnosestellung durch den Pädiater und Zahnarzt kommt somit große Bedeutung zu, um möglichst bald die Einleitung einer interdisziplinären Betreuung zur Wachstumsmodulation und symptomatischen Behandlung zu gewährleisten.
Dr. Thomas MückePD Dr. Dr. Frank HölzleProf. Dr. Dr. Klaus-Dietrich WolffKlinik für Mund-, Kiefer- und Gesichtschirurgie,Technische Universität München,Klinikum Rechts der Isar,Ismaninger Str. 2281675 Münchenth.mucke@gmx.de
Priv.-Doz. Dr. Dr. Christof HolbergKlinik für Kieferorthopädie,Zahnklinik München,Ludwig-Maximillians-Universität München




