Nekrotisierende cervikale Fasziitis als Folge einer odontogenen Infektion
Dirk Elvers, Timm Philipp Wolter, Till Braunschweig, Frank Hölzle
Ein 34-jähriger Patient wurde beatmet, tracheotomiert und katecholaminpflichtig aus einem Krankenhaus in die Notfallaufnahme des Uniklinikums Aachen verlegt.
Anamnestisch konnte eruiert werden, dass der alkoholabhängige Mann schon einige Tage zuvor bei einem niedergelassenen Zahnarzt mit den Symptomen einer exazerbierten apikalen Parodontitis des Zahnes 38 vorstellig wurde. Der Patient entzog sich einer adäquaten zahnärztlichen Therapie. Schließlich stellte sich der Patient bei zunehmender Beschwerdesymptomatik in einem Krankenhaus vor. Bei fulminantem Verlauf der Infektion mit Ausbreitung zur kontralateralen Seite wurde dort unter Antibiotikatherapie die Extraktion des Zahnes 38 sowie die Eröffnung des diffus abszedierten Cervikalbereichs beidseits bis prästernal über mehrere Zugänge mit Einlage von Drainageröhrchen durchgeführt.
Bei weiterem Ansteigen der Sepsisparameter sowie cervikalen Nekrosen der Haut wurde eine Tracheotomie durchgeführt und die Verlegung in das Uniklinikum Aachen veranlasst (Abbildung 1).
Das vor Verlegung angefertigte CT zeigte zahlreiche scharf begrenzte Hypodensitäten im Bereich der Halsweichteile, die das radiologische Korrelat zu Luft- beziehungsweise Gaseinschlüssen darstellten (Abbildung 2).
Es wurde die Indikation zur sofortigen operativen Revision gestellt. Das nekrotische Gewebe wurde cervikal abgetragen. Insbesondere der linke Musculus sternocleidomastoideus, die Submentalregion, der Mundboden, die perimandibuläre Loge links sowie die prästernale und pectorale Region rechts zeigten sich durch die Infektion infiltriert.
Die großen Halsgefäße waren insbesondere links arrodiert. Es konnten Abstriche und Gewebeproben für die mikrobiologische und pathologische Untersuchung gesichert werden. Der Patient wurde intensiv- medizinisch betreut, beatmet und systemisch weitertherapiert. Er erhielt eine hoch dosierte Antibiotikakombination mit Meropenem, Penicillin G, Vancomycin und Clindamycin.
Drei Tage später wurde bei einer Zustandsverschlechterung eine erneute resektive Therapie notwendig. Die Nekrosen waren weiter fortgeschritten und erreichten nun die Thoraxvorderwand sowie die posterioren Halsweichteile (Abbildung 3).
Zusammen mit den Kollegen der Klinik für Plastische Chirurgie, Hand- und Verbrennungschirurgie erfolgte die radikale Abtragung aller suspekten Haut- und Faszienanteile v-förmig bis zum kaudalen Sternum-Bereich und cervikal bis dorsal des Musculus sternocleidomastoideus (Abbildung 4).
Nach mehreren Verbandwechseln und Wunddebridements konnte am neunten Tag nach erster Nekroseabtragung das Tracheostoma verschlossen werden.
Im Rahmen dieser Operation wurde eine Nekrose der Gaumensegel beidseits festgestellt. Zusätzlich zeigte sich eine Wunddehiszenz regio 038 mit Ausbreitung nach lingual und exponiertem Knochen (Abbildung 5).
Nach Wundanfrischung in regio 038 erfolgte die Nekrosenentfernung an den Gaumensegeln.
Bei weiterhin stabilem Zustand des Patienten sowie guter Granulation der Wundflächen konnte am 14. Tag nach erster Nekroseabtragung im Klinikum Aachen die Defektdeckung in einem gemeinsamen Vorgehen mit der Klinik für Plastische Chirurgie, Hand- und Verbrennungschirurgie erfolgen. Als Ersatz der cervikalen Weichteile wurde ein mikrochirurgisch anastomosierter ALT-Lappen der Größe 35 cm x 15 cm vom linken Oberschenkel verwendet (Abbildung 6). Die Thoraxvorderwand wurde durch gemeshte Spalthaut vom Ober- und Unterschenkel links sowie von der linken Leistenregion gedeckt (Abbildung 7). Unter „meshen“ versteht man die Herstellung eines Gittertransplantats.
Am 21. Tag musste aufgrund akut verschlechterter Leberwerte und einer schwierigeren Beatmungsfähigkeit eine Retracheotomie durchgeführt werden.
Nach mehreren Eingriffen zu Wundreinigungen und Verbandswechseln im Bereich der entnommenen Transplantate konnte das Tracheostoma schließlich am 40. Tag in Lokalanästhesie verschlossen werden. Der Patient konnte nach siebenwöchigem Krankenhausaufenthalt in ausgezeichnetem Lokal- und Allgemeinzustand entlassen werden (Abbildungen 8 und 9).
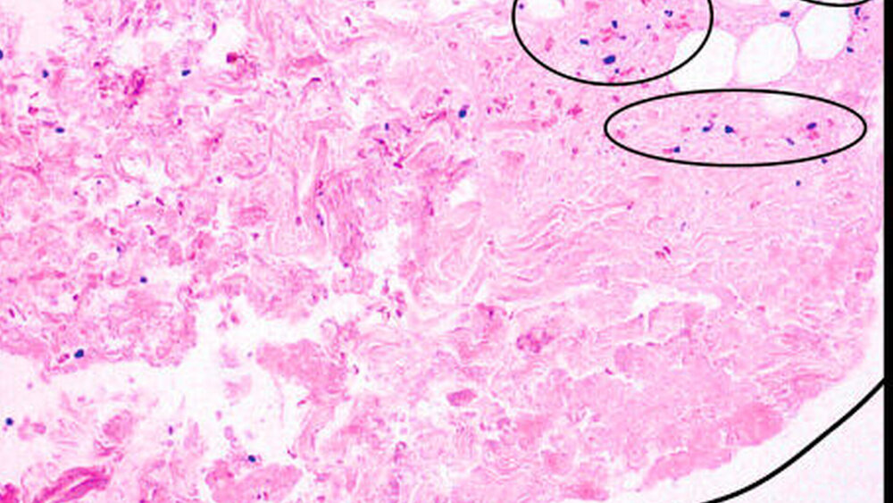
Es konnte kein typischer Erreger identifiziert werden, was sich durch den massiven Antibiotikaeinsatz erklären ließ. Histologisch bestätigten die Pathologen des Klinikums eine nekrotisierende Fasziitis, die in Form einer Gewebsprobe aus dem Halsbereich des Patienten in den Abbildungen 10 und 11 illustriert ist.
Aufgrund der ausgedehnten Nekrosen im Hals- und Rachenbereich, insbesondere mit Kompromittierung des linken Nervus hypoglossus, kam es zu einer starken Einschränkung des Schluckvermögens sowie stark reduzierter Zungenbeweglichkeit. Eine logopädische sowie neurologische Rehabilitaion folgte ambulant. Eine perkutane endoskopische Gastroenterostomie, die im Verlauf des Krankenhausaufenthalts durchgeführt wurde, sicherte bis zur Wiederherstellung einer adäquaten Schluckfunktion die Ernährung des Patienten. Während des stationären Aufenthalts erfolgte die Linderung der Alkoholentzugssymptome mit Clonidin. Eine eigenverantwortliche dauerhafte Abstinenz nach stationärer Entlassung ist fraglich.
Diskussion
Der Fall illustriert den schweren Verlauf einer cervikalen nekrotisierenden Fasziitis.
Jones schilderte bereits 1871 schwere gangränöse Infektionen der Kämpfer im amerikanischen Bürgerkrieg. Er beschrieb eine Infektion der Dermis und des subkutanen Gewebes, die sich rasch ausbreitete und oft als Mischinfektion vorlag.
Heute wissen wir, dass die Haupterreger beta-hämolysierende Streptokokken der Gruppe A, Enterobakterien, Staphyolcoccus aureus sowie Clostridien und Salmonellen sind. [Fenton et al., 2004].
In der Literatur werden immer wieder Fälle von cervikalen nekrotisierenden Fasziitiden beschrieben [Cutilli et al.; Treasure et al., 2010; Wolf et al., 2010; Huang et al., 2011].
AIDS, schwere Lebererkrankungen sowie eine Immunsuppression und ein Diabetes mellitus erhöhen das Erkrankungsrisiko [De Backer et al., 1996]. Eine Alkoholabhängigkeit begünstigt aufgrund fehlender Behandlungscompliance sowie möglicher Leberschäden die Entwicklung einer schwerwiegenden Infektion.
Zusammenfassend lässt sich für den Praxis- und Klinikalltag feststellen, dass grundsätzlich jede dentogene Infektion bei ungünstigen Rahmenbedingungen zu lebensbedrohlichen Infektionen führen kann. Speziell die genannten Patientengruppen tragen ein erhöhtes Risiko für die Entwicklung einer schweren Infektion.
Sowohl der chronische als auch der gelegentliche Alkoholkonsum kompromittiert die zelluläre und humorale Abwehr [Cook, 1998].
Schwere Alkoholiker stellen sich oft erst beim Arzt vor, wenn auch mit Alkohol keine Linderung der Beschwerden mehr möglich ist.
Im geschilderten Fall begünstigte die Alkoholabhängigkeit den Krankheitsverlauf, da die Verschleppung der Infektion sowie die alkoholbedingte Abwehrschwäche möglicherweise das Auftreten der cervikalen nekrotisierenden Fasziitis entscheidend gefördert haben.
Typische Zeichen für eine nekrotisierende Fasziitis sind ein rasanter Verlauf, eine bakterielle Gasbildung sowie die Nekrose der befallenen Haut- und Schleimhautarreale. Eine konsequente, radikale und rasche chirurgische Intervention, begleitet von einer hoch dosierten Antibiotikatherapie sowie eine intensivmedizinische Betreuung sind obligat, um das Überleben des Patienten zu sichern.
Dirk ElversUniv.-Prof. Dr. Dr. Frank HölzleKlinik und Poliklinik für Mund-, Kiefer- und GesichtschirurgieUniversitätsklinikum Aachen Pauwelsstr. 3052074 Aachendelvers@ukaachen.defhoelzle@ukaachen.de
OA PD Dr. Timm Philipp WolterKlinik für Plastische Chirurgie, Hand- und VerbrennungschirurgieUniversitätsklinikum AachenPauwelsstr. 3052074 Aachentwolter@ukaachen.de
OA Dr. Till BraunschweigInstitut für PathologieUniversitätsklinikum AachenPauwelsstr. 3052074 Aachentbraunschweig@ukaachen.de
Tipps für die Praxis
• Patienten mit schweren Allgemeinerkrankungen, insbesondere Drogen- oder Alkoholabusus sowie Lebererkrankungen oder Immunsuppression stellen eine Risikogruppe für nekroti-sierende Fasziitiden dar.
• Beginnende Nekrosen der Haut sowie palpable Emphyseme der befallenen Gewebsbereiche sind ein wichtiger klinischer Hinweis auf das Vorliegen einer nekrotisierenden Fasziitis.
• Das Überleben des Patienten hängt von raschem und entschlossenem Handeln ab.
• Eine intensivmedizinische Betreuung, eine hoch dosierte Antibiotikatherapie sowie die radikale Entfernung des infizierten Gewebes bis ins Gesunde stellen die Grundpfeiler für eine effektive Therapie dar.




