Unilaterale kondyläre Hyperplasie
Anamnese
Eine kieferorthopädische Therapie sei bereits in ihrer Jugend im Alter von neun bis 14 Jahren erfolgt. Im Alter von 16 Jahren wurden ihre vier Weisheitszähne entfernt. Im Verlauf sei es zu einer Asymmetrie im Gesichtsbereich mit resultierender Seitabweichung gekommen.
Die Patientin gab keine Allgemeinerkrankungen an, Allergien bestanden gegen Pollen und Gräser. Bis auf orale Kontrazeptiva wurden keine Medikamente eingenommen.
Diagnostik und Befund
Bei der extraoralen Untersuchung zeigte sich in der enface-Perspektive eine leicht unharmonische Gesichtsdrittelung mit dolichofazialem Gesichtstyp und asymmetrischem Untergesicht (Abbildung 1). In der Profilbetrachtung war eine Progenie mit negativer Lippentreppe zu erkennen. Die Unterkieferbeweglichkeit war frei. Die linke Kaumuskulatur tastete sich im Vergleich zur Gegenseite prominent.
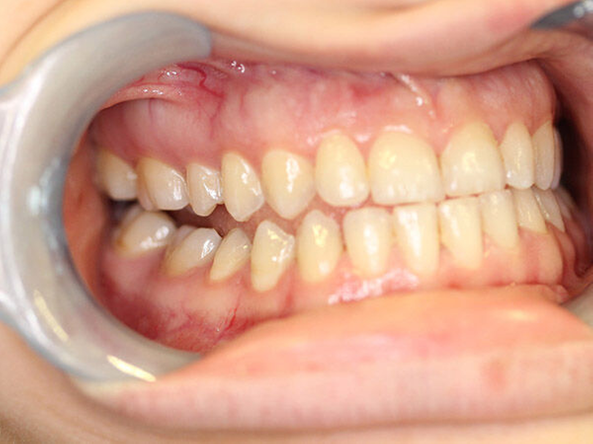
Intraoral fand sich eine Mesialbisslage von einer halben Prämolarenbreite im Seitenzahnbereich beidseits. Ein Kontakt bestand regio 16/47 mit Nonokklusion der restlichen ipsilateralen Eck- und Seitenzahnregion (Abbildung 2). In regio 11/41 fand sich eine Kreuzbisssituation, in regio 21/31 eine Kopfbisssituation. Die Unterkiefermittellinie war interessanterweise um 3 bis 4 mm nach rechts verschoben, das knöcherne Kinn hingegen nach links. Weitere faziale Fehlbildungen lagen nicht vor.
In den radiologischen Bildgebungen (FRS/OPG) konnte eine skelettale Klasse III bei progenem Unterkiefer nachgewiesen werden. Im Vergleich zu einer alio loco durchgeführten Voraufnahme zeigte sich eine größenprogrediente asymmetrische Verlängerung des rechten aufsteigenden Unterkieferastes mit hyperplastisch wirkendem Condylus.
Mit Verdacht auf eine kondyläre Hyperplasie des rechten Unterkiefers wurde die Durchführung einer Skelettszintigrafie (Abbildung 3A) sowie einer CT-Bildgebung (Abbildung 3B) des Kiefers angeordnet. Hierbei konnte eine fokale Knochenstoffwechselanreicherung im Bereich des rechten Kiefergelenkköpfchens nachgewiesen werden. Die Kortikalis des rechten Kondylus war im Vergleich zur Gegenseite deutlich stärker ausgebildet, Hinweise auf eine tumoröse Raumforderung fanden sich in der CT nicht.
Therapie
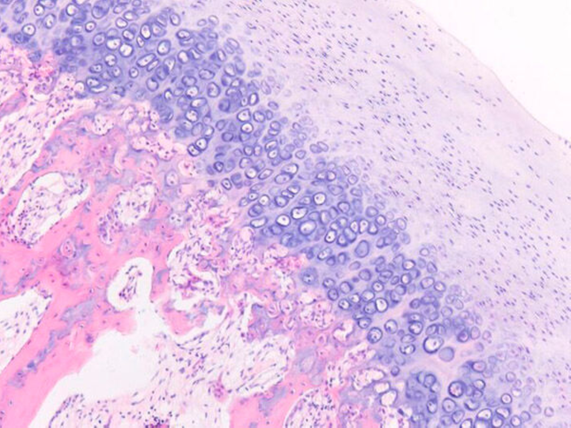
Die Patientin wurde in der Folge stationär aufgenommen und es erfolgte aufgrund der aktiven kondylären Hyperplasie eine hohe Kondylektomie rechts über einen präauriculären Zugang in Allgemeinanästhesie (Abbildung 4). Postoperative Komplikationen ergaben sich keine. Die Patientin war subjektiv beschwerdefrei, der Neurostatus unauffällig und die Nonokklusion im rechten Eck-/ Seitenzahnbereich deutlich gemindert. Eine Elongationsschutzschiene wurde in Absprache mit dem Kieferorthopäden angefertigt und eingegliedert. Im Rahmen der pathohistologischen Begutachtung des Resektats konnte der Verdacht einer kondylären Hyperplasie bestätigt werden (Abbildung 5).
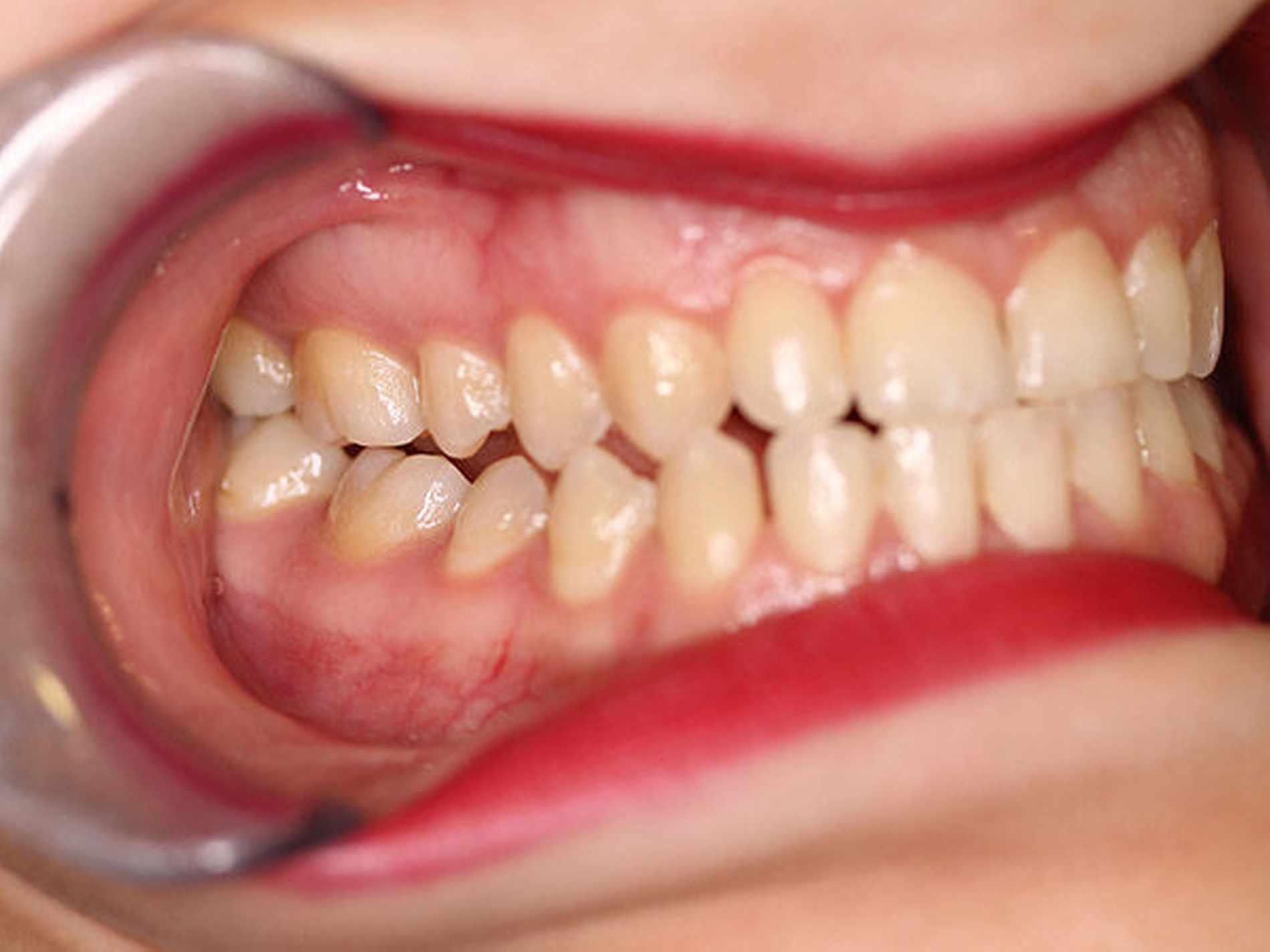
Die Patientin wurde in unsere ambulante Nachsorge entlassen. Geplant wurde eine Knochenszintigrafie zwölf Monate nach der Operation. Bei der letztmaligen ambulanten Vorstellung zwei Jahre postoperativ zeigte sich ein stabiler Befund. Die Unterkieferbeweglichkeit war uneingeschränkt, ein Kiefergelenksknacken rechts im terminalen Drittel der Mundöffnung hör- und spürbar. Beschwerden hatte die Patientin dadurch nicht. Die Okklusion war im Vergleich zum präoperativen Befund verbessert und stabil (Abbildung 6). In der Knochenszintigrafie konnte eine geringe Knochenstoffwechselsteigerung in Projektion auf das rechte Kiefergelenk festgestellt werden, dieses war vereinbar mit einem vermehrten postoperativen knöchernen Umbau.
Die Durchführung weiterer Verlaufskontrollen wurde vereinbart. Aktuell wurde eine kombiniert kieferorthopädisch-, mund-, kiefer- und gesichtschirurgische Therapie mit Dysgnathie-Korrektur geplant und begonnen.
Diskussion
Die kondyläre Hyperplasie ist definiert als eine überschießende oder persistierende Aktivität der kondylären Wachstumszone über die normale Wachstumsphase hinaus mit konsekutiv abnormer Größe und dreidimensionaler Konfiguration [Villanueva-Alcojol et. al., 2011]. Hierbei kommt es zu einer autonomen Aktivierung der Kambiumschicht des Processus condylaris, welche als Wachstumszone fungiert. Diese Veränderung tritt in der Regel zwischen dem 5. und 30. Lebensjahr mit einem Gipfel zum Ende des zweiten Lebensjahrzehnts auf und ist nahezu immer unilateral. Die Ätiologie ist ungewiss [Schwenzer, 1980].
Die überschießende Wachstumsaktivität kann bis zu fünf Jahre oder länger anhalten [Merrill, 1986], ist aber letztendlich selbstlimitierend. Die kondyläre Hyperplasie ist die am häufigsten auftretende postnatale Wachstumsanomalie im temporomandibulären Gesichtsbereich. Klinisch finden sich faziale Deformitäten mit Asymmetrie und ästhetischer Beeinträchtigung, Okklusions- und Artikulationsstörungen, funktionellen Beeinträchtigungen (Sprechen, Kauen, Hypomobilität), Schmerzen sowie Kiefergelenkgeräuschen [Nitzan et. al., 2008]. In der Mehrzahl der Fälle stellt die Gesichtsasymmetrie, wie im vorliegenden Fall, den Hauptgrund für die Behandlung dar.
Bei Patienten mit Symptomen einer Kiefergelenkerkrankung (Schmerzen, Dysfunktion u.a.) sollte eine Untersuchung hinsichtlich vorliegender fazialer Asymmetrie erfolgen, um Hinweise auf eine kondyläre Wachstumsstörung abzuklären [AWMF S3-Leitlinie, 2016]. Differenzialdiagnostisch kommen die hemifaziale Hypertrophie, unilaterale Mikro- oder Makrognathie, Laterognathie, isolierte Unterkiefer-Prognathie, maxilläre Hypoplasie, Akromegalie, Makroglossie sowie die fibröser Dysplasie und Neoplasien infrage [Kawamoto et.al., 2009].
Bei den neoplastischen Erkrankungen sind insbesondere an das Osteochondrom und Osteom zu denken. Die Diagnostik bei Verdacht auf eine kondyläre Hyperplasie sollte zur Vermeidung von Langzeitfolgen (Asymmetrien, Okklusionsstörungen, Dysfunktionen) zeitnah durchgeführt werden. Neben der Anamnese und klinischen Untersuchung erfolgt daher zunächst eine konventionelle radiologische Diagnostik mittels Orthopantomogramm (OPG) und Fernröntgenseitenbild (FRS) [Olate et. al., 2013]. Daneben ist eine nuklearmedizinische Untersuchung (Szintigraphie, SPECT) zu empfehlen [Hodder et. al., 2000], um eine aktive, progressive Form auszuschließen oder zu erkennen.
Vor allem bei Kindern besteht jedoch eventuell eine eingeschränkte Indikation zu nuklearmedizinischen Verfahren, weshalb in diesen Fällen eine Verlaufsuntersuchung anhand von Klinik und Modellserien erwogen werden sollte. Weiterführende Bildgebungen wie CT-, DVT- oder MRT-Aufnahmen können zudem zur verbesserten Abklärung und Differentialdiagnostik eingesetzt werden.
Der Zeitpunkt und die Art der Therapie hängen von verschiedenen Faktoren ab, wie Aktivität des Wachstums, der klinischen Progression, dem Umfang der Asymmetrie und Malokklusion, Alter und der allgemeinen Beschwerdesymptomatik [AWMF S3-Leitlinie, 2016].
Grundsätzlich wird zwischen der konservativen Therapie mittels kieferorthopädisch (wie Schienentherapie) und/oder zahnärztlich-prothetischen Maßnahmen bei inaktiven kondylären Hyperplasien mit geringen klinischen Ausmaßen [Gc et. al., 2012] und der operativen Therapie unterschieden [Ferreira et. al., 2014]. Als operative Verfahren kommen die hohe Kondylektomie („condylar shaving / high condylectomy“) mit und ohne Diskusreposition [Poswillo, 1970], die tiefe Kondylektomie [Wolford et. al., 2014] sowie Techniken der orthognathen Chirurgie zum Einsatz.
Jedoch ist auch bei der operativen Therapie eine interdisziplinäre Zusammenarbeit mit einem Kieferorthopäden zu empfehlen. Bei einer aktiven kondylären Hyperplasie sollte eine operative Korrektur angestrebt werden. Die S3-Leitlinie zur Kondylushypo- und -hyperplasie empfiehlt diesbezüglich: „Bei aktiver Kondylushyperplasie sollte eine hohe Kondylektomie mit Entfernung der kondylären Wachstumszone zur Beendigung des überschießenden Wachstums und damit einhergehender progressiver Symptomatik durchgeführt werden, insbesondere bei jungen Patienten mit hoher Progressivität oder starker Ausprägung der Asymmetrie.“
Postoperativ ist nach frühfunktioneller Therapie in der Regel eine Normfunktion bei Sistieren der Wachstumsstörung zu erreichen [Appel et. al., 1997]. Die endgültige Okklusion stellt sich durch ein Remodelling schließlich nach sechs bis neun Monaten ein. Im weiteren Verlauf können aber modellierende Maßnahmen oder orthognath-chirurgische Eingriffe notwendig werden [Toller, 1976].
Bei der inaktiven kondylären Hyperplasie ist die Datenlage uneinheitlich. Hier gehen die Empfehlungen von reinen kieferorthopädischen Maßnahmen, einer hohen Kondylektomie bis hin zu orthognath-chirurgischen Eingriffen [Alyamani et. al., 2012]. Als ergänzende Maßnahmen zu den oben genannten chirurgischen Therapien können weiche Kost, Physiotherapie, zahnärztlich-prothetische und / oder kieferorthopädische Behandlungen sinnvoll sein. Aufgrund der Seltenheit des Krankheitsbildes ist die Therapieentscheidung meist individuell zu treffen, von daher ist grundsätzlich von Anfang an eine interdisziplinäre Zusammenarbeit notwendig und zu empfehlen.
Fazit für die Praxis
Die kondyläre Hyperplasie ist eine unilaterale überschießende oder persistierende Aktivität der kondylären Wachstumszone über die normale Wachstumsphase hinaus zwischen dem 5. und 30. Lebensjahr.
In den meisten Fällen stellt die Gesichtsasymmetrie den Hauptgrund für die Behandlung dieser selbstlimitierenden Erkrankung dar.
Diagnostisch kommen neben der klinischen Untersuchung auch konventionelle Röntgenaufnahmen (OPG, FRS) und nuklearmedizinische Methoden zum Einsatz.
Das Therapieregime ist individuell und kann konservative als auch chirurgische Maßnahmen beinhalten, so dass eine interdisziplinäre Zusammenarbeit angestrebt werden sollte.
Dr. Dr. Sven Holger Baum
An-Khoa Ha-Phuoc
Universitätsklinik für Mund-, Kiefer- und Gesichtschirurgie Essen
Kliniken Essen-Mitte
Henricistr. 92, 45136 Essen
s.baum@kliniken-essen-mitte.de
Prof. Dr. Daniel Baumhoer
Knochentumor-Referenzzentrum Universitätsspital Basel
Schönbeinstraße 40; CH-4031 Basel
Literatur
Alyamani A, Abuzinada S.: Management of patients with condylar hyperplasia: A diverse experience with 18 patients. Ann Maxillofac Surg. 2012
Appel T, Niederhagen B, Braumann B, Reich RH.: High condylectomy for control of pathological growth in condylar hyperplasia. Mund Kiefer Gesichtschir. 1997 AWMF S3-Leitlinie: Kondylushypo- und -hyperplasie.
AWMF-Register Nr. 007/065. 2016
Ferreira S, da Silva Fabris AL, Ferreira GR, Faverani LP, Francisconi GB, Souza FA, Garcia IR Jr.: Unilateral condylar hyperplasia: a treatment strategy. J Craniofac Surg. 2014
Gc R, Muralidoss H, Ramaiah S.: Conservative management of unilateral condylar hyperplasia. Oral Maxillofac Surg. 2012
Hodder SC, Rees JI, Oliver TB, Facey PE, Sugar AW.: SPECT bone scintigraphy in the diagnosis and management of mandibular condylar hyperplasia. Br J Oral Maxillofac Surg. 2000
Kawamoto HK, Kim SS, Jarrahy R, Bradley JP.: Differential diagnosis of the idiopathic laterally deviated mandible. Plast Reconstr Surg. 2009
Merrill RG.: Historical perspectives and comparisons of TMJ surgery for internal disk derangements and arthropathy. Cranio. 1986
Nitzan DW, Katsnelson A, Bermanis I, Brin I, Casap N.: The clinical characteristics of condylar hyperplasia: experience with 61 patients. J Oral Maxillofac Surg. 2008
Olate S, Almeida A, Alister JP, Navarro P, Netto HD, de Moraes M.: Facial asymmetry and condylar hyperplasia: considerations for diagnosis in 27 consecutives patients. Int J Clin Exp Med. 2013
Poswillo D.: Experimental investigation of the effects of intra-articular hydrocortisone and high condylectomy on the mandibular condyle. Oral Surg Oral Med Oral Pathol. 1970
Schwenzer N.: Tumoren des Kiefergelenkes; Fortschritte der Kiefer- und Gesichtschirurgie, Bd. 25, S. 122-125. Thieme, Stuttgart. 1980
Toller P.: Non-surgical treatment of dysfunctions of the temporo-mandibular joint. Oral Sci Rev. 1976










