Die Anatomie von Oberkiefer-Prämolaren
Der obere erste Prämolar hat meistens zwei Wurzeln, der obere zweite Prämolar eine. Hierbei besteht in der Literatur jedoch eine gewisse Uneinigkeit: Zum einen wurden verschiedene Populationen untersucht, zum anderen wurden fusionierte Wurzeln zum Teil unterschiedlich bewertet, das heißt in manchen Studien als ein-, in anderen als zweiwurzlig eingestuft [Bürklein et al., 2017; Tian et al., 2012; Abella et al., 2015] (Abbildung 1). Was die Anzahl der Kanäle angeht, sollte bei beiden Prämolaren grundsätzlich von zwei Kanalsystemen ausgegangen werden. Der Zugang wird daher in beiden Zähnen immer deutlich länglich oval in bukko-palatinaler Richtung präpariert. Ein runder Zugang zum Kanalsystem der oberen Prämolaren führt in vielen Fällen zu einem Übersehen einer der beiden Kanalstrukturen.
Beim ersten Prämolaren sind fast immer zwei vollständig getrennte Kanalsysteme aufzufinden. Von koronal nach apikal sind die Kanäle meist rund im Querschnitt – nach eigenen Beobachtungen bei hunderten von eingescannten Zähnen sind die Kanalquerschnitte des ersten oberen Prämolaren mit zwei Kanälen im Vergleich zu allen anderen Kanälen im menschlichen Gebiss am ehesten als rund zu bezeichnen – und werden sehr schmal im apikalen Bereich mit zum Teil erheblichen Krümmungen (Abbildung 2).
Die Krümmungen folgen bei beiden Zähnen in der Regel dem distalen Krümmungsmerkmal. Eine starke Ausdehnung der Kieferhöhle scheint jedoch für starke apikale Krümmungen der Wurzeln nach mesial oder distal verantwortlich zu sein. Ebenfalls nicht selten anzutreffen sind Doppelkrümmungen der Wurzeln (Abbildung 3).
Der palatinale Kanal ist meist etwas größer als der bukkale Kanal, was häufig schon am Kanaleingang zu beobachten ist.
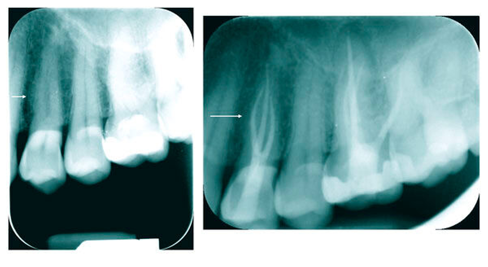
Bestehen großflächige Restaurationen, Kronen oder Brücken, kann das Auffinden der beiden Kanäle sehr schwierig sein. Allgemein konnte gezeigt werden, dass bei restaurierten Zähnen im Vergleich mit einem entsprechenden kontralateralen, restaurationsfreien Zahn eine erhebliche Einengung der Wurzelkanäle stattgefunden hat [Fleig et al., 2017]. Dies kann bei den ohnehin schon eher kleinen Kanälen oberer Prämolaren zu einer erheblichen Einengung und daher zu Schwierigkeiten beim Auffinden dieser Kanäle führen (Abbildung 4).

Bei einem einwurzligen, zweiten Prämolaren sind die koronalen Kanalsysteme oft schlitzförmig und münden in ein gemeinsames apikales Foramen (Abbildung 5). Gar nicht so selten muss aber mit einer Aufteilung der Kanäle in zwei apikal separat verlaufende Kanalanteile gerechnet werden (Abbildung 6). In der Literatur wird die Häufigkeit des Vorkommens dieser apikalen Aufteilung (Vertucci-Klassifizierungen V, VI und VII) mit bis zu 10 Prozent beziffert [Vertucci, 1984].

Seltene Konfigurationen
Beide Prämolaren können drei Kanalsysteme mit drei Wurzeln oder drei Kanalsysteme mit zwei beziehungsweise mit einer Wurzel aufweisen (Abbildung 7). Das Auftreten dieser Kanalkonfigurationen wird in der Literatur mit 1 bis 2 Prozent beschrieben [Sert und Bayirli, 2004].
Drei mögliche Hinweise können bei der Diagnostik eines dreikanaligen Prämolaren hilfreich sein. Der erste Hinweis ist eine nicht klar abzugrenzende Wurzelkontur in der diagnostischen Röntgenaufnahme. Dreikanalige obere Prämolaren zeigen im klassischen Röntgenbild im koronalen bis mittleren Wurzeldrittel eine oft bauchige Struktur. Diese korrespondiert in der Regel mit der Stelle apikal der Aufteilung in zwei bukkale Kanäle (Abbildung 8). Klinisch kann dann in den meisten Fällen bei Sondierung bukkal eine deutliche Einziehung unterhalb der Schmelz-Zement-Grenze mit der Sonde ertastet werden, dies ist der zweite Hinweis (Abbildung 9). Der dritte Hinweis zeigt sich nach Trepanation und Darstellung des Kavumbodens und des vermeintlichen bukkalen Kanaleingangs. Dieser wird häufig nach hinreichender Darstellung in mesiodistaler Richtung oval und gibt dann die Sicht auf die beiden eigentlichen Kanäle frei (Abbildungen 10 und 11).
Vorsicht bei Stiftinsertionen
Besonderes Augenmerk gebührt auch der Tatsache, dass es sich bei den Oberkiefer-Prämolaren um besonders grazile Zähne beziehungsweise Wurzeln handelt. Zudem wird beim oberen ersten Prämolaren sehr häufig in der bukkalen Wurzel eine Einziehung im palatinalen Wurzeldentin beobachtet, an den dünnsten Stellen konnte eine durchschnittliche Dentindicke von 0,81 mm gemessen werden [Tamse et al., 2000] (Abbildung 12). Diese Einziehung kann eine übermäßige Schwächung der Wurzel bei der Aufbereitung oder Restaurierung des Zahnes nach sich ziehen [Li et al., 2013]. Ist eine Stiftinsertion zur Restauration des Zahnes unumgänglich, sollte aus diesem Grund die palatinale Wurzel gewählt werden.
In diesem Zusammenhang müssen auch vertikale Längsfrakturen nach Wurzelkanalbehandlung und Restauration erwähnt werden. Obere Prämolaren gehören zu den Zähnen, die aufgrund von Wurzellängsfrakturen mit am meisten extrahiert werden müssen [Yoshino et al., 2015; PradeepKumar et al., 2016].
Die Wurzelkanäle dieser Zähne sollten grazil aufbereitet werden, ein postendodontischer Stift sollte nur nach strengster Indikation inseriert werden. In einer aktuellen Untersuchung konnte eine stark erhöhte Prävalenz von Wurzelfrakturen bei wurzelbehandelten Zähnen mit Stiftverankerung gezeigt werden [Maddalone et al., 2018]. Sind die Kanäle sehr schwer zu finden, ist auch hier ohne die Möglichkeit der Anwendung eines Mikroskops von einer intensiven Suche und damit Hartsubstanzverlust abzuraten und die Überweisung zu einem Spezialisten zu empfehlen.
Dr. med. dent. Frank Paqué
Zentrum für Zahn-, Mund- und Kieferheilkunde
Klinik für Präventivzahnmedizin, Parodontologie und Kariologie
Universität Zürich
und
Praxis für Endodontologie
Rennweg 58, CH-8001 Zürich
Dipl.-Stom. Michael Arnold
Praxis für Endodontie und Zahnerhaltung
Königstr. 9, 01097 Dresden
endo.arnold@web.de
Literatur
ABELLA F., TEIXIDÓ L.M., PATEL S., SOSA F., DURAN-SINDREU F. & ROIG M. 2015. Cone-beam Computed Tomography Analysis of the Root Canal Morphology of Maxillary First and Second Premolars in a Spanish Population. J Endod 41: 1241-1247.
BÜRKLEIN S., HECK R. & SCHÄFER E. 2017. Evaluation of the Root Canal Anatomy of Maxillary and Mandibular Premolars in a Selected German Population Using Cone-beam Computed Tomographic Data. J Endod 43: 1448-1452.
FLEIG S., ATTIN T. & JUNGBLUTH H. 2017. Narrowing of the radicular pulp space in coronally restored teeth. Clin Oral Investig 21: 1251-1257.
LI J., LI L. & PAN Y. 2013. Anatomic study of the buccal root with furcation groove and associated root canal shape in maxillary first premolars by using micro-computed tomography. J Endod 39: 265-268.
MADDALONE M., GAGLIANI M., CITTERIO C.L., PELLEGATTA A. & DEL FABBRO M. 2018. Prevalence of vertical root fractures in teeth planned for apical surgery. A retrospective cohort study. Int Endod J.
PRADEEPKUMAR A.R., SHEMESH H., JOTHILATHA S., VIJAYABHARATHI R., JAYALAKSHMI S. & KISHEN A. 2016. Diagnosis of Vertical Root Fractures in Restored Endodontically Treated Teeth: A Time-dependent Retrospective Cohort Study. J Endod 42: 1175-1180.
SERT S. & BAYIRLI G.S. 2004. Evaluation of the root canal configurations of the mandibular and maxillary permanent teeth by gender in the Turkish population. J Endod 30: 391-398.
TAMSE A., KATZ A. & PILO R. 2000. Furcation groove of buccal root of maxillary first premolars--a morphometric study. Journal of Endodontics 26: 359-363.
TIAN Y.Y., GUO B., ZHANG R., YU X., WANG H., HU T. & DUMMER P.M. 2012. Root and canal morphology of maxillary first premolars in a Chinese subpopulation evaluated using cone-beam computed tomography. Int Endod J 45: 996-1003.
VERTUCCI F.J. 1984. Root canal anatomy of the human permanent teeth. Oral Surgery, Oral Medicine, and Oral Pathology 58: 589-599.
YOSHINO K., ITO K., KURODA M. & SUGIHARA N. 2015. Prevalence of vertical root fracture as the reason for tooth extraction in dental clinics. Clin Oral Investig 19: 1405-1409.















