Granularzelltumor der Zunge
Keyvan Sagheb, Mike Otto, Torsten Hansen, Christian Walter
Eine 16-jährige Patientin ohne weitere Allgemeinerkrankungen wurde zur Abklärung einer etwa erbsengroßen, nicht schmerzhaften Schwellung des vorderen Zungendrittels rechtsseitig vorgestellt. Die Patientin berichtete über eine geringgradige Größenprogredienz in den letzten Jahren ohne Beschwerdesymptomatik. Anamnestische Hinweise für das Vorliegen eines Zungeneinbisses oder für andere Traumen lagen nicht vor. Die klinische Untersuchung zeigte keine Entzündungszeichen bei blander intakter Zungenschleimhaut über dem Befund. Motorik und Sensorik im Zungenbereich waren intakt. Tastbar war ein etwa ein Zentimeter großer, nicht druckschmerzhafter, prallelastischer Tumor, der jedoch zur tiefen Zungenmuskulatur nicht gut verschieblich war (Abbildung 1). Die sonografische Untersuchung im Kopf-Hals-Bereich war insbesondere hinsichtlich der Lymphknoten unauffällig.
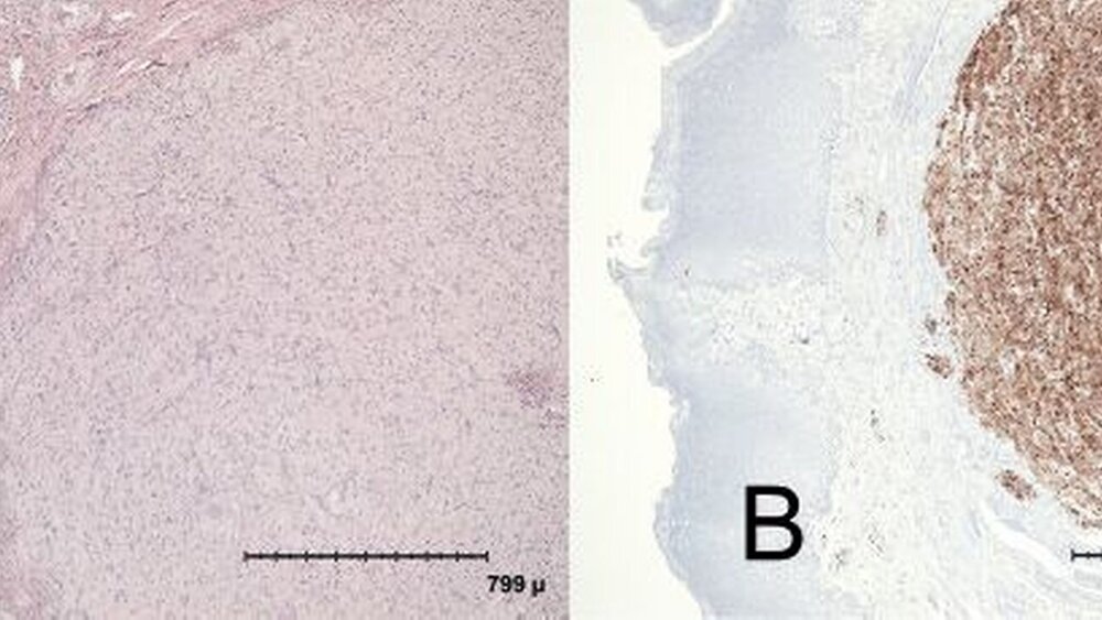
Die Patientin ließ sich den Befund heimatnah exstirpieren. Die histologische Aufbereitung des Präparats erbrachte die Diagnose eines zur Tiefe hin R1-resezierten Granularzelltumors (Abbildung 2). Daraufhin erfolgte die Wiedervorstellung, wobei sich ein inspektorisch unauffälliger Zungenbefund zeigte. Lediglich im Tastbefund war eine Resistenz in der tiefen Muskelschicht eruierbar. Die sonografische Untersuchung der Zunge zeigte keinen eindeutig abgrenzbaren Befund.In Intubationsnarkose erfolgte eine Nachresektion unter Wahrung eines Sicherheitsabstands. Die histopathologische Aufarbeitung des Präparats erbrachte keinen erneuten Nachweis des zuvor beschriebenen Granularzelltumors.
Diskussion
Der Granularzelltumor ist ein relativ seltener, benigner, nicht epithelialer Tumor, der nach dem Autor der ersten größeren Fallserie im Jahr 1926 auch als Abrikossoff-Tumor bezeichnet wird [Abrikossoff, 1926].
Die histopathologische Herkunft des Tumors war lange unklar. Die synonymen Bezeichnungen Myoblasten-Myom oder embryonales Rhabdomyoblastom weisen auf die initial vermutete Genese aus der quer gestreiften Muskulatur hin. Elektronenmikroskopische Untersuchungen mit Nachweis von myelinartigen Strukturen im Cytoplasma und der Expression der neuronspezifischen Enolase (NSE) und dem Protein S 100 in den Tumorzellen legen jedoch die Vermutung nahe, dass der Granularzelltumor neurogenen Ursprungs ist, wobei er wahrscheinlich von den Schwann-Zellen ausgeht.
Der Granularzelltumor kann im ganzen Körper vorkommen. Prädilektionsstellen sind die Zunge gefolgt von der Dermis beziehungsweise der Subcutis. Im Bereich der Mundhöhle ist nach dem Zungenrücken die Wange am häufigsten befallen. In fünf bis zehn Prozent treten multiple Granularzelltumoren auf [Chen et al.]. Granularzelltumoren betreffen überwiegend Erwachsene mit einem Altersgipfel zwischen der vierten und der sechsten Lebensdekade, können prinzipiell aber in jedem Lebensalter auftreten. Aus bisher nicht geklärter Ursache sind Frauen häufiger betroffen als Männer [Collins and Jones, 1995]. Der Tumor selbst ist meist asymptomatisch, er fällt lediglich durch einen langsamen, zum Teil über Jahre gehenden Größenprogress auf. Typisch für den Granularzelltumor ist das Fehlen einer Kapsel bei infiltrativem Wachstumsmuster, was den Eindruck eines malignen Geschehens vermitteln kann. Aber lediglich zwei bis drei Prozent aller Granularzelltumore sind maligne. Histologische Zeichen für ein malignes Wachstum können das Vorliegen von Nekrosen, eine spindelzellige Proliferation, Zellpolymorphien, vesikuläre Kerne mit prominenten Nukleolen, eine hohe Kern-Plasma-Relation und das Vorliegen von mehr als zwei Mitosen pro zehn HPF (200-fache Vergrößerung) sein. Liegen drei dieser Kriterien vor, wird von einem malignen Geschehen ausgegangen [Gilg et al.]. Die Klinik zeigt aber ein hohes Abweichen von dieser Regel, so dass ein malignes Wachstum sicher nur am Vorliegen einer Metastase festgemacht werden kann [Gilg et al.].
Die Therapie des benignen Granularzelltumors besteht in dessen Exzision. Bei vollständiger Entfernung ist das Wiederauftreten selten. Aufgrund der asymptomatischen Klinik wird die Diagnose in der Regel histologisch gestellt. Die Aussage über die Dignität kann letztlich jedoch in vielen Fällen nur klinisch nach entsprechenden Untersuchungen erfolgen. Die Prognose des malignen Granularzelltumors gilt insgesamt als schlecht [Gilg et al.].
Dieser klinische Fall soll nochmals auf die zahlreichen Varianten von nodulären Veränderungen in der Mundhöhle hinweisen. Neben der obligaten histologischen Aufbereitung unklarer Raumforderungen zeigt dieses Beispiel die Notwendigkeit einer ausführlichen klinischen Untersuchung und im Weiteren einer regelmäßigen Nachsorge.
Dr. Dr. Keyvan SaghebPD Dr. Dr. Christian WalterKlinik für Mund-, Kiefer- und Gesichtschirurgie – plastische OperationenUniversitätsmedizin der Johannes Gutenberg-Universität MainzAugustusplatz 255131 Mainz
walter@mkg.klinik.uni-mainz.de
PD Dr. Mike OttoMedizinisches Versorgungszentrum für Histologie, Zytologie und Molekulare DiagnostikMax-Planck-Str. 18+2054296 Trier
PD Dr. Torsten HansenInstitut für PathologieUniversitätsmedizin der Johannes Gutenberg-Universität
Fazit für die Praxis
• Der Granularzelltumor ist eine sehr seltene, meist benigne Neoplasie neuronalen Ursprungs.
• Hauptlokalisation ist der Kopf-HalsBereich und hierbei insbesondere die Zunge sowie Cutis und Subcutis.
• Bei asymptomatischer Klinik wird die Diagnose in der Regel histologisch gestellt.
• Die komplette Exzision des Befunds mit Sicherheitsabstand ist die Therapie der Wahl.
• Die Prognose des malignen Granularzelltumors gilt als schlecht, wobei eine histologische Dignitätsbestimmung nicht immer sicher möglich ist.




