Entwicklung eines Karzinoms in einer plattenepithelialen Zyste
Carina Aschenbrenner, Stefan Legal, Martin Gosau, Torsten E. Reichert
Eine 52-jährige Frau stellte sich auf Überweisung durch einen niedergelassenen Kollegen in der eigenen Ambulanz vor. Sie berichtete, dass sie sich vor circa einem Monat aufgrund einer schmerzhaften, putriden Entzündung in regio 23 mit Fistelung in hauszahnärztlicher Behandlung befand. Der Zahn 23 wurde extrahiert und die Patientin bei Verdacht auf eine infizierte radikuläre Zyste an einen niedergelassenen Kieferchirurgen überwiesen. Röntgenologisch zeigte sich eine ausgedehnte Osteolyse in regio 23 (Abbildungen 1 und 2). Durch den Kollegen wurde aufgrund des nicht heilenden Befunds eine Probebiopsie aus dem Bereich der ehemaligen Alveole entnommen. Der ortsansässige Pathologe stellte eine maligne Entartung des entnommenen Gewebes in ein hochdifferenziertes verhornendes Plattenepithelkarzinom fest (Abbildungen 3a und 3b). Aufgrund der vorliegenden Befunde wurde die Patientin an unsere Klinik überwiesen.
Bei der Inspektion der Mundhöhle imponierte in regio 23 der klinische Befund einer vor Kurzem stattgefundenen Zahnextraktion mit deutlichem Verlust der bukkalen Knochenlamelle. Im Seitenvergleich war keine Asymmetrie im Sinne einer Vorwölbung oder Schwellung erkennbar. Die Mundhygiene der Patientin zeigte Mängel (Abbildung 4).
Aufgrund des vorliegenden histopathologischen Gutachtens wurde ein Tumorstaging vorgenommen. Der als Zyste imponierende Befund zeigte in den durchgeführten bildgebenden Untersuchungen keine Infiltration des umliegenden Gewebes und stellte sich als nicht karzinom-typisch dar. Ein Anhalt für eine Metastasierung lag nicht vor.
Die vollständige operative Entfernung der Läsion erfolgte im Sinne einer Zystektomie mit peripherer Ostektomie. Das Resektat wurde zur histopathologischen Untersuchung eingeschickt. Bei Vorliegen einer oro-antralen und oro-nasalen Verbindung (Nasenboden, Kieferhöhle) erfolgte die Defektdeckung durch regionale Lappenplastiken und eine Verbandsplatte.
Das abschließende pathologische Gutachten ergab die Diagnose einer plattenepithelialen Zyste mit einem darin befindlichen Carcinoma in situ. Die Resektionsränder waren tumorfrei (Abbildungen 6a und 6b).
Die Verbandsplatte wurde am zehnten postoperativen Tag bei reizlosen lokalen Wundverhältnissen entfernt und die Patientin in die Tumornachsorge aufgenommen.
Diskussion
Bei den im Kieferknochen des Ober- und des Unterkiefers auftretenden Zysten handelt es sich meist um odontogene Zysten, die aus Strukturen der embryonalen Zahnanlage entstehen [Reichart PA, 1999].
Für die Einteilung der epithelialen Kieferzysten gilt die WHO-Klassifikation von 2005 nach Barnes et al., die nach der Genese unterscheidet (odontogen, nicht-odontogen, entzündlich bedingt, durch Entwicklungsstörungen bedingt). Daneben existieren Pseudozysten ohne Epithelauskleidung [Barnes L, 2005].
Vergleicht man das Auftreten epithelialer Kieferzysten in der Population, so sind die radikulären und residualen Zysten mit 52,3 Prozent die häufigsten [Reichart PA, 1999; Neukam FW, 2009].
Die radikuläre Zyste entsteht infolge einer chronischen Entzündung des periapikalen Gewebes eines avitalen Zahnes mit bestehendem apikalem Granulom. Aufgrund des Entzündungsreizes proliferieren die Malassez’schen Epithelreste und initiieren das Zystenwachstum. Lumenwärts ist die radikuläre Zyste mit einem mehrschichtigen, nicht verhornenden Plattenepithel ausgekleidet. Nach außen hin folgen die Zone des chronisch-entzündlichen Infiltrats und eine bindegewebige Kapsel [Neukam FW, 2009]. Die Wurzelspitze des verursachenden, avitalen Zahnes ragt bei radikulären Zysten in das Zystenlumen. Dabei kann die radikuläre Zyste apikal oder lateral liegen. Die Entstehung und das Zystenwachstum verlaufen in der Mehrzahl asymptomatisch, so dass sie in der röntgenologischen Untersuchung meist als Zufallsbefund auftreten. Radiologisch ist die radikuläre Zyste charakterisiert durch eine mehr als zehn Millimeter messende, periapikale, einkammerige, scharf begrenzte Osteolyse mit homogener Binnenstruktur und sklerotischem Randsaum. Letzerer steht in Verbindung mit der Lamina dura des betreffenden Zahnes [Martin-Duverneuil N, 2009].
Meist werden radikuläre Zysten erst aufgrund einer sekundären putriden Entzündung, wie auch im vorliegenden Patientenfall, erkannt [Alexandridis C, 2007].
Differenzialdiagnostisch sind bei der Verdachtsdiagnose einer radikulären Zyste im Oberkiefer neben den nicht-odontogenen Zysten die (benignen) odontogenen Tumoren, wie zum Beispiel das Ameloblastom und der keratozystisch odontogene Tumor abzugrenzen. Ebenfalls ist die Möglichkeit einer malignen Transformation von Zystenepithel nicht auszuschließen. Eine Probebiopsie ist im Zweifelsfall sinnvoll und bei ausgedehnten Befunden unerlässlich.
Die Therapie einer radikulären Zyste ist abhängig von ihrer Größe. Bis zu einem Zystendurchmesser von zehn Millimetern wird die endodontische Therapie mit radiologischer Verlaufskontrolle in der Literatur beschrieben. Ist der Befund größer, ist eine chirurgische Therapie indiziert. Dabei unterscheidet man die Zystektomie (Enukleation), wie sie im vorliegenden Fall durchgeführt wurde, von der Zystostomie (Fensterung der Zyste zur Mundhöhle) und von der Zystantrostomie (Fensterung der Zyste zur Kieferhöhle) [Alexandridis C, 2007; Neukam FW, 2009]. Der verursachende Zahn wird, abhängig von seiner Erhaltungswürdigkeit, entweder einer Wurzelbehandlung mit Wurzelspitzenresektion unterzogen oder extrahiert. Eine histopathologische Untersuchung des entnommenen Zystengewebes ist in jedem Fall zu veranlassen.
Im vorliegenden Fall wurde eine Zystektomie mit peripherer Ostektomie vorgenommen. Intraoperativ war die histologische Schnellschnittuntersuchung ausschlaggebend, die tumorfreie Ränder im zystischen Resektat bescheinigte. Auf eine Resektion mit Sicherheitsabstand wurde deshalb verzichtet.
Das auskleidende Epithel odontogener Zysten kann bei der histopathologischen Untersuchung eine unregelmäßige Gestalt aufweisen: Dabei sind eine Verdickung der Zystenwand, eine Keratinisierung und eine dysplastische Transformation zu nennen [Nölken R, 2006]. Fallpublikationen über maligne Entartungen odontogener Zysten in Plattenepithel- und Mukoepidermoidkarzinome sind in der Literatur beschrieben [Eversole LR, 1999; Bodner L, 2011], jedoch ist die Häufigkeit einer malignen Transformation des auskleidenden Zystenepithels gering (0,12 Prozent) [Nölken R, 2006]. Als prädisponierender Faktor wird ein chronischer Entzündungsreiz mit reaktiver Epithelproliferation angenommen [Schwimmer AM, 1991]. Mikroskopisch können im Transformationsverlauf eine Hyperplasie des Zystenepithels, eine Zunahme der Keratinisierung (Hyperkeratose) bis hin zur Dyskeratose beobachtet werden. Anzeichen für ein malignes Geschehen geben hyperchromatische Zellkerne, der Verlust der Zellorientierung, Polymorphismen und abnorme Mitosefiguren [Browne RM, 1972].
Die klinische Untersuchung liefert im Initialstadium häufig keinen karzinom-verdächtigen Befund wie zum Beispiel Parästhesien oder Lymphknotenschwellungen. Radiologisch zeigt sich in fortgeschrittenem Stadium eine zystische, meist runde bis ovale, unscharf begrenzte Transluzenz [Nölken R, 2006].
Aus odontogenen Zysten entstehende Plattenepithelkarzinome sind im Unterkiefer doppelt so häufig anzutreffen wie im Oberkiefer und entstehen doppelt so häufig aus follikulären Zysten wie aus radikulären Zysten beziehungsweise Residualzysten. Keratinisierte odontogene Zysten scheinen ein erhöhtes Risiko zur Entartung zu haben verglichen mit nicht-keratinisierten Zysten [Nölken R, 2006].
Im Kieferknochen entstehende Plattenepithelkarzinome, die keine Verbindung zur Mund- beziehungsweise Kieferhöhlenschleimhaut aufweisen, heißen primäre intraossäre Plattenepithelkarzinome. Sie sind makroskopisch durch das Fehlen einer Mundschleimhautsymptomatik (Ulcus) im Tumorbereich charakterisiert, sowie durch die Abwesenheit eines anderen primären Tumors [Suei Y, 1994]. Entwickeln sie sich auf Basis einer Zyste, kann mikroskopisch der Übergang des Zystenepithels in ein Plattenepithelkarzinom nachgewiesen werden [Schwimmer AM 1991; Eversole LR, 1999; Gardner AF, 1975]. Wie andere Malignome wachsen sie infiltrierend und führen im fortgeschrittenen Stadium zu einer knöchernen Auftreibung mit Wurzelresorptionen [Nölken R, 2006].
Die Therapie hängt von der Ausdehnung des Befunds und dem Vorhandensein von Metastasen ab. Ein Tumorstaging ist in jedem Fall durchzuführen. Im vorliegenden Fall wurde aufgrund der Staging-Ergebnisse und der intraoperativen Inspektion des Befunds eine Zystektomie (extrakapsuläre Tumordissektion) durchgeführt. Bei infiltrierendem Wachstum ist eine Resektion mit Sicherheitsabstand notwendig. Liegen suspekte Lymphknoten vor, kann eine Ausräumung der Halslymphknoten (Neck dissection) notwendig sein [Nölken R, 2006].
Dr. Carina Aschenbrenner
Dr. Stefan Legal
PD Dr. Dr. Martin Gosau
Prof. Dr. Dr. Torsten E. Reichert
Klinik und Poliklinik für Mund-, Kiefer- und Gesichtschirurgie
Universität Regensburg
Franz-Josef-Strauß-Allee 11
93053 Regensburg
Carina.Aschenbrenner@klinik.uni-regensburg.de
Fazit für die Praxis
• Jede (auch kleine) radikuläre Zyste sollte einer histopathologischen Untersuchung unterzogen werden.
• Differenzialdiagnosen der radikulären Zyste sind neben den nicht-odontogenen Zysten die (benignen) odontogenen Tumoren, wie das Ameloblastom und der keratozystisch odontogene Tumor (KZOT). Bei großen, zystischen Befunden sind eine Probebiopsie und eine Überweisung an eine Fachklinik indiziert.
• Eine maligne Transformation odontogener Zysten ist selten. Das auskleidende Zystenepithel kann in ein Plattenepithel- oder in ein Mukoepidermoidkarzinom entarten.
• Aus odontogenen Zysten entstehende Plattenepithelkarzinome entstehen doppelt so häufig aus follikulären Zysten wie aus radikulären Zysten beziehungsweise Residualzysten. Keratinisierte odontogene Zysten (siehe KZOT) haben ein höheres Risiko zur Entartung als nicht-keratinisierte.
Carina Aschenbrenner, Stefan Legal, Martin Gosau, Torsten E. Reichert
Eine 52-jährige Frau stellte sich auf Überweisung durch einen niedergelassenen Kollegen in der eigenen Ambulanz vor. Sie berichtete, dass sie sich vor circa einem Monat aufgrund einer schmerzhaften, putriden Entzündung in regio 23 mit Fistelung in hauszahnärztlicher Behandlung befand. Der Zahn 23 wurde extrahiert und die Patientin bei Verdacht auf eine infizierte radikuläre Zyste an einen niedergelassenen Kieferchirurgen überwiesen. Röntgenologisch zeigte sich eine ausgedehnte Osteolyse in regio 23 (Abbildungen 1 und 2). Durch den Kollegen wurde aufgrund des nicht heilenden Befunds eine Probebiopsie aus dem Bereich der ehemaligen Alveole entnommen. Der ortsansässige Pathologe stellte eine maligne Entartung des entnommenen Gewebes in ein hochdifferenziertes verhornendes Plattenepithelkarzinom fest (Abbildungen 3a und 3b). Aufgrund der vorliegenden Befunde wurde die Patientin an unsere Klinik überwiesen.
Bei der Inspektion der Mundhöhle imponierte in regio 23 der klinische Befund einer vor Kurzem stattgefundenen Zahnextraktion mit deutlichem Verlust der bukkalen Knochenlamelle. Im Seitenvergleich war keine Asymmetrie im Sinne einer Vorwölbung oder Schwellung erkennbar. Die Mundhygiene der Patientin zeigte Mängel (Abbildung 4).
Aufgrund des vorliegenden histopathologischen Gutachtens wurde ein Tumorstaging vorgenommen. Der als Zyste imponierende Befund zeigte in den durchgeführten bildgebenden Untersuchungen keine Infiltration des umliegenden Gewebes und stellte sich als nicht karzinom-typisch dar. Ein Anhalt für eine Metastasierung lag nicht vor.
Die vollständige operative Entfernung der Läsion erfolgte im Sinne einer Zystektomie mit peripherer Ostektomie. Das Resektat wurde zur histopathologischen Untersuchung eingeschickt. Bei Vorliegen einer oro-antralen und oro-nasalen Verbindung (Nasenboden, Kieferhöhle) erfolgte die Defektdeckung durch regionale Lappenplastiken und eine Verbandsplatte.
Das abschließende pathologische Gutachten ergab die Diagnose einer plattenepithelialen Zyste mit einem darin befindlichen Carcinoma in situ. Die Resektionsränder waren tumorfrei (Abbildungen 6a und 6b).
Die Verbandsplatte wurde am zehnten postoperativen Tag bei reizlosen lokalen Wundverhältnissen entfernt und die Patientin in die Tumornachsorge aufgenommen.
Diskussion
Bei den im Kieferknochen des Ober- und des Unterkiefers auftretenden Zysten handelt es sich meist um odontogene Zysten, die aus Strukturen der embryonalen Zahnanlage entstehen [Reichart PA, 1999].
Für die Einteilung der epithelialen Kieferzysten gilt die WHO-Klassifikation von 2005 nach Barnes et al., die nach der Genese unterscheidet (odontogen, nicht-odontogen, entzündlich bedingt, durch Entwicklungsstörungen bedingt). Daneben existieren Pseudozysten ohne Epithelauskleidung [Barnes L, 2005].
Vergleicht man das Auftreten epithelialer Kieferzysten in der Population, so sind die radikulären und residualen Zysten mit 52,3 Prozent die häufigsten [Reichart PA, 1999; Neukam FW, 2009].
Die radikuläre Zyste entsteht infolge einer chronischen Entzündung des periapikalen Gewebes eines avitalen Zahnes mit bestehendem apikalem Granulom. Aufgrund des Entzündungsreizes proliferieren die Malassez’schen Epithelreste und initiieren das Zystenwachstum. Lumenwärts ist die radikuläre Zyste mit einem mehrschichtigen, nicht verhornenden Plattenepithel ausgekleidet. Nach außen hin folgen die Zone des chronisch-entzündlichen Infiltrats und eine bindegewebige Kapsel [Neukam FW, 2009]. Die Wurzelspitze des verursachenden, avitalen Zahnes ragt bei radikulären Zysten in das Zystenlumen. Dabei kann die radikuläre Zyste apikal oder lateral liegen. Die Entstehung und das Zystenwachstum verlaufen in der Mehrzahl asymptomatisch, so dass sie in der röntgenologischen Untersuchung meist als Zufallsbefund auftreten. Radiologisch ist die radikuläre Zyste charakterisiert durch eine mehr als zehn Millimeter messende, periapikale, einkammerige, scharf begrenzte Osteolyse mit homogener Binnenstruktur und sklerotischem Randsaum. Letzerer steht in Verbindung mit der Lamina dura des betreffenden Zahnes [Martin-Duverneuil N, 2009].
Meist werden radikuläre Zysten erst aufgrund einer sekundären putriden Entzündung, wie auch im vorliegenden Patientenfall, erkannt [Alexandridis C, 2007].
Differenzialdiagnostisch sind bei der Verdachtsdiagnose einer radikulären Zyste im Oberkiefer neben den nicht-odontogenen Zysten die (benignen) odontogenen Tumoren, wie zum Beispiel das Ameloblastom und der keratozystisch odontogene Tumor abzugrenzen. Ebenfalls ist die Möglichkeit einer malignen Transformation von Zystenepithel nicht auszuschließen. Eine Probebiopsie ist im Zweifelsfall sinnvoll und bei ausgedehnten Befunden unerlässlich.
Die Therapie einer radikulären Zyste ist abhängig von ihrer Größe. Bis zu einem Zystendurchmesser von zehn Millimetern wird die endodontische Therapie mit radiologischer Verlaufskontrolle in der Literatur beschrieben. Ist der Befund größer, ist eine chirurgische Therapie indiziert. Dabei unterscheidet man die Zystektomie (Enukleation), wie sie im vorliegenden Fall durchgeführt wurde, von der Zystostomie (Fensterung der Zyste zur Mundhöhle) und von der Zystantrostomie (Fensterung der Zyste zur Kieferhöhle) [Alexandridis C, 2007; Neukam FW, 2009]. Der verursachende Zahn wird, abhängig von seiner Erhaltungswürdigkeit, entweder einer Wurzelbehandlung mit Wurzelspitzenresektion unterzogen oder extrahiert. Eine histopathologische Untersuchung des entnommenen Zystengewebes ist in jedem Fall zu veranlassen.
Im vorliegenden Fall wurde eine Zystektomie mit peripherer Ostektomie vorgenommen. Intraoperativ war die histologische Schnellschnittuntersuchung ausschlaggebend, die tumorfreie Ränder im zystischen Resektat bescheinigte. Auf eine Resektion mit Sicherheitsabstand wurde deshalb verzichtet.
Das auskleidende Epithel odontogener Zysten kann bei der histopathologischen Untersuchung eine unregelmäßige Gestalt aufweisen: Dabei sind eine Verdickung der Zystenwand, eine Keratinisierung und eine dysplastische Transformation zu nennen [Nölken R, 2006]. Fallpublikationen über maligne Entartungen odontogener Zysten in Plattenepithel- und Mukoepidermoidkarzinome sind in der Literatur beschrieben [Eversole LR, 1999; Bodner L, 2011], jedoch ist die Häufigkeit einer malignen Transformation des auskleidenden Zystenepithels gering (0,12 Prozent) [Nölken R, 2006]. Als prädisponierender Faktor wird ein chronischer Entzündungsreiz mit reaktiver Epithelproliferation angenommen [Schwimmer AM, 1991]. Mikroskopisch können im Transformationsverlauf eine Hyperplasie des Zystenepithels, eine Zunahme der Keratinisierung (Hyperkeratose) bis hin zur Dyskeratose beobachtet werden. Anzeichen für ein malignes Geschehen geben hyperchromatische Zellkerne, der Verlust der Zellorientierung, Polymorphismen und abnorme Mitosefiguren [Browne RM, 1972].
Die klinische Untersuchung liefert im Initialstadium häufig keinen karzinom-verdächtigen Befund wie zum Beispiel Parästhesien oder Lymphknotenschwellungen. Radiologisch zeigt sich in fortgeschrittenem Stadium eine zystische, meist runde bis ovale, unscharf begrenzte Transluzenz [Nölken R, 2006].
Aus odontogenen Zysten entstehende Plattenepithelkarzinome sind im Unterkiefer doppelt so häufig anzutreffen wie im Oberkiefer und entstehen doppelt so häufig aus follikulären Zysten wie aus radikulären Zysten beziehungsweise Residualzysten. Keratinisierte odontogene Zysten scheinen ein erhöhtes Risiko zur Entartung zu haben verglichen mit nicht-keratinisierten Zysten [Nölken R, 2006].
Im Kieferknochen entstehende Plattenepithelkarzinome, die keine Verbindung zur Mund- beziehungsweise Kieferhöhlenschleimhaut aufweisen, heißen primäre intraossäre Plattenepithelkarzinome. Sie sind makroskopisch durch das Fehlen einer Mundschleimhautsymptomatik (Ulcus) im Tumorbereich charakterisiert, sowie durch die Abwesenheit eines anderen primären Tumors [Suei Y, 1994]. Entwickeln sie sich auf Basis einer Zyste, kann mikroskopisch der Übergang des Zystenepithels in ein Plattenepithelkarzinom nachgewiesen werden [Schwimmer AM 1991; Eversole LR, 1999; Gardner AF, 1975]. Wie andere Malignome wachsen sie infiltrierend und führen im fortgeschrittenen Stadium zu einer knöchernen Auftreibung mit Wurzelresorptionen [Nölken R, 2006].
Die Therapie hängt von der Ausdehnung des Befunds und dem Vorhandensein von Metastasen ab. Ein Tumorstaging ist in jedem Fall durchzuführen. Im vorliegenden Fall wurde aufgrund der Staging-Ergebnisse und der intraoperativen Inspektion des Befunds eine Zystektomie (extrakapsuläre Tumordissektion) durchgeführt. Bei infiltrierendem Wachstum ist eine Resektion mit Sicherheitsabstand notwendig. Liegen suspekte Lymphknoten vor, kann eine Ausräumung der Halslymphknoten (Neck dissection) notwendig sein [Nölken R, 2006].
Dr. Carina Aschenbrenner
Dr. Stefan Legal
PD Dr. Dr. Martin Gosau
Prof. Dr. Dr. Torsten E. Reichert
Klinik und Poliklinik für Mund-, Kiefer- und Gesichtschirurgie
Universität Regensburg
Franz-Josef-Strauß-Allee 11
93053 Regensburg
Carina.Aschenbrenner@klinik.uni-regensburg.de
Fazit für die Praxis
• Jede (auch kleine) radikuläre Zyste sollte einer histopathologischen Untersuchung unterzogen werden.
• Differenzialdiagnosen der radikulären Zyste sind neben den nicht-odontogenen Zysten die (benignen) odontogenen Tumoren, wie das Ameloblastom und der keratozystisch odontogene Tumor (KZOT). Bei großen, zystischen Befunden sind eine Probebiopsie und eine Überweisung an eine Fachklinik indiziert.
• Eine maligne Transformation odontogener Zysten ist selten. Das auskleidende Zystenepithel kann in ein Plattenepithel- oder in ein Mukoepidermoidkarzinom entarten.
• Aus odontogenen Zysten entstehende Plattenepithelkarzinome entstehen doppelt so häufig aus follikulären Zysten wie aus radikulären Zysten beziehungsweise Residualzysten. Keratinisierte odontogene Zysten (siehe KZOT) haben ein höheres Risiko zur Entartung als nicht-keratinisierte.


![Abbildungen 6a und 6b: Das pathologische Gutachten lieferte die Diagnose einer plattenepithelialen Zyste mit fibrosiertem Zystenbalg und abschnittsweise entwickeltem Carcinoma in situ (pTis) des auskleidenden Plattenepithels bei Fehlen eines invasiven Karzinoms [mit freundlicher Überlassung durch R. Krupar, Pathologie im Uniklinikum Regensburg]. Nebenbefundlich zeigte sich eine chronisch-rezidivierende, floride Entzündung im Bereich der Nasennebenhöhlenschleimhaut. |](/fileadmin/_processed_/1/1/csm_209683-flexible-1900_a4e815741c.jpg)


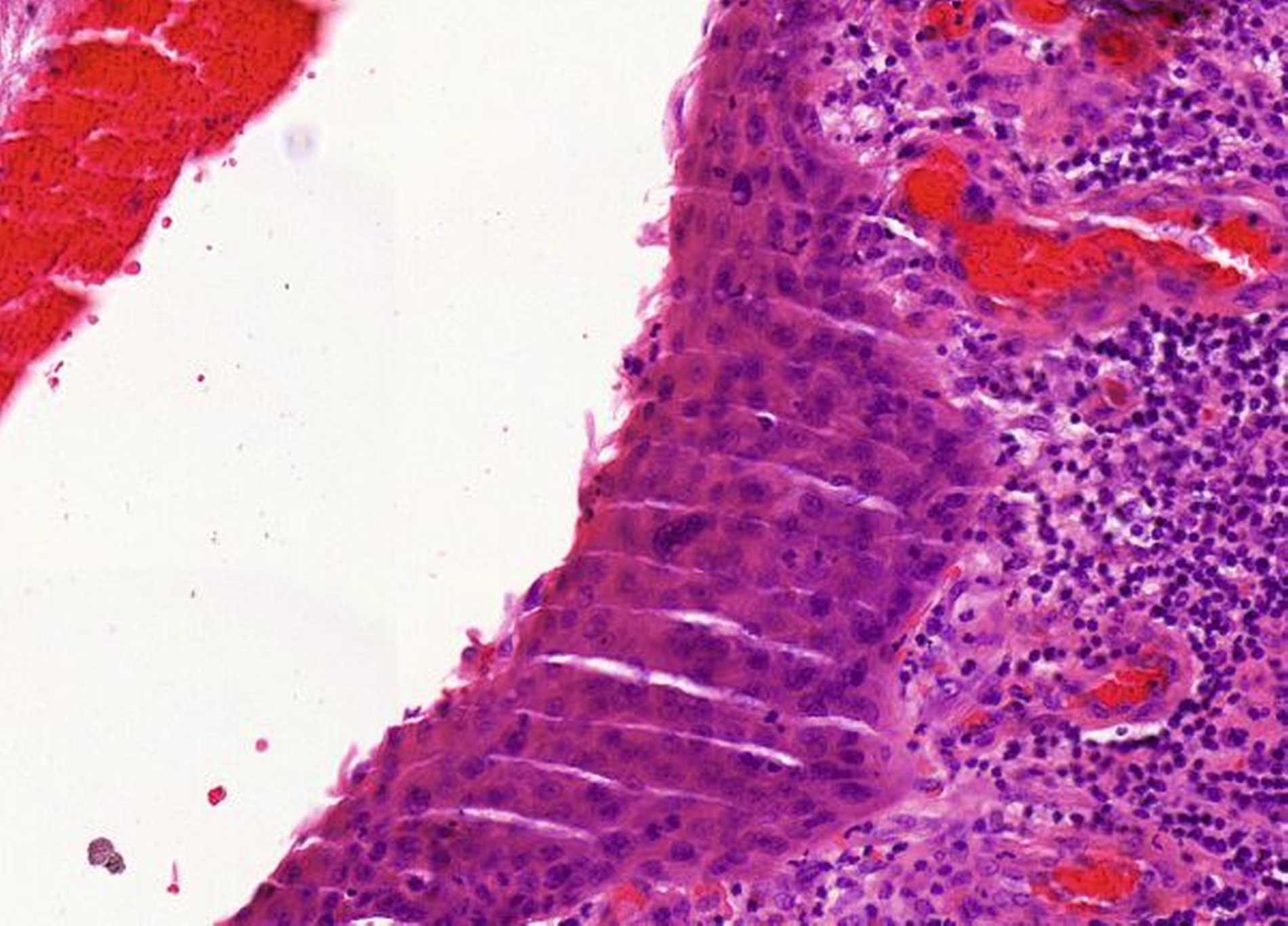
![Abbildungen 3a und 3b: Histopathologischer Befund der Probebiopsie: unregelmäßiges Plattenepithel mit strukturellen und zellulären Atypien sowie flankierenden Epitheldysplasien; in Abbildung 3b erkennbares, lokal invasives Wachstum eines hoch differenzierten verhornenden Plattenepithelkarzinoms; deutliche entzündliche Überlagerung [Die histologischen Abbildungen wurden freundlicherweise von Dr. Andreas Wullbrand, Hamburg, angefertigt.] |](/fileadmin/_processed_/1/5/csm_209678-flexible-1900_4029bdf84e.jpg)
![Abbildungen 3a und 3b: Histopathologischer Befund der Probebiopsie: unregelmäßiges Plattenepithel mit strukturellen und zellulären Atypien sowie flankierenden Epitheldysplasien; in Abbildung 3b erkennbares, lokal invasives Wachstum eines hoch differenzierten verhornenden Plattenepithelkarzinoms; deutliche entzündliche Überlagerung [Die histologischen Abbildungen wurden freundlicherweise von Dr. Andreas Wullbrand, Hamburg, angefertigt.] |](/fileadmin/_processed_/a/e/csm_209679-flexible-1900_ed2b62d4c4.jpg)


![Abbildungen 6a und 6b: Das pathologische Gutachten lieferte die Diagnose einer plattenepithelialen Zyste mit fibrosiertem Zystenbalg und abschnittsweise entwickeltem Carcinoma in situ (pTis) des auskleidenden Plattenepithels bei Fehlen eines invasiven Karzinoms [mit freundlicher Überlassung durch R. Krupar, Pathologie im Uniklinikum Regensburg]. Nebenbefundlich zeigte sich eine chronisch-rezidivierende, floride Entzündung im Bereich der Nasennebenhöhlenschleimhaut. |](/fileadmin/_processed_/0/a/csm_209682-flexible-1900_55e7c195fd.jpg)


