Trockener Mund, schlechter Geschmack
Mit Mundtrockenheit und Geschmacksveränderung wird der niedergelassene Zahnarzt regelmäßig und wiederholt konfrontiert. Beide Erscheinungen treten gehäuft bei Senioren auf. Aufgrund der demografischen Entwicklung ist daher damit zu rechnen, dass sie in der zahnärztlichen Praxis zunehmend häufig beobachtet werden. Der vorliegende Übersichtsartikel soll dazu dienen, den Begriff Mundtrockenheit zu definieren, ätiologische Faktoren und klinische Implikationen von Mundtrockenheit und Geschmacksveränderungen darzustellen und eine Anleitung zu therapeutischen Strategien geben.
Der Begriff Mundtrockenheit kann lediglich als Überbegriff verstanden werden. Aus wissenschaftlicher Sicht wird zwischen einer subjektiven und einer objektiven Komponente der Mundtrockenheit differenziert.
1. Mundtrockenheit
• Dabei wird die subjektive Komponente durch den aus dem Griechischen abgeleiteten Begriff Xerostomie beschrieben, der das subjektive Empfinden eines Patienten, an einem trockenen Mund zu leiden, definiert.
• Die objektive Komponente, die mit einer messbaren Verringerung der Speichelsekretion einhergeht, wird dagegen als Hyposalivation bezeichnet.
Diagnostik
Für die zahnärztliche Praxis sind beide Komponenten gleichermaßen relevant. So konnte gezeigt werden, dass die Xerostomie einen deutlich stärkeren Einfluss auf die mundgesundheitsbezogene Lebensqualität von Senioren hat als eine Verringerung des Speichelflusses. Mit zunehmend ausgeprägter Xerostomie sinkt die Lebensqualität der Senioren signifikant [Hahnel et al., 2014; Herrmann et al., 2015].
Eine Xerostomie kann leicht durch standardisierte Fragebögen wie den Xerostomia Inventory nach Thomson oder durch einfache Fragen erfasst werden, die in den vorhandenen Anamnesebogen integriert werden (wie „Leiden Sie häufig unter einem trockenen Mund?“) [Thomson et al., 2011]. Die Bestimmung der Speichelfließrate zur Erfassung einer Hyposalivation ist vor dem Hintergrund relevant, dass Patienten im Allgemeinen erst bei einer Verringerung der Speichelsekretion um wenigstens 50 Prozent erste Symptome bemerken [Dawes, 1987].
Die Sialometrie als Verfahren zur Bestimmung der unstimulierten beziehungsweise stimulierten Speichelfließrate kann ebenfalls mit einfachen Mitteln in den zahnärztlichen Praxisablauf integriert werden. Als Grenzwerte für das Vorliegen einer Hyposalivation gelten eine unstimulierte Speichelfließrate von weniger als 0,1 ml/min beziehungsweise eine stimulierte Speichelfließrate von weniger als 0,5 bis 0,7 ml/min [Hahnel, 2012].
Die meisten epidemiologischen Daten zur Mundtrockenheit beziehen sich auf die Erfassung der Xerostomie. Dabei kann man davon ausgehen, dass ihre Prävalenz im Alter erheblich steigt: Beträgt sie bei jungen Menschen zwischen zehn und 20 Prozent, erhöht sie sich bei über 70-Jährigen auf weit über 30 Prozent [Nederfors et al., 1997]. Was in der Vergangenheit noch kontrovers diskutiert wurde, konnte eine kürzlich veröffentlichte Metaanalyse jetzt belegen: Mit zunehmendem Alter kommt es zu einer Verminderung der Speichelfließrate [Affoo et al., 2015].
Allerdings bleibt zu diskutieren, inwieweit sich diese vergleichsweise geringen Veränderungen auf die Prävalenz der Mundtrockenheit und deren subjektive Empfindung auswirken. Entscheidend ist jedoch, dass die Xerostomie in vielen Fällen mit einer gravierenden Verschlechterung der mundgesundheitsbezogenen Lebensqualität der Betroffenen einhergeht. Verschiedene Studien belegen, dass die Xerostomie sogar größeren Einfluss auf die Lebensqualität hat als „harte“ Faktoren, wie die Anzahl vorhandener Zähne und Implantate oder die Qualität eines Zahnersatzes [Hahnel et al., 2014; Herrmann et al., 2015].
Ätiologie
Die ätiologischen Faktoren, die zu Mundtrockenheit führen, sind mannigfaltig. Schwere Verläufe werden – ungeachtet optimierter Therapieoptionen – insbesondere nach der strahlentherapeutischen Behandlung von Malignomen im Kiefer- und Gesichtsbereich beobachtet. Auch bei Autoimmunerkrankungen wie dem Sjögren-Syndrom werden häufig schwere Verläufe von Mundtrockenheit beobachtet, ebenso bei Patienten nach allogener Stammzelltransplantation (Abbildung 1).
Weniger bekannt ist, dass Mundtrockenheit auch im Rahmen von Volkskrankheiten und altersassoziierten Erkrankungen wie Diabetes mellitus gehäuft auftritt [Bernardi et al., 2007]. Dabei scheint aber nach gegenwärtiger Datenlage kein Zusammenhang zwischen dem HbA1c -Wert (dient der Blutzuckerbestimmung) und der subjektiven Empfindung von Mundtrockenheit beziehungsweise der Speichelfließrate zu bestehen [Bernardi et al., 2007; Aitken-Saavedra et al., 2015].
Weiterhin wird Mundtrockenheit vermehrt bei der Einnahme von Rauschmitteln, bei Menschen mit Essstörungen oder Mangelernährung sowie bei psychisch Erkrankten beobachtet. Generell steigt die Wahrscheinlichkeit, an Mundtrockenheit zu leiden, mit der Anzahl an Grunderkrankungen und eingenommener Medikamente erheblich [Nederfors et al., 1997; Smidt et al., 2011]. Sehr viele Medikamente weisen Mundtrockenheit als orale Nebenwirkung auf (siehe Tabelle) – insbesondere xerogene Medikamente sind dabei Vertreter der Antidepressiva, Neuroleptika, Benzodiazepine, Anthypertensiva oder Anti-Parkinson-Medikamente [Hahnel, 2012].
Symptome
In diesem Zusammenhang sollte bedacht werden, dass die Wechselwirkungen verschiedener gleichzeitig eingenommener Medikamente unter dem Aspekt der Mundtrockenheit als relevanter oraler Nebenwirkung bis dato kaum untersucht wurden. Während die Xerostomie vielfach mit einer erheblichen Einschränkung der Lebensqualität der betroffenen Patienten einhergeht, bewirkt die Verringerung der Speichelsekretion in der Regel klinische Symptome.
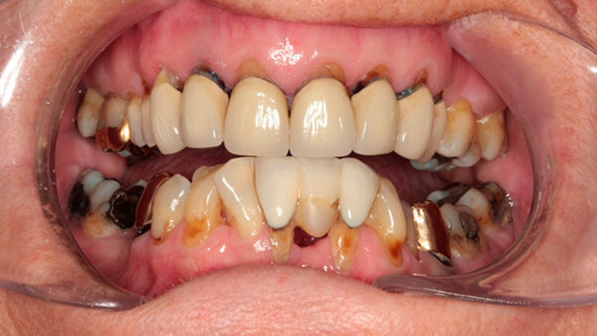
Dazu gehören das Auftreten von dünnen und verletzlichen Schleimhäuten der Mundhöhle, die fehlende Bildung eines Speichelsees im Mundbodenbereich, die aufgrund der fehlenden Selbstreinigungsfähigkeit der Mundhöhle vermehrte Ablagerung von Plaque sowie schließlich das Auftreten von kariösen Läsionen insbesondere im Zahnhalsbereich, die letztlich zu Frakturen führen können (Abbildung 2). In diesem Stadium gestaltet sich die restaurative zahnärztliche Therapie oft sehr schwierig. Weiterhin treten vermehrt Rhagaden der Mundwinkel auf. Bei besonders ausgeprägter Mundtrockenheit im Zuge strahlentherapeutischer Behandlungen werden häufig foudroyante Karies und Foetor beobachtet.
Neben diesen typischen klinischen Befunden wurde insbesondere bei Senioren mit Hyposalivation auch über eine veränderte Nahrungsaufnahme berichtet [Iwasaki et al., 2015], was die allgemeinmedizinische Relevanz der Mundtrockenheit zusätzlich unterstreicht: Sie kann leicht zur Malnutrition führen.
2. Geschmacksveränderung
Patienten mit Xerostomie leiden mit erhöhter Wahrscheinlichkeit auch an einer Beeinträchtigung ihres Geschmacksempfindens [Rawal et al., 2015], auch wenn bekanntlich dieser Sinn mit zunehmendem Alter nachlässt [Hoffmann et al., 2009]. Dieses Phänomen wird in der gegenwärtigen Literatur allerdings weniger auf einen absoluten Verlust an Geschmacksknospen als auf eine zunehmende Beeinträchtigung des Geruchssinns zurückgeführt [Boyce und Shone, 2006]. Im Allgemeinen ist nicht jeder der fünf Geschmackssinne – süß, salzig, sauer, bitter und „umami“ (japanisch für „köstlich“) – gleichermaßen betroffen. Während sich die Wahrnehmung der Geschmackssinne bitter und salzig erheblich verschlechtert, sind süß und sauer vergleichsweise wenig beeinträchtigt [Winkler et al, 1999; Yamauchi et al., 2002].
Ursachen
Geschmacksveränderungen können durch Veränderungen und Erkrankungen in der Mundhöhle ausgelöst werden: Zahnersatz, Mundtrockenheit, Karies oder Parodontitis, Pilzinfektionen, mechanische Traumata wie Druckstellen oder Tumore. Darüber hinaus können sie als Folge von Allgemeinerkrankungen und medizinischen Behandlungen wie Chemo- oder Radiotherapien, chirurgischen Maßnahmen am Mittelohr oder Tonsillektomien auftreten.
Weiterhin werden Geschmacksveränderungen als Nebenwirkung verschiedener Medikamente beschrieben; in diesem Kontext ist auffällig, dass gerade die von Senioren häufig eingenommenen Antihypertensiva, Lipidsenker oder Antikoagulantien vermehrt genannt werden.
Nicht vergessen werden sollten ein gerade bei Älteren häufig beobachteter Zinkmangel sowie Mangelernährung, Rauchen, Alkoholabusus und eine schlechte Mundhygiene [Imoscopi et al., 2012]. Die Behandlungsoptionen von Senioren mit Mundtrockenheit und Geschmacksveränderungen sind in vielen Fällen auf eine symptomatische
Therapie beschränkt. Prinzipiell sollte die zahnärztliche Prophylaxe gerade bei bezahnten Patienten einen hohen Stellenwert einnehmen. Dabei unterscheiden sich die Maßnahmen bei an Mundtrockenheit leidenden Patienten nicht von anderen Risikogruppen. Man sollte versuchen, je nach Ausmaß der Mundtrockenheit ein für den betroffenen Patienten individuell gestricktes Recall-Paket anzubieten und dabei besonders auf eine regelmäßige Fluoridierung der natürlichen Bezahnung achten.
Therapiemöglichkeiten
Im Dialog mit den medizinischen Fachgebieten kann ferner versucht werden, durch die Behandlung der ursächlichen Grunderkrankung die klinische Symptomatik zu verbessern. In diesem Kontext ist es in manchen Fällen auch möglich, durch Umstellung der Medikation auf Präparate mit geringeren xerogenen Eigenschaften eine Verbesserung des Geschmacksempfindens und eine Linderung der Mundtrockenheit zu erreichen. Gerade Patienten mit Problemen mit dem Geschmack sollten nicht rauchen. Außerdem empfiehlt es sich, regelmäßig den Zungenrücken zu reinigen [Winkler et al., 1999]. Dies geschieht mit einem speziellen Zungenschaber und/oder Zungenreinigungsgel. Darüber hinaus kann man Kräuter und Gewürze beim Kochen und Essen als Geschmacksverstärker einsetzen. Auf übermäßiges Süßen sollte dabei auch vor dem Hintergrund der Kariesprophylaxe verzichtet werden.
In den vergangenen Jahren haben sich die Möglichkeiten zur Zusammenarbeit zwischen Zahnarzt und Pflegeheim erheblich verbessert. In diesem Kontext sollte neben der von vielen Zahnärzten durchgeführten aufsuchenden Betreuung pflegebedürftiger Senioren auch das Pflegepersonal regelmäßig zum Thema Mundtrockenheit und Geschmacksveränderungen geschult werden. Da immer mehr Senioren ambulant von ihren Angehörigen gepflegt werden, erscheint es darüber hinaus notwendig, die Angehörigen zu informieren.
Als supportive Maßnahme zur Linderung der Mundtrockenheit empfiehlt sich die Anwendung von Speichelersatzmitteln. Dabei wird zwischen kommerziellen Produkten und Hausmitteln wie Tee, Milch oder Öle differenziert, die oft kostengünstiger sind. Manche Hausmittel, wie etwa das Lutschen von gefrorenen Zitrusfrüchten oder sauren Drops, die eine Stimulation des Speichelflusses bewirken, sind gerade bei bezahnten Patienten kritisch zu sehen, da aufgrund des niedrigen pH-Werts ein zusätzlich erhöhtes Risiko für Erosionen und Demineralisationen besteht. Kommerzielle Produkte sind meist auf Basis verschiedener Cellulose-Arten oder pflanzlicher und tierischer Mucine und enthalten Zusätze wie Fluorid, Calcium, Phosphate, Carbonate und Geschmacksstoffe.
Dabei gibt es unterschiedliche Darreichungsformen wie Sprays, Gele oder Mundspüllösungen, die sich im Wesentlichen hinsichtlich ihrer Substantivität unterscheiden. So werden hochvisköse Gele vor allem von Patienten mit sehr ausgeprägter Mundtrockenheit bevorzugt [Hahnel et al., 2009], wohingegen sich Mundspülungen bei leichten Fällen anbieten. Weiterhin werden speziell entwickelte Kaugummis und Zahnpasten, die zum Teil antimikrobielle Agenzien enthalten, angeboten. Hier muss darauf hingewiesen werden, dass die Therapie mit Speichelersatzmitteln häufig sehr individuell ist, und Patienten verschiedene Produkte ausprobieren sollten, um für sich selbst das am besten geeignete Produkt zu finden.
Da einige Produkte einen sehr niedrigen pH-Wert aufweisen, der bei regelmäßigem Kontakt eine Demineralisation von Dentin und Zahnschmelz bewirken kann [Kielbassa et al., 2001; Meyer-Lückel et al., 2002], sollten Sie bezahnten Patienten Fluorid-haltige Produkte mit hoher Konzentration an Calcium und Phosphat empfehlen. Viele Patienten benetzen ihre Schleimhäute auch häufig mit Wasser. Allerdings ist hier im Gegensatz zu kommerziellen Produkten keine über eine nur kurzzeitige Linderung der Mundtrockenheit hinausgehende Wirkung zu erwarten [Femiano et al., 2011]. Gleichzeitig wird durch die stete Verdünnung des Speichels dessen Pufferkapazität verringert und damit der physiologische Kariesschutz herabgesetzt.
Prof. Dr. Sebastian Hahnel
Poliklinik für Zahnärztliche Prothetik
Universitätsklinikum Regensburg, 93042 Regensburg




