Imitation der Rot-Weiß-Ästhetik im Frontzahnbereich
Einleitung - Daten und Fakten
Der Einsatz von Implantaten für die Behandlung der Einzelzahnlücke ist eine evidenzbasierte Behandlungsmethode, die eine vollständige Rehabilitation der Kaufunktion, der Phonetik und der Ästhetik ermöglicht, ohne die Nachbarzähne zu traumatisieren. Bedingt durch die Fortschritte in den vergangenen 15 Jahren, zum Beispiel im Weichgewebsmanagement, bei der Augmentation, beim Implantat-Design, bei prothetischen Komponenten und zahnärztlichen Materialien, sind die Erwartungen nach einem ästhetischen und kaufunktionellem Erfolg in der Implantologie deutlich gestiegen [Buser et al., 2017; Wittneben et al., 2017].
Die Herausforderung in der heutigen Implantologie besteht – neben einer erfolgreichen Osseointegration und einem funktionalen Ergebnis – auch darin, einen ästhetischen Erfolg zu erreichen. Ziel ist dabei eine präzise Imitation der „weißen“ und der „roten Ästhetik“ der dentogingivalen Region.
Das Indikationsspektrum von Implantaten ist deutlich gewachsen. Es umfasst Einzelzahnlücken, Freiendsituationen, Mehrfachlücken und zahnlose Kiefer. Laut einer Studie ist die häufigste Indikation die Einzelzahnlücke in der Maxilla; davon liegen 40 Prozent im anterioren Bereich [Bornstein et al., 2008].
Eine erfolgreiche Osseointegration wird heute als selbstverständlich erachtet. Aktuelle Studien zeigen sehr gute Langzeitresultate für Titan-Implantate und prothetische Vollkeramikgerüste. Misserfolge werden oftmals durch mechanische und technische Komplikationen verursacht. In einer 10-Jahresstudie wiesen 268 implantat-getragene Einzelkronen und 127 Brücken eine Überlebensrate von 95,5 Prozent aus. Die prothetische Erfolgsrate war mit 70,8 Prozent deutlich niedriger, da die technische Komplikation „Abplatzung der Keramik“ besonders auf implantatgetragenen Brücken beobachtet wurde (20,3 Prozent).
Die zweithäufigste mechanische Komplikation betraf die Lockerung der Okklusalschraube, gefolgt von Retentionsverlust [Wittneben et al., 2014]. In einem systematischen Review über fünf Jahre wiesen vollkeramische Mesostrukturen eine Überlebensrate von 97,5 Prozent aus.
Technische Komplikationen, meist ausgelöst von Verblendfrakturen (Chippings), führten die Komplikationsrate mit 11,8 Prozent an, sie war damit gleichlautend wie für metallgestützte Abutments [Zembic at al., 2014]. Der Grund für Defekte der Suprastrukturen wird in der Biomechanik vermutet.
Gegenüber einem anhand von elastischen Fasern in der Alveole verankerten Zahn liegt beim osseointegrierten Implantat ein starrer, ankylotischer Verbund ohne mögliche Relativbewegungen vor. Die verminderte Taktilität ist damit der fehlenden Propriozeption des Implantats geschuldet.
Wittneben empfahl, zur Vermeidung von Chippings implantaterprobte Verblendkeramiken höckerunterstützend mit geringer Schichtstärke einzusetzen und laborseitig bei der Sinterung eine längere Abkühlphase einzuplanen. Ferner sollte sorgfältig auf eine funktionelle Okklusion von Implantatkronen und Antagonisten geachtet werden.
Freilegung mit Verdrängungstechnik
Die gingivale Ästhetik der natürlichen Zähne basiert auf einer konstanten, vertikalen Dimension gesunder parodontaler Weichgewebe, der „biologischen Breite“ [Hermann et al., 2001]. Hierbei werden die natürlichen Zähne zirkulär vom epithelialen und bindegewebigen Attachment ähnlich einer Manschette umgeben.
Bei physiologischen Verhältnissen füllen die Weichgewebe, denen auch der Sulcus gingivalis zugeordnet wird, die Interdentalräume komplett aus und gehen girlandenförmig in die vestibulären und oralen Gingivaränder über. Der biologisch definierte mittlere Abstand von 3 mm zum Limbus alveolaris ist physiologisch relativ stabil und sollte bei Implantatversorgungen eingehalten werden, um ein vorhersehbares Ergebnis hinsichtlich Ästhetik und Funktion zu gewährleisten.
Bei Implantaten im sichtbaren Bereich besteht das Risiko von Geweberezessionen, die in der Folge zu Beeinträchtigungen der rot-weißen Ästhetik führen können. Auch bei der Freilegung des eingeheilten Enossalpfeilers kann sich die Weichgewebsstruktur nach Anwendung augmentativer Verfahren unvorteilhaft darstellen.
Zur Verbesserung der Situation ist eine Ausformung des Weichgewebes dadurch angezeigt, dass durch Umformen und Konditionieren der im Überschuss vorhandenen Mukosa im Alveolarkammbereich partiell keratinisierte Gingiva verlagert wird. Dies kann mit einem Wechsel von schmalen auf breitere Gingivaformer erfolgen. Jedoch ergeben sich Limitationen, da die rotationssymmetrischen Gingivaformer nicht dem individuellen Zahnprofil entsprechen. Daher ist es sinnvoll, ein Langzeitprovisorium auf dem Implantat einzubringen mit dem Ziel, dass ein harmonischer Gingivaverlauf erreicht wird.
Mit der Weichteilkonditionierung wird die gesamte peri-implantäre Weichgewebearchitektur mittels der dynamischen Kompressionsmethode geformt. Dabei wird in den ersten zwei Wochen Druck auf die peri-implantäre Mukosa ausgeübt. Dies wird durch eine leichte Überkonturierung des Provisoriums und mit extraoralem Hinzufügen von provisorischem Kunststoffmaterial (lichthärtendes Acrylat oder Komposit) erreicht (Druckphase, Abbildungen 1 bis 4).
Nach vier Wochen wird die Form des Provisoriums durch Reduktion des provisorischen Materials im mesial-distalen Bereich modifiziert, um Platz für die Papillen zu schaffen. Das Provisorium wird unterkonturiert (Entlastungsphase) - intraoral durch ein feindiamantiertes Instrument ausgeführt und anschließend mit einem Arkansas-Stein poliert. Das Konzept der dynamischen Kompressionsmethode besteht daher aus zwei Phasen:
• der Druckphase – hierbei wird durch den Druck die Höhe der zukünftigen Papillen geschaffen,
• und der Entlastungsphase – hier wird durch Reduktion des Provisoriums Raum kreiert, damit sich die Papillen in die Breite ausdehnen können [Wittneben et al., 2013].
Die Weichteilkonditionierung bei einer Einzellücke in der ästhetischen Zone erfolgt innerhalb von drei bis fünf Monaten, je nach Komplexität des Patientenfalls. Das Mukosa- und Emergenzprofil werden durch Anfertigung eines individuellen Abformpfostens registriert und auf das Meistermodell übertragen (Abbildung 5); dies kann auch digital erfolgen [Joda et al., 2014].
Mit der Konturierung des Provisoriums kann das Volumen des Emergenzprofils gegenüber dem Gingivaformer schrittweise verdoppelt werden (Abbildung 6) [Wittneben et al., 2016]. Grundsätzlich können mit der Weichgewebsveränderung eine Verdickung der bukkalen, peri-implantären Mukosa und der Aufbau einer befestigten, keratinisierten Schleimhaut initiiert werden [Iglhaut et al., 2010].
Der Einfluss auf das Weichgewebe von provisorischen Implantatkronen mit individualisiertem Emergenzprofil wurde klinisch untersucht. Nach einem Jahr zeigte sich eine deutliche, die Ästhetik unterstützende Verbesserung des peri-implantären Gewebes mit ausgebildeten Papillen [Furze et al., 2016].
Mesostruktur stützt Weichgewebe
Das Abutment nimmt einen zentralen Platz als Schnittstelle zwischen dem osseointegrierten Implantat und der prothetischen Versorgung ein. Als transgingivale Verbindung stützt es das peri-implantäre Weichgewebe und ist für die mechanische Stabilität der Suprakonstruktion verantwortlich.
Besonders in schwierigen Situationen müssen Anforderungen an die Ästhetik sowie an die Stabilität differenziert beantwortet werden, die manchmal nur mit Kompromissen gelöst werden können. Lange Zeit standen für Mesostrukturen lediglich konfektionierte Abutments aus Titan zur Verfügung. Herausforderungen ergaben sich hierbei aus der drehrunden Form, die der Zahnanatomie nicht entspricht, aus der eingeschränkten Ästhetik, besonders bei dünner Gingiva, aus der unzureichenden Positionierbarkeit der Zementfuge, und aus Einschränkungen bei der Angulation.
In der sensitiven, anterioren Zone beeinflusst die Materialwahl für das Abutment das ästhetische Ergebnis. Gegenüber dem vorfabrizierten Standard-Abutment bietet das individualisierte Sekundärteil ein wesentlich breiteres Indikationsspektrum und somit eine größere prothetische Freiheit in der Definition des zukünftigen Kronenrandes, der Position und der Abwinkelung des Abutments.
Mit dem Einzug der CAD/CAM-Technik zur Fertigung von individuellen Abutments eröffnete sich die Möglichkeit, speziell für die klinische Situation und Restauration geeignete Mesostrukturen herzustellen. Damit können heute spezifische Anforderungen an Abutments erfüllt werden, die von der Lokalisation im Kiefer beeinflusst werden: Hohe Stabilität und Dauerfestigkeit, chemische Beständigkeit, sehr gute Biokompatibilität, Möglichkeit der individuellen Formgebung und Achsenausrichtung.
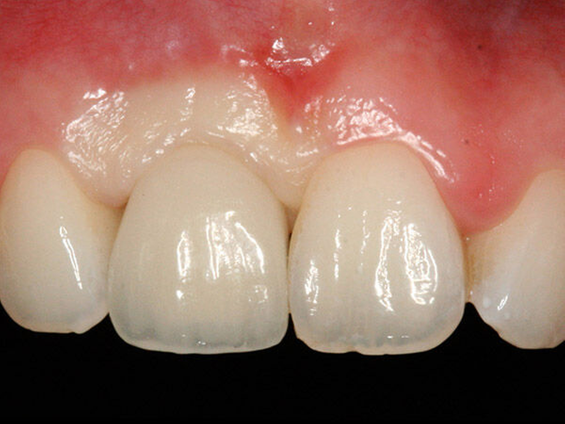
Vor allem im Frontzahnbereich gelten ein individualisierbares Austrittsprofil sowie eine zahnähnliche Farbe und Transluzenz beim dünnen gingivalen Biotyp als wichtige Faktoren zur Rekonstruktion einer zufriedenstellenden Ästhetik (Abbildung 7) [Jung et al., 2007].
Obwohl Titan immer noch der gängigste Werkstoff für Abutments ist, wird in vielen Fällen Zirkoniumdioxidkeramik (ZrO₂) eingesetzt. Besonders im Frontzahnbereich werden mit ZrO₂-Abutments biologisch und ästhetisch bessere Ergebnisse erzielt als mit Titan [Brakel et al, 2012]. Eine randomisierte klinische Studie mit ZrO₂-Abutments, die digital individualisiert oder standardisiert hergestellt worden sind, zeigte sehr gute Überlebensraten [Wittneben et al., 2017; Joda et al., 2014]. In der Gruppe der standardisierten Abutments frakturierte eine Keramikverblendung nach einem Jahr.
Die CAD/CAM-gestützte, individuelle Ausformung des ZrO₂-Abutments bietet einen reizlosen Schleimhautkontakt. Da der marginale Rand in den gut zugänglichen, intrasulkulären Bereich gelegt werden kann, wird die Überschussentfernung nach dem Zementieren erleichtert.
In einer 11-Jahresstudie wurden ZrO2-Abutments implantatgetragener Kronen im Frontzahn- und Prämolarenbereich untersucht. Kein Abutment ging verloren; die Überlebensrate für Abutments betrug 96,3 Prozent, für Implantatkronen 90,7 Prozent. Komplikationsanlass waren Schraubenlockerungen [Zembic et al., 2014].
In einer 5-Jahresstudie wurden Titan-Abutments mit metallgestützten Implantatkronen und ZrO₂-Abutments mit vollkeramischen Kronen im Frontzahn- und Prämolarenbereich im OK und UK untersucht. Alle Implantatkronen waren funktionell in situ; Titan- und ZrO₂-Abutments erreichten 90 beziehungsweise 88,9 Prozent Überlebensraten und lagen somit gleichauf [Zembic et al., 2013; Sailer et al., 2009].
Die Heilung des peri-implantären Gewebes nahe Titan- und ZrO₂-Abutments wurde untersucht. Das ZrO₂-umschließende Weichgewebe zeigte einen schnelleren Heilungsverlauf als bei Titan, dem eine größere Bakterienbesiedlung zugeordnet wurde [Degidi et al., 2006]. Ferner scheint die Wahl des Abutment-Materials keinen Einfluss auf das krestale Knochenlevel zu haben [Linkevicius et al., 2008].
Die Stabilität von ZrO₂-Abutments wurde mit einer Titanhülse (TiBase) gesteigert, auch in der Absicht, die Mesostruktur für Implantate im Molarenbereich zu qualifizieren. Als individualisiertes „Hybrid-Abutment“ wird die Titanbasis von einem Überwurf aus ZrO₂ umschlossen, das mit dem Titan extraoral zusammengefügt und verklebt wird (Abbildungen 8 und 9).
Dadurch entsteht eine spannungsfreie Verbindung zwischen Enossalpfeiler, Abutment und Krone. Die gingivaformende Basis endet direkt oberhalb der Implantatschulter und geht mit dem Schraubenschlot in den Fügebereich mit ZrO₂ über. Der koronale ZrO₂-Anteil gewährleistet bei hoher Stabilität ein dauerhaftes, helles Durchschimmern im Weichgewebe, vor allem dann, wenn ein dünner Weichgewebstypus präsent ist.
Klinische Studien zu diesem Abutmentstyp sind heute noch rar und benötigen mehr wissenschaftliche Evidenz. Gerade bei Implantaten, die auf Knochenniveau gesetzt werden, ist das Verhalten der Mukosa zur Klebefüge noch nicht genügend untersucht. Daher ist die Indikation des Titanbasis-Abutments eher bei Implantaten indiziert, die auf Weichgewebe-Niveau inseriert werden.
Allgemein werden verschraubte Lösungen in der festsitzenden Implantatprothetik empfohlen, wenn dies die prothetische Implantatposition erlaubt. Einen detaillierten Entscheidungsbaum und eine Übersicht mit Indikationen, Vor- und Nachteilen beider Retentionsarten zeigt eine Literaturübersicht [Wittneben et al., 2017].
Nach der Behandlung (Abbildung 10) sind regelmäßige Nachkontrollen des Implantats, der Einzelkrone und deren Okklusion sowie die Evaluation der Mundhygiene-Durchführung notwendig, um die Langlebigkeit der Versorgung zu unterstützen.
Auf einen Blick
Grundsätzlich lässt sich anhand der klinischen Erfahrungen resümieren, dass neue Verfahren und Werkstoffe die Erfolgsrate in der Implantologie deutlich verbessert haben. Gegenüber Ergebnissen in früheren Dekaden gleicht dies einer „stillen Revolution“. Auf Grundlage der aktuellen, materialspezifischen Weiterentwicklungen und der zunehmenden klinischen Expertise im Umgang mit Implantaten, Abutments und prothetischen Suprastrukturen aus Zirkoniumdioxid können Keramikwerkstoffe bei korrekter Indikationsstellung und besonders in ästhetischer Hinsicht eine gute Alternative zu Implantat-Suprastrukturen aus Titan sein.
Das alljährlich stattfindende Keramiksymposium der Arbeitsgemeinschaft für Keramik in der Zahnheilkunde (AG Keramik) wird stets von Beiträgen wissenschaftlicher Fachgesellschaften begleitet und war in 2017 eingebettet in den Kongress der Deutschen Gesellschaft für Ästhetische Zahnmedizin, der Deutschen Gesellschaft für Orale Implantologie und der Deutschen Gesellschaft für Computergestützte Zahnheilkunde. Leitgedanke war der Slogan „Der Natur auf der Spur – gemeinsam zum Praxiserfolg“.
Priv.-Doz. Dr. Julia G. Wittneben,
Universität Bern
Klinik für Rekonstruktive Zahnmedizin und Gerodontologie
Manfred Kern, Wiesbaden
Arbeitsgemeinschaft für Keramik in der Zahnheilkunde – Schriftführung
Postfach 100 117, 76255 Ettlingen
info@ag-keramik.de
Literaturverzeichnis
1 Buser D, Sennerby L, De Bryn H: Modern implant dentistry based on osseointegration: 50 years of progress, current trends and open questions. Periodontol 2000, 2017: 73(1): 7-21
2 Wittneben JG, Gavric J, Belser UC, Bornstein MM, Joda T, Chappuis V, Sailer I, Brägger U: Estehic and clinical performance of implant-sopported all-ceramic crowns made with prefabricated or CAD/CAM zirconia abutments: A randomized, multicenter clinical trial. J Dent Res 2017; 96(2): 163-170
3 Bornstein MM, Halbritter S, Harnisch H, Weber HP, Buser D: A retrospective analysis of patients referred for implant placement to a specialty clinic: Indications, surgical procedures, and early failures. Int J Oral Maxillofac Implants 2008; 23(6): 1109–1116
4 Wittneben JG, Buser D, Salvi GE, Bürgin W, Hicklin S, Brägger U: Complication and failure rates with implant supported fixed dental prostheses (FDPs) and single crowns (SCs): A 10-year retrospective study. Clin Implant Dent Relat Res 2014; 16(3): 356-364
5 Zembic A, Kim S, Zwahlen M, Kelly JR: Systematic review of the survival rate and incidence of biologic, technical, and esthetic complications of single implant abutments supporting fixed prostheses. Int J Oral Maxillofac Implants 2014; 29: 99-116
6 Hermann JS, Buser D, Schenk RK, Schoolfield JD, Cochran DL: Biologic width around one- and two-piece titanium implants. Clin Oral Implants Res 2001; 12(6): 559-571
7 Wittneben JG, Buser D, Belser UC, Brägger U: Peri-implant soft tissue conditioning with provisonal restorations in the esthetic zone – the dynamic compression technique. Int J Periodontics Restorative Dent 2013; 33(4): 447-455
8 Joda T, Brägger U: Complete digital workflow for the production of implant-supported single-unit monolithic crowns. Clin Oral Implants Res 2014; 25(11): 1304-1306
9 Wittneben JG, Brägger U, Buser D, Joda T: Volumetric calculation of supra-implant submergence profile after soft tissue conditioning with a provisional restoration. Int J Periodontics Rest Dent 2016; 36(6): 785-790
10 Iglhaut G, Schliephake H: Weichgewebs-Management und Augmentation in der Implantatchirurgie. Dtsch Zahnärztl Z 2010; 65(5): 304-318
11 Furze D, Byrne A, Alam S, Wittneben JG: Esthetic outcome of implant supported crowns with and without peri-implant conditioning using provisional fixed prosthesis: A randomized controlled clinical trial. Clin Implant Dent Relat Res 2016; 36(6): 785-790
12 Jung RE, Sailer I, Hämmerle CH, Attin T, Schmidlin P: In vitro colour changes of soft tissues caused by restorative materials. Int J Periodontics Restorative Dent 2007; 27(3): 251-257
13 van Brakel R, Meijer GJ, Verhoeven JW, Jansen J, de Putter C, Cunbe MS: Soft tissue response to zirconia and titanium implant abutments: An in-vivo within-subject comparison. J Clin Periodontol 2012; 39(19): 995-1001
14 Joda T, Wittneben JG, Brägger U: Digital implant impressions with the „individualized scanbody technique“ for emergence profile support. Clin Oral Implants Res 2014; 25(3): 395-397
15 Zembic A, Philipp AO, Hämmerle CH, Wohlwend A, Sailer I: Eleven-year follow-up of a prospective study of zirconia implant abutments supporting single all-ceramic crowns in anterior and premolar regions. Clin Implant Dent Relat Res 2015; 17 suppl 2: 417-426
16 Zembic A, Bösch A, Jung RE, Hämmerle CH, Sailer I: Five-year results of a randomized controlled clinical trial comparing zirconia and titanium abutments supporting single-implant crowns in canine and posterior regions. Clin Oral Implants Res 2013; 24(4): 384-390
17 Sailer I, Philipp A, Zembic A, Pjetursson BE, Hämmerle CH, Zwahlen M: A systematic review of the performance of ceramic and metal implant abutments supporting fixed implant reconstructions. Clin Oral Implants Res 2009; 20 Suppl 4: 4-31
18 Degidi M, Artese L, Scarano A, Perrotti V, Gehrke P, Piattelli A: Inflammatory infiltrate, microvessel density, nitric oxide synthase expression, vascular endothelial growth factor expression, and proliferative activity in peri-implant soft tissues around titanium and zirconium oxide healing caps. J Periodontol 2006; 77(1): 73-80
19 Linkevicius T, Apse P: Influence of abutment material on stability of peri-implant tissue: A systematic review. Int J Oral Maxillofac Implants 2008; 23(3): 449-456
20 Wittneben JG, Joda T, Weber HP, Brägger U: Srew retained vs. cement retained implant-supported fixed dental prosthesis. Peridontol 2017; 73(1): 141-151














