Socket Preservation ohne Fremdmaterialien
Neben der klassischen, behutsamen kieferorthopädischen Extrusion hat sich die forcierte Extrusion etabliert [Ingber J et al., 1974; Ingber J. et al., 1976; Malmgren O. et al., 1991; Felippe LA et al., 2003]. Das Prinzip der Extrusion ist definitionsgemäß die Bewegung des Zahns in vertikaler Richtung aus dem Alveolenfach hinaus.
Verschiedene Techniken werden hier diskutiert, wobei die forcierte Extrusion mit Extrusionshantel (Fa. Komet) und Gummizug nachweislich hervorragende Ergebnisse nach extrem kurzer Behandlungsdauer liefert [Neumeyer S. et al., 2009; Neumeyer S., 2010]. Zugrunde liegen der forcierten Extrusion wissenschaftliche und klinische Ergebnisse aus fast 100 Jahren praktizierter, langsamer kieferorthopädischer Extrusion [Kwapis BW. et al., 1972; Bach N. et al., 2004].
Die forcierte Extrusion wurde bereits seit Jahren in der Literatur gut umschrieben [Neumeyer S. et al., 2009; Neumeyer S., 2010; Brawek P. et al., 2013; Mehl C. et al., 2008] und über eine Vielzahl von Fallberichten verifiziert [Malmgren O. et al., 1991; König A., 2007; Krastl G. et al., 2004]. Mit kieferorthopädischen Gummizügen wird der Zahn über einen sehr kurzen Zeitraum aus dem Alveolarfach bewegt.
Behandlungsschritte | Vorgehen |
|---|---|
0 | Diagnosestellung (Abb. 1) |
1 | Falls die Diagnose zur Extraktion eindeutig erscheint (wie hier bedingt durch die Längsfraktur der Wurzel): Einkürzen des Zahnes |
2 | Präparation einer Rille in bukkooraler Richtung zur Positionierung der Extrusionshantel (Fa. Komet) (Abb. 2) |
3 | Adhäsive Fixierung der Extrusionshantel in der Rille (Abb. 3) |
4 | An einem Ende der Extrusionshantel ist bereits eine Retentionslinse angebracht. die zweite Linse muss am gegenüberliegenden Ende adhäsiv fixiert werden |
5 | Bei parodontal gesunden Verhältnissen: Durchtrennung des marginalen Faserapparates zur Verhinderung einer marginalen Migration der umliegenden Gingiva mit Elektrosonde oder Mikroskalpell |
6 | Adhäsive Fixierung des koronalen 1/3 der ursprünglichen Krone (Frontzahnbereich. Abb. 3) oder der Extrusionsstege (Klammerdraht oder Extrusionssteg Fa. Komet) an den Nachbarzähnen |
7 | Das Extrusionsgummi wird von der oralen Retentionslinse zur vestibulären Linse gespannt (Abb. 3) |
8 | Prüfung der Okklusion; es darf weder in statischen noch in der dynamischen Okklusion Kontakte auf den Extrusionsstegen oder der eingeklebten Restkrone geben |
Quelle: Mörig et al. |
Die Intensität lässt sich durch die Stärke der Gummizüge variieren. Die Krafteinwirkung ist hier maßgeblich höher im Vergleich zu alternativen Systemen, wie beispielsweise bei der Magnetextrusion [Han G., 2005; Mehl C. et al., 2008]. Herkömmliche kieferorthopädische Apparaturen und auch Magnete extrudieren mit einer messbaren Zugkraft von 15 bis 50 cN [Bondemark L. et al., 1997; Korayem M. et al., 2008].

Bei der hier dargestellten Behandlungsabfolge wurden im Seitenzahnbereich Kräfte bis zu 850 cN appliziert, ohne dass hier mit strukturbiologischen Schädigungen hätte gerechnet werden müssen. Fernerhin kann neu gebildeter Knochen radiologisch verifiziert werden. Bisher diente die forcierte Extrusion zweierlei Indikationen: dem Knochenerhalt beziehungsweise der -regeneration nach Extraktion [Salama H. et al., 1993] und der präprothetischen Kronenverlängerung [Neumeyer S. et al., 2009]. Weitere Indikationsbereiche werden in den Falldarstellungen thematisiert.
Zielsetzung
Ziel der Fallpräsentationen ist es, anhand besonders diffiziler Patientenfälle die mannigfaltigen Möglichkeiten der forcierten Extrusionstherapie darzulegen. Unterstellt wird, dass der Zugvektor, der über die Extrusionsgummis auf die jeweilige Wurzel einwirkt, eine osteoinduktive Wirkung über die gesamte Wurzellänge ausübt. Des Weiteren soll klinisch veranschaulicht werden, inwieweit die forcierte Extrusion Auswirkung auf den parodontalen Faserapparat und den Alveolarknochen hat. Die osteoinduktive Potenz des Dentins einer replantierten Wurzelscheibe wird zum Erhalt der bukkalen Knochenwand nach Extraktion vorgestellt.
Thema Krafteinwirkung
Die Extrusion lässt sich grundsätzlich anhand der einwirkenden Kräfte in drei Kategorien unterteilen [Bach N. et al., 2004].
Bei der langsamen Extrusion mit geringen Kräften (10 bis 30 cN) wird das umliegende Gewebe mit extrudiert [Buskin R. et al., 2000]. Die Migration der Gewebe setzt gesunde Parodontalverhältnisse voraus.
Bei der Extrusion mit mittleren Kräften werden die Werte von 100 bis 200 cN [Mehl C. et al., 2008; Bondemark L. et al., 1997] angegeben. Nennenswert wäre in dieser Kategorie beispielsweise die etwas sehr aufwendige Extrusion mit Magneten [Mehl C. et al., 2008].
Auf histologischer Ebene entspricht die forcierte Extrusion mit extrem hohen Kräften der vertikalen, desmodontalen Distraktion von Zähnen. Die massive Krafteinwirkung führt über immunhistochemische Prozesse zu einer Aktivierung des Knochenstoffwechsels [Wilmes B. et Drescher D., 2009] und zur Mitnahme aller parodontalen Strukturen. Standardisierte Messungen im Labor zeigen Kräfte zwischen 200 bis 850 cN je nach Wegstrecke, Krafteinleitung und Auswahl der Gummizüge. Die Krafteinwirkung der Gummizüge verringert sich über die Tragedauer.
Behandlungsschritte | Vorgehen |
|---|---|
9 | Klinische und radiologische Nachuntersuchung ca. 2 Monate nach Extraktion |
10 | Klinische (Abb. 4) und radiologische Kontrolle nach forcierter Extrusion |
11 | Noninvasive Zahnentfernung mit möglichst viel erhaltener Wurzelhaut (Abb. 5) |
12 | Präparation der Wurzelscheibe/n mit Reinigung und Füllung der Wurzelkanäle (Abb. 6) |
13 | Repositionierung der Wurzelscheibe/n minimal suprakrestal (Abb. 7) mit adhäsiver Wiederbefestigung der klinischen Restkrone an den Nachbarzähnen und Auffüllen des offenen Bereichs mit Komposit zur ästhetischen Maskierung und zum Schutz der Wurzelscheibe/n vor Zungen- und Wangendruck |
Quelle: Mörig et al. |
Anders als bei ankylosierten Zähnen [Wilmes B. et Drescher D., 2009] scheint bei der forcierten Extrusion jedoch keine kontinuierliche Krafteinwirkung erforderlich. Bei einem Ösenband (Fa. Ormco®) mit 850 cN initialer Krafteinwirkung konnten wir nach zwei Tagen einen Kraftverlust – bei gleichbleibender Distanz – von rund 50 cN messen, nach vier Tagen von etwa 100 cN. Der Kraftverlust bei Gummiringen ist im Regelfall deutlich höher und schneller.

Wichtiger als die Distanz selbst ist rein physikalisch gesehen die Richtung der Zugvektoren. Erstrebenswert wäre ein möglichst vertikaler Zug der Gummizüge. Die bei der hier vorgestellten forcierten Extrusion gemessenen Kräfte liegen deutlich über den Werten der langsamen und der mittleren Kategorien. Die vertikale, desmodontale Distraktion scheint unter dem Begriff der forcierten Extrusion geläufiger zu sein und wird so auch im Verlauf dieses Artikels weiterhin benannt.
Zwei Fallbeispiele
Fall 1: Spätbehandlung einer parodontologisch induzierten Paro-Endo-Läsion
Bei Zahn 36 zeigte sich zu Beginn der Behandlung eine massive Osteolyse (Abbildung 8). Die anfängliche Diagnose lautete: massiv vorangeschrittene Paro-Endo-Läsion mit Osteolyse von rund 80 Prozent mit Furkations- und Lockerungsgrad von jeweils III und mit Pusaustritt aus einer vestibulären Fistel. Daher war die Prognose: nicht erhaltungswürdiger Zahn.
Um eine spätere, aufwendige Augmentation zu vermeiden und über einen längeren Zeitraum knochenregenerativ wirken zu können, sollte Zahn 36 vor der späteren Extraktion forciert aus der Alveole bewegt werden. Die insuffiziente Wurzelbehandlung spielte zu diesem Zeitpunkt aufgrund der infausten Prognose keine Rolle.
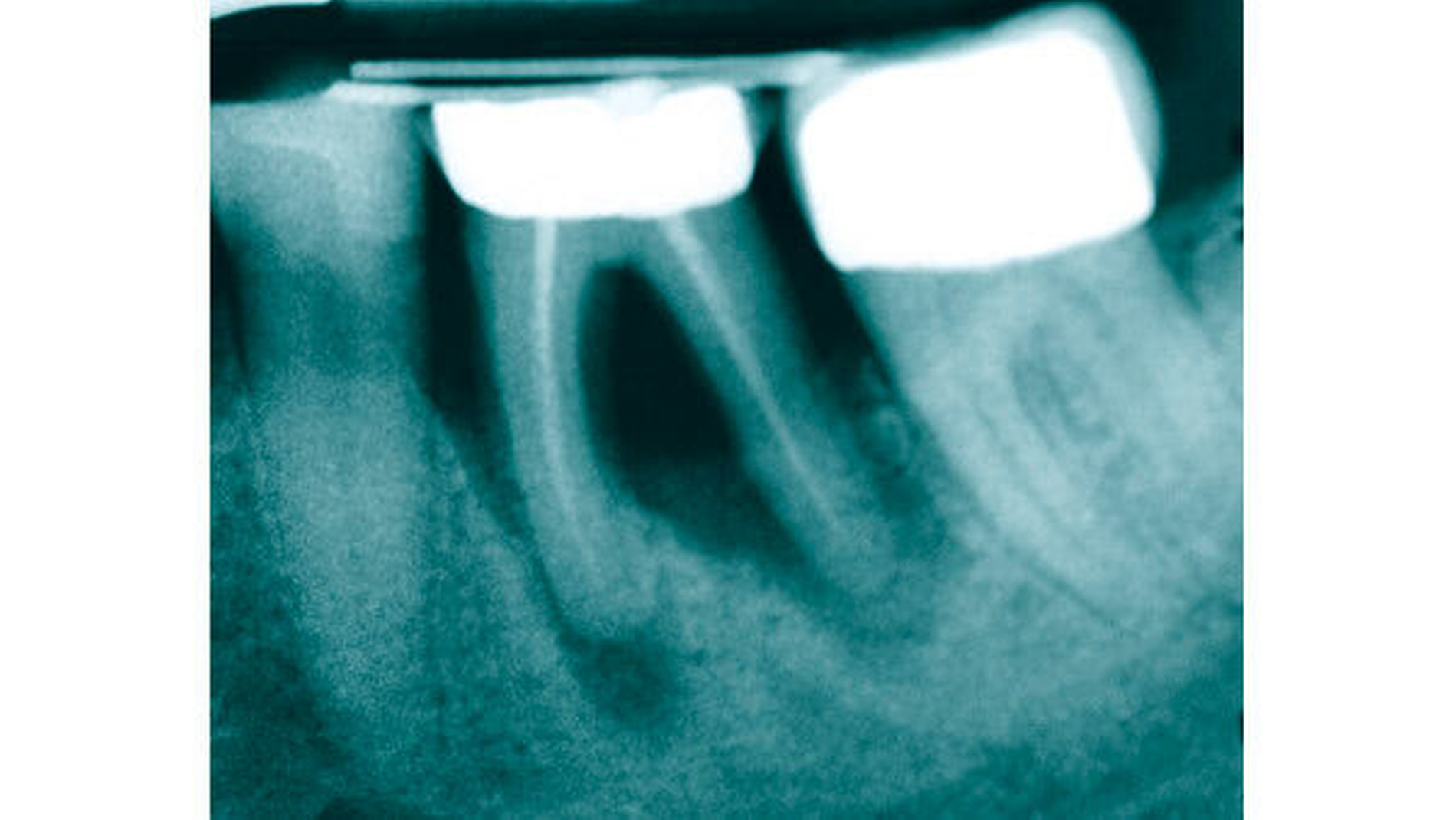
Nach forcierter Extrusion (Abbildung 9) mit vier Gummiwechseln innerhalb von acht Tagen und einer ersten Stabilisierungsphase zeigten sich im Röntgenbild (Abbildung 10) erste, deutliche Reossifkationen.
Zu Beginn der Extrusion wurden die Taschen vorsichtig ausgespült, wobei ein Flüssigkeitsaustritt aus dem Fistelgang gut zu beobachten war. Einleitend wurde auf ein Deep Scaling oder Ähnliches verzichtet. Die Fixierung wurde daraufhin beibehalten und die Patientin engmaschig zur Kontrolle und zur professionellen Reinigung einbestellt.
Nach etwa zehn Monaten wurde noch einmal ein Extrusionsimpuls mit zweimaligem Gummiwechsel gesetzt. Etwa zwei Monate später zeigte sich radiologisch ausreichend Knochen bei gleichzeitig taktiler Stabilität (Lockerungsgrad 0), um den Zahn doch erhalten zu können. Die Sondierungstiefen lagen mesial und distal nur noch bei maximal 5 mm, und die ursprünglich durchgängige Furkation lies sich nicht mehr sondieren.
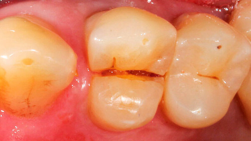
Die Wurzelfüllung wurde suffizient revidiert (Abbildung 11) sowie ein Deep Scaling von 37 bis 35 durchgeführt. Aufgrund der nunmehr guten Prognose wurde im Rahmen einer Gesamtsanierung auch der Zahn 36 mit einer Lithiumdisilikatkrone (Emax, Fa. Ivoclar Vivadent) neu versorgt (Abbildung 12).

Die Patientin nimmt an einem engmaschigen Recall im Sinne einer unterstützenden Parodontitistherapie (UPT) [Wilson TG. et al., 1991] teil.
Sowohl die klinische Situation nach Eingliederung als auch die radiologische Nachkontrolle zeigen einen suffizient versorgten eigenen Zahn 36. Dies konnte trotz der ursprünglichen Osteolyse von etwa 80 Prozent ohne Zuhilfenahme von Fremdmaterialien und ohne jegliche chirurgische Intervention erreicht werden.
Ergebnis: Der a priori extraktionswürdige Zahn 36 konnte durch die Anwendung der forcierten Extrusionstherapie völlig noninvasiv langfristig erhalten werden. Ein Jahr nach Eingliederung ist der Zahn parodontal stabil mit Messwerten unter 3 mm bei Sechspunktmessung. Die Gingiva ist zartrosa und volumenstabil.
Diskussion: Die Prognose des Zahnes 36 war zu Beginn der Behandlung derart infaust, dass von einer späteren Entfernung ausgegangen werden musste. Umso bemerkenswerter erschien der Verlauf der Behandlung. Die forcierte Extrusion sollte anfänglich das spätere Implantatlager generieren. Erst im Lauf der Behandlung konnte radiologisch eine massive Knochenregeneration festgestellt werden, die über das Maß einer präimplantologischen Therapie [Salama H. et al., 1993] deutlich hinausreichte. Die Prognose des Zahns hatte sich damit entscheidend gebessert, so dass nun erfolgreich versucht wurde, den Zahn zu erhalten.
Außer Frage steht, dass für diese Problematik ebenfalls die operative Behandlung mit Implantation von Schmelzmatrixproteinen als regenerativer Impuls durchaus diskutabel gewesen wäre [Ramseier CA. et al., 2000 und 2012]. Dennoch sei hier nochmals erwähnt, dass bei der forcierten Extrusion ausschließlich mit körpereigenen Mechanismen der Wundheilung und Regeneration gearbeitet werden konnte [Fahmy MD. et al., 2016].
Fall 2: Socket Preservation ohne Fremdmaterialien
Nachdem im Rahmen einer Gesamtsanierung Zahn 21 nicht erhaltungswürdig gewesen ist, erfolgte eine forcierte Extrusion beginnend mit rund 700 cN mit zwei Gummiwechseln innerhalb von zwei Tagen und anschließend eine komplett noninvasive Entfernung des Zahnes.
Direkt unterhalb des Zahnhalses wurde eine etwa 2,5 bis 3 mm dicke Wurzelscheibe abgetrennt und genau an ihre ursprüngliche Stelle so replantiert, dass das umliegende Weichgewebe „wie gewohnt“ protektiv gestützt wurde (Abbildung 13). Die Vorhersagbarkeit dieser Methode konnte auch durch einen etwas außergewöhnlichen, weiteren Fall verifiziert werden: Entgegen unserer Vorgabe, sich etwa sechs Wochen nach der Replantation der Wurzelscheibe erneut vorzustellen, erschien die Patientin erst fünf Jahre später wieder in der Praxis und selbst nach diesem langen Zeitraum war der bukkale Knochen unter der replantierten Wurzelscheibe vollständig erhalten geblieben (Abbildung 14).

Im hier beschriebenen Fall des Zahnes 21 wurde über die replantierte Scheibe die provisorische Versorgung so erstellt beziehungsweise eingegliedert, dass die Scheibe in ihrer Position gesichert war und auch die Zunge (besonders in den ersten etwa 14 Tagen) selbige nicht mobilisieren konnte (Abbildung 15). Durch das gut erhaltene Parodont war die Wurzelscheibe nach diesem Zeitraum bindegewebig wieder eingewachsen.
Unter der replantierten Wurzelscheibe an Zahn 21 (Abbildung 16) erfolgte in nur acht Wochen eine vollständige Knochenregeneration der Alveole. Dabei blieb auch der bukkale Hart- und Weichgewebsanteil vollständig erhalten. Nach Entfernung der Scheibe war für eine optimale Positionierung des Implantats in allen Dimensionen ausreichend Knochen vorhanden (Abbildungen 17 und 18).
Ergebnis: Da nicht nur die bukkale Knochenwand mit dieser Methode vollständig erhalten werden konnte, sondern auch das periphere Weichgewebe gestützt wurde (Abbildung 19), konnte unter vollständigem Erhalt der Papillen mittels der eingegliederten Krone ein in jeder Hinsicht optimales Ergebnis erzielt werden. In der Nachsorge auch nach etwa fünf Jahren fügte sich die Versorgung funktionell und ästhetisch optimal ins Gesamtbild ein (Abbildung 20).

Diskussion: Die Falldarstellung der forcierten Extrusion mit Replantation einer Wurzelscheibe an Zahn 21 veranschaulicht die Effektivität dieses Verfahrens ohne Verwendung von Fremdmaterialien oder weiteren chirurgisch-rekonstruktiven Maßnahmen.
Die Versorgung ist langfristig klinisch und radiologisch stabil. Alternativ hätte der Zahn auch herkömmlich minimalinvasiv mittels einer Zange oder eines Hebels entfernt werden können.
Unabhängig davon, dass ein vielleicht klinisch irrelevantes, lokales Gewebetrauma mit diesem Verfahren nicht zu vermeiden gewesen wäre, nutzen wir mit der forcierten Extrusion die Anregung von schnellerem Knochenwachtum [Amato F. et al., 2012; Wilmes B. et Drescher D., 2009]. Ebenfalls hätte Knochenersatzmaterial [Mordenfeld A. et al., 2014] oder ein Knochenblock [Cordaro L. et al., 2002] inseriert und mit einer Membran abgedeckt werden können [von Arx T., Buser D. et al., 2006; Schwarz et al., 2010]. Dieses Vorgehen hätte aber voraussagbar zu einer deutlich längeren Ausheilung der Alveole mit fraglicher Prognose bezüglich des bukkalen Knochenerhalts geführt [Chawaf B., 2010].
Letztendlich wäre auch eine Sofortimplantation vertretbar gewesen [Khzam N. et al., 2015], deren Prognose gerade im ästhetisch hoch diffizilen Bereich jedoch zumindest riskant gewesen wäre. Die hier vorgestellte Methode reduziert den Kostenaufwand deutlich, kommt ohne körperfremde Materialien aus und nutzt die körpereigene, regenerative Kompetenz konsequent aus. Unter der forcierten Extrusion und anschließender Replantation einer Wurzelscheibe wurde auch Knochenneubildung nach vorhandenen Dehiszenzen beobachtet, jedoch muss darauf hingewiesen werden, dass ab einem gewissen bukkalen Defektgrad auch diese Therapie ihre Limitierung erfährt.
Kritische Betrachtung
Die forcierten Extrusionen verliefen ohne Komplikationen. Der Behandlungszeitraum war speziell im Fall des Zahnes 36 ausgedehnt, im Resultat jedoch absolut gerechtfertigt. Außer Frage steht, dass die Ergebnisse relativ zeitnah (Zahn 36 nach zwölf Monaten und Zahn 21 nach fünf Jahren) nach Versorgung dargestellt werden. Weitere Nachuntersuchungen von bis zu zehn Jahren stehen noch aus.
Grundsätzlich gilt, dass innerhalb der Retentionsphase der natürliche Zahn – alternativ die Wurzelscheibe – als induzierender Faktor für die Reossifikation der apikalen Extrusionshöhle dient. Dieser Prozess wird als Dentointegration in der Literatur umschrieben [Silva TA. et al., 2004; Schwarz F. et al., 2016]. Knochenhöhlen in direktem Kontakt zu Dentin weisen eine deutlich höhere Reossifikationsrate auf als Knochendefekte ohne dentointegrativen Stimulus.
Als Bewertungsfaktoren für erfolgreich erhaltene Zähne nach forcierter Extrusion definieren wir in der Nachuntersuchung die gängigen Parameter wie Lockerung, Sondierungstiefen, Rezessionen, Entzündungszeichen, Blutung auf Sondierung und gegebenenfalls Vitalität bei vorab vitalen Zähnen [Pathak AK. et al., 2016].
Der Grundgedanke ist in der Literatur bereits in den 90er-Jahren beschrieben worden [Frank CA. et al., 1995]. In der zitierten Studie wurden ebenfalls parodontal kompromittierte Zähne extrudiert. Der Unterschied zwischen unserer aktuellen Falldarstellung 1 liegt darin, dass damals chirurgische Behandlungen mit orthodontischer Extrusion kombiniert wurden, während wir heute noninvasiv therapieren.
Die Behandlung des Zahnes 36 führte zur Verbesserung des Kronen-Wurzel-Verhältnisses in Anbetracht der ungünstigen Hebelverhältnisse an parodontal kompromittierten Zähnen im Gegensatz zur chirurgischen Kronenverlängerung. Weitere Kontrollen sowohl klinisch, parodontologisch wie auch radiologisch sind essenziell.
Literaturvergleich
Paro-Endo-Läsionen
Verschiedene Therapieoptionen zur Behandlung von parodontal und endodontisch kompromittierten Zähnen sind in der Literatur gut umschrieben [Schmidt JC. et al., 2014; Sharma R. et al., 2014], dennoch gibt es trotz jahrelanger Forschung auf diesem Gebiet bislang keinen Goldstandard. Im Vergleich zur forcierten Extrusion sind die in der Literatur umschriebenen Behandlungen deutlich invasiver. Grundsätzlich wird postuliert, die endodontische Behandlung der parodontologischen Behandlung voranzustellen, sofern der Zahn erhaltungswürdig scheint [Abbot P., 1998; Kobayashi T. et al., 1990]. Wäre in der Falldarstellung 1 bereits vorab der Zahnerhalt als definitives Ziel definiert gewesen, wäre auch hier die endodontische Behandlung vorangestellt worden.
Die forcierte Extrusion ist eine Behandlungsoption ohne die Verwendung von Fremdmaterialien und ohne chirurgische Intervention. Dies unterscheidet sie als Therapieoption grundlegend von anderen in der Literatur umschriebenen Behandlungskonzepten stark kompromittierter Zähne [Schmidt JC. et al., 2014].
Gesetzt den Fall, der in der Falldarstellung thematisierte Zahn müsste in einigen Jahren wider Erwarten doch extrahiert werden, wäre zumindest durch die bisherige Behandlung mittels forcierter Extrusion der Kieferkamm soweit regeneriert worden, dass der Ersatz durch ein Implantat ohne umfangreiche Augmentation möglich sein sollte [Alsahaf A. et al., 2016; Amato F. et al., 2012; Salama H. et al., 1993]. Das Prozedere der forcierten Extrusion, wie sie hier beschrieben ist, zeigt auch in langjährig nachuntersuchten Patientenfällen stabile Ergebnisse. Die hier veröffentlichten Falldarstellungen entsprechen in der SAC-Klassifikation [ITI] dem Grad besonders schwierig (C = Complex).
Der beschriebene Patientenfall 2 zeigt einen konkreten Behandlungsvorschlag für eben diese Indikation. Über den Stimulus des Dentins werden im Alveolarknochen osteoinduktive Mechanismen zur Knochenneubildung angeregt [Schwarz et al., 2016]. Intraoperativ zeigt sich zur Implantation ein gesunder, stabiler und vollständig ausgeknöcherter Alveolarfortsatz bereits nach etwa zwei Monaten. Im Vergleich zu herkömmlichen Methoden der Socket Preservation ist durch den gänzlichen Verzicht auf Fremdmaterialien nicht mit einer Behinderung der Knochenregeneration zu rechnen [Chawaf BA., 2011].
Fazit
Zusammenfassend lässt sich festhalten, dass mittels forcierter Extrusion nachweisbar und reproduzierbar Knochen generiert werden kann. Die hier publizierten Fälle zeigen Möglichkeiten auf, mit dieser Therapie bereits bekannte pathologische Geschehen wie die Paro-Endo-Läsion selbst im weit fortgeschrittenen Stadium adäquat zu behandeln.
Selbst als Vorbereitung vor einer Extraktion wird durch die forcierte Extrusion offensichtlich ein Impuls zur schnelleren Knochenbildung gesetzt. Die temporäre Repositionierung einer entsprechenden Wurzelscheibe verspricht den Erhalt des umliegenden Hart- und Weichgewebes.
Dr. med. dent Gernot Mörig
Oralchirurg Robert Svoboda
Dr. med. dent. Laura Podolsky, MSC
ZahnGesundheit Oberkassel
Schanzenstr. 20, 40549 Düsseldorf
info@za-go.de
Literaturliste
Abbott P.: Endodontic management of combined endodontic-periodontal lesions. J N Z Soc Periodontol. 1998;(83):15-28.
Alsahhaf A., Att W.: Orthodontic extrusion for pre-implant site enhancement: Principles and clinical guidelines. J Prosthodont Res. 2016 Jul;60(3):145-55.
Amato F., Mirabella AD., Macca U., Tarnow DP.: Implant site development by orthodontic forced extraction: a preliminary study. Int J Oral Maxillofac Implants. 2012 MarApr;27(2):411-20.
Bach N., Baylard JF., Voyer R.: Orthodontic extrusion: periodontal considerations and applications. J Can Dent Assoc. 2004 Dec;70(11):775-80.
Bondemark L., Kurol J., Hallonsten AL., Andreasen JO.: Attractive magnets for orthodontic extrusion of crown-root fractured teeth. Am J Orthod Dentofacial Orthop. 1997 Aug;112(2):187-93.
Brawek P., Schley, J.S., Wolfart S.: Tooth preservation by forced extrusion with magnets – a case report. Dtsch Zahnärztl Z 2013, 68: 456–462
Buskin R., Castellon P, Hochstedler JL.: Orthodontic extrusion and orthodontic extraction in preprosthetic treatment using implant therapy. Pract Periodontics Aesthet Dent. 2000 Mar;12(2):213-9; quiz 220.
Chawaf B.A. Healing of human extraction sockets augmented with Bio-Oss Collagen after 6 and 12 weeks. urn:nbn:de:kobv:188-fudissthesis000000025079-1
Cordaro L., Amadé DS., Cordaro M.: Clinical results of alveolar ridge augmentation with mandibular block bone grafts in partially edentulous patients prior to implant placement. Clin Oral Implants Res. 2002 Feb;13(1):103-11.
Fahmy M.D., Luenke P.G., Ibrahim M.S. Guentsch A.: Treatment of a PeriodonticEndodontic Lesion in a Patient with Aggressive Periodontitis. Case Rep Dent. 2016;2016:7080781.
Felippe LA., Monteiro Júnior S., Vieira LC., Araujo E.: Reestablishing biologic width with forced eruption. Quintessence Int. 2003 Nov-Dec;34(10):733-8.
Frank CA., Pearson BS., Booker BW. Orthodontic eruption of furca-involved molars. Compend Contin Educ Dent. 1995 Jul;16(7):664, 666, 668 passim; quiz 682.
Han G., Huang S., Von den Hoff JW., Zeng X., Kuijpers-Jagtman AM.: Root resorption after orthodontic intrusion and extrusion: an intraindividual study. Angle Orthod. 2005 Nov;75(6):912-8.
Ingber J S. Forced eruption of teeth: Part 1. A method of treating isolated one and two wall infrabony osseous defects-rationale and case report. J Periodontol 1974; 45: 199–206.
Ingber J S. Forced eruption of teeth: Part 2. A method of treating nonrestoreable teethperiodontal and restorative considerations. J Periodontol 1976; 47: 203–216.
Khzam N., Arora H., Kim P., Fisher A., Mattheos N., Ivanovski S.:Systematic Review of Soft Tissue Alterations and Esthetic Outcomes Following Immediate Implant Placement and Restoration of Single Implants in the Anterior Maxilla. J Periodontol. 2015 Dec;86(12):1321-30.
Kobayashi T., Hayashi A., Yoshikawa R., Okuda K., Hara K.: The microbial flora from root canals and periodontal pockets of non-vital teeth associated with advanced periodontitis. Int Endod J. 1990 Mar;23(2):100-6.
König A., Hermann JS.: Pre implant orthodontic measures for augmentation of hard and soft tissue – treatment rationale and case report. Deutscher Ärzte-Verlag Köln | zzi | Z Zahnärztl Impl | 2007;23(3)
Korayem M., Flores-Mir C., Nassar U., Olfert K.: Implant site development by orthodontic extrusion. A systematic review. Angle Orthod. 2008 Jul;78(4):752-60.
Krastl G.: Erhalt eines traumatisierten Frontzahns mit Wurzelquerfraktur durch kieferorthopädische Extrusion. Endodontie 2004; 13/4: 323–334
Kwapis B.W., Knox J.E.: Extrusion of teeth by elastics: report of two cases. J Am Dent Assoc. 1972 Mar;84(3):629-31.
Malmgren O., Malmgren B. Frykholm A.: Rapid orthodontic extrusion of crown root and cervical root fractured teeth. Endod Dent Traumatol. 1991 Apr;7(2):49-54.
Mehl C., Wolfart S., Kern M.: Orthodontic extrusion with magnets: a case report.: Quintessence Int. 2008 May;39(5):371-9.
Mordenfeld A., Johansson CB., Albrektsson T., Hallman M.: A randomized and controlled clinical trial of two different compositions of deproteinized bovine bone and autogenous bone used for lateral ridge augmentation. Clin Oral Implants Res. 2014 Mar;25(3):310-20.
Neumeyer S., Wachtel H.: Die Replantation und orthodontische Extrusion hoch resezierter Zähne. Quintessenz 2009;60:1141-1149.
Neumeyer S.: Regeneration und Erhalt parodontaler Gewebestrukturen durch orthodontische Extrusionstechniken – eine Literaturübersicht unterstützt durch eigene klinische Fallanalysen-. Masterthese MOP Freiburg 2010.
Pathak AK., Goel K., Shakya V., Tiwari AK..: Periodontal parameters around implants and natural teeth. Natl J Maxillofac Surg. 2016 Jan-Jun;7(1):52-55.
Ramseier CA., Rasperini G., Batia S., Giannobile WV.: Advanced reconstructive technologies for periodontal tissue repair. Periodontol 2000. 2012 Jun;59(1):185-202.
Salama H., Salama M.: The role of orthodontic extrusive remodeling in the enhancement of soft and hard tissue profiles prior to implant placement: a systematic approach to the management of extraction site defects. Int J Periodontics Restorative Dent. 1993 Aug;13(4):312-33.
Schmidt JC., Walter C., Amato M., Weiger R.: Treatment of periodontal-endodontic lesions- -a systematic review. J Clin Periodontol. 2014 Aug;41(8):779-90.
Schwarz F1 , Ferrari D, Podolsky L, Mihatovic I, Becker J.: Initial pattern of angiogenesis and bone formation following lateral ridge augmentation using rhPDGF and guided bone regeneration: an immunohistochemical study in dogs. Clin Oral Implants Res. 2010 Jan;21(1):90-9.
Schwarz F., Golubovic V., Becker K., Mihatovic I.: Extracted tooth roots used for lateral alveolar ridge augmentation: a proof-of-concept study. J Clin Periodontol. 2016 Apr;43(4):345-53.
Sharma R., Hegde V., Siddharth M., Hegde R., Manchanda G., Agarwal P.: Endodonticperiodontal microsurgery for combined endodontic-periodontal lesions: An overview. J Conserv Dent. 2014 Nov-Dec; 17(6): 510–516.
Silva TA., Rosa AL., Lara VS.: Dentin matrix proteins and soluble factors: intrinsic regulatory signals for healing and resorption of dental and periodontal tissues? Oral Dis. 2004 Mar;10(2):63-74.
von Arx T., Buser D.: Horizontal ridge augmentation using autogenous block grafts and the guided bone regeneration technique with collagen membranes: a clinical study with 42 patients. Clin Oral Implants Res. 2006 Aug;17(4):359-66.
Wilmes B., Drescher D.: Vertical periodontal ligament distraction--a new method for aligning ankylosed and displaced canines. J Orofac Orthop. 2009 May;70(3):213-23.
Wilson TG Jr.: Supportive periodontal treatment: maintenance. Curr Opin Dent. 1991 Feb;1(1):111-7.




















