Mehr Prävention im Milchgebiss!
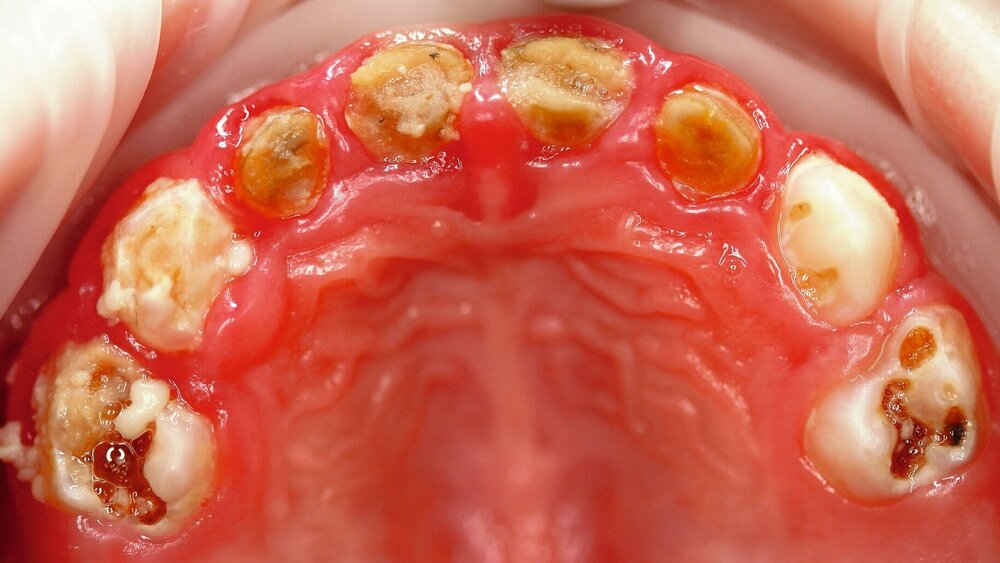
Im bleibenden Gebiss hat sich Deutschland bei den 12-Jährigen laut der kürzlich erschienen DAJ-Studie zur Gruppenprophylaxe [Team DAJ, 2017; siehe zm 6/2018, S. 40–49] einen internationalen Spitzenplatz bei der Kariesprävention erkämpft. Ein Trend, der sich bei den Erwachsenen fortsetzt [IDZ, 2016]. Im Milchgebiss sind jedoch dieselben Eltern und Zahnärzte in Gruppen- und Individualprophylaxe weit weniger erfolgreich. Dies ist an durchschnittlich drei bis vier kariösen Milchzähnen bei circa 14 Prozent der 3-Jährigen erkennbar, die an frühkindlicher Karies (Abbildung 1a) leiden, und erhöht sich kontinuierlich auf fast die Hälfte der Erstklässler. Schwere Formen der frühkindlichen Karies (≥ 4 dmft) sind bereits bei etwa 5 Prozent der 3-Jährigen vorzufinden [Team DAJ, 2017]. Daher lohnt es sich, die Präventionsstrukturen und Maßnahmen im Milchgebiss genauer zu beleuchten.
Das traditionelle Modell der Kariesprophylaxe beruhte bisher auf vier Säulen, die – wie in Abbildung 2a gezeigt – als gleichwertig dargestellt werden:
Ernährungslenkung
Entfernung von Zahnbelag
Fluoridierung
regelmäßige Zahnarztbesuche
Erfolge vor allem durch die Fluoridierung
Bezüglich ihrer wissenschaftlichen Evidenz ist aber schon lange bekannt, dass diese Säulen nicht gleich wirksam sind: Bereits Publikationen aus den Jahren 1996 und 1998 führen die Erfolge in der Kariesprävention vor allem auf den Einsatz von Fluoriden zurück, so dass das Präventionsmodell hinsichtlich der Evidenz eine Schieflage hat (Abbildung 2b). Dies gilt immer noch und wird durch aktuelle systematische Reviews zur Evidenz bei der Wirksamkeit von kariespräventiven Maßnahmen bestätigt [Public Health England, 2017].
Die Lokalfluoridierung, einschließlich des Putzens mit fluoridhaltiger Zahnpaste, kann präventiv und sogar therapeutisch eingesetzt werden und ist dabei auf hohem Evidenzniveau wirksam [Kay & Locker, 1998; Trummler & Weiss, 2000; Splieth & Meyer, 1996; de Silva et al., 2016; Cooper et al., 2013; Marinho et al., 2009]. Zähneputzen entfernt damit nicht nur den Zahnbelag, sondern stellt eine tägliche Lokalfluoridierung dar, was durch das wöchentliche Putzen mit Fluoridgelee noch intensiviert werden kann [Marinho et al., 2015]. Der kariesprotektive Effekt, der allein auf die Plaqueentfernung zurückzuführen wäre, ist oft schwerer beziehungsweise kaum zu messen.
Die wenigen Studien während der Markteinführung von fluoridhaltiger Zahnpaste legen nahe, dass Putzen ohne fluoridierte Zahnpaste die Plaque- und Gingivitisrate deutlich reduziert, die Karieswerte aber kaum [Koch & Lindhe, 1970]. Somit stellt das Zähneputzen als eine Kombination aus Plaqueentfernung und hochfrequenter Lokalfluoridierung über Zahnpaste den idealen Präventionsansatz dar, dessen Wirksamkeit ebenfalls eindeutig belegt ist [EAPD, 2009; de Silva et al., 2016; Cooper et al., 2013]. Diese Form der Kariesprävention ist sowohl in der häuslichen als auch in der Gruppen- und Individualprophylaxe vorrangig sicherzustellen, denn auch aktuell korreliert der Kariesbefall in Deutschland immer noch mit eher gutem oder eher schlechtem Zähneputzen [IDZ, 2016]. Kinder, die seltener als zweimal täglich putzen, haben höhere Karieswerte.
Beim Zucker kommt es vor allem auf die Frequenz an
Wenngleich Zucker und andere Kohlenhydrate in der Kariesätiopathie natürlich unbestritten sind, ist fraglich, ob die Ernährungslenkung beziehungsweise die Zuckerrestriktion einen erfolgreichen Ansatz in der Kariesprophylaxe bietet. Die wissenschaftliche Evidenz dazu ist sehr dünn oder Studien belegen gar die Wirkungslosigkeit [de Silva et al., 2016; Cooper et al., 2013; Kay & Locker, 1998]. Das kann an deren mangelhafter Umsetzung, aber auch an einer sehr reichhaltigen, kohlenhydratlastigen Gesamternährung liegen. Für Deutschland kann kein signifikanter Zusammenhang zwischen der Karies und vermehrten Zwischenmahlzeiten nachgewiesen werden [IDZ, 2016]: Auch klassische „Risikonahrung“ wie Süßigkeiten, Fruchtsäfte, Sportlergetränke, Kuchen oder Eis war bei 12-Jährigen nicht verstärkt mit Karies assoziiert.

Dies bedeutet, dass Mundhygiene und Fluoride die hohe Kohlenhydratlast unserer Ernährung bezüglich des Kariesgeschehens kompensieren können. In Deutschland werden schon seit Jahrzehnten rund 30 bis 35 kg Zucker pro Person pro Jahr konsumiert [Statista, 2018] und trotzdem konnten extrem eindrucksvolle Kariesreduktionen in den vergangenen Jahrzehnten – insbesondere in der bleibenden Dentition – für alle Bevölkerungsgruppen erzielt werden [Team DAJ, 2017; IDZ, 2016].
Schon lange bekannt ist, dass die Frequenz der Zuckeraufnahme eine wichtigere Rolle für die Kariesentwicklung spielt als die alleinige Zuckermenge [Anderson et al., 2009], das heißt, insbesondere die hochfrequente Aufnahme von Zuckern, zum Beispiel durch zuckerhaltige Erfrischungsgetränke, begünstigt die Kariesentstehung.
Auch in anderen Ländern ist seit dem Einsatz von Fluoriden der Zusammenhang zwischen Zuckerkonsum und Karies deutlich geringer [Masood et al., 2012]. Trotzdem erscheint es für die Gesamtgesundheit günstiger, den Zuckerkonsum generell zu reduzieren, was aber nicht primäre Aufgabe der zahnmedizinischen Prävention ist und kaum kariespräventive Effekte haben dürfte.
Aus zahnmedizinischer Sicht sollte eine intensivierte Ernährungslenkung bei erkennbarem Fehlverhalten eher individualprophylaktisch eingesetzt werden. Vor allem die frühkindliche Karies („Nuckelflaschenkaries“) ist stark ernährungsbedingt und eine Veränderung der Ernährungs- beziehungsweise Trinkgewohnheiten und des Verhaltens könnten hier erfolgreich sein – insbesondere beim Einsatz von „motivational interviewing“ [Sälzer et al., 2017]. Allerdings ist auch hier die regelmäßige Mundhygiene mit Fluoridzahnpaste für viele Eltern einfacher umzusetzen als die Entwöhnung von süßen Getränken aus der Nuckelflasche.
Eine Kariesprävention, die mehrheitlich auf den Parametern Ernährung und Belagentfernung, aber ohne Fluorideinsatz beruht, läuft damit sowohl in der Individual- als auch in der Gruppenprophylaxe konträr zur wissenschaftlichen Evidenz [de Silva et al., 2016; Cooper et al., 2013, Kay & Locker, 1998].
Bezüglich der Ernährungslenkung erscheint nur die Reduktion von „getrunkenem“ Zucker aus der Nuckelflasche oder als Erfrischungsgetränk kariespräventiv, während ein „gesundes“ Frühstück bezüglich der Kariesprävention wirkungslos sein dürfte, da bei jeder Hauptmahlzeit genügend – oft versteckte – Zucker aufgenommen werden. Apfel(saft-Schorle), Banane, Müsli und Vollkornbrot sind hochgradig kariogen, auch wenn sie als „gesunde“ Nahrung gelten und von Ernährungsberatern präferiert werden.
Wie kann man die Fluoridnutzung verbessern?
Wenn die Erfolge in der Kariesprävention im Wesentlichen durch die Fluoride bedingt sind, liegt es nahe, einen Zusammenhang zwischen den unverändert hohen Karieswerten im Milchgebiss und Potenzialen in der Fluoridnutzung zu suchen. Ein zentraler Baustein könnte dabei die Zahnpaste sein: So enthält Kinderzahnpaste mit 500 ppm in Deutschland zurzeit nur ein Drittel des Fluorids von Erwachsenenzahnpaste. Aufgrund der klaren Dosis-Wirkung-Beziehung [Walsh et al., 2010] ist es wahrscheinlich, dass ein Teil der Milchgebisskaries auf den niedrigen Fluoridgehalt der Kinderzahnpaste zurückzuführen ist und daher darüber nachzudenken wäre, die Fluoridempfehlungen für Deutschland den Europäischen Empfehlungen mit mindestens 1.000 ppm ab zwei Jahren anzupassen [EAPD, 2009]. Bei Kindern mit erhöhter Kariesaktivität oder erhöhtem Kariesrisiko wäre es heute schon sinnvoll, ab zwei Jahren der europäischen Empfehlung mit dem Einsatz einer Juniorzahnpaste (1.250–1.450 ppm) zu folgen.
Außerdem ist der Dissens der Pädiater und Zahnärzte in Deutschland über die Mundhygienemaßnahmen und die Nutzung von Fluoridzahnpaste für viele Eltern verwirrend: Während die Pädiater in der Kariesprävention oftmals gar die Fluoridtablette favorisieren und damit das Zähneputzen nur sekundär anstreben, empfehlen die Zahnärzte das Zähneputzen mit fluoridhaltiger Zahnpaste vom ersten Zahn an.
Insgesamt ergeben sich damit im Kleinkindalter sehr divergente und oft auch unwirksame Maßnahmen zur Kariesprävention. So wird die D-Fluorette oft vom Pädiater bereits vor Durchbruch des ersten Milchzahns verschrieben, was wegen der fehlenden lokalen Wirkung kaum einen kariespräventiven Effekt bei deutlichem Fluoroserisiko bedeutet. Damit wäre die Übernahme der europäischen Empfehlungen sinnvoll, um für alle Bevölkerungsschichten das regelmäßige Zähneputzen mit adäquater Fluoridzahnpaste vom Kleinkindalter an zu etablieren (Abbildung 1).
Weiterhin geben die englischen, auf einem systematischen Review beruhenden und damit evidenzbasierten Empfehlungen eine gute Übersicht, welche Maßnahmen für das Milchgebiss im Allgemeinen und bei erhöhtem Kariesrisiko sowohl in der Praxis als auch häuslich eingesetzt werden sollten (Tabelle 1) [Public Health England, 2017]. Entsprechend den Ausführungen oben enthalten diese Maßnahmen häufig das Wort Fluorid in allen Applikationsformen, worauf der primäre Fokus in der Kariesprävention liegen sollte. Andere Maßnahmen sind eher additiv. Dies wäre für eine zeitgemäße und wirksame Gruppenprophylaxe essenziell, wie erfolgreiche Pilotprogramme in Greifswald oder Osnabrück-Land belegen [Schüler, 2015; Brunner-Strepp, 2001].
Die schmerzhafte Lücke im Gebührenkatalog
In der Individualprophylaxe fehlen derzeit jegliche kariespräventiven Maßnahmen im Gebührenkatalog vor dem 30. Lebenmonat, also im Kleinkindalter bis 2½ Jahre, was angesichts der hohen Raten von Frühkindlicher Karies und damit assoziierten Narkosesanierungen bei schweren Fällen für ein hoch entwickeltes Land kaum begründbar ist. Ein in Deutschland erfolgreich getestetes Modell liegt sogar schon vor [Wagner & Heinrich-Weltzien, 2017]: In Jena wurden die Eltern aller Neugeborenen über den kommunalen Öffentlichen Gesundheitsdienst aufgesucht, über allgemeine medizinische und zahnmedizinische Gesundheit beraten und auf die zahnärztliche Individualprophylaxe vom ersten Zahn an aufmerksam gemacht. Die Beratung enthielt folgende Elemente:
Beratung der Mütter zur Bedeutung des Stillens
Empfehlungen zur Nutzung von Nuckelflaschen und Schnullern
Empfehlungen für eine gesunde Ernährung
Bedeutung von regelmäßigen Besuchen beim Kinderarzt und des Screenings der Kariesentwicklung von kariespräventiven Maßnahmen
Empfehlung zum einmal täglichen Zähneputzen mit Durchbruch des ersten Zahnes unter Nutzung von fluoridhaltiger Kinderzahnpaste (500 ppm F-), ab dem zweiten Geburtstag zweimal täglich mit einer erbsengroßen Menge Fluoridzahnpaste
professionelle, regelmäßige zahnärztliche Kontrolle, Beratung zur Prävention und halbjährlicher Recall
Broschüre zum richtigen Zähneputzen in der Muttersprache
kostenlose erste Kinderzahnbürste, fluoridhaltige Kinderzahnpaste und Schnuller
Kinder mit erhöhtem Kariesrisiko wurden zusätzlich vierteljährlich einbestellt und erhielten als einzige Kinder dann Fluoridlackapplikationen
Kinder, deren Familien an dem Programm teilnahmen (n = 563), zeigten insgesamt deutlich niedrigere Karieswerte nach fünf Jahren: Und diese Maßnahmen waren besonders bei niedrigem Sozialstatus hochwirksam (0,3 versus 5,6 dmfs). Entsprechende Leistungen sollten damit zügig in die GKV-Regelleistungen des BEMA-Katalogs überführt werden.
Mit dem Kariesrückgang lässt sich für die verbleibende orale Morbidität eine starke Korrelation zum Sozialstatus erkennen [Schwendicke et al., 2015; DAJ, 2009; Team DAJ, 2017]. Möglicherweise steigen mit dem Sozialstatus die Selbstwirksamkeit und die Kontrollüberzeugung, sodass sich das Präventionsverhalten verändert [IDZ, 2016].
Karies korreliert nach wie vor mit dem Sozialstatus
Der gemeinsame Risikofaktoren-Ansatz [Watt & Sheiham, 2012] bietet ein theoretisch fundiertes Konzept, um das sozioökonomische Wirkungsgefüge im Rahmen der Kariesprävention zu berücksichtigen. Ein zugehender Ansatz – wie in der Gruppenprophylaxe – ist sinnvoll, da hier bereits breit gefächerte Präventionsstrukturen bestehen. Damit sollte Kariesprävention in Risikogruppen in einem breiteren Kontext gedacht und umgesetzt werden, was mehrere Vorteile aufweist:
Soziale Risikogruppen können schwerpunktmäßig betreut werden.
Es ist kein primärer Antrieb der Familien nötig, sondern die Präventionsmaßnahmen können aufsuchend und vernetzt in den Zielgruppen erfolgen.
Die Schulpflicht, die hohen Betreuungsraten in Kindertagesstätten, die gesetzliche und finanzielle Regelung der Gruppenprophylaxe sowie gesetzliche Verpflichtungen zu begleitenden zahnärztlichen Untersuchungen ermöglichen einen hohen und verbindlichen Erreichungsgrad.
Die Vernetzung mit anderen Akteuren kann für einen umfassenden interdisziplinären Ansatz genutzt werden.
Allerdings ist anzumerken, dass Vernetzung und Setting-Ansatz kein Selbstzweck sind, sondern kariespräventiv auch wirksam sein müssen. Trotz einer umfangreichen Literatur hierzu [Heilmann et al., 2016], lassen sich bisher keine Studien finden, welche die Wirksamkeit dieses Ansatzes gegenüber einer Kontrollgruppe ohne Intervention bezüglich Karies belegen. Dies ist nachzuholen und wird wahrscheinlich nur gelingen, wenn die oben genannten wissenschaftlichen, evidenten, wirksamen Maßnahmen wie der Fluorideinsatz stringent dabei eingebaut werden.
Wie Prävention im Milchgebiss noch besser wird
Bereits in der letzten DAJ-Studie [2009] beschrieb der Autor, Prof. Klaus Pieper, dass „in Deutschland immer noch viel zu viel Milchzahnkaries … auftritt“. Auch auf Basis der Ergebnisse der aktuellen DAJ-Studie muss im Jahr 2017 festgestellt werden, dass die Kariesprävention im Milchgebiss in Deutschland wohl noch ein erhebliches ungenutztes Potenzial aufweist. Daher wäre ein Aktionsplan „Prävention im Milchgebiss“ für Deutschland sinnvoll, der alle Möglichkeiten der Kollektiv-, Gruppen- und Individualprophylaxe voll ausschöpft und folgende Maßnahmen enthalten sollte:
Kinderzahnpaste mit 1.000+ ppm: Bisher enthält Kinderzahnpaste in Deutschland nur 500 ppm Fluorid, sie ist damit deutlich weniger wirksam als die vollfluoridierte Zahnpaste für Kinder ab sechs Jahren [Wong et al., 2011; EAPD, 2009, Hellwig et al., 1999]. Die europäischen Empfehlungen [EAPD, 2009] für eine höhere Fluoridkonzentration und Putzfrequenz mit Fluoridzahnpaste sollten auch für Deutschland übernommen werden.
Zähneputzen vom ersten Zahn an mit fluoridhaltiger Zahnpaste: Dies ist die Basis jeder Kariesprävention. In der Gruppenprophylaxe sollte das Programm der DAJ [2016] zur Prävention von Frühkindlicher Karies für unter 3-Jährige sehr zügig flächendeckend umgesetzt werden, schwerpunktmäßig in den sozialen Brennpunkten und bei Migranten, da in Deutschland immer noch Bevölkerungsanteile die Kulturtechnik des Zähneputzens nicht adäquat umsetzen [IDZ, 2016].
Ausbau der Individualprophylaxe vom ersten Zahn an: Die bestehenden Selektivverträge, in denen einige Krankenkassen einen frühen Zahnarztbesuch beim Kleinkind mit präventiven Leistungen ermöglichen, sollten zusammen mit dem Verweissystem über die Pädiater parallel zu den U-Untersuchungen (gelbes Kinderuntersuchungsheft) entsprechend des Präventionsgesetzes von 2015 schnell flächendeckend in die GKV-Regelversorgung überführt werden. Adäquate inhaltliche Konzepte, wie im Ratgeber zur Vermeidung von ECC beschrieben, liegen bereits vor [KZBV, 2016].
Fürs permanente Gebiss: Konzentration auf Brennpunkteinrichtungen
Für die Prävention im bleibenden Gebiss reicht wohl eine Konzentration auf Brennpunkteinrichtungen im Schulalter. Damit ist eine sozialkompensatorische Prävention im Rahmen der Gruppenprophylaxe nötig:
Einsatz von wissenschaftlich als wirksam belegten Maßnahmen wie das regelmäßige Zähneputzen (zum Beispiel Förderschulen) mit fluoridhaltiger Zahnpaste zur Konditionierung der Fähigkeiten des Zähneputzens sowie die hochfrequente Applikation höher konzentrierter Fluoridpräparate zum Beispiel durch Einbürstung von Fluoridgelen
Deutliche Steigerungen des Fluorideinsatzes auf über 50 Prozent der Impulse und mindestens vier bis sechs Fluoridimpulse pro Jahr in Brennpunkteinrichtungen, bestenfalls sogar die Implementierung wöchentlicher/vierzehntägiger/monatlicher Fluorideinbürstungen über die Lehrer oder durch Prophylaxehelferinnen nach Schweizer Modell
Begleitende zahnärztliche Untersuchungen sowie eine regelmäßige, lokale Gesundheitsberichtserstattung, um die Bedarfe zu dokumentieren und die Wirksamkeit von Maßnahmen ableiten zu können.
Damit bestehen bereits jetzt ausgezeichnete theoretische Konzepte und gesetzliche Strukturen für eine erfolgreiche, bevölkerungsweite Adressierung der aktuell erkennbaren Präventionsbedarfe.
Prof. Dr. Christian Splieth
Dr. Elisabeth Schüler
Dr. Ruth M. Sanatamaría
ZA Roger Basner
Dr. Julian Schmoeckel
Literaturverzeichnis
Anderson CA, Curzon ME, Van Loveren C, Tatsi C, Duggal MS. Sucrose and dental caries: a review of the evidence. Obes Rev. 2009 Mar;10 Suppl 1:41-54.
Brandenburger Kinderzähne. www.brandenburger-kinderzaehne.de/4-Saeulen-der-Kariesprophylaxe.499.0.html gesehen 15. Januar 2018
Bratthall D, Hänsel-Petersson G, Sundberg H. Reasons for the caries decline: what do the experts believe? Eur J Oral Sci. 1996;104 (4(Pt 2)):416-22; discussion 423-5, 430-2
Brunner-Strepp B: Intensive fluoridation in group prevention programs, a long term observation. Community Dent Health 2001;18:199.
Cooper AM, O'Malley LA, Elison SN, Armstrong R, Burnside G, Adair P, Dugdill L, Pine C.Primary school-based behavioural interventions for preventing caries. Cochrane Database Syst Rev 2013;31:cd009378.
DAJ (Deutsche Arbeitsgemeinschaft für Jugendzahnpflege): Frühkindliche Karies: zentrale Inhalte der Gruppenprophylaxe für unter 3-jährige Kinder . Bonn 2016.
de Silva AM, Hegde S, Akudo Nwagbara B, Calache H, Gussy MG, Nasser M, Morrice HR, Riggs E, Leong PM, Meyenn LK, Yousefi-Nooraie R. Community-based population-level interventions for promoting child oral health. Cochrane Database Syst Rev. 2016;15;9:CD009837.
EAPD (European Academy of Paediatric Dentistry): Guidelines on the use of fluoride in children: an EAPD policy document. Eur Arch Paediatr Dent. 2009;10:129-35.
Heilmann A, Sheiham A, Watt RG, Jordan RA. Common Risk Factor Approach – Ein integrierter bevölkerungsbezogener und evidenzbasierter Ansatz zum Ausgleich sozialer Ungleichheiten in der Mundgesundheit.
IDZ, Köln 2016.
IDZ (Institut der Deutschen Zahnärzte): Fünfte Deutsche Mundgesundheitsstudie – DMS V. Köln 2016.
Kay EJ, Locker D: A systematic review of the effectiveness of health promoting aimed at improving oral health. Community Dent Health. 1998;15:132-144.
Koch G, Lindhe J: The state of the gingivae and caries increment in school children during and after withdrawal of various prophylactic measures. In: McHugh W D (Hrsg.). Dental Plaque. Livingstone, S. 271–281. Edinburgh 1970.
KZBV (Kassenzahnärztliche Bundesvereinigung) & Bundeszahnärztekammer (BZÄK): ECC Ratgeber 2016. Praktischer Ratgeber für die zahnärztliche Praxis. www.kzv-bremen.de/downloads/ecc-ratgeber_2016.pdf.
Marinho VC: Cochrane reviews of randomized trials of fluoride therapies for preventing dental caries. Eur Arch Paediatr Dent. 2009;10:183-91.
Marinho VCC, Worthington HV, Walsh T, Chong LY. Fluoride gels for preventing dental caries in children and adolescents. Cochrane Database of Systematic Reviews 2015, Issue 6. Art. No.: CD002280. DOI: 10.1002/14651858.CD002280.pub2.
Masood M, Masood Y, Newton T. Impact of national income and inequality on sugar and caries relationship. Caries Res. 2012;46(6):581-8.
Pieper K. Epidemiologische Begleituntersuchungen zur Gruppenprophylaxe 2009. Bonn 2010.
Public Health England. Delivering better oral health: an evidence-based toolkit for prevention . London 2017.
Sälzer S, Alkilzy M, Slot DE, Dörfer CE, Schmoeckel J, Splieth CH: Socio-behavioural aspects in the prevention and control of dental caries and periodontal diseases at an individual and population level. J Clin Periodontol. 2017;44:106-115.
Schüler E, Splieth CH: Zahnärztlicher Gesundheitsbericht 2015. Greifswald
Schwendicke F, Dörfer CE, Schlattmann P, Foster Page L, Thomson WM, Paris S: Socioeconomic Inequality and Caries: A Systematic Review and Meta-Analysis. J Dent Res. 2015;94:10-18.
Splieth C, Meyer G. Factors for changes of caries prevalence among adolescents in Germany. Eur J Oral Sci. 1996;104:444-51.
Splieth Ch, Schwahn Ch, Hölzel C, Nourallah A, Pine C: Prävention nach Maß? Mundhygienegewohnheiten bei 3-4jährigen Kindern mit und ohne kariöse Defekte. Oralprophylaxe. 2004;26:106-109.
Statista. de.statista.com/statistik/daten/studie/175483/umfrage/pro-kopf-verbrauch-von-zucker-in-deutschland/. (Eingesehen Jan 2018)
Team DAJ. Epidemiologische Begleituntersuchungen zur Gruppenprophylaxe 2016. Bonn 2017.
Trummler A, Weiss V: DMFT scores in 12 year old school children in the city of St. Gallen. Oralprophylaxe. 2000;22:206-208.
Wagner Y, Heinrich-Weltzien R. Evaluation of a regional German interdisciplinary oral health programme for children from birth to 5 years of age. Clin Oral Investig. Clin Oral Investig. 2017;21:225-235.
Walsh T, Worthington HV, Glenny AM, Appelbe P, Marinho VC, Shi X. Fluoride toothpastes of different concentrations for preventing dental caries in children and adolescents.Cochrane Database Syst Rev. 2010 Jan 20;(1):CD007868.
Watt RG, Sheiham A.Integrating the common risk factor approach into a social determinants framework. Community Dent Oral Epidemiol. 2012;40:289-96.
Wong MCM, Clarkson J, Glenny AM, Lo ECM, Marinho VCC, Tsang BWK, Walsh T, Worthington HV: Cochrane Reviews on the Benefits/Risks of Fluoride Toothpastes. J Dent Res. 2011;90:573-579.











