Update nach elf Jahren
Die frühe interdisziplinäre Zusammenarbeit aus Kieferorthopädie und MKG-Chirurgie kann unter Anwendung der chirurgischen Techniken der autogenen Zahntransplantation sowie der enossalen Implantation zuverlässige klinische Ergebnisse bei Patienten mit Oligodontie erzielen. Allerdings eröffnet nur das frühzeitige Erkennen des Krankheitsbildes die im vorliegenden Fall dargestellten Behandlungsoptionen.
Fallbericht
- Initiale Therapie (Autogene Zahntransplantation und KFO) 
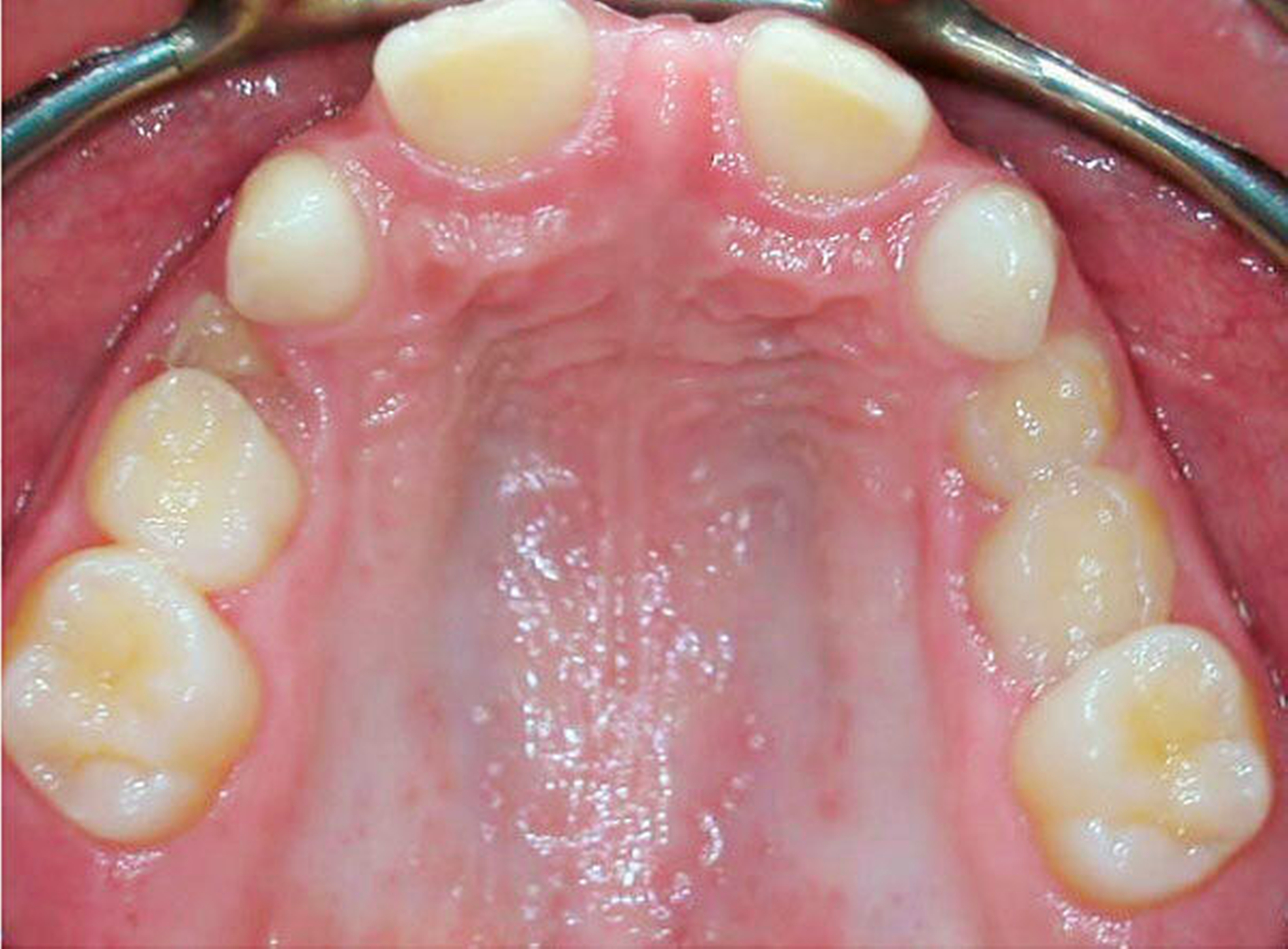
Die zehnjährige Patientin wurde uns von der Kieferorthopädin zur Wertung möglicher chirurgischer Maßnahmen bei insgesamt acht Nichtanlagen (Abbildung 1a bis c) vorgestellt. Im OPG stellt sich das Fehlen von drei permanenten Zähnen im I. Quadranten, von vier im II. Quadranten und einem im III. Quadranten dar (Abbildung 1c). Aufgrund des noch jungen Alters der Patientin zum Zeitpunkt der Erstvorstellung und des damit noch verbundenen Vorhandenseins der Milcheckzähne 73 und 83 entschieden wir uns für das folgende kieferorthopädisch-kieferchirurgische Vorgehen (Abbildung 2):
1. Schließen des Diastemas durch KFO zur Schaffung von Platz für Transplantate in regio 12 und 22,
2. Extraktion der ankylosierten und in Infraposition stehenden Milchmolaren 55, 54, 64, 65, 75, 74, 84 und 85,
3. Autogene Transplantation der unteren Milcheckzähne 73 und 83 in die vorher geschaffenen Lücken in Position 12 und 22 (Abbildungen 3a, b) sowie
4. Ausgleichstransplantation des Zahns 35 in Position 24 mit dem Ziel einer gleichmäßigen Verteilung von jeweils einem Prämolaren pro Quadranten (Abbildung 3b).
Die transplantierten Zähne wurden anschließend für sechs Wochen semirigide durch eine Titan-Kunststoff-Schiene fixiert, in regelmäßigen Nachsorgen fluoridiert und die Patientin in die weitere kieferorthopädische Therapie entlassen (Abbildung 4). Als Empfehlung wurde ausgesprochen, die transplantierten Zähne frühestens drei Monate nach Transplantation mit den halben sonst üblichen kieferorthopädischen Kräften zu bewegen.
- Weiterer Verlauf (KFO und Implantation) 
1,5 Jahre nach dem Eingriff stellte sich die Patientin unter begleitender kieferorthopädischer Behandlung erneut bei uns vor. Die Zähne stellten sich klinisch reizlos und ohne Lockerungsgrad oder fortschreitende Resorptionszeichen dar (Abbildung 5a). Die zunehmende Verkürzung der Wurzellänge der Milchzahntransplantate in Position 12 und 22 ist im postoperativen OPG erkennbar (Abbildung 5b). Bei allen Transplantaten ist eine Obliteration der Pulpenkavität zu sehen. In Position 24 kam es zu einem klinisch signifikanten Zuwachs des Alveolarknochens sowohl in der horizontalen als auch in der vertikalen Dimension. Zusätzlich findet sich eine zunehmende Apexifikation und Obliteration der Pulpenkavität, ähnlich wie bei den Milchzahntransplantaten. Dies kann als vitale Reaktion von Transplantaten während des Heilungsprozesses verstanden werden [Bauss et al., 2008].
Im Alter von 17 Jahren, also 5,5 Jahre post transplantationem, sind deutliche Fortschritte der kieferorthopädischen Behandlung mit dem Ziel der Bisshebung erkennbar (Abbildung 6). Um einen vorzeitigen Verlust der Milchzähne durch KFO-Zug zu vermeiden, entschied sich die Kieferorthopädin gegen eine Bewegung der Milchzähne in Position 13, 12, 22 und 23. Die Milchzahntransplantate in Position 12 und 22 weisen jetzt deutliche Zeichen einer apikalen Resorption auf, was bei plötzlichem Verlust die Einleitung implantologischer Maßnahmen zur Folge hätte.
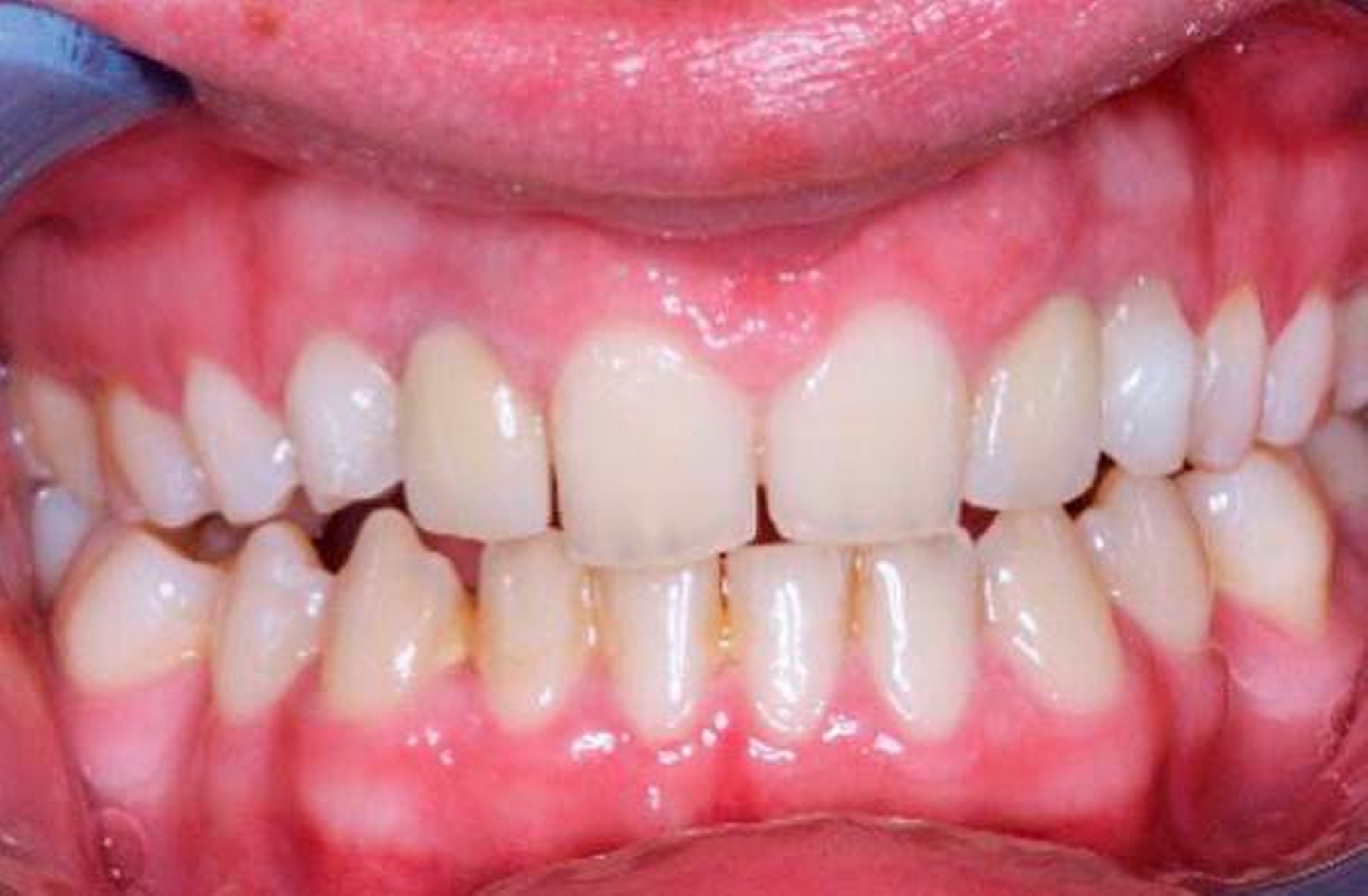
Im Alter von nunmehr 21 Jahren, also elf Jahre nach Milchzahn- und Prämolaren-Transplantation, kam es zu einer klinischen Lockerung der Milchzahn-Transplantate, weswegen unverzüglich eine implantologische Versorgung in regio 12 und 22 eingeleitet wurde. Bei der Extraktion der gelockerten Milchzähne erfolgten alveolarplastische Maßnahmen mit Auffüllung der Extraktionswunden mit Knochenersatzmaterial. Die Implantate wurden acht Wochen nach Alveoloplastik inseriert, die prothetische Versorgung erfolgte 2,5 Monate später (Abbildung 7). Ohne größeren chirurgischen Aufwand konnte ein ästhetisch ansprechendes periimplantäres Lagergewebe geschaffen werden. Die erreichte klinische Bisshebung (Abbildung 7a) kann unter Berücksichtigung des ursprünglichen Fehlens von insgesamt sieben Zähnen im Oberkiefer als sehr zufriedenstellend angesehen werden. Eine weitere Verbesserung der ästhetischen Situation kann im Rahmen der noch notwendig werdenden implantologisch-prothetischen Versorgung erfolgen.

Diskussion
Dieser Fall einer Patientin mit insgesamt acht Nichtanlagen veranschaulicht, dass mithilfe der autogenen Zahntransplantation (hier: 2 x Milchzahn-TX, 1 x Prämolaren-TX) im frühen Wechselgebiss sowie der enossalen Implantation im späten Wechselgebiss/Erwachsenengebiss gute klinische Langzeitergebnisse erzielt werden können. Der Fall belegt die Bedeutsamkeit des richtigen „Zeitfensters“ für die jeweils notwendig werdenden chirurgischen Maßnahmen bei Patienten mit Oligodontie [Nolte et al., 2018].

Dieses Behandlungskonzept wird von einem aktuellen systematischen Review bekräftigt: Terheyden und Wüsthoff [Terheyden, Wüsthoff, 2018] haben die verschiedenen Behandlungsoptionen bei der Oligodontie (KFO-Lückenschluss, Belassen der Milchzähne, prothetischer Zahnersatz, autogene Zahntransplantation, enossale Implantation) im Hinblick auf ihre Überlebensraten untersucht. Die Autoren kamen zu dem Schluss, dass bei Patienten unter 13 Jahren die autogene Zahntransplantation und der Erhalt der vorhandenen Milchzähne mit durchschnittlichen Überlebensraten von 94 Prozent beziehungsweise 90 Prozent am besten abschneidet. Bei Patienten über 13 Jahren stellt die enossale Implantation mit durchschnittlichen Überlebensraten von 95 Prozent die erfolgreichste Therapie dar. Die Versorgung mit konventionellen prothetischen Maßnahmen erreichte in der Studie hingegen nur Überlebensraten von 60 Prozent. Das heißt: Das frühe Erkennen einer Oligodontie erlaubt damit – wie in diesem Fallbericht dargestellt – das Ausschöpfen all der chirurgischen Therapiemaßnahmen, die bei der Behandlung des Krankheitsbildes als besonders erfolgreich gelten (ATX und Implantation).
Die autogene Milchzahntransplantation ist eine Methode, die in der Literatur kaum Erwähnung findet. Ausgehend von unserer und der klinischen Erfahrung anderer Arbeitsgruppen [Nolte et al., 2011; Pohl et al., 2008; Tschammler et al., 2015] kann mit der autogenen Milchzahntransplantation der traumatische Verlust oder das angeborene Fehlen von bleibenden Zähnen kompensiert werden. Voraussetzung hierfür ist das Vorhandensein des nachfolgenden (permanenten) Zahns in der Region des zu transplantierenden Milchzahns. Die durchschnittliche 5-Jahres-Überlebensrate der Milchzahntransplantation liegt bei circa 87 Prozent [Tschammler et al., 2015]. In diesem Fallbericht waren beide Milchzahntransplantate insgesamt elf Jahre funktionell in situ, bis sie aufgrund des zunehmendem Lockerungsgrades extrahiert werden mussten. Ein derart langer Verbleib von Milchzahntransplantaten im Munde des Patienten ist bis heute so noch nicht beschrieben worden. Die autogene Zahntransplantation (ATX) ist mit einer verlässlichen Knochenbildung in den Bereichen der Nichtanlagen verbunden. Bei einer später notwendig werdenden Implantation können den Patienten aufwendige Knochenaugmentationen erspart werden. Dieser Fall belegt eindrucksvoll, dass nach Transplantation des Prämolaren 35 in die Position 24, in der zuvor ein Milchmolar in deutlicher Infraposition stand, eine signifikante Verbesserung der Knochenhöhe erreicht werden konnte (Abbildung 5b, weißer Pfeil). Das Prämolaren-Transplantat zeigte bei der Vitalitätsprüfung elf Jahre nach dem Eingriff eine positive Reaktion auf Kälte und Elektrometrie.
Die erhebliche Infraposition der Milchmolaren im Fall der zehnjährigen Patientin (Abbildung 1c) sollte alle zahnärztlichen Fachgebiete in erhöhte Alarmbereitschaft versetzen, denn dies ist fast regelhaft mit Komplikationen an Ort und Stelle verbunden [Bokelund et al., 2015]. Bei einer sich abzeichnenden Infraposition von Milchmolaren sollte daher immer eine Bildgebung erfolgen, um mögliche Nichtanlagen nachfolgender Zähne auszuschließen oder andere damit assoziierte Durchbruchsstörungen früh zu erkennen.
Der Begriff des „Zeitfensters“ erlangt in Anbetracht dieses Falls eine völlig neue Bedeutung bezüglich der interdisziplinären Kooperation von Kieferorthopäden, Zahnärzten und Oral-/MKG-Chirurgen. Der Punkt des richtigen „Timings“ für die Milchzahntransplantation im frühen Wechselgebiss (6 bis 10 Jahre) und der Prämolarentransplantation im späten Wechselgebiss (10 bis 14 Jahre) ist von uns unter dem Begriff des „Zwei-Phasen-Transplantationskonzepts“ zusammmengefasst worden, das ursprünglich für den traumatischen Zahnverlust im Kindes- und Jugendalter entwickelt worden ist [Nolte et al., 2017]. Die Anwendung dieses Konzepts erspart den Kindern schleimhautgetragene Prothesen und schafft zugleich optimale Bedingungen für ein normales Knochenwachstum in der Oberkieferfront.
Zusammenfassung
Patienten mit multiplen Nichtanlagen können mit der Technik der autogenen Transplantation von Milch- und/oder bleibenden Zähnen in der Milchgebiss- und frühen Wechselgebissphase (6 bis 13 Jahre) zuverlässig behandelt werden. Im späten Wechselgebiss und im Erwachsenengebiss kommt bei Bedarf die enossale Implantation mit zur Anwendung. Es ist wichtig, dass die Mediziner das optimale Zeitfenster für die autogene Zahntransplantation kennen. Grundsätzlich kann gelten: Je früher die Vorstellung des Patienten, umso größer das therapeutische Armamentarium und umso besser die Erfolgsaussichten für den Patienten. Eine frühe interdisziplinäre Planung zwischen Zahnarzt, Kieferorthopäden und Oral-/MKG-Chirurgen ist daher unerlässlich, um für die Patienten die jeweils individuell maßgeschneiderte Behandlung zu finden.
Prof. Dr. Dr. Dirk Nolte
Ruhr-Universität Bochum
Universitätsstr. 150, 44801 Bochum
und
MKG-Praxisklinik
Sauerbruchstr. 48, 81377 München
dirk.nolte@mkg-muc.com
Friederike Wagner
Praxisklinik für Mund-, Kiefer- und plastische Gesichtschirurgie
Sauerbruchstr. 48, 81377 München
Dr. Antje Krause
Kieferorthopädische Praxis Dr. Antje Krause
Steinkirchner Str. 28, 81475 München
Literaturverzeichnis
1. Nolte D, Linsenmann R, Knobl T, Krause A. Autogene Milchzahntransplantation: ein Fallbericht. Zahnarztl Mitt. 2008;21:40-4.
2. Bauss O, Rohling J, Rahman A, Kiliaridis S. The effect of pulp obliteration on pulpal vitality of orthodontically intruded traumatized teeth. J Endod. 2008;34(4):417-20.
3. Nolte D, Braikeh S, Kurfurst B, Krause A, Linsenmann R. Case report: Multiple tooth agenesis – a re-update after 11 years Int J Dent Oral Health. 2018;4(4):6.
4. Terheyden H, Wusthoff F. Occlusal rehabilitation in patients with congenitally missing teeth-dental implants, conventional prosthetics, tooth autotransplants, and preservation of deciduous teeth-a systematic review. Int J Implant Dent. 2015;1(1):30.
5. Nolte D, Linsenmann R, Huth KC. Autogene Zahntransplantation: Neue Perspektiven. MKG-Chirurg. 2011;4:92-101.
6. Pohl Y, Geist P, Filippi A. Transplantation of primary canines after loss or ankylosis of upper permanent incisors. A prospective case series study on healing and survival. Dent Traumatol. 2008;24(4):388-403.
7. Tschammler C, Angermair J, Linsenmann R, Heiligensetzer M, Nolte D. Primary canine auto-transplantation - a new surgical technique. Oral Surg Oral Med Oral Pathol Oral Radiol. 2015;119(2):158-69.
8. Bokelund M, Andreasen JO, Christensen SS, Kjaer I. Autotransplantation of maxillary second premolars to mandibular recipient sites where the primary second molars were impacted, predisposes for complications. Acta Odontol Scand. 2013;71(6):1464-8.
9. Nolte D, Tschammler C, Henzler M, Linsenmann R, Angermair J. Two-Phase-Transplantation Concept (TPTX) - A biological approach for rapid rehabilitation of juvenile patients after traumatic tooth loss. Open J Stomatol. 2017;7:10.


















