Odontogenes Myxofibrom im Unterkiefer
Ein besorgter Patient stellte sich mit gelockerten posterioren Unterkieferzähnen vor. Der Zahnarzt erkannte Unregelmäßigkeiten und führte eine Probebiopsie durch. Der seltene Befund: ein odontogenen Myxofibrom, das in der Folge chirurgisch therapiert wurde.
Ein 41-jähriger Mann wurde bei seinem behandelnden Zahnarzt mit einer lokalen Schwellung der Schleimhaut in regio 48 vorstellig. Zudem beklagte er die Lockerung seiner Backenzähne im rechten Unterkiefer. Nach Anfertigung einer Panoramaschichtaufnahme (Abbildung 1) vermutete der Hauszahnarzt mehr als nur eine Perikoronitis am teilretinierten Weisheitszahn 48 und entnahm eine Gewebeprobe. Es erfolgte die histologische Sicherung und Erstdiagnose eines Myxofibroms. Zur weiteren Abklärung und zur Übernahme der Therapie wurde der Patient in die Mund-, Kiefer- und Gesichtschirurgie des Universitätsklinikums überwiesen.
Bei der intraoralen klinischen Untersuchung erschien die Schleimhaut im rechten Unterkieferbereich nach der Probeexzision reizlos verheilt. Es zeigte sich eine nur diskrete, aber derbe Schwellung der Schleimhaut vor allem bukkal, vestibulär und koronal des nach mesial gekippten Zahnes 48 (Abbildung 2). Die Zähne 47 und 48 waren zweit- bis drittgradig gelockert. Alle Zähne des vierten Quadranten reagierten sensibel auf Kälte und zeigten sich im Perkussionstest negativ. In der computertomografischen Untersuchung stellte sich die Raumforderung vor allem im Bereich der Wange und den Zahn 48 umschließend dar. Im Bereich der Osteolyse zeigte sich die linguale, aber vor allem die vestibuläre Kortikalis ausgedünnt.
Therapie
Nach Aufklärung des Patienten umfasste die Therapie der Wahl die In-toto-Resektion des Befunds zusammen mit der Extraktion der Zähne 47 und 48. In Intubationsnarkose erfolgte eine mesiale Schnittführung an 47/48 mit Entlastungen im Bereich des aufsteigenden Astes und nach vestibulär. Zu sehen war eine derbe, weißliche und adhärent mit 48 verwachsene Läsion (Abbildung 3), die gemeinsam mit dem Zahn entfernt wurde (Abbildungen 4 und 5). Der Zahn 47 wurde ebenfalls extrahiert und nach Kürettage und Glättung der Knochenkanten ein Kollagenflies in den Defekt eingelegt. Die anschließende plastische Deckung erfolgte mehrschichtig (Abbildung 6).
Bei einem komplikationslosen postoperativen Heilungsverlauf konnte der Patient nach zweitägiger stationärer Überwachung in die ambulante Nachsorge entlassen werden.
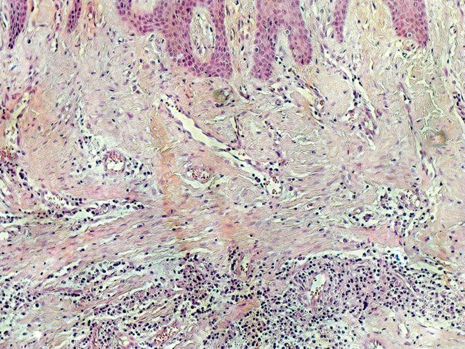
Die histologische Aufarbeitung des etwa 3 cm x 2,5 cm x 2 cm großen Resektats ergab ein spindelzelliges Proliferat mit myxoidem Stroma (Abbildung 7) und Arrosionen des ortsständigen Knochens. Zur weiteren histogenetischen Typisierung wurde ergänzend eine immunhistochemische Untersuchung durchgeführt, die die Diagnose des odontogenen Myxofibroms bestätigte. Bei einem Nachsorgeintervall von insgesamt sechs Jahren zeigte sich sowohl klinisch als auch radiologisch kein Anhalt auf ein Rezidiv.
Diskussion
Das odontogene Myxofibrom, auch Myxom genannt, zählt zu den seltenen benignen Tumoren der Mundhöhle. Es ist mesenchymalen Ursprungs und repräsentiert weniger als zehn Prozent aller odontogenen Tumore [Francisco et al., 2017]. Myxofibrome, die zumeist in der zweiten bis vierten Lebensdekade ohne eindeutige Geschlechtspräferenz auftreten, sind vor allem in bezahnten Kieferabschnitten lokalisiert und können mit einem Zahnkeim oder – wie im vorgestellten Fall – mit einem retinierten oder teilretinierten Zahn einhergehen. Ebenfalls wie im vorliegenden Fall ist der Unterkiefer häufiger betroffen als der Oberkiefer [Li et al., 2006].
Das Wachstum des odontogenen Myxofibroms ist oligosymptomatisch und langsam, wobei es lokal-invasiv das benachbarte Weich- und Hartgewebe infiltriert und destruiert. Durch sein langsames Wachstum und die oft unspezifischen Symptome kann das Myxom in vielen Fällen lange unerkannt bleiben.
Neben Schwellungen, Schmerzen und Funktionseinschränkungen können – wie im Fallbericht – auch erst sekundäre Symptome wie Zahnlockerungen auf den Befund aufmerksam machen; meist handelt es sich jedoch um radiologische Zufallsbefunde. Im Röntgenbild imponieren irregulär begrenzte uni- oder multilokuläre Transluzenzen, die in der Literatur oftmals mit dem Begriff der „Seifenblase“ beschrieben werden. Die Therapie der Wahl sollte aufgrund der hohen Rezidivfreudigkeit des Myxofibroms (bis zu 25 Prozent der Fälle) [Rocha et al., 2009] die vollständige Resektion des Befunds beinhalten, wobei in Abhängigkeit von der Größe und der Lokalisation des Tumors in der Literatur verschiedene Methoden von der Enukleation und Kürettage bis zur Teilresektion des Kiefers mit dessen Rekonstruktion diskutiert werden [Kawase-Koga et al., 2014].
Differenzialdiagnostisch ist an Riesenzellgranulome, Ameloblastome oder auch andere zystische Veränderungen des Knochens zu denken. Aus diesem Grund ist eine histologische Abklärung vor der definitiven Therapie unverzichtbar. Es wird empfohlen, die Patienten mindestens für die ersten zwei Jahre nach der Operation genau zu beobachten, weil in diesem Zeitraum das Neoplasma am wahrscheinlichsten wieder auftritt [Lo Muzio et al., 1996]. Bei einer Veränderung des Befunds ist eine erneute histologische Abklärung sinnvoll, um ein Rezidiv früh erkennen und behandeln zu können.
Dr. Kathrin Spindler
Assistenzzahnärztin der Privatzahnklinik Schloss Schellenstein
Am Schellenstein, 159939 Olsberg
kathrin-spindler@web.de
PD Dr. Dr. Peer W. Kämmerer, M.A., FEBOMFS
Leitender OA/Stellvertretender Klinikdirektor
Klinik für MKG-Chirurgie der Universitätsmedizin Mainz
Augustusplatz 255131 Mainz
peer.kaemmerer@unimedizin-mainz.de
Fazit für die Praxis
Die Früherkennung pathologischer Prozesse spielt eine wichtige Rolle für den Patienten – auch gutartige Tumore haben bei großflächiger Ausdehnung und später Diagnosestellung großflächige Resektionen zur Folge. Daher lohnt bei häufigen Beschwerdebildern wie einer Perikoronitis ein zweiter Blick.
Um Rezidive frühzeitig zu erkennen, ist nach gesicherter Diagnose ein Recall in sinnvollen zeitlichen Abständen ebenfalls von großer Bedeutung.
Im Zweifelsfall empfiehlt sich die Abklärung in einer Fachklinik.
Literaturliste
Francisco AL, Chulam TC, Silva FO, Ribeiro DG, Pinto CA, Gondak RO, Kowalski LP, Goncalves-Filho J: Clinicopathologic analysis of 14 cases of odontogenic myxoma and review of the literature. J Clin Exp Dent 9: e560-e563, 2017
Kawase-Koga Y, Saijo H, Hoshi K, Takato T, Mori Y: Surgical management of odontogenic myxoma: a case report and review of the literature. BMC Res Notes 7: 214, 2014
Li TJ, Sun LS, Luo HY: Odontogenic myxoma: a clinicopathologic study of 25 cases. Arch Pathol Lab Med 130: 1799-1806, 2006
Lo Muzio L, Nocini P, Favia G, Procaccini M, Mignogna MD: Odontogenic myxoma of the jaws: a clinical, radiologic, immunohistochemical, and ultrastructural study. Oral Surg Oral Med Oral Pathol Oral Radiol Endod 82: 426-433, 1996
Rocha AC, Gaujac C, Ceccheti MM, Amato-Filho G, Machado GG: Treatment of recurrent mandibular myxoma by curettage and cryotherapy after thirty years. Clinics (Sao Paulo) 64: 149-152, 2009











