Thrombose der V. jugularis interna als Differenzialdiagnose eines submandibulären Abszesses
Anamnese
Ein 58-jähriger Patient stellte sich nach Überweisung vom Hauszahnarzt mit Verdacht auf einen submandibulären Abszess rechts im Notdienst unserer Poliklinik vor. Anamnestisch berichtete er von einer seit einer Woche bestehenden, schmerzhaften Schwellung submandibulär rechts ohne Größenprogredienz. Die allgemeine Anamnese ergab eine Neurofibromatose Typ I (M. Recklinghausen).
Klinische Untersuchung und Diagnose
Bei der klinischen Untersuchung zeigten sich eine druckschmerzhafte Schwellung submandibulär rechts mit einer Ausdehnung von 4 x 4 cm ohne Rötung, Pulsation oder palpierbare Fluktuation. Die Haut des Gesichts und des Halses zeigte multiple Narben bei Zustand nach Resektion von Neurofibromen (Abbildung 1).
Bei uneingeschränkter Kieferöffnung (Schneidekantendistanz: 40 mm) zeigte sich intraoral eine regelgerechte Schleimhaut ohne Schwellung oder Rötung. Die Zähne 14 und 46 fehlten, der Zahn 24 war wurzelkanalbehandelt. Der Zahn 18 war vollständig retiniert, der Zahn 38 vollständig retiniert und verlagert. Die vorhandenen Zähne waren nicht gelockert, zeigten bis auf den Zahn 24 eine erhaltene Sensibilität auf Kälte und waren nicht perkussionsempfindlich.
Die am Vortag durch den behandelnden Zahnarzt durchgeführte Panoramaschichtaufnahme ergab keinen Hinweis auf einen dentogenen intraossären Entzündungsprozess (Abbildung 2).
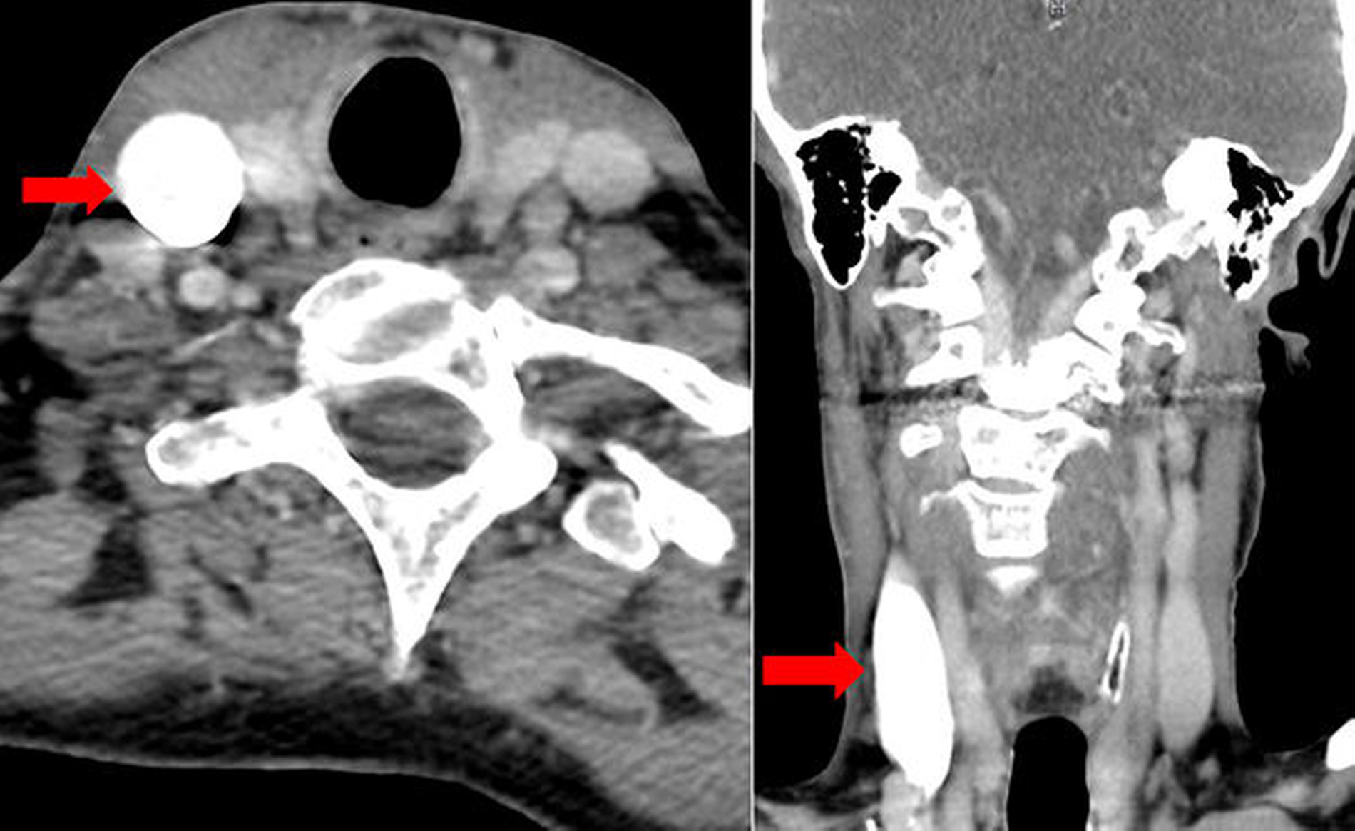
Die durchgeführten laborchemischen Untersuchungen zeigten eine Erhöhung des C‑reaktiven Proteins auf 6,6 mg/dl sowie am Vorstellungstag eine normwertige Leukozytenzahl. Zur weiteren Diagnostik erfolgte eine Computertomografie des Kopf- und Halsbereichs mit Kontrastmittel. Hierbei zeigte sich eine Thrombosierung der V. jugularis interna rechts (Abbildung 3).
Therapie
Aufgrund des initialen klinischen Abszessverdachts sowie der erhöhten laborchemischen Entzündungsparameter wurde eine intravenöse antibiotische Therapie mit Unacid 3 g 3 x täglich begonnen. Es erfolgte eine konsiliarische Vorstellung bei den Kollegen der Angiologie. Die durchgeführte Farbduplexsonografie zeigte eine nicht-frische Thrombose im gesamten Verlauf der rechtsseitigen V. facialis, V. retromandibularis sowie der V. jugularis interna (Abbildung 4). Eine Genese im Rahmen der vorbekannten Neurofibromatose wurde diskutiert. Die durchgeführte transthorakale Echokardiografie zeigte keine pathologischen Befunde.
Therapeutisch erfolgte eine Vollantikoagulation mit Rivaroxaban 1 x 20 mg täglich mit einer Therapiedauer von drei Monaten. Vor dem Absetzen der Antikoagulation wird eine duplexsonografische Kontrolle erfolgen.
Diskussion
Die Differenzialdiagnose einer submandibulären Schwellung beinhaltet vor allem dentogene und sialogene Entzündungsprozesse. Auch können Lymphknotenvergrößerungen im Rahmen unspezifischer oder spezifischer entzündlicher sowie maligner Erkrankungen ursächlich sein.
Die führende Ursache submandibulärer Abszedierungen sind Entzündungsprozesse ausgehend von Unterkiefermolaren, wobei der dentogene submandibuläre Abszess die zweithäufigste Logenerkrankung der Gesichts- und Halsregion darstellt. Nicht-odontogene Ursachen sind selten (Parhiscar, A. and G. Har-El, 2001)).
Die Neurofibromatose Typ I (NF1) ist eine den neurokutanen Erkrankungen (Phakomatosen) zugeordnete Multiorganerkrankung, bei der es ausgehend von den Schwann’schen Scheiden peripherer Nerven zur Bildung von Neurofibromen der Haut und sogenannten plexiformen Neurofibromen kommt.
Weitere klinische Zeichen als Konsequenz einer Störung der Melanozytenfunktion sind sechs und mehr mehr als 15 mm durchmessende Café-au-lait-Flecken, zwei oder mehr pigmentierte Hamartome der Iris (Lisch-Knoten) und sogenanntes Freckling (Sommersprossenbildung) der Inguinalregion und Axillen. Weiterhin treten vermehrt Gliome des N. opticus auf. Auch ist die Inzidenz maligner Tumoren der Nervenzellscheiden (Glioblastome, Triton-Tumore) massiv erhöht. Ursächlich für die NF1 sind Mutationen im NF1-Genlocus, wobei die Erkrankung autosomal dominant vererbt wird, in 50 Prozent der Neuerkrankungen jedoch Spontanmutationen für die Erkrankung verantwortlich sind (Friedman, J.M., 1993).
Außerdem sind bei Patienten mit NF1 auch die Blutgefäße pathologisch verändert. So kommt es zum vermehrten Auftreten von arterieller Hypertension, Stenosen, Verschlüssen (sogenannte Moyamoya-Erkrankung) und Aneurysmen der zerebralen Arterien (D'Arco, F. et al., 2014). Auch wurden Fälle beschrieben, bei der es zur Ausbildung venöser Aneurysmen der V. jugularis interna kam. Histologisch bestand eine NF1-bedingte Veränderung der Venenwand (Belcastro, M., 2011).
Fazit für die Praxis
Submandibuläre Schwellungen sind meist dentogen. Jedoch sollten bei entsprechender Anamnese und fehlender augenfälliger Abszessursache auch Differenzialdiagnosen in Betracht gezogen werden. In seltenen Fällen kann eine submandibuläre Schwellung vaskulärer Genese, wie im dargestellten Fallbericht aufgrund einer Thrombose der V. jugularis interna, sein. Es zeigt sich weiterhin die Notwendigkeit einer Computertomografie bei submandibulären Schwellungen mit klinischem Abszessverdacht vor chirurgischer Therapie.
Dr. med. Dr. med. dent. Jakob Ihbe, Arzt in Weiterbildung und Zahnarzt
jakob.ihbe@med.lmu.de
Dr. med. Dr. med. dent. Matthias Tröltzsch, Facharzt für Mund-, Kiefer- und Gesichtschirurgie
Dr. med. dent. Sigurd Hafner, Oberarzt
Prof. Dr. Dr. Michael Ehrenfeld
Direktor der Klinik für Mund-, Kiefer- und Gesichtschirurgie
Klinikum der Universität München ,Campus Innenstadt, Lindwurmstraße 2a, 80337 München
Literaturverzeichnis
1. Parhiscar, A. and G. Har-El (2001) Deep neck abscess: a retrospective review of 210 cases. Ann Otol Rhinol Laryngol, 110(11): p. 1051-4.
2. Friedman, J.M., Neurofibromatosis 1, in GeneReviews((R)), M.P. Adam, et al., Editors. 1993: Seattle (WA).
3. D'Arco, F., A. D'Amico, F. Caranci, N. Di Paolo, D. Melis, and A. Brunetti (2014) Cerebrovascular stenosis in neurofibromatosis type 1 and utility of magnetic resonance angiography: our experience and literature review. Radiol Med, 119(6): p. 415-21.
4. Belcastro, M., A. Palleschi, R.A. Trovato, R. Landini, M. Di Bisceglie, and A. Natale (2011) A rare case of internal jugular vein aneurysmal degeneration in a type 1 neurofibromatosis complicated by potentially life-threatening thrombosis. J Vasc Surg, 54(4): p. 1170-3.








