Großflächige radikuläre Zyste des Oberkiefers
Ein 51-jähriger männlicher Patient, bei dem alio loco eine Zahnextraktion geplant war, wurde mit einem als Zufallsbefund entdeckten, von regio 16 bis regio 22 reichenden, zystischen Geschehen des Oberkiefers, überwiesen (Abbildung 1). Anamnestisch berichtete der Patient, keinerlei Beschwerden gehabt zu haben.
Nebenbefundlich lag bei ihm ein schlecht eingestellter, insulinpflichtiger Typ II Diabetes, eine Hypothyreose, eine arterielle Hypertonie und eine Herzinsuffizienz im Stadium II nach NYHA vor, das heißt, es lagen Beschwerden bei stärkerer körperlicher Belastung vor.
Bei der klinischen, extraoralen Untersuchung bestanden keine sichtbaren Asymmetrien oder andere inspektorischen Auffälligkeiten. Sensible oder motorische Ausfälle wurden nicht beobachtet. Es lag ein konservativ und prothetisch unvollständig versorgtes Restgebiss mit tief kariös zerstörten Zähnen 12 und 21 vor (Abbildung 2), wobei im Oberkiefer alle Zähne bis auf 13 avital waren. Bei Palpation hoch im Vestibulum unterhalb der Apertura piriformis fiel rechtsseitig eine derbe Schwellung auf.
In einer zum Zeitpunkt der Erstvorstellung bereits vorliegenden Schichtbildgebung ist die Ausdehnung des Befundes deutlich zu erkennen (Abbildung 3).
In Intubationsnarkose wurde von marginal kommend ein vestibulärer Mukoperiostlappen präpariert und die Zyste im Anschluss dargestellt, wobei sich reichlich seröse Flüssigkeit ergoss. Im Anschluss wurden der Zystenbalg in toto entfernt (Abbildung 4) und die nicht erhaltungswürdigen Zähne 12 und 21 extrahiert. Durch eine Fensterung der Zyste zur Kieferhöhle wurde eine Zystantrostomie angelegt und die Wunde abschließend unter zusätzlicher Anlage eines Peripackverbandes dicht verschlossen.
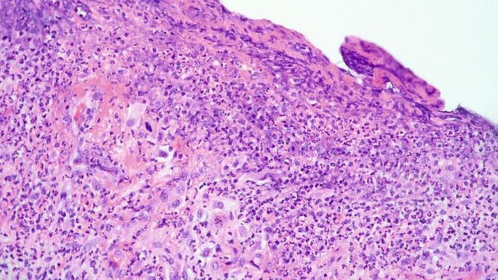
Die histopathologische Untersuchung ergab eine Zyste mit mehrschichtigem, nicht verhornendem Plattenepithel sowie fibrosiertes Bindegewebe mit deutlicher lymphozytärer Infiltration (Abbildungen 5 a und b), passend zum klinischen Bild einer entzündlich überlagerten, radikulären Zyste.
Diskussion
Zysten sind epithelial ausgekleidete, flüssigkeitsgefüllte Hohlräume und stellen im Kieferbereich eine häufig vorkommende Läsion dar. Nach der WHO-Klassifikation werden die epithelialen Kieferzysten in dysgenetische, entwicklungsbedingte Zysten und entzündlich bedingte Zysten unterteilt. Letztere werden wiederum in Residualzysten und radikuläre Zysten weiter subklassifiziert [Kramer et al., 1992]. Zu den entwicklungsbedingten, odontogenen Zysten gehören die gingivalen Zysten bei Kindern und Erwachsenen, follikuläre Zysten, Eruptionszysten, laterale parodontale und glanduläre odontogene Zysten. Nicht-odontogene, entwicklungsbedingte Kieferzysten stellen die nasopalatinalen und nasolabialen Zysten dar. Die frühere Keratozyste wird aufgrund ihrer neoplastischen Natur nach der WHO inzwischen den benignen odontogenen Tumoren zugerechnet und als odontogener keratozystischer Tumor bezeichnet [Philipsen, 2005].
Zysten zeichnen sich durch ein langsam expandierendes, nicht infiltrierendens Wachstum aus und können spät diagnostiziert einen beachtlichen Umfang erreichen. Die häufigste Kieferzyste stellt die, wie in diesem Fallbeispiel beschriebene, radikuläre Zyste dar, die etwas häufiger im Oberkiefer zu liegen kommt [Jones et al., 2006]. Sie entsteht im Wurzelbereich, oft als Folge einer Parodontitis apicalis chronica und imponiert radiologisch als Radioluzenz um Zahnwurzel und interradikulären Raum. An zweiter Stelle folgen follikuläre Zysten, die mit Kronen retinierter Zähne, meist der unteren Weisheitszähne, oder auch impaktierten Odontome assoziiert sein können [Curran et al., 2002]. Radiologisch projiziert sich die Zahnkrone über die Zystenkavität. Differentialdiagnostisch sind neben weiteren zystischen Geschehen entzündliche Prozesse, sowie gutartige Tumore, wie der bereits erwähnte odontogene keratozystische Tumor, das Ameloblastom aber auch maligne Tumore ab - zugrenzen.
Klinische Zeichen für das Vorliegen einer Zyste können kortikale Knochenexpansionen, Zahnverschiebungen, Schmerzen und Infektionszeichen sein. In der Mehrzahl der Fälle handelt es sich jedoch um Zufallsbefunde. Die Panoramaschichtaufnahme zeigt die charakteristisch-radiotransparenten Läsionen meist suffizient [Mosqueda- Taylor et al., 2002], wobei bei größeren Läsionen (Durchmesser 25 bis 30 mm) von einigen Autoren eine weitergehende Bildgebung empfohlen wird [Nunez-Urrutia et al., 2010]. Die Behandlung von Zysten orientiert sich an ihrer Größe, der Lokalisation sowie der Einbindung anatomisch benachbarter Strukturen [Mosqueda-Taylor, Irigoyen- Camacho et al., 2002].
Im vorliegenden Fall handelte es sich ebenfalls um einen Zufallsbefund. Aufgrund der Größe und engen nachbarschaftlichen Beziehung zum Sinus maxillaris wurde hier eine Zystantrostomie durchgeführt. Vor dem Hintergrund der Differentialdiagnosen ist die histopathologische Abklärung des Befundes obligat.
Dr. Dr. Peer W. KämmererPD Dr. Dr. Christian WalterKlinik für Mund-, Kiefer- und Gesichtschirurgie– plastische OperationenUniversitätsmedizin derJohannes Gutenberg-Universität MainzAugustusplatz 255131 Mainzwalter@mkg.klinik.uni-mainz.de




